Revision 1

#59854

Store at -20C

CST Logo
Orders:

877-616-CELL (2355)

[email protected]

Support:

877-678-TECH (8324)

3 Trask Lane | Danvers | Massachusetts | 01923 | USA

For Research Use Only. Not for Use in Diagnostic Procedures.

Applications:
W, IP, IHC-P, IF-IC

Reactivity:
H M R

Sensitivity:
Endogenous

MW (kDa):
95, 105

Source/Isotype:
Rabbit IgG

UniProt ID:
#O60716

Entrez-Gene Id:
1500

Product Usage Information

Application Dilution
Western Blotting 1:1000
Immunoprecipitation 1:100
Immunohistochemistry (Paraffin) 1:300
Immunofluorescence (Immunocytochemistry) 1:800

Storage

Supplied in 10 mM sodium HEPES (pH 7.5), 150 mM NaCl, 100 µg/ml BSA, 50% glycerol and less than 0.02% sodium azide. Store at –20°C. Do not aliquot the antibody.

Specificity/Sensitivity

Catenin delta-1 (D7S2M) Rabbit Monoclonal Antibody recognizes endogenous levels of total catenin δ-1 protein.

Source / Purification

Monoclonal antibody is produced by immunizing animals with recombinant protein specific to the amino terminus of human catenin δ-1 protein.

Background

Catenin δ-1 (p120 catenin) has an amino-terminal coiled-coil domain followed by a regulatory domain containing multiple phosphorylation sites and a central Armadillo repeat domain of ten linked 42-amino acid repeats. The carboxy-terminal tail has no known function (1). Catenin δ-1 fulfills critical roles in the regulation of cell-cell adhesion as it regulates E-cadherin turnover at the cell surface to determine the level of E-cadherin available for cell-cell adhesion (2). Catenin δ-1 has both positive and negative effects on cadherin-mediated adhesion (3). Actin dynamics are also regulated by catenin δ-1, which modulates RhoA, Rac, and cdc42 proteins (1). Analogous to β-catenin, catenin δ-1 translocates to the nucleus, although its role at this location is unclear. Many studies show that catenin δ-1 is expressed irregularly or is absent in various types of tumor cells, suggesting that catenin δ-1 may function as a tumor suppressor (4).

Species Reactivity

Species reactivity is determined by testing in at least one approved application (e.g., western blot).

Western Blot Buffer

IMPORTANT: For western blots, incubate membrane with diluted primary antibody in 5% w/v BSA, 1X TBS, 0.1% Tween® 20 at 4°C with gentle shaking, overnight.

Applications Key

W: Western Blotting IP: Immunoprecipitation IHC-P: Immunohistochemistry (Paraffin) IF-IC: Immunofluorescence (Immunocytochemistry)

Cross-Reactivity Key

H: Human M: Mouse R: Rat

Trademarks and Patents

Cell Signaling Technology is a trademark of Cell Signaling Technology, Inc.

CST is a registered trademark of Cell Signaling Technology, Inc.

SignalStain is a registered trademark of Cell Signaling Technology, Inc.

All other trademarks are the property of their respective owners. Visit cellsignal.com/trademarks for more information.

Limited Uses

Except as otherwise expressly agreed in a writing signed by a legally authorized representative of CST, the following terms apply to Products provided by CST, its affiliates or its distributors. Any Customer's terms and conditions that are in addition to, or different from, those contained herein, unless separately accepted in writing by a legally authorized representative of CST, are rejected and are of no force or effect.

Products are labeled with For Research Use Only or a similar labeling statement and have not been approved, cleared, or licensed by the FDA or other regulatory foreign or domestic entity, for any purpose. Customer shall not use any Product for any diagnostic or therapeutic purpose, or otherwise in any manner that conflicts with its labeling statement. Products sold or licensed by CST are provided for Customer as the end-user and solely for research and development uses. Any use of Product for diagnostic, prophylactic or therapeutic purposes, or any purchase of Product for resale (alone or as a component) or other commercial purpose, requires a separate license from CST. Customer shall (a) not sell, license, loan, donate or otherwise transfer or make available any Product to any third party, whether alone or in combination with other materials, or use the Products to manufacture any commercial products, (b) not copy, modify, reverse engineer, decompile, disassemble or otherwise attempt to discover the underlying structure or technology of the Products, or use the Products for the purpose of developing any products or services that would compete with CST products or services, (c) not alter or remove from the Products any trademarks, trade names, logos, patent or copyright notices or markings, (d) use the Products solely in accordance with CST Product Terms of Sale and any applicable documentation, and (e) comply with any license, terms of service or similar agreement with respect to any third party products or services used by Customer in connection with the Products.

Orders: 877-616-CELL (2355) [email protected] Support: 877-678-TECH (8324) [email protected] Web: cellsignal.com
For Research Use Only. Not for Use in Diagnostic Procedures.

Revision 1

Cell Signaling Technology Logo
Western blot analysis of extracts from various cell lines using Catenin δ-1 (D7SS7M) XP® Rabbit mAb (upper) and β-Actin (D6A8) Rabbit mAb #8457 (lower).
Western Blotting Image 1: Catenin delta-1 (D7S2M) Rabbit Monoclonal Antibody
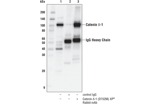
Immunoprecipitation of catenin δ-1 protein from HT-29 cell extracts. Lane 1 is 10% input, lane 2 is Rabbit (DA1E) mAb IgG XP® Isotype Control #3900, and lane 3 is Catenin δ-1 (D7S2M) XP® Rabbit mAb. Western blot analysis was performed using Catenin δ-1 (D7S2M) XP® Rabbit mAb as primary antibody. Anti-rabbit IgG, HRP-linked Antibody #7074 was used as secondary antibody.
Immunoprecipitation Image 1: Catenin delta-1 (D7S2M) Rabbit Monoclonal Antibody
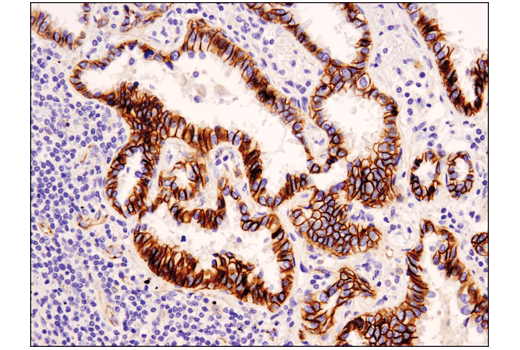
Immunohistochemical analysis of paraffin-embedded human lung carcinoma using Catenin δ-1 (D7S2M) XP® Rabbit mAb.
Immunohistochemistry Image 1: Catenin delta-1 (D7S2M) Rabbit Monoclonal Antibody
Orders: 877-616-CELL (2355) [email protected] Support: 877-678-TECH (8324) [email protected] Web: cellsignal.com
For Research Use Only. Not for Use in Diagnostic Procedures.

Revision 1

Cell Signaling Technology Logo
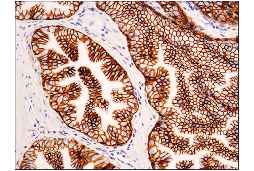
Immunohistochemical analysis of paraffin-embedded human prostate carcinoma using Catenin δ-1 (D7S2M) XP® Rabbit mAb.
Immunohistochemistry Image 2: Catenin delta-1 (D7S2M) Rabbit Monoclonal Antibody
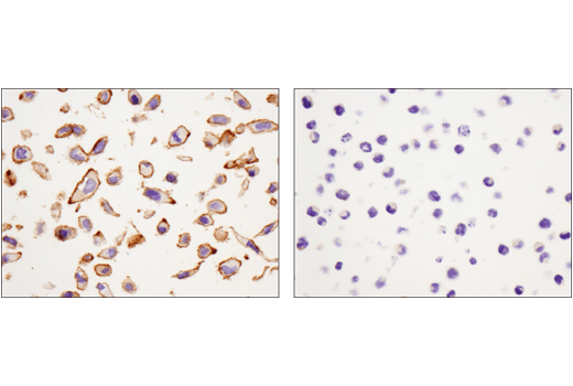
Immunohistochemical analysis of paraffin-embedded HeLa cell pellet (left, positive) or HL-60 cell pellet (right, negative) using Catenin δ-1 (D7S2M) XP® Rabbit mAb.
Immunohistochemistry Image 3: Catenin delta-1 (D7S2M) Rabbit Monoclonal Antibody
Confocal immunofluorescent analysis of HT-29 cells (left, positive) and HL-60 cells (right, negative) using Catenin δ-1 (D7S2M) XP® Rabbit mAb (green). Blue pseudocolor = DRAQ5® #4084 (fluorescent DNA dye).
Immunofluorescence Image 1: Catenin delta-1 (D7S2M) Rabbit Monoclonal Antibody
Orders: 877-616-CELL (2355) [email protected] Support: 877-678-TECH (8324) [email protected] Web: cellsignal.com
For Research Use Only. Not for Use in Diagnostic Procedures.

Revision 1

Cell Signaling Technology Logo
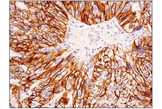
Immunohistochemical analysis of paraffin-embedded human endometrioid adenocarcinoma using Catenin δ-1 (D7S2M) XP® Rabbit mAb.
undefined Image 1: Catenin delta-1 (D7S2M) Rabbit Monoclonal Antibody
Orders: 877-616-CELL (2355) [email protected] Support: 877-678-TECH (8324) [email protected] Web: cellsignal.com
For Research Use Only. Not for Use in Diagnostic Procedures.