Revision 1

#78749

Store at -20C

CST Logo
Orders:

877-616-CELL (2355)

[email protected]

Support:

877-678-TECH (8324)

3 Trask Lane | Danvers | Massachusetts | 01923 | USA

For Research Use Only. Not for Use in Diagnostic Procedures.

Applications:
W, IHC-P, IF-IC, FC-FP

Reactivity:
H M R

Sensitivity:
Endogenous

MW (kDa):
44, 27, 24

Source/Isotype:
Rabbit IgG

UniProt ID:
#P07858

Entrez-Gene Id:
1508

Product Usage Information

This product is the carrier free version of product #31718. All data were generated using the same antibody clone in the standard formulation which contains BSA and glycerol.

This formulation is ideal for use with technologies requiring specialized or custom antibody labeling, including fluorophores, metals, lanthanides, and oligonucleotides. It is not recommended for ChIP, ChIP-seq, CUT&RUN or CUT&Tag assays. If you require a carrier free formulation for chromatin profiling, please contact us. Optimal dilutions/concentrations should be determined by the end user.

BSA and Azide Free antibodies are quality control tested by size exclusion chromatography (SEC) to determine antibody integrity.

Formulation

Supplied in 1X PBS (10 mM Na2HPO4, 3 mM KCl, 2 mM KH2PO4, and 140 mM NaCl (pH 7.8)). BSA and Azide Free.

For standard formulation of this product see product #31718

Storage

Store at -20°C. This product will freeze at -20°C so it is recommended to aliquot into single-use vials to avoid multiple freeze/thaw cycles. A slight precipitate may be present and can be dissolved by gently vortexing. This will not interfere with antibody performance.

Specificity/Sensitivity

Cathepsin B (D1C7Y) Rabbit Monoclonal Antibody (BSA and Azide Free) recognizes endogenous levels of total cathepsin B protein. This antibody detects the heavy chain subunit of cathepsin B.

Source / Purification

Monoclonal antibody is produced by immunizing animals with recombinant protein specific to the heavy chain subunit of human cathepsin B protein.

Background

Cathepsin B (CTSB), part of the papain family of proteases, is a widely expressed lysosomal cysteine endopeptidase (1,2). Cathepsin B is produced from a larger precursor form, pro-cathepsin B, which runs at approximately 44 kDa on SDS-PAGE, and is proteolytically processed and glycosylated to form a mature two-chain protein containing a heavy chain (running at 27 and 24 kDa) and a light chain (5 kDa). High levels of cathepsin B are found in macrophages and osteoclasts, as well as various types of cancer cells, including lung, colon, prostate, breast, and stomach. In addition, expression of cathepsin B has been associated with multiple sclerosis (3), rheumatoid arthritis (4), and pancreatitis (5). While generally localized to lysosomes, in cancer alterations can lead to its secretion (6). Its role in tumor progression is thought to involve promotion of basement membrane degradation, invasion and metastasis (7,8). Expression can correlate with poor prognosis for a variety of forms of cancer (9-13).

This product detects a SARS-CoV-2-related target for research into the mechanisms of the Novel Coronavirus, which has caused the COVID-19 pandemic.

Species Reactivity

Species reactivity is determined by testing in at least one approved application (e.g., western blot).

Applications Key

W: Western Blotting IHC-P: Immunohistochemistry (Paraffin) IF-IC: Immunofluorescence (Immunocytochemistry) FC-FP: Flow Cytometry (Fixed/Permeabilized)

Cross-Reactivity Key

H: Human M: Mouse R: Rat

Trademarks and Patents

Cell Signaling Technology is a trademark of Cell Signaling Technology, Inc.

All other trademarks are the property of their respective owners. Visit cellsignal.com/trademarks for more information.

Limited Uses

Except as otherwise expressly agreed in a writing signed by a legally authorized representative of CST, the following terms apply to Products provided by CST, its affiliates or its distributors. Any Customer's terms and conditions that are in addition to, or different from, those contained herein, unless separately accepted in writing by a legally authorized representative of CST, are rejected and are of no force or effect.

Products are labeled with For Research Use Only or a similar labeling statement and have not been approved, cleared, or licensed by the FDA or other regulatory foreign or domestic entity, for any purpose. Customer shall not use any Product for any diagnostic or therapeutic purpose, or otherwise in any manner that conflicts with its labeling statement. Products sold or licensed by CST are provided for Customer as the end-user and solely for research and development uses. Any use of Product for diagnostic, prophylactic or therapeutic purposes, or any purchase of Product for resale (alone or as a component) or other commercial purpose, requires a separate license from CST. Customer shall (a) not sell, license, loan, donate or otherwise transfer or make available any Product to any third party, whether alone or in combination with other materials, or use the Products to manufacture any commercial products, (b) not copy, modify, reverse engineer, decompile, disassemble or otherwise attempt to discover the underlying structure or technology of the Products, or use the Products for the purpose of developing any products or services that would compete with CST products or services, (c) not alter or remove from the Products any trademarks, trade names, logos, patent or copyright notices or markings, (d) use the Products solely in accordance with CST Product Terms of Sale and any applicable documentation, and (e) comply with any license, terms of service or similar agreement with respect to any third party products or services used by Customer in connection with the Products.

Orders: 877-616-CELL (2355) [email protected] Support: 877-678-TECH (8324) [email protected] Web: cellsignal.com
For Research Use Only. Not for Use in Diagnostic Procedures.

Revision 1

Cell Signaling Technology Logo
Western blot analysis of extracts from various cell lines using Cathepsin B (D1C7Y) XP® Rabbit mAb (upper) or β-Actin (D6A8) Rabbit mAb #8457 (lower). Data were generated using the standard formulation of this product.
Western Blotting Image 1: Cathepsin B (D1C7Y) Rabbit Monoclonal Antibody (BSA and Azide Free)
Western blot analysis of extracts from 293T cells, mock transfected (-) or transfected with constructs expressing full-length human Cathepsin B (hCTSB; +) or mouse Cathespin B (mCTSB; +) using Cathepsin B (D1C7Y) XP® Rabbit mAb. Data were generated using the standard formulation of this product.
Western Blotting Image 2: Cathepsin B (D1C7Y) Rabbit Monoclonal Antibody (BSA and Azide Free)
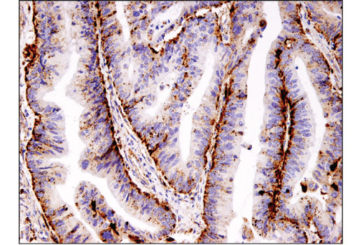
Immunohistochemical analysis of paraffin-embedded human colon carcinoma using Cathepsin B (D1C7Y) XP(R) Rabbit mAb. Data were generated using the standard formulation of this product.
Immunohistochemistry Image 1: Cathepsin B (D1C7Y) Rabbit Monoclonal Antibody (BSA and Azide Free)
Orders: 877-616-CELL (2355) [email protected] Support: 877-678-TECH (8324) [email protected] Web: cellsignal.com
For Research Use Only. Not for Use in Diagnostic Procedures.

Revision 1

Cell Signaling Technology Logo
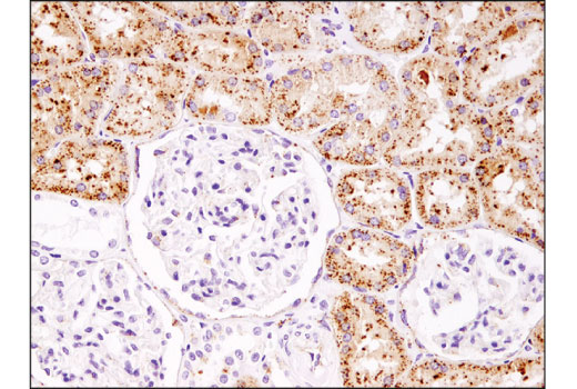
Immunohistochemical analysis of paraffin-embedded normal human kidney using Cathepsin B (D1C7Y) XP(R) Rabbit mAb. Data were generated using the standard formulation of this product.
Immunohistochemistry Image 2: Cathepsin B (D1C7Y) Rabbit Monoclonal Antibody (BSA and Azide Free)
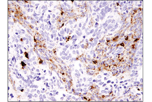
Immunohistochemical analysis of paraffin-embedded human ovarian carcinoma using Cathepsin B (D1C7Y) XP(R) Rabbit mAb. Data were generated using the standard formulation of this product.
Immunohistochemistry Image 3: Cathepsin B (D1C7Y) Rabbit Monoclonal Antibody (BSA and Azide Free)
Confocal immunofluorescent analysis of Malme-3M (left) and MCF7 (right) cells using Cathepsin (D1C7Y) XP® Rabbit mAb (green) and β-Actin (8H10D10) Mouse mAb #3700 (red). Blue pseudocolor = DRAQ5® #4084 (fluorescent DNA dye). Data were generated using the standard formulation of this product.
Immunofluorescence Image 1: Cathepsin B (D1C7Y) Rabbit Monoclonal Antibody (BSA and Azide Free)
Orders: 877-616-CELL (2355) [email protected] Support: 877-678-TECH (8324) [email protected] Web: cellsignal.com
For Research Use Only. Not for Use in Diagnostic Procedures.

Revision 1

Cell Signaling Technology Logo
Flow cytometric analysis of fixed/permeabilized Daudi cells (blue, negative) and SK-MEL-28 cells (green, positive) using Cathepsin B (D1C7Y) XP® Rabbit mAb (solid lines) or concentration-matched Rabbit (DA1E) mAb IgG XP® Isotype Control #3900 (dashed lines). Anti-rabbit IgG F(ab')2 Fragment (Alexa Fluor® 488 Conjugate) #4412 was used as a secondary antibody. Data were generated using the standard formulation of this product.
Flow Cytometry Image 1: Cathepsin B (D1C7Y) Rabbit Monoclonal Antibody (BSA and Azide Free)
Orders: 877-616-CELL (2355) [email protected] Support: 877-678-TECH (8324) [email protected] Web: cellsignal.com
For Research Use Only. Not for Use in Diagnostic Procedures.