Revision 2

#74355

Store at -20C

CST Logo
Orders:

877-616-CELL (2355)

[email protected]

Support:

877-678-TECH (8324)

3 Trask Lane | Danvers | Massachusetts | 01923 | USA

For Research Use Only. Not for Use in Diagnostic Procedures.

Applications:
W, IHC-P, IF-IC

Reactivity:
H Mk

Sensitivity:
Endogenous

MW (kDa):
25-42

Source/Isotype:
Rabbit IgG

UniProt ID:
#P07711

Entrez-Gene Id:
1514

Product Usage Information

This product is the carrier free version of product #55914. All data were generated using the same antibody clone in the standard formulation which contains BSA and glycerol.

This formulation is ideal for use with technologies requiring specialized or custom antibody labeling, including fluorophores, metals, lanthanides, and oligonucleotides. It is not recommended for ChIP, ChIP-seq, CUT&RUN or CUT&Tag assays. If you require a carrier free formulation for chromatin profiling, please contact us. Optimal dilutions/concentrations should be determined by the end user.

BSA and Azide Free antibodies are quality control tested by size exclusion chromatography (SEC) to determine antibody integrity.

Formulation

Supplied in 1X PBS (10 mM Na2HPO4, 3 mM KCl, 2 mM KH2PO4, and 140 mM NaCl (pH 7.8)). BSA and Azide Free.

For standard formulation of this product see product #55914

Storage

Store at -20°C. This product will freeze at -20°C so it is recommended to aliquot into single-use vials to avoid multiple freeze/thaw cycles. A slight precipitate may be present and can be dissolved by gently vortexing. This will not interfere with antibody performance.

Specificity/Sensitivity

Cathepsin L (E3R3P) Rabbit Monoclonal Antibody (BSA and Azide Free) recognizes endogenous levels of total cathepsin L protein. This antibody detects full-length cathepsin L pro-enzyme in addition to the processed (active) form of cathepsin L.

Source / Purification

Monoclonal antibody is produced by immunizing animals with recombinant protein corresponding to a fragment of human cathepsin L protein spanning residues Ala114 to Thr288.

Background

Cathepsin L belongs to the C1 family of peptidases, a large and diverse family of cysteine (thiol) proteases that play fundamental roles in protein processing and degradation. The catalytic activity of C1 peptidases maps to a nucleophilic cysteine thiol, usually found within a catalytic dyad or triad (1). Cathepsin L, initially synthesized as procathepsin L before undergoing proteolytic cleavage to its active form, is a ubiquitously expressed thiol protease, expressed primarily in lysosomes but which is also secreted by some cell types. Its diverse functions include general protein catabolism and autophagy (2), antigen processing (3), promoting angiogenesis (4), and extracellular matrix degradation (5,6). An isoform of cathepsin L has also been reported in the nucleus, where it was shown to be involved in the regulation of transcription factor activity (7). Targeted deletion of the Ctsl gene in mice embryos was non-lethal, but resulted in periodic hair loss and skin defects, including epidermal hyperplasia, acanthosis, and hyperkeratosis (8). More recently, research studies have reported that cathepsin L is involved in viral protein processing during viral replication, and that cathepsin L inhibitors may have utility in combating infection by SARS-CoV-2 and related coronaviruses (9).

Species Reactivity

Species reactivity is determined by testing in at least one approved application (e.g., western blot).

Applications Key

W: Western Blotting IHC-P: Immunohistochemistry (Paraffin) IF-IC: Immunofluorescence (Immunocytochemistry)

Cross-Reactivity Key

H: Human Mk: Monkey

Trademarks and Patents

Cell Signaling Technology is a trademark of Cell Signaling Technology, Inc.

KARPAS cell line source: Dr. Abraham Karpas at the University of Cambridge.

All other trademarks are the property of their respective owners. Visit cellsignal.com/trademarks for more information.

Limited Uses

Except as otherwise expressly agreed in a writing signed by a legally authorized representative of CST, the following terms apply to Products provided by CST, its affiliates or its distributors. Any Customer's terms and conditions that are in addition to, or different from, those contained herein, unless separately accepted in writing by a legally authorized representative of CST, are rejected and are of no force or effect.

Products are labeled with For Research Use Only or a similar labeling statement and have not been approved, cleared, or licensed by the FDA or other regulatory foreign or domestic entity, for any purpose. Customer shall not use any Product for any diagnostic or therapeutic purpose, or otherwise in any manner that conflicts with its labeling statement. Products sold or licensed by CST are provided for Customer as the end-user and solely for research and development uses. Any use of Product for diagnostic, prophylactic or therapeutic purposes, or any purchase of Product for resale (alone or as a component) or other commercial purpose, requires a separate license from CST. Customer shall (a) not sell, license, loan, donate or otherwise transfer or make available any Product to any third party, whether alone or in combination with other materials, or use the Products to manufacture any commercial products, (b) not copy, modify, reverse engineer, decompile, disassemble or otherwise attempt to discover the underlying structure or technology of the Products, or use the Products for the purpose of developing any products or services that would compete with CST products or services, (c) not alter or remove from the Products any trademarks, trade names, logos, patent or copyright notices or markings, (d) use the Products solely in accordance with CST Product Terms of Sale and any applicable documentation, and (e) comply with any license, terms of service or similar agreement with respect to any third party products or services used by Customer in connection with the Products.

Orders: 877-616-CELL (2355) [email protected] Support: 877-678-TECH (8324) [email protected] Web: cellsignal.com
For Research Use Only. Not for Use in Diagnostic Procedures.

Revision 2

Cell Signaling Technology Logo
Western blot analysis of extracts from various cell lines using Cathepsin L (E3R3P) Rabbit mAb (upper) or GAPDH (D16H11) XP® Rabbit mAb #5174 (lower). Negative expression of cathepsin L protein in HuH-6 and REC-1 cells is consistent with the predicted expression pattern. Data were generated using the standard formulation of this product.
Western Blotting Image 1: Cathepsin L (E3R3P) Rabbit Monoclonal Antibody (BSA and Azide Free)
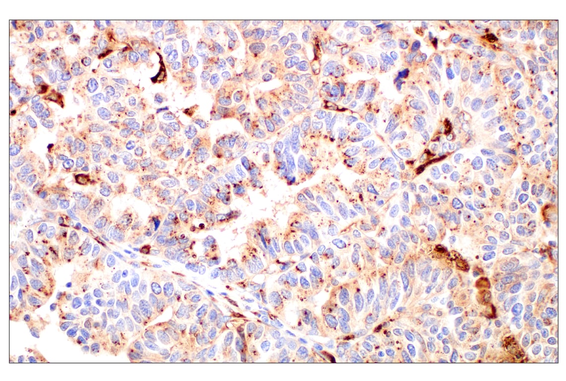
Immunohistochemical analysis of paraffin-embedded human urothelial carcinoma using Cathepsin L (E3R3P) Rabbit mAb. Data were generated using the standard formulation of this product.
Immunohistochemistry Image 1: Cathepsin L (E3R3P) Rabbit Monoclonal Antibody (BSA and Azide Free)
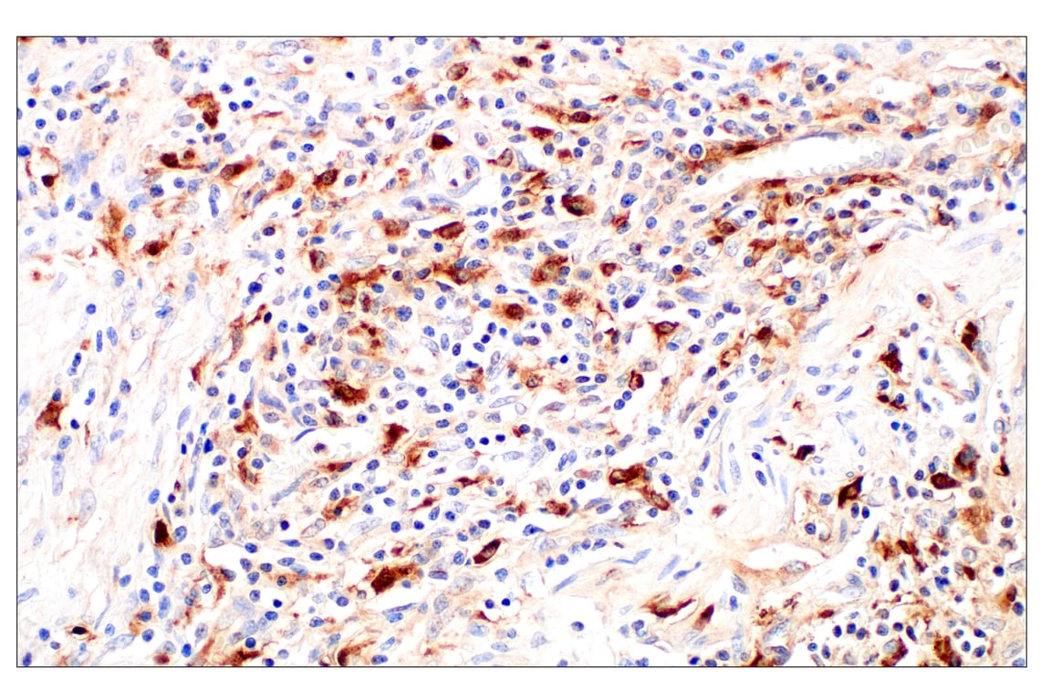
Immunohistochemical analysis of paraffin-embedded human B-cell non-Hodgkin lymphoma using Cathepsin L (E3R3P) Rabbit mAb. Data were generated using the standard formulation of this product.
Immunohistochemistry Image 2: Cathepsin L (E3R3P) Rabbit Monoclonal Antibody (BSA and Azide Free)
Orders: 877-616-CELL (2355) [email protected] Support: 877-678-TECH (8324) [email protected] Web: cellsignal.com
For Research Use Only. Not for Use in Diagnostic Procedures.

Revision 2

Cell Signaling Technology Logo
Immunohistochemical analysis of paraffin-embedded human colon adenocarcinoma using Cathepsin L (E3R3P) Rabbit mAb. Data were generated using the standard formulation of this product.
Immunohistochemistry Image 3: Cathepsin L (E3R3P) Rabbit Monoclonal Antibody (BSA and Azide Free)
Immunohistochemical analysis of paraffin-embedded human follicular hyperplasia of the tonsil using Cathepsin L (E3R3P) Rabbit mAb. Data were generated using the standard formulation of this product.
Immunohistochemistry Image 4: Cathepsin L (E3R3P) Rabbit Monoclonal Antibody (BSA and Azide Free)
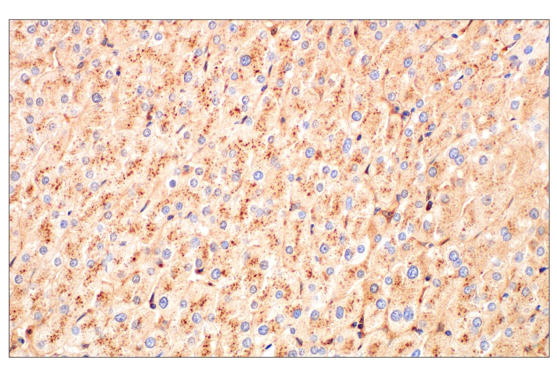
Immunohistochemical analysis of paraffin-embedded normal human liver using Cathepsin L (E3R3P) Rabbit mAb. Data were generated using the standard formulation of this product.
Immunohistochemistry Image 5: Cathepsin L (E3R3P) Rabbit Monoclonal Antibody (BSA and Azide Free)
Orders: 877-616-CELL (2355) [email protected] Support: 877-678-TECH (8324) [email protected] Web: cellsignal.com
For Research Use Only. Not for Use in Diagnostic Procedures.

Revision 2

Cell Signaling Technology Logo
Immunohistochemical analysis of paraffin-embedded normal human lung using Cathepsin L (E3R3P) Rabbit mAb. Data were generated using the standard formulation of this product.
Immunohistochemistry Image 6: Cathepsin L (E3R3P) Rabbit Monoclonal Antibody (BSA and Azide Free)
Immunohistochemical analysis of paraffin-embedded normal human placenta using Cathepsin L (E3R3P) Rabbit mAb. Data were generated using the standard formulation of this product.
Immunohistochemistry Image 7: Cathepsin L (E3R3P) Rabbit Monoclonal Antibody (BSA and Azide Free)
Immunohistochemical analysis of paraffin-embedded normal human thyroid using Cathepsin L (E3R3P) Rabbit mAb. Data were generated using the standard formulation of this product.
Immunohistochemistry Image 8: Cathepsin L (E3R3P) Rabbit Monoclonal Antibody (BSA and Azide Free)
Orders: 877-616-CELL (2355) [email protected] Support: 877-678-TECH (8324) [email protected] Web: cellsignal.com
For Research Use Only. Not for Use in Diagnostic Procedures.

Revision 2

Cell Signaling Technology Logo
Immunohistochemical analysis of paraffin-embedded KARPAS 299 cell pellet (left, positive) or AGS cell pellet (right, negative) using Cathepsin L (E3R3P) Rabbit mAb. Data were generated using the standard formulation of this product.
Immunohistochemistry Image 9: Cathepsin L (E3R3P) Rabbit Monoclonal Antibody (BSA and Azide Free)
Confocal immunofluorescent analysis of U-118 MG cells (left, positive) or AGS cells (right, negative) using Cathepsin L (E3R3P) Rabbit mAb (green), β-Actin (8H10D10) Mouse mAb #3700 (red), and DAPI #4083 (blue). Data were generated using the standard formulation of this product.
Immunofluorescence Image 1: Cathepsin L (E3R3P) Rabbit Monoclonal Antibody (BSA and Azide Free)
Confocal immunofluorescent analysis of U-118 MG cells (left, positive) or AGS cells (right, negative) using Cathepsin L (E3R3P) Rabbit mAb (green), β-Actin (8H10D10) Mouse mAb #3700 (red), and DAPI #4083 (blue). Data were generated using the standard formulation of this product.
Immunofluorescence Image 2: Cathepsin L (E3R3P) Rabbit Monoclonal Antibody (BSA and Azide Free)
Orders: 877-616-CELL (2355) [email protected] Support: 877-678-TECH (8324) [email protected] Web: cellsignal.com
For Research Use Only. Not for Use in Diagnostic Procedures.