Revision 1

#92284

Store at -20C

CST Logo
Orders:

877-616-CELL (2355)

[email protected]

Support:

877-678-TECH (8324)

3 Trask Lane | Danvers | Massachusetts | 01923 | USA

For Research Use Only. Not for Use in Diagnostic Procedures.

Applications:
W, IHC-P, IF-F, IF-IC

Reactivity:
H M R

Sensitivity:
Endogenous

MW (kDa):
50

Source/Isotype:
Mouse IgG1

UniProt ID:
#Q9UQM7

Entrez-Gene Id:
815

Product Usage Information

This product is the carrier free version of product #50049. All data were generated using the same antibody clone in the standard formulation which contains BSA and glycerol.

This formulation is ideal for use with technologies requiring specialized or custom antibody labeling, including fluorophores, metals, lanthanides, and oligonucleotides. It is not recommended for ChIP, ChIP-seq, CUT&RUN or CUT&Tag assays. If you require a carrier free formulation for chromatin profiling, please contact us. Optimal dilutions/concentrations should be determined by the end user.

BSA and Azide Free antibodies are quality control tested by size exclusion chromatography (SEC) to determine antibody integrity.

Formulation

Supplied in 1X PBS (10 mM Na2HPO4, 3 mM KCl, 2 mM KH2PO4, and 140 mM NaCl (pH 7.8)). BSA and Azide Free.

For standard formulation of this product see product #50049

Storage

Store at -20°C. This product will freeze at -20°C so it is recommended to aliquot into single-use vials to avoid multiple freeze/thaw cycles. A slight precipitate may be present and can be dissolved by gently vortexing. This will not interfere with antibody performance.

Specificity/Sensitivity

CaMKII-alpha (6G9) Mouse Monoclonal Antibody (BSA and Azide Free) recognizes endogenous levels of total CaMKII-α protein. This antibody does not cross-react with CaMKII-β or CaMKII-δ proteins.

Source / Purification

Monoclonal antibody is produced by immunizing animals with a partially purified rat CaMKII-α protein.

Background

CaMKII is an important member of the calcium/calmodulin-activated protein kinase family, functioning in neural synaptic stimulation and T cell receptor signaling (1,2). CaMKII has catalytic and regulatory domains. Ca2+/calmodulin binding to the CaMKII regulatory domain relieves autoinhibition and activates the kinase (3). The activated CaMKII further autophosphorylates at Thr286 to render the kinase constitutively active (3). The threonine phosphorylation state of CaMKII can be regulated through PP1/PKA. PP1 (protein phosphatase 1) dephosphorylates phospho-CaMKII at Thr286. PKA (protein kinase A) prevents phospho-CaMKII (Thr286) dephosphorylation through an inhibitory effect on PP1 (4).

Species Reactivity

Species reactivity is determined by testing in at least one approved application (e.g., western blot).

Applications Key

W: Western Blotting IHC-P: Immunohistochemistry (Paraffin) IF-F: Immunofluorescence (Frozen) IF-IC: Immunofluorescence (Immunocytochemistry)

Cross-Reactivity Key

H: Human M: Mouse R: Rat

Trademarks and Patents

Cell Signaling Technology is a trademark of Cell Signaling Technology, Inc.

SignalStain is a registered trademark of Cell Signaling Technology, Inc.

All other trademarks are the property of their respective owners. Visit cellsignal.com/trademarks for more information.

Limited Uses

Except as otherwise expressly agreed in a writing signed by a legally authorized representative of CST, the following terms apply to Products provided by CST, its affiliates or its distributors. Any Customer's terms and conditions that are in addition to, or different from, those contained herein, unless separately accepted in writing by a legally authorized representative of CST, are rejected and are of no force or effect.

Products are labeled with For Research Use Only or a similar labeling statement and have not been approved, cleared, or licensed by the FDA or other regulatory foreign or domestic entity, for any purpose. Customer shall not use any Product for any diagnostic or therapeutic purpose, or otherwise in any manner that conflicts with its labeling statement. Products sold or licensed by CST are provided for Customer as the end-user and solely for research and development uses. Any use of Product for diagnostic, prophylactic or therapeutic purposes, or any purchase of Product for resale (alone or as a component) or other commercial purpose, requires a separate license from CST. Customer shall (a) not sell, license, loan, donate or otherwise transfer or make available any Product to any third party, whether alone or in combination with other materials, or use the Products to manufacture any commercial products, (b) not copy, modify, reverse engineer, decompile, disassemble or otherwise attempt to discover the underlying structure or technology of the Products, or use the Products for the purpose of developing any products or services that would compete with CST products or services, (c) not alter or remove from the Products any trademarks, trade names, logos, patent or copyright notices or markings, (d) use the Products solely in accordance with CST Product Terms of Sale and any applicable documentation, and (e) comply with any license, terms of service or similar agreement with respect to any third party products or services used by Customer in connection with the Products.

Orders: 877-616-CELL (2355) [email protected] Support: 877-678-TECH (8324) [email protected] Web: cellsignal.com
For Research Use Only. Not for Use in Diagnostic Procedures.

Revision 1

Cell Signaling Technology Logo
Western blot analysis of extracts from 293T cells, mock transfected (-) or transfected with a construct expressing Myc-tagged full-length human CaMKII-α protein (hCaMKII-α-Myc; +), CaMKII-β protein (hCaMKII-β-Myc; +), or CaMKII-δ protein (hCaMKII-δ-Myc; +), using CaMKII-α (6G9) Mouse mAb (upper) and Myc-Tag (71D10) Rabbit mAb #2278 (lower). Data were generated using the standard formulation of this product.
Western Blotting Image 1: CaMKII-alpha (6G9) Mouse Monoclonal Antibody (BSA and Azide Free)
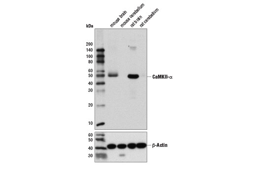
Western blot analysis of extracts from various tissues using CaMKII-α (6G9) Mouse mAb (upper) and β-Actin (D6A8) Rabbit mAb #8457 (lower). Data were generated using the standard formulation of this product.
Western Blotting Image 2: CaMKII-alpha (6G9) Mouse Monoclonal Antibody (BSA and Azide Free)
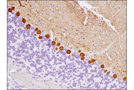
Immunohistochemical analysis of paraffin-embedded mouse cerebellum using CaMKII-α (6G9) Mouse mAb. Data were generated using the standard formulation of this product.
Immunohistochemistry Image 1: CaMKII-alpha (6G9) Mouse Monoclonal Antibody (BSA and Azide Free)
Orders: 877-616-CELL (2355) [email protected] Support: 877-678-TECH (8324) [email protected] Web: cellsignal.com
For Research Use Only. Not for Use in Diagnostic Procedures.

Revision 1

Cell Signaling Technology Logo
Confocal immunofluorescent analysis of rat brain using CaMKII-α (6G9) Mouse mAb (green). Glial cells were labeled with GFAP (D1F4Q) XP® Rabbit mAb #12389 (red). Blue pseudocolor = DRAQ5® #4084 (fluorescent DNA dye). Data were generated using the standard formulation of this product.
Immunofluorescence Image 1: CaMKII-alpha (6G9) Mouse Monoclonal Antibody (BSA and Azide Free)
Confocal immunofluorescent analysis of mouse primary neurons using CaMKII-α (6G9) Mouse mAb (green). Blue pseudocolor = DRAQ5® #4084 (fluorescent DNA dye). Data were generated using the standard formulation of this product.
Immunofluorescence Image 1: CaMKII-alpha (6G9) Mouse Monoclonal Antibody (BSA and Azide Free)
Orders: 877-616-CELL (2355) [email protected] Support: 877-678-TECH (8324) [email protected] Web: cellsignal.com
For Research Use Only. Not for Use in Diagnostic Procedures.