Revision 4

#31718

Store at -20C

CST Logo
Orders:

877-616-CELL (2355)

[email protected]

Support:

877-678-TECH (8324)

3 Trask Lane | Danvers | Massachusetts | 01923 | USA

For Research Use Only. Not for Use in Diagnostic Procedures.

Applications:
W, IHC-P, IF-IC, FC-FP

Reactivity:
H M R

Sensitivity:
Endogenous

MW (kDa):
44, 27, 24

Source/Isotype:
Rabbit IgG

UniProt ID:
#P07858

Entrez-Gene Id:
1508

Product Usage Information

Application Dilution
Western Blotting 1:1000
Immunohistochemistry (Paraffin) 1:1000 - 1:4000
Immunofluorescence (Immunocytochemistry) 1:400 - 1:1600
Flow Cytometry (Fixed/Permeabilized) 1:1600 - 1:6400

Storage

Supplied in 10 mM sodium HEPES (pH 7.5), 150 mM NaCl, 100 µg/ml BSA, 50% glycerol and less than 0.02% sodium azide. Store at –20°C. Do not aliquot the antibody.

Specificity/Sensitivity

Cathepsin B (D1C7Y) Rabbit Monoclonal Antibody recognizes endogenous levels of total cathepsin B protein. This antibody detects the heavy chain subunit of cathepsin B.

Source / Purification

Monoclonal antibody is produced by immunizing animals with recombinant protein specific to the heavy chain subunit of human cathepsin B protein.

Background

Cathepsin B (CTSB), part of the papain family of proteases, is a widely expressed lysosomal cysteine endopeptidase (1,2). Cathepsin B is produced from a larger precursor form, pro-cathepsin B, which runs at approximately 44 kDa on SDS-PAGE, and is proteolytically processed and glycosylated to form a mature two-chain protein containing a heavy chain (running at 27 and 24 kDa) and a light chain (5 kDa). High levels of cathepsin B are found in macrophages and osteoclasts, as well as various types of cancer cells, including lung, colon, prostate, breast, and stomach. In addition, expression of cathepsin B has been associated with multiple sclerosis (3), rheumatoid arthritis (4), and pancreatitis (5). While generally localized to lysosomes, in cancer alterations can lead to its secretion (6). Its role in tumor progression is thought to involve promotion of basement membrane degradation, invasion and metastasis (7,8). Expression can correlate with poor prognosis for a variety of forms of cancer (9-13).

This product detects a SARS-CoV-2-related target for research into the mechanisms of the Novel Coronavirus, which has caused the COVID-19 pandemic.

Species Reactivity

Species reactivity is determined by testing in at least one approved application (e.g., western blot).

Western Blot Buffer

IMPORTANT: For western blots, incubate membrane with diluted primary antibody in 5% w/v BSA, 1X TBS, 0.1% Tween® 20 at 4°C with gentle shaking, overnight.

Applications Key

W: Western Blotting IHC-P: Immunohistochemistry (Paraffin) IF-IC: Immunofluorescence (Immunocytochemistry) FC-FP: Flow Cytometry (Fixed/Permeabilized)

Cross-Reactivity Key

H: Human M: Mouse R: Rat

Trademarks and Patents

Cell Signaling Technology is a trademark of Cell Signaling Technology, Inc.

Alexa Fluor is a registered trademark of Life Technologies Corporation.

All other trademarks are the property of their respective owners. Visit cellsignal.com/trademarks for more information.

Limited Uses

Except as otherwise expressly agreed in a writing signed by a legally authorized representative of CST, the following terms apply to Products provided by CST, its affiliates or its distributors. Any Customer's terms and conditions that are in addition to, or different from, those contained herein, unless separately accepted in writing by a legally authorized representative of CST, are rejected and are of no force or effect.

Products are labeled with For Research Use Only or a similar labeling statement and have not been approved, cleared, or licensed by the FDA or other regulatory foreign or domestic entity, for any purpose. Customer shall not use any Product for any diagnostic or therapeutic purpose, or otherwise in any manner that conflicts with its labeling statement. Products sold or licensed by CST are provided for Customer as the end-user and solely for research and development uses. Any use of Product for diagnostic, prophylactic or therapeutic purposes, or any purchase of Product for resale (alone or as a component) or other commercial purpose, requires a separate license from CST. Customer shall (a) not sell, license, loan, donate or otherwise transfer or make available any Product to any third party, whether alone or in combination with other materials, or use the Products to manufacture any commercial products, (b) not copy, modify, reverse engineer, decompile, disassemble or otherwise attempt to discover the underlying structure or technology of the Products, or use the Products for the purpose of developing any products or services that would compete with CST products or services, (c) not alter or remove from the Products any trademarks, trade names, logos, patent or copyright notices or markings, (d) use the Products solely in accordance with CST Product Terms of Sale and any applicable documentation, and (e) comply with any license, terms of service or similar agreement with respect to any third party products or services used by Customer in connection with the Products.

Orders: 877-616-CELL (2355) [email protected] Support: 877-678-TECH (8324) [email protected] Web: cellsignal.com
For Research Use Only. Not for Use in Diagnostic Procedures.

Revision 4

Cell Signaling Technology Logo
Western blot analysis of extracts from various cell lines using Cathepsin B (D1C7Y) XP® Rabbit mAb (upper) or β-Actin (D6A8) Rabbit mAb #8457 (lower).
Western Blotting Image 1: Cathepsin B (D1C7Y) Rabbit Monoclonal Antibody
Western blot analysis of extracts from 293T cells, mock transfected (-) or transfected with constructs expressing full-length human Cathepsin B (hCTSB; +) or mouse Cathespin B (mCTSB; +) using Cathepsin B (D1C7Y) XP® Rabbit mAb.
Western Blotting Image 2: Cathepsin B (D1C7Y) Rabbit Monoclonal Antibody
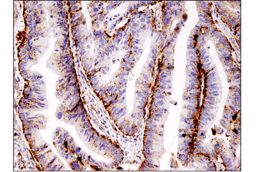
Immunohistochemical analysis of paraffin-embedded human colon carcinoma using Cathepsin B (D1C7Y) XP(R) Rabbit mAb.
Immunohistochemistry Image 1: Cathepsin B (D1C7Y) Rabbit Monoclonal Antibody
Orders: 877-616-CELL (2355) [email protected] Support: 877-678-TECH (8324) [email protected] Web: cellsignal.com
For Research Use Only. Not for Use in Diagnostic Procedures.

Revision 4

Cell Signaling Technology Logo
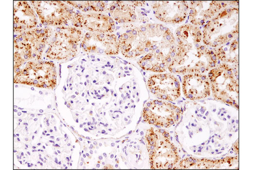
Immunohistochemical analysis of paraffin-embedded normal human kidney using Cathepsin B (D1C7Y) XP(R) Rabbit mAb.
Immunohistochemistry Image 2: Cathepsin B (D1C7Y) Rabbit Monoclonal Antibody
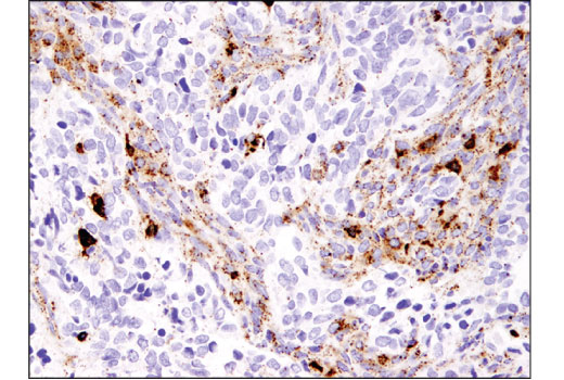
Immunohistochemical analysis of paraffin-embedded human ovarian carcinoma using Cathepsin B (D1C7Y) XP(R) Rabbit mAb.
Immunohistochemistry Image 3: Cathepsin B (D1C7Y) Rabbit Monoclonal Antibody
Confocal immunofluorescent analysis of Malme-3M (left) and MCF7 (right) cells using Cathepsin (D1C7Y) XP® Rabbit mAb (green) and β-Actin (8H10D10) Mouse mAb #3700 (red). Blue pseudocolor = DRAQ5® #4084 (fluorescent DNA dye).
Immunofluorescence Image 1: Cathepsin B (D1C7Y) Rabbit Monoclonal Antibody
Orders: 877-616-CELL (2355) [email protected] Support: 877-678-TECH (8324) [email protected] Web: cellsignal.com
For Research Use Only. Not for Use in Diagnostic Procedures.

Revision 4

Cell Signaling Technology Logo
Flow cytometric analysis of fixed/permeabilized Daudi cells (blue, negative) and SK-MEL-28 cells (green, positive) using Cathepsin B (D1C7Y) XP® Rabbit mAb (solid lines) or concentration-matched Rabbit (DA1E) mAb IgG XP® Isotype Control #3900 (dashed lines). Anti-rabbit IgG F(ab')2 Fragment (Alexa Fluor® 488 Conjugate) #4412 was used as a secondary antibody.
Flow Cytometry Image 1: Cathepsin B (D1C7Y) Rabbit Monoclonal Antibody
Orders: 877-616-CELL (2355) [email protected] Support: 877-678-TECH (8324) [email protected] Web: cellsignal.com
For Research Use Only. Not for Use in Diagnostic Procedures.