Revision 1

#46272

Store at -20C

CST Logo
Orders:

877-616-CELL (2355)

[email protected]

Support:

877-678-TECH (8324)

3 Trask Lane | Danvers | Massachusetts | 01923 | USA

For Research Use Only. Not for Use in Diagnostic Procedures.

Applications:
W, IHC-P

Reactivity:
H M R

Sensitivity:
Endogenous

MW (kDa):
10, 57

Source/Isotype:
Rabbit IgG

UniProt ID:
#Q14790

Entrez-Gene Id:
841

Product Usage Information

This product is the carrier free version of product #8873. All data were generated using the same antibody clone in the standard formulation which contains BSA and glycerol.

This formulation is ideal for use with technologies requiring specialized or custom antibody labeling, including fluorophores, metals, lanthanides, and oligonucleotides. It is not recommended for ChIP, ChIP-seq, CUT&RUN or CUT&Tag assays. If you require a carrier free formulation for chromatin profiling, please contact us. Optimal dilutions/concentrations should be determined by the end user.

BSA and Azide Free antibodies are quality control tested by size exclusion chromatography (SEC) to determine antibody integrity.

Formulation

Supplied in 1X PBS (10 mM Na2HPO4, 3 mM KCl, 2 mM KH2PO4, and 140 mM NaCl (pH 7.8)). BSA and Azide Free.

For standard formulation of this product see product #8873

Storage

Store at -20°C. This product will freeze at -20°C so it is recommended to aliquot into single-use vials to avoid multiple freeze/thaw cycles. A slight precipitate may be present and can be dissolved by gently vortexing. This will not interfere with antibody performance.

Specificity/Sensitivity

Caspase-8 (F5K9P) Rabbit Monoclonal Antibody (BSA and Azide Free) recognizes endogenous levels of total caspase-8 protein, including the p10 subunit of the activated protein.

Source / Purification

Monoclonal antibody is produced by immunizing animals with a synthetic peptide corresponding to residues surrounding Pro394 of human caspase-8 protein.

Background

Apoptosis induced through the CD95 receptor (Fas/APO-1) and tumor necrosis factor receptor 1 (TNFR1) activates caspase-8 and leads to the release of the caspase-8 active fragments, p18 and p10 (1-3). Activated caspase-8 cleaves and activates downstream effector caspases such as caspase-1, -3, -6, and -7. Caspase-3 ultimately elicits the morphological hallmarks of apoptosis, including DNA fragmentation and cell shrinkage.

In addition to functioning as a key initiator caspase for extrinsic apoptosis, more recent studies have identified caspase-8 as a regulator of inflammatory necrotic cell death pathways such as necroptosis and pyroptosis (4,5). Activation of caspase-8 leads to cleavage of RIPK1 and RIPK3 to inhibit necroptosis (6,7). As a result, caspase-8 deficiency in mice, which is embryonic lethal, can be rescued by deletion of the necroptosis proteins RIPK3 or MLKL (8-11). Additionally, in some circumstances, caspase-8 is recruited to the inflammasome to trigger pyroptosis (12,13). Studies have also found that expression of an enzymatically inactive form of caspase-8 (C362S) causes embryonic lethality by inducing necroptosis and pyroptosis (14).

Species Reactivity

Species reactivity is determined by testing in at least one approved application (e.g., western blot).

Applications Key

W: Western Blotting IHC-P: Immunohistochemistry (Paraffin)

Cross-Reactivity Key

H: Human M: Mouse R: Rat

Trademarks and Patents

Cell Signaling Technology is a trademark of Cell Signaling Technology, Inc.

All other trademarks are the property of their respective owners. Visit cellsignal.com/trademarks for more information.

Limited Uses

Except as otherwise expressly agreed in a writing signed by a legally authorized representative of CST, the following terms apply to Products provided by CST, its affiliates or its distributors. Any Customer's terms and conditions that are in addition to, or different from, those contained herein, unless separately accepted in writing by a legally authorized representative of CST, are rejected and are of no force or effect.

Products are labeled with For Research Use Only or a similar labeling statement and have not been approved, cleared, or licensed by the FDA or other regulatory foreign or domestic entity, for any purpose. Customer shall not use any Product for any diagnostic or therapeutic purpose, or otherwise in any manner that conflicts with its labeling statement. Products sold or licensed by CST are provided for Customer as the end-user and solely for research and development uses. Any use of Product for diagnostic, prophylactic or therapeutic purposes, or any purchase of Product for resale (alone or as a component) or other commercial purpose, requires a separate license from CST. Customer shall (a) not sell, license, loan, donate or otherwise transfer or make available any Product to any third party, whether alone or in combination with other materials, or use the Products to manufacture any commercial products, (b) not copy, modify, reverse engineer, decompile, disassemble or otherwise attempt to discover the underlying structure or technology of the Products, or use the Products for the purpose of developing any products or services that would compete with CST products or services, (c) not alter or remove from the Products any trademarks, trade names, logos, patent or copyright notices or markings, (d) use the Products solely in accordance with CST Product Terms of Sale and any applicable documentation, and (e) comply with any license, terms of service or similar agreement with respect to any third party products or services used by Customer in connection with the Products.

Orders: 877-616-CELL (2355) [email protected] Support: 877-678-TECH (8324) [email protected] Web: cellsignal.com
For Research Use Only. Not for Use in Diagnostic Procedures.

Revision 1

Cell Signaling Technology Logo
Western blot analysis of extracts from HCT 116 and CRISPR/Cas9 caspase-8 knockout (KO) HCT 116 cells, untreated (-) or treated with Staurosporine #9953 (1 μM, 4 hr; +), using Caspase-8 (F5K9P) Rabbit mAb (upper) or GAPDH (D16H11) XP® Rabbit mAb #5174 (lower). Data were generated using the standard formulation of this product.
Western Blotting Image 1: Caspase-8 (F5K9P) Rabbit Monoclonal Antibody (BSA and Azide Free)
Western blot analysis of extracts from THP-1 cells, untreated (-) or treated with Cycloheximide #2112 (CHX, 10 μg/mL, 18 hr) followed by Human Tumor Necrosis Factor-α (hTNF-α, 20 ng/mL, 4 hr; +), using Caspase-8 (F5K9P) Rabbit mAb (upper) or GAPDH (D16H11) XP® Rabbit mAb #5174 (lower). Data were generated using the standard formulation of this product.
Western Blotting Image 2: Caspase-8 (F5K9P) Rabbit Monoclonal Antibody (BSA and Azide Free)
Western blot analysis of extracts from WEHI-231 cells, untreated (-) or treated with Staurosporine #9953 (1 μM, 3 hr; +), using Caspase-8 (F5K9P) Rabbit mAb (upper) or GAPDH (D16H11) XP® Rabbit mAb #5174 (lower). Data were generated using the standard formulation of this product.
Western Blotting Image 3: Caspase-8 (F5K9P) Rabbit Monoclonal Antibody (BSA and Azide Free)
Orders: 877-616-CELL (2355) [email protected] Support: 877-678-TECH (8324) [email protected] Web: cellsignal.com
For Research Use Only. Not for Use in Diagnostic Procedures.

Revision 1

Cell Signaling Technology Logo
Western blot analysis of extracts from various cell lines using Caspase-8 (F5K9P) Rabbit mAb (upper) or GAPDH (D16H11) XP® Rabbit mAb #5174 (lower). Data were generated using the standard formulation of this product.
Western Blotting Image 4: Caspase-8 (F5K9P) Rabbit Monoclonal Antibody (BSA and Azide Free)
Western blot analysis of extracts from 293T cells, mock transfected (-) or transfected with a construct expressing Myc/DDK-tagged full-length human caspase-8 protein (hCasp8-Myc/DDK; +), using Caspase-8 (F5K9P) Rabbit mAb (upper), Myc-Tag (71D10) Rabbit mAb #2278 (middle), or GAPDH (D16H11) XP® Rabbit mAb #5174 (lower). Data were generated using the standard formulation of this product.
Western Blotting Image 5: Caspase-8 (F5K9P) Rabbit Monoclonal Antibody (BSA and Azide Free)
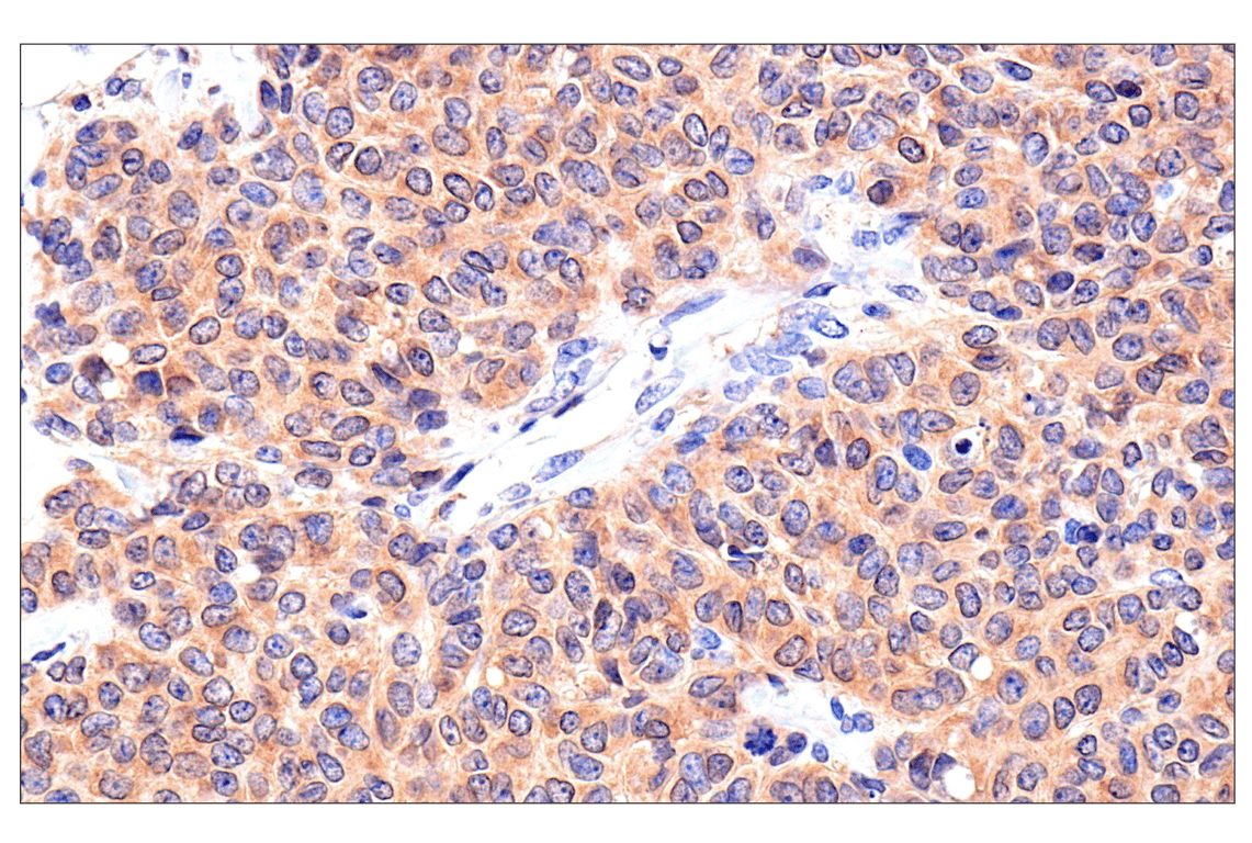
Immunohistochemical analysis of paraffin-embedded human esophageal adenocarcinoma using Caspase-8 (F5K9P) Rabbit mAb. Data were generated using the standard formulation of this product.
Immunohistochemistry Image 1: Caspase-8 (F5K9P) Rabbit Monoclonal Antibody (BSA and Azide Free)
Orders: 877-616-CELL (2355) [email protected] Support: 877-678-TECH (8324) [email protected] Web: cellsignal.com
For Research Use Only. Not for Use in Diagnostic Procedures.

Revision 1

Cell Signaling Technology Logo
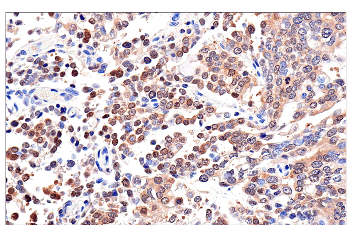
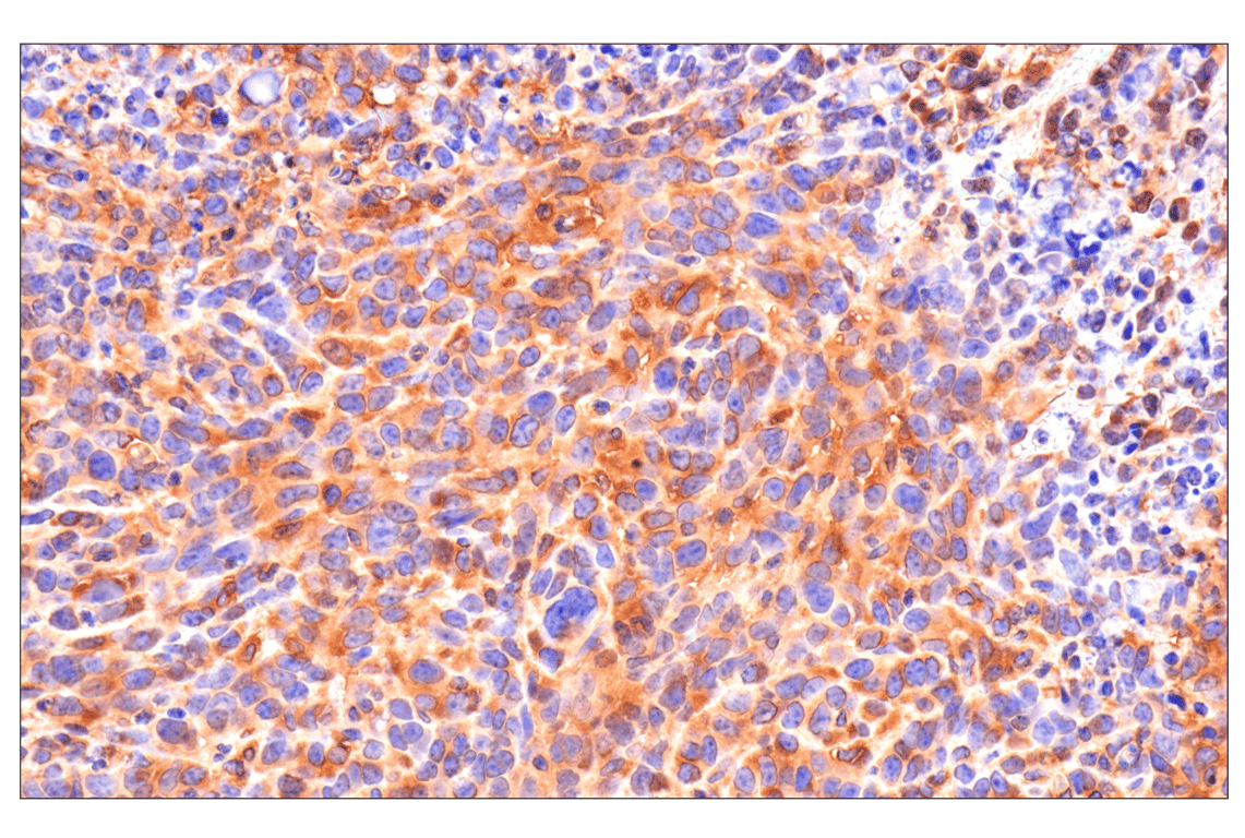
Immunohistochemical analysis of paraffin-embedded human granulosa cell tumor of the ovary using Caspase-8 (F5K9P) Rabbit mAb. Data were generated using the standard formulation of this product.
Immunohistochemistry Image 2: Caspase-8 (F5K9P) Rabbit Monoclonal Antibody (BSA and Azide Free)
Immunohistochemical analysis of paraffin-embedded human urothelial carcinoma (left), colon adenocarcinoma (middle), or normal kidney (right) using Caspase-8 (F5K9P) Rabbit mAb (top) or a Caspase-8 Rabbit mAb (bottom). These two antibodies detect unique, non-overlapping epitopes on human caspase-8. The similar staining patterns obtained with both antibodies help to confirm the specificity of the staining. Data were generated using the standard formulation of this product.
Immunohistochemistry Image 3: Caspase-8 (F5K9P) Rabbit Monoclonal Antibody (BSA and Azide Free)
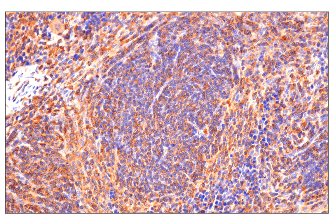
Immunohistochemical analysis of paraffin-embedded 4T1 syngeneic tumor using Caspase-8 (F5K9P) Rabbit mAb. Data were generated using the standard formulation of this product.
Immunohistochemistry Image 4: Caspase-8 (F5K9P) Rabbit Monoclonal Antibody (BSA and Azide Free)
Orders: 877-616-CELL (2355) [email protected] Support: 877-678-TECH (8324) [email protected] Web: cellsignal.com
For Research Use Only. Not for Use in Diagnostic Procedures.

Revision 1

Cell Signaling Technology Logo
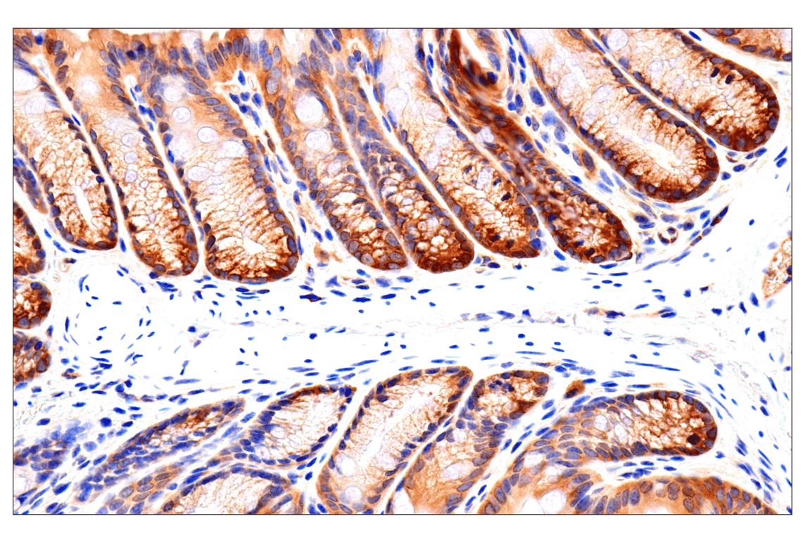
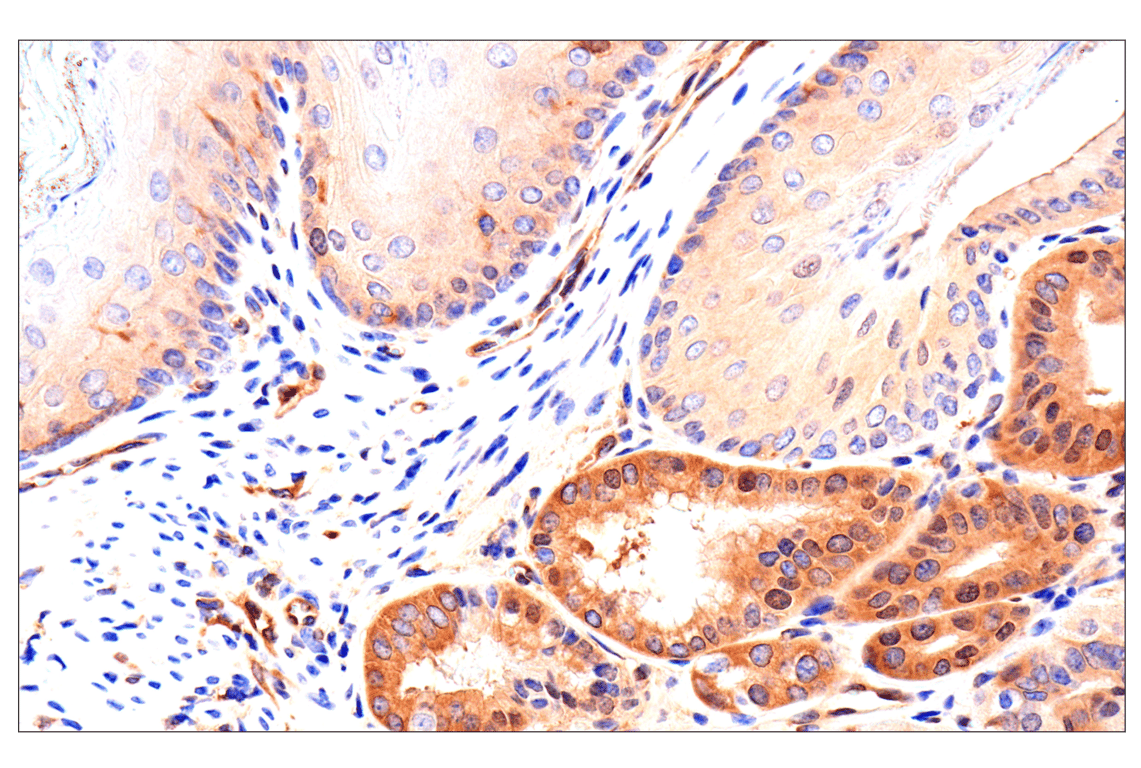
Immunohistochemical analysis of paraffin-embedded mouse colon using Caspase-8 (F5K9P) Rabbit mAb. Data were generated using the standard formulation of this product.
Immunohistochemistry Image 5: Caspase-8 (F5K9P) Rabbit Monoclonal Antibody (BSA and Azide Free)
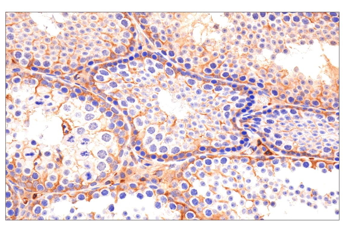
Immunohistochemical analysis of paraffin-embedded mouse testis using Caspase-8 (F5K9P) Rabbit mAb. Data were generated using the standard formulation of this product.
Immunohistochemistry Image 6: Caspase-8 (F5K9P) Rabbit Monoclonal Antibody (BSA and Azide Free)
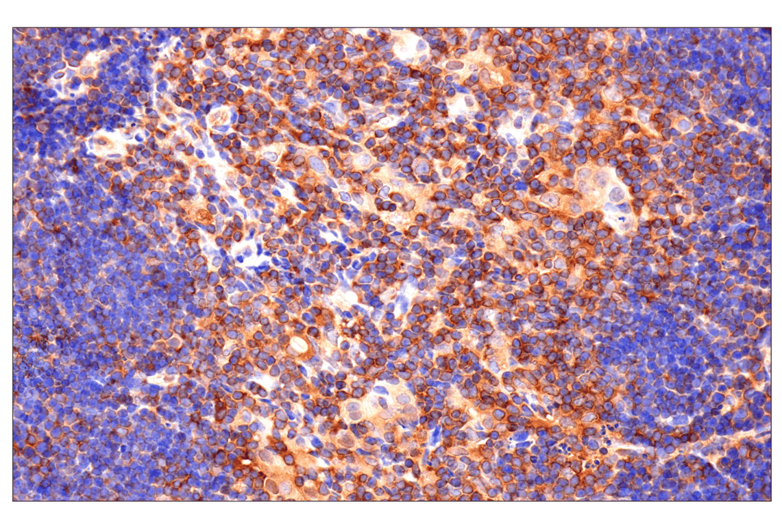
Immunohistochemical analysis of paraffin-embedded mouse spleen using Caspase-8 (F5K9P) Rabbit mAb. Data were generated using the standard formulation of this product.
Immunohistochemistry Image 7: Caspase-8 (F5K9P) Rabbit Monoclonal Antibody (BSA and Azide Free)
Orders: 877-616-CELL (2355) [email protected] Support: 877-678-TECH (8324) [email protected] Web: cellsignal.com
For Research Use Only. Not for Use in Diagnostic Procedures.

Revision 1

Cell Signaling Technology Logo
Immunohistochemical analysis of paraffin-embedded mouse thymus using Caspase-8 (F5K9P) Rabbit mAb. Data were generated using the standard formulation of this product.
Immunohistochemistry Image 8: Caspase-8 (F5K9P) Rabbit Monoclonal Antibody (BSA and Azide Free)
Immunohistochemical analysis of paraffin-embedded mouse forestomach using Caspase-8 (F5K9P) Rabbit mAb. Data were generated using the standard formulation of this product.
Immunohistochemistry Image 9: Caspase-8 (F5K9P) Rabbit Monoclonal Antibody (BSA and Azide Free)
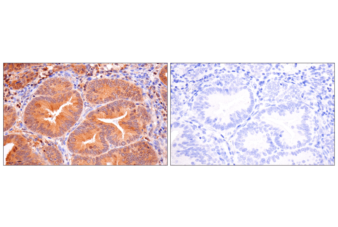
Immunohistochemical analysis of paraffin-embedded human endometrioid adenocarcinoma using Caspase-8 (F5K9P) Rabbit mAb (left) compared to concentration-matched Rabbit (DA1E) mAb IgG XP® Isotype Control #3900 (right). Data were generated using the standard formulation of this product.
Immunohistochemistry Image 10: Caspase-8 (F5K9P) Rabbit Monoclonal Antibody (BSA and Azide Free)
Orders: 877-616-CELL (2355) [email protected] Support: 877-678-TECH (8324) [email protected] Web: cellsignal.com
For Research Use Only. Not for Use in Diagnostic Procedures.

Revision 1

Cell Signaling Technology Logo
Immunohistochemical analysis of paraffin-embedded HCT 116 cell pellets, control (left, positive) or CRISPR/Cas9 caspase-8 knockout (KO) (right, negative), using Caspase-8 (F5K9P) Rabbit mAb. Data were generated using the standard formulation of this product.
Immunohistochemistry Image 11: Caspase-8 (F5K9P) Rabbit Monoclonal Antibody (BSA and Azide Free)
Orders: 877-616-CELL (2355) [email protected] Support: 877-678-TECH (8324) [email protected] Web: cellsignal.com
For Research Use Only. Not for Use in Diagnostic Procedures.