Revision 3

#88239

Store at -20C

CST Logo
Orders:

877-616-CELL (2355)

[email protected]

Support:

877-678-TECH (8324)

3 Trask Lane | Danvers | Massachusetts | 01923 | USA

For Research Use Only. Not for Use in Diagnostic Procedures.

Applications:
W, IHC-P, IF-F, IF-IC

Reactivity:
M

Sensitivity:
Endogenous

MW (kDa):
46, 43, 28

Source/Isotype:
Rabbit IgG

UniProt ID:
#P18242

Entrez-Gene Id:
13033

Product Usage Information

Application Dilution
Western Blotting 1:1000
Immunohistochemistry (Paraffin) 1:500 - 1:2000
Immunofluorescence (Frozen) 1:50 - 1:200
Immunofluorescence (Immunocytochemistry) 1:50 - 1:200

Storage

Supplied in 10 mM sodium HEPES (pH 7.5), 150 mM NaCl, 100 µg/mL BSA, 50% glycerol, and less than 0.02% sodium azide. Store at –20°C. Do not aliquot the antibody.

For a carrier free (BSA and azide free) version of this product see product #52899.

Specificity/Sensitivity

Cathepsin D (E7Z4L) Rabbit Monoclonal Antibody recognizes endogenous levels of preprocathepsin D, procathepsin D and the heavy and light chain subunit of mature cathepsin D protein.

Source / Purification

Monoclonal antibody is produced by immunizing animals with a synthetic peptide corresponding to residues near the carboxy terminus of mouse cathepsin D protein.

Background

Cathepsin D is a ubiquitously expressed lysosomal aspartyl protease involved in the normal degradation of proteins (1). It is synthesized as an inactive 43 kDa preprocathepsin D that is cleaved and glycosylated to form a 46 kDa procathepsin D and then further cleaved to produce 28 kDa and 15 kDa subunits (heavy and light chains, respectively) (2). Cathepsin D may also be secreted into the cytosol during apoptosis and contribute to cleavage of substrates implicated in the apoptotic pathway (3). Numerous studies have suggested that cathepsin D plays a role in neuronal degradation and malignant transformation, particularly in breast cancer (4-9).

Species Reactivity

Species reactivity is determined by testing in at least one approved application (e.g., western blot).

Western Blot Buffer

IMPORTANT: For western blots, incubate membrane with diluted primary antibody in 5% w/v BSA, 1X TBS, 0.1% Tween® 20 at 4°C with gentle shaking, overnight.

Applications Key

W: Western Blotting IHC-P: Immunohistochemistry (Paraffin) IF-F: Immunofluorescence (Frozen) IF-IC: Immunofluorescence (Immunocytochemistry)

Cross-Reactivity Key

M: Mouse

Trademarks and Patents

Cell Signaling Technology is a trademark of Cell Signaling Technology, Inc.

All other trademarks are the property of their respective owners. Visit cellsignal.com/trademarks for more information.

Limited Uses

Except as otherwise expressly agreed in a writing signed by a legally authorized representative of CST, the following terms apply to Products provided by CST, its affiliates or its distributors. Any Customer's terms and conditions that are in addition to, or different from, those contained herein, unless separately accepted in writing by a legally authorized representative of CST, are rejected and are of no force or effect.

Products are labeled with For Research Use Only or a similar labeling statement and have not been approved, cleared, or licensed by the FDA or other regulatory foreign or domestic entity, for any purpose. Customer shall not use any Product for any diagnostic or therapeutic purpose, or otherwise in any manner that conflicts with its labeling statement. Products sold or licensed by CST are provided for Customer as the end-user and solely for research and development uses. Any use of Product for diagnostic, prophylactic or therapeutic purposes, or any purchase of Product for resale (alone or as a component) or other commercial purpose, requires a separate license from CST. Customer shall (a) not sell, license, loan, donate or otherwise transfer or make available any Product to any third party, whether alone or in combination with other materials, or use the Products to manufacture any commercial products, (b) not copy, modify, reverse engineer, decompile, disassemble or otherwise attempt to discover the underlying structure or technology of the Products, or use the Products for the purpose of developing any products or services that would compete with CST products or services, (c) not alter or remove from the Products any trademarks, trade names, logos, patent or copyright notices or markings, (d) use the Products solely in accordance with CST Product Terms of Sale and any applicable documentation, and (e) comply with any license, terms of service or similar agreement with respect to any third party products or services used by Customer in connection with the Products.

Orders: 877-616-CELL (2355) [email protected] Support: 877-678-TECH (8324) [email protected] Web: cellsignal.com
For Research Use Only. Not for Use in Diagnostic Procedures.

Revision 3

Cell Signaling Technology Logo
Western blot analysis of extracts from various cell lines and mouse brain tissue using Cathepsin D (E7Z4L) XP® Rabbit mAb (upper) or β-Actin (D6A8) Rabbit mAb #8457 (lower).
Western Blotting Image 1: Cathepsin D (E7Z4L) Rabbit Monoclonal Antibody
Immunohistochemical analysis of paraffin-embedded mouse liver using Cathepsin D (E7Z4L) XP® Rabbit mAb.
Immunohistochemistry Image 1: Cathepsin D (E7Z4L) Rabbit Monoclonal Antibody
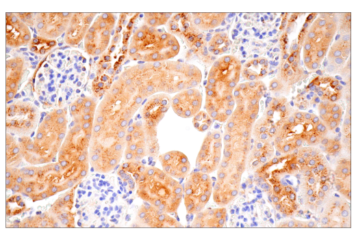
Immunohistochemical analysis of paraffin-embedded mouse kidney using Cathepsin D (E7Z4L) XP® Rabbit mAb.
Immunohistochemistry Image 2: Cathepsin D (E7Z4L) Rabbit Monoclonal Antibody
Orders: 877-616-CELL (2355) [email protected] Support: 877-678-TECH (8324) [email protected] Web: cellsignal.com
For Research Use Only. Not for Use in Diagnostic Procedures.

Revision 3

Cell Signaling Technology Logo
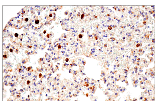
Immunohistochemical analysis of paraffin-embedded mouse lung using Cathepsin D (E7Z4L) XP® Rabbit mAb.
Immunohistochemistry Image 3: Cathepsin D (E7Z4L) Rabbit Monoclonal Antibody
Immunohistochemical analysis of paraffin-embedded mouse pancreas using Cathepsin D (E7Z4L) XP® Rabbit mAb.
Immunohistochemistry Image 4: Cathepsin D (E7Z4L) Rabbit Monoclonal Antibody
Immunohistochemical analysis of paraffin-embedded mouse thymus using Cathepsin D (E7Z4L) XP® Rabbit mAb.
Immunohistochemistry Image 5: Cathepsin D (E7Z4L) Rabbit Monoclonal Antibody
Orders: 877-616-CELL (2355) [email protected] Support: 877-678-TECH (8324) [email protected] Web: cellsignal.com
For Research Use Only. Not for Use in Diagnostic Procedures.

Revision 3

Cell Signaling Technology Logo

Immunohistochemical analysis of paraffin-embedded mouse cerebellum using Cathepsin D (E7Z4L) XP® Rabbit mAb.

Immunohistochemistry Image 6: Cathepsin D (E7Z4L) Rabbit Monoclonal Antibody
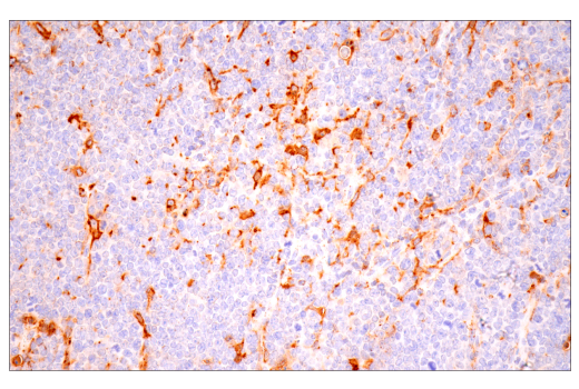
Immunohistochemical analysis of paraffin-embedded A20 syngeneic tumor using Cathepsin D (E7Z4L) XP® Rabbit mAb.
Immunohistochemistry Image 7: Cathepsin D (E7Z4L) Rabbit Monoclonal Antibody
Immunohistochemical analysis of paraffin-embedded mouse colon using Cathepsin D (E7Z4L) XP® Rabbit mAb (left) compared to concentration-matched Rabbit (DA1E) mAb IgG XP® Isotype Control #3900 (right).
Immunohistochemistry Image 8: Cathepsin D (E7Z4L) Rabbit Monoclonal Antibody
Orders: 877-616-CELL (2355) [email protected] Support: 877-678-TECH (8324) [email protected] Web: cellsignal.com
For Research Use Only. Not for Use in Diagnostic Procedures.

Revision 3

Cell Signaling Technology Logo
Confocal immunofluorescent analysis of fixed frozen wild-type mouse brain using Cathepsin D (E7Z4L) XP® Rabbit mAb (green). After blocking free secondary antibody binding sites with Rabbit (DA1E) mAb IgG XP® Isotype Control #3900, the tissue was then labeled using Iba1/AIF-1 (E4O4W) XP® Rabbit mAb (Alexa Fluor® 555 Conjugate) #36618 (red) and β-Amyloid (D54D2) XP® Rabbit mAb (Alexa Fluor® 594 Conjugate) #35363 (magenta pseudocolor).
Immunofluorescence Image 1: Cathepsin D (E7Z4L) Rabbit Monoclonal Antibody
Confocal immunofluorescent analysis of fixed frozen brain from an amyloid mouse model of Alzheimer's disease using Cathepsin D (E7Z4L) XP® Rabbit mAb (green). After blocking free secondary antibody binding sites with Rabbit (DA1E) mAb IgG XP® Isotype Control #3900, the tissue was then labeled using Iba1/AIF-1 (E4O4W) XP® Rabbit mAb (Alexa Fluor® 555 Conjugate) #36618 (red) and β-Amyloid (D54D2) XP® Rabbit mAb (Alexa Fluor® 594 Conjugate) #35363 (magenta pseudocolor).
Immunofluorescence Image 2: Cathepsin D (E7Z4L) Rabbit Monoclonal Antibody
Confocal immunofluorescent analysis of fixed frozen wild-type mouse brain (left) or brain from an amyloid mouse model of Alzheimer's disease (right) using Cathepsin D (E7Z4L) XP® Rabbit mAb (green). After blocking free secondary antibody binding sites with Rabbit (DA1E) mAb IgG XP® Isotype Control #3900, the tissue was then labeled using Iba1/AIF-1 (E4O4W) XP® Rabbit mAb (Alexa Fluor® 555 Conjugate) #36618 (red), GFAP (GA5) Mouse mAb (Alexa Fluor® 647 Conjugate) #3657 (cyan pseudocolor), and β-Amyloid (D54D2) XP® Rabbit mAb (Alexa Fluor® 594 Conjugate) #35363 (blue pseudocolor).
Immunofluorescence Image 3: Cathepsin D (E7Z4L) Rabbit Monoclonal Antibody
Orders: 877-616-CELL (2355) [email protected] Support: 877-678-TECH (8324) [email protected] Web: cellsignal.com
For Research Use Only. Not for Use in Diagnostic Procedures.

Revision 3

Cell Signaling Technology Logo
Projected confocal z-stack of fixed frozen mouse kidney using Cathepsin D (E7Z4L) XP® Rabbit mAb (red). After blocking free secondary antibody binding sites with Rabbit (DA1E) mAb IgG XP® Isotype Control #3900, the tissue was then labeled using using Iba1/AIF-1 (E4O4W) XP® Rabbit mAb (Alexa Fluor® 488 Conjugate) #20825 (green) and DAPI #4083 (blue).
Immunofluorescence Image 4: Cathepsin D (E7Z4L) Rabbit Monoclonal Antibody
Confocal immunofluorescent analysis of NIH/3T3 cells using Cathepsin D (E7Z4L) XP® Rabbit mAb (green) and DAPI #4083 (blue).
Immunofluorescence Image 1: Cathepsin D (E7Z4L) Rabbit Monoclonal Antibody
Orders: 877-616-CELL (2355) [email protected] Support: 877-678-TECH (8324) [email protected] Web: cellsignal.com
For Research Use Only. Not for Use in Diagnostic Procedures.