Revision 4

#3267

Store at -20C

CST Logo
Orders:

877-616-CELL (2355)

[email protected]

Support:

877-678-TECH (8324)

3 Trask Lane | Danvers | Massachusetts | 01923 | USA

For Research Use Only. Not for Use in Diagnostic Procedures.

Applications:
W, IP, IHC-P, IF-F, IF-IC, FC-FP

Reactivity:
H M R Hm Mk B Dg

Sensitivity:
Endogenous

MW (kDa):
21, 24

Source/Isotype:
Rabbit IgG

UniProt ID:
#Q03135

Entrez-Gene Id:
857

Product Usage Information

Application Dilution
Western Blotting 1:1000
Immunoprecipitation 1:200
Immunohistochemistry (Paraffin) 1:400 - 1:1600
Immunofluorescence (Frozen) 1:1600 - 1:3200
Immunofluorescence (Immunocytochemistry) 1:200 - 1:800
Flow Cytometry (Fixed/Permeabilized) 1:200 - 1:800

Storage

Supplied in 10 mM sodium HEPES (pH 7.5), 150 mM NaCl, 100 µg/ml BSA, 50% glycerol and less than 0.02% sodium azide. Store at –20°C. Do not aliquot the antibody.

For a carrier free (BSA and azide free) version of this product see product #44989.

Specificity/Sensitivity

Caveolin-1 (D46G3) Rabbit Monoclonal Antibody detects endogenous levels of total caveolin-1 protein.

Source / Purification

Monoclonal antibody is produced by immunizing animals with a synthetic peptide corresponding to residues surrounding Glu20 of human caveolin-1.

Background

The 21-24 kDa integral proteins, caveolins, are the principal structural components of the cholesterol/sphingolipid-enriched plasma membrane microdomain caveolae. Three members of the caveolin family (caveolin-1, -2, and -3) have been identified with different tissue distributions. Caveolins form hetero- and homo-oligomers that interact with cholesterol and other lipids (1). Caveolins are involved in diverse biological functions, including vesicular trafficking, cholesterol homeostasis, cell adhesion, and apoptosis, and are also implicated in neurodegenerative disease (2). Caveolins interact with multiple signaling molecules, such as Gα subunit, tyrosine kinase receptors, PKCs, Src family tyrosine kinases, and eNOS (1,2). It is believed that caveolins serve as scaffolding proteins for the integration of signal transduction. Phosphorylation at Tyr14 is essential for caveolin association with SH2 or PTB domain-containing adaptor proteins, such as GRB7 (3-5). Phosphorylation at Ser80 regulates caveolin binding to the ER membrane and entry into the secretory pathway (6).

Species Reactivity

Species reactivity is determined by testing in at least one approved application (e.g., western blot).

Western Blot Buffer

IMPORTANT: For western blots, incubate membrane with diluted primary antibody in 5% w/v BSA, 1X TBS, 0.1% Tween® 20 at 4°C with gentle shaking, overnight.

Applications Key

W: Western Blotting IP: Immunoprecipitation IHC-P: Immunohistochemistry (Paraffin) IF-F: Immunofluorescence (Frozen) IF-IC: Immunofluorescence (Immunocytochemistry) FC-FP: Flow Cytometry (Fixed/Permeabilized)

Cross-Reactivity Key

H: Human M: Mouse R: Rat Hm: Hamster Mk: Monkey B: Bovine Dg: Dog

Trademarks and Patents

Cell Signaling Technology is a trademark of Cell Signaling Technology, Inc.

All other trademarks are the property of their respective owners. Visit cellsignal.com/trademarks for more information.

Limited Uses

Except as otherwise expressly agreed in a writing signed by a legally authorized representative of CST, the following terms apply to Products provided by CST, its affiliates or its distributors. Any Customer's terms and conditions that are in addition to, or different from, those contained herein, unless separately accepted in writing by a legally authorized representative of CST, are rejected and are of no force or effect.

Products are labeled with For Research Use Only or a similar labeling statement and have not been approved, cleared, or licensed by the FDA or other regulatory foreign or domestic entity, for any purpose. Customer shall not use any Product for any diagnostic or therapeutic purpose, or otherwise in any manner that conflicts with its labeling statement. Products sold or licensed by CST are provided for Customer as the end-user and solely for research and development uses. Any use of Product for diagnostic, prophylactic or therapeutic purposes, or any purchase of Product for resale (alone or as a component) or other commercial purpose, requires a separate license from CST. Customer shall (a) not sell, license, loan, donate or otherwise transfer or make available any Product to any third party, whether alone or in combination with other materials, or use the Products to manufacture any commercial products, (b) not copy, modify, reverse engineer, decompile, disassemble or otherwise attempt to discover the underlying structure or technology of the Products, or use the Products for the purpose of developing any products or services that would compete with CST products or services, (c) not alter or remove from the Products any trademarks, trade names, logos, patent or copyright notices or markings, (d) use the Products solely in accordance with CST Product Terms of Sale and any applicable documentation, and (e) comply with any license, terms of service or similar agreement with respect to any third party products or services used by Customer in connection with the Products.

Orders: 877-616-CELL (2355) [email protected] Support: 877-678-TECH (8324) [email protected] Web: cellsignal.com
For Research Use Only. Not for Use in Diagnostic Procedures.

Revision 4

Cell Signaling Technology Logo
Western blot analysis of extracts from various cell types using Caveolin-1 (D46G3) XP® Rabbit mAb.
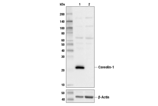
Western Blotting Image 1: Caveolin-1 (D46G3) Rabbit Monoclonal Antibody
Western blot analysis of extracts from control HeLa cells (lane 1) or caveolin-1 knockout HeLa cells (lane 2) using Caveolin-1 (D46G3) XP® Rabbit mAb #3267 (upper), or β-actin (D6A8) Rabbit mAb #8457 (lower). The absence of signal in the caveolin-1 knockout HeLa cells confirms the specificity of the antibody to caveolin-1.
Western Blotting Image 2: Caveolin-1 (D46G3) Rabbit Monoclonal Antibody
Immunoprecipitation of caveolin-1 from HeLa cells using Caveolin-1 (D46G3) XP® Rabbit mAb followed by western blot using the same antibody. Lane 1 is 5% input.
Immunoprecipitation Image 1: Caveolin-1 (D46G3) Rabbit Monoclonal Antibody
Orders: 877-616-CELL (2355) [email protected] Support: 877-678-TECH (8324) [email protected] Web: cellsignal.com
For Research Use Only. Not for Use in Diagnostic Procedures.

Revision 4

Cell Signaling Technology Logo
Immunohistochemical analysis of paraffin-embedded human colon carcinoma using Caveolin-1 (D46G3) XP® Rabbit mAb.
Immunohistochemistry Image 1: Caveolin-1 (D46G3) Rabbit Monoclonal Antibody
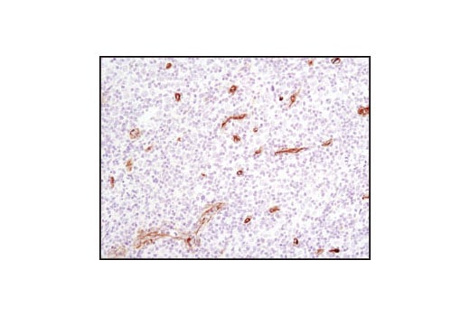
Immunohistochemical analysis of paraffin-embedded human lymphoma using Caveolin-1 (D46G3) XP® Rabbit mAb.
Immunohistochemistry Image 2: Caveolin-1 (D46G3) Rabbit Monoclonal Antibody
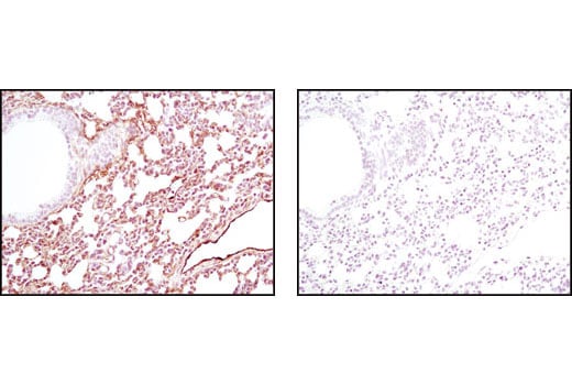
Immunohistochemical analysis of paraffin-embedded mouse lung using Caveolin-1 (D46G3) XP® Rabbit mAb in the presence of control peptide (left) or antigen-specific peptide (right).
Immunohistochemistry Image 3: Caveolin-1 (D46G3) Rabbit Monoclonal Antibody
Orders: 877-616-CELL (2355) [email protected] Support: 877-678-TECH (8324) [email protected] Web: cellsignal.com
For Research Use Only. Not for Use in Diagnostic Procedures.

Revision 4

Cell Signaling Technology Logo
Confocal immunofluorescent analysis of fixed frozen mouse pancreas labeled with Caveolin-1 (D46G3) XP® Rabbit mAb (left, red), and colabeled with DyLight™ 488 Phalloidin #12935 (right, green) and DAPI #4083 (right, blue).
Immunofluorescence Image 1: Caveolin-1 (D46G3) Rabbit Monoclonal Antibody
Confocal immunofluorescent analysis of fixed frozen mouse kidney labeled with Caveolin-1 (D46G3) XP® Rabbit mAb (left, red), and colabeled with DyLight™ 488 Phalloidin #12935 (right, green) and DAPI #4083 (right, blue).
Immunofluorescence Image 2: Caveolin-1 (D46G3) Rabbit Monoclonal Antibody
Confocal immunofluorescent analysis of fixed frozen mouse skeletal muscle labeled with Caveolin-1 (D46G3) XP® Rabbit mAb (left, red), and colabeled with DyLight™ 488 Phalloidin #12935 (right, green) and DAPI #4083 (right, blue).
Immunofluorescence Image 3: Caveolin-1 (D46G3) Rabbit Monoclonal Antibody
Orders: 877-616-CELL (2355) [email protected] Support: 877-678-TECH (8324) [email protected] Web: cellsignal.com
For Research Use Only. Not for Use in Diagnostic Procedures.

Revision 4

Cell Signaling Technology Logo
Confocal immunofluorescent analysis of C2C12 cells using Caveolin-1 (D46G3) XP® Rabbit mAb (green). Actin filaments have been labeled with DY-554 phalloidin (red). Blue pseudocolor = DRAQ5® (fluorescent DNA dye).
Immunofluorescence Image 1: Caveolin-1 (D46G3) Rabbit Monoclonal Antibody
Flow cytometric analysis of HeLa cells using Caveolin-1 (D46G3) XP® Rabbit mAb (solid line) compared to concentration-matched Rabbit (DA1E) mAb IgG XP® Isotype Control #3900 (dashed line). Anti-rabbit IgG (H+L), F(ab')2 Fragment (Alexa Fluor® 488 Conjugate) #4412 was used as a secondary antibody.
Flow Cytometry Image 1: Caveolin-1 (D46G3) Rabbit Monoclonal Antibody
Orders: 877-616-CELL (2355) [email protected] Support: 877-678-TECH (8324) [email protected] Web: cellsignal.com
For Research Use Only. Not for Use in Diagnostic Procedures.