Revision 4

#98033

Store at -20C

CST Logo
Orders:

877-616-CELL (2355)

[email protected]

Support:

877-678-TECH (8324)

3 Trask Lane | Danvers | Massachusetts | 01923 | USA

For Research Use Only. Not for Use in Diagnostic Procedures.

Applications:
W, IHC-P

Reactivity:
H

Sensitivity:
Endogenous

MW (kDa):
48,10

Source/Isotype:
Rabbit IgG

UniProt ID:
#P29466

Entrez-Gene Id:
834

Product Usage Information

Application Dilution
Western Blotting 1:1000
Immunohistochemistry (Paraffin) 1:150 - 1:600

Storage

Supplied in 10 mM sodium HEPES (pH 7.5), 150 mM NaCl, 100 µg/mL BSA, 50% glycerol, and less than 0.02% sodium azide. Store at –20°C. Do not aliquot the antibody.

Specificity/Sensitivity

Caspase-1 (E4R8K) Rabbit Monoclonal Antibody recognizes endogenous levels of total caspase-1 protein. This antibody recognizes both the full-length and the processed C-terminal p10 fragment.

Source / Purification

Monoclonal antibody is produced by immunizing animals with recombinant protein specific to the carboxy terminus of human caspase-1 protein.

Background

Caspase-1, or interleukin-1ß converting enzyme (ICE/ICEα), is a class I cysteine protease, which also includes caspases -4, -5, -11, and -12. Caspase-1 cleaves inflammatory cytokines such as pro-IL-1ß and interferon-γ inducing factor (IL-18) into their mature forms (1,2). Like other caspases, caspase-1 is proteolytically activated from a proenzyme to produce a tetramer of its two active subunits, p20 and p10. Caspase-1 has a large amino-terminal pro-domain that contains a caspase recruitment domain (CARD). Overexpression of caspase-1 can induce apoptosis (3). Mice deficient in caspase-1, however, have no overt defects in apoptosis but do have defects in the maturation of pro-IL-1β and are resistant to endotoxic shock (4,5). At least six caspase-1 isoforms have been identified, including caspase-1 α, β, γ, δ, ε, and ζ (6). Most caspase-1 isoforms (α, β, γ, and δ) produce products between 30-48 kDa and induce apoptosis upon overexpression. Caspase-1 ε typically contains only the p10 subunit, does not induce apoptosis, and may act as a dominant negative. The widely expressed ζ isoform of caspase-1 induces apoptosis and lacks 39 amino-terminal residues found in the α isoform (6). Activation of caspase-1 occurs through an oligomerization molecular platform designated the "inflammasome" that includes caspase-5, Pycard/Asc, and NALP1 (7).

Species Reactivity

Species reactivity is determined by testing in at least one approved application (e.g., western blot).

Western Blot Buffer

IMPORTANT: For western blots, incubate membrane with diluted primary antibody in 5% w/v nonfat dry milk, 1X TBS, 0.1% Tween® 20 at 4°C with gentle shaking, overnight.

Applications Key

W: Western Blotting IHC-P: Immunohistochemistry (Paraffin)

Cross-Reactivity Key

H: Human

Trademarks and Patents

Cell Signaling Technology is a trademark of Cell Signaling Technology, Inc.

SignalStain is a registered trademark of Cell Signaling Technology, Inc.

All other trademarks are the property of their respective owners. Visit cellsignal.com/trademarks for more information.

Limited Uses

Except as otherwise expressly agreed in a writing signed by a legally authorized representative of CST, the following terms apply to Products provided by CST, its affiliates or its distributors. Any Customer's terms and conditions that are in addition to, or different from, those contained herein, unless separately accepted in writing by a legally authorized representative of CST, are rejected and are of no force or effect.

Products are labeled with For Research Use Only or a similar labeling statement and have not been approved, cleared, or licensed by the FDA or other regulatory foreign or domestic entity, for any purpose. Customer shall not use any Product for any diagnostic or therapeutic purpose, or otherwise in any manner that conflicts with its labeling statement. Products sold or licensed by CST are provided for Customer as the end-user and solely for research and development uses. Any use of Product for diagnostic, prophylactic or therapeutic purposes, or any purchase of Product for resale (alone or as a component) or other commercial purpose, requires a separate license from CST. Customer shall (a) not sell, license, loan, donate or otherwise transfer or make available any Product to any third party, whether alone or in combination with other materials, or use the Products to manufacture any commercial products, (b) not copy, modify, reverse engineer, decompile, disassemble or otherwise attempt to discover the underlying structure or technology of the Products, or use the Products for the purpose of developing any products or services that would compete with CST products or services, (c) not alter or remove from the Products any trademarks, trade names, logos, patent or copyright notices or markings, (d) use the Products solely in accordance with CST Product Terms of Sale and any applicable documentation, and (e) comply with any license, terms of service or similar agreement with respect to any third party products or services used by Customer in connection with the Products.

Orders: 877-616-CELL (2355) [email protected] Support: 877-678-TECH (8324) [email protected] Web: cellsignal.com
For Research Use Only. Not for Use in Diagnostic Procedures.

Revision 4

Cell Signaling Technology Logo
Western blot analysis of extracts from HCT 116 and THP-1 cells using Caspase-1 (E4R8K) Rabbit mAb (upper) or β-Actin (D6A8) Rabbit mAb #8457 (lower).
Western Blotting Image 1: Caspase-1 (E4R8K) Rabbit Monoclonal Antibody
Western blot analysis of extracts from various cell lines using Caspase-1 (E4R8K) Rabbit mAb (upper) or β-Actin (D6A8) Rabbit mAb #8457 (lower).
Western Blotting Image 2: Caspase-1 (E4R8K) Rabbit Monoclonal Antibody
Western blot analysis of extracts from 293 cells, untransfected (-) or transfected with construct overexpressing human caspase-1 (+), using Caspase-1 (E4R8K) Rabbit mAb (upper) or α-Actinin (D6F6) XP® Rabbit mAb (HRP Conjugate) (lower).
Western Blotting Image 3: Caspase-1 (E4R8K) Rabbit Monoclonal Antibody
Orders: 877-616-CELL (2355) [email protected] Support: 877-678-TECH (8324) [email protected] Web: cellsignal.com
For Research Use Only. Not for Use in Diagnostic Procedures.

Revision 4

Cell Signaling Technology Logo
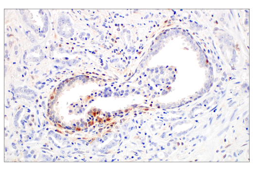
Immunohistochemical analysis of paraffin-embedded human small cell carcinoma of the salivary gland using Caspase-1 (E4R8K) Rabbit mAb.
Immunohistochemistry Image 1: Caspase-1 (E4R8K) Rabbit Monoclonal Antibody

Immunohistochemical analysis of paraffin-embedded human esophageal adenocarcinoma using Caspase-1 (E4R8K) Rabbit mAb.

Immunohistochemistry Image 2: Caspase-1 (E4R8K) Rabbit Monoclonal Antibody
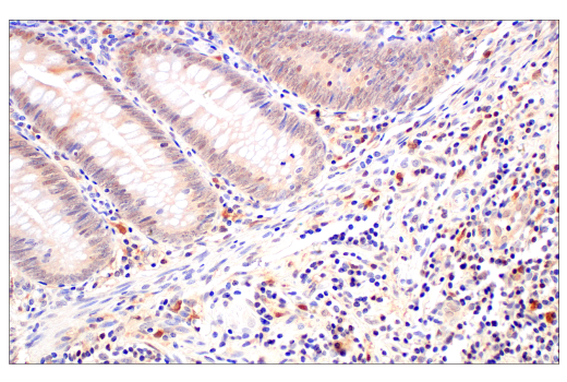
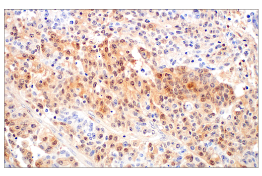
Immunohistochemical analysis of paraffin-embedded human colon adenocarcinoma using Caspase-1 (E4R8K) Rabbit mAb.
Immunohistochemistry Image 3: Caspase-1 (E4R8K) Rabbit Monoclonal Antibody
Orders: 877-616-CELL (2355) [email protected] Support: 877-678-TECH (8324) [email protected] Web: cellsignal.com
For Research Use Only. Not for Use in Diagnostic Procedures.

Revision 4

Cell Signaling Technology Logo

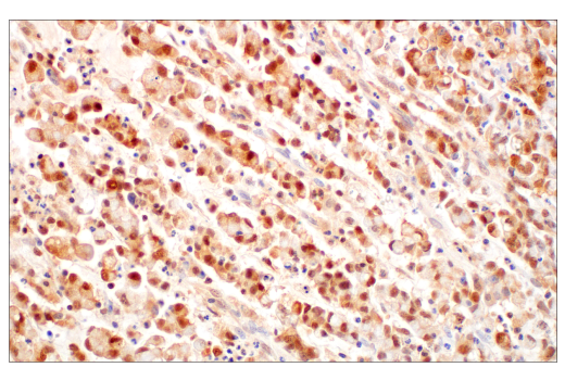
Immunohistochemical analysis of paraffin-embedded human prostate adenocarcinoma using Caspase-1 (E4R8K) Rabbit mAb.

Immunohistochemistry Image 4: Caspase-1 (E4R8K) Rabbit Monoclonal Antibody
Immunohistochemical analysis of paraffin-embedded human appendix using Caspase-1 (E4R8K) Rabbit mAb.
Immunohistochemistry Image 5: Caspase-1 (E4R8K) Rabbit Monoclonal Antibody

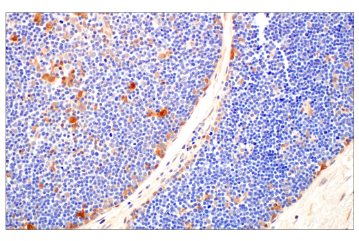
Immunohistochemical analysis of paraffin-embedded normal human thymus using Caspase-1 (E4R8K) Rabbit mAb.

Immunohistochemistry Image 6: Caspase-1 (E4R8K) Rabbit Monoclonal Antibody
Orders: 877-616-CELL (2355) [email protected] Support: 877-678-TECH (8324) [email protected] Web: cellsignal.com
For Research Use Only. Not for Use in Diagnostic Procedures.

Revision 4

Cell Signaling Technology Logo
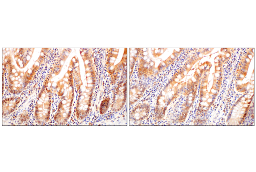
Immunohistochemical analysis of paraffin-embedded normal human small intestine using Caspase-1 (E4R8K) Rabbit mAb (left) or a Caspase-1 Rabbit mAb (right). These two antibodies detect unique, non-overlapping epitopes on Caspase-1. The similar staining patterns obtained with both antibodies help to confirm the specificity of the staining.
Immunohistochemistry Image 7: Caspase-1 (E4R8K) Rabbit Monoclonal Antibody
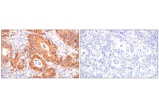
Immunohistochemical analysis of paraffin-embedded human colon adenocarcinoma using Caspase-1 (E4R8K) Rabbit mAb (left) compared to concentration-matched Rabbit (DA1E) mAb IgG XP® Isotype Control #3900 (right). 
Immunohistochemistry Image 8: Caspase-1 (E4R8K) Rabbit Monoclonal Antibody
Immunohistochemical analysis of paraffin-embedded THP-1 cell pellet (left, positive) or HCT 116 cell pellet (right, negative) using Caspase-1 (E4R8K) Rabbit mAb.
Immunohistochemistry Image 9: Caspase-1 (E4R8K) Rabbit Monoclonal Antibody
Orders: 877-616-CELL (2355) [email protected] Support: 877-678-TECH (8324) [email protected] Web: cellsignal.com
For Research Use Only. Not for Use in Diagnostic Procedures.