Revision 7

#14696

Store at -20C

CST Logo
Orders:

877-616-CELL (2355)

[email protected]

Support:

877-678-TECH (8324)

3 Trask Lane | Danvers | Massachusetts | 01923 | USA

For Research Use Only. Not for Use in Diagnostic Procedures.

Applications:
W, IP, ChIP, ChIP-seq, C&R, C&T

Reactivity:
H M R Mk

Sensitivity:
Endogenous

MW (kDa):
43, 48

Source/Isotype:
Rabbit IgG

UniProt ID:
#Q9HC52

Entrez-Gene Id:
57332

Product Usage Information

For optimal ChIP and ChIP-seq results, use 10 μl of antibody and 10 μg of chromatin (approximately 4 x 106 cells) per IP. This antibody has been validated using SimpleChIP® Enzymatic Chromatin IP Kits.

The CUT&RUN dilution was determined using CUT&RUN Assay Kit #86652.

The CUT&Tag dilution was determined using CUT&Tag Assay Kit #77552.

Application Dilution
Western Blotting 1:1000
Immunoprecipitation 1:200
Chromatin IP 1:50
Chromatin IP-seq 1:50
CUT&RUN 1:50
CUT&Tag 1:50

Storage

Supplied in 10 mM sodium HEPES (pH 7.5), 150 mM NaCl, 100 µg/ml BSA, 50% glycerol and less than 0.02% sodium azide. Store at –20°C. Do not aliquot the antibody.

Specificity/Sensitivity

CBX8 (D2O8C) Rabbit Monoclonal Antibody recognizes endogenous levels of total CBX8 protein.

Species predicted to react based on 100% sequence homology

Hamster, Bovine

Source / Purification

Monoclonal antibody is produced by immunizing animals with a synthetic peptide corresponding to residues surrounding Gly344 of human CBX8 protein.

Background

The polycomb group (PcG) proteins contribute to the maintenance of cell identity, stem cell self-renewal, cell cycle regulation and oncogenesis by maintaining the silenced state of genes that promote cell lineage specification, cell death and cell-cycle arrest (1-4). PcG proteins exist in two complexes that cooperate to maintain long-term gene silencing through epigenetic chromatin modifications: PRC1 and PRC2. PRC1 is a multi-subunit protein complex consisting of a combination of five core protein families: CBX, RING1, PHC, PCGF, and RYPB (5-7). Different combinations of protein family members lead to a diverse array of PRC1 complexes with distinct functions (8). At least two distinct classes of PRC1 complexes have been defined. The first class, known as canonical PRC1, contains RING1, PHC, PCGF and CBX protein subunits, but not RYPB (5-8). This class of PRC1 complexes requires PRC2 and H3K27Me3 for proper recruitment to target genes. CBX proteins mediate recruitment by binding to H3K27Me3. CBX8 in particular is required for repression of many lineage-specific genes during differentiation of hematopoietic stem cells and may play a role in activation of lineage-specific genes during differentiation of embryonic stem cells (9,10). The second class, known as variant PRC1, contains RYPB instead of CBX proteins (5-8). RYBP-containing PRC1 is recruited to chromatin independently of PRC2 and H3K27Me3. These variant PRC1 complexes can function independently of PRC2, or in some cases function upstream to recruit PRC2 complex to target genes.

Species Reactivity

Species reactivity is determined by testing in at least one approved application (e.g., western blot).

Western Blot Buffer

IMPORTANT: For western blots, incubate membrane with diluted primary antibody in 5% w/v BSA, 1X TBS, 0.1% Tween® 20 at 4°C with gentle shaking, overnight.

Applications Key

W: Western Blotting IP: Immunoprecipitation ChIP: Chromatin IP ChIP-seq: Chromatin IP-seq C&R: CUT&RUN C&T: CUT&Tag

Cross-Reactivity Key

H: Human M: Mouse R: Rat Mk: Monkey

Trademarks and Patents

Cell Signaling Technology is a trademark of Cell Signaling Technology, Inc.

SimpleChIP is a registered trademark of Cell Signaling Technology, Inc.

All other trademarks are the property of their respective owners. Visit cellsignal.com/trademarks for more information.

Limited Uses

Except as otherwise expressly agreed in a writing signed by a legally authorized representative of CST, the following terms apply to Products provided by CST, its affiliates or its distributors. Any Customer's terms and conditions that are in addition to, or different from, those contained herein, unless separately accepted in writing by a legally authorized representative of CST, are rejected and are of no force or effect.

Products are labeled with For Research Use Only or a similar labeling statement and have not been approved, cleared, or licensed by the FDA or other regulatory foreign or domestic entity, for any purpose. Customer shall not use any Product for any diagnostic or therapeutic purpose, or otherwise in any manner that conflicts with its labeling statement. Products sold or licensed by CST are provided for Customer as the end-user and solely for research and development uses. Any use of Product for diagnostic, prophylactic or therapeutic purposes, or any purchase of Product for resale (alone or as a component) or other commercial purpose, requires a separate license from CST. Customer shall (a) not sell, license, loan, donate or otherwise transfer or make available any Product to any third party, whether alone or in combination with other materials, or use the Products to manufacture any commercial products, (b) not copy, modify, reverse engineer, decompile, disassemble or otherwise attempt to discover the underlying structure or technology of the Products, or use the Products for the purpose of developing any products or services that would compete with CST products or services, (c) not alter or remove from the Products any trademarks, trade names, logos, patent or copyright notices or markings, (d) use the Products solely in accordance with CST Product Terms of Sale and any applicable documentation, and (e) comply with any license, terms of service or similar agreement with respect to any third party products or services used by Customer in connection with the Products.

Orders: 877-616-CELL (2355) [email protected] Support: 877-678-TECH (8324) [email protected] Web: cellsignal.com
For Research Use Only. Not for Use in Diagnostic Procedures.

Revision 7

Cell Signaling Technology Logo
Western blot analysis of extracts from various cell lines using CBX8 (D2O8C) Rabbit mAb.
Western Blotting Image 1: CBX8 (D2O8C) Rabbit Monoclonal Antibody
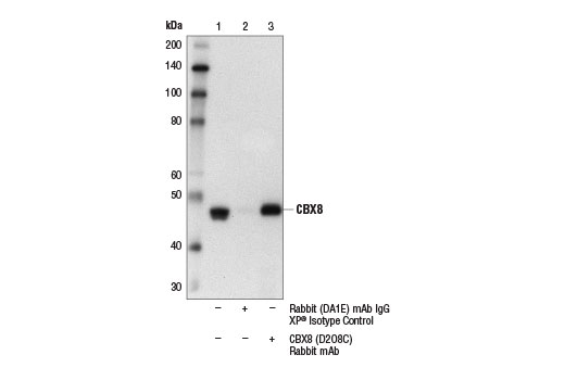
Immunoprecipitation of CBX8 from A549 cell extracts. Lane 1 is 10% input, lane 2 is Rabbit (DA1E) mAb IgG XP® Isotype Control #3900, and lane 3 is CBX8 (D2O8C) Rabbit mAb. Western blot analysis was performed using CBX8 (D2O8C) Rabbit mAb.
Immunoprecipitation Image 1: CBX8 (D2O8C) Rabbit Monoclonal Antibody
Chromatin immunoprecipitations were performed with cross-linked chromatin from NCCIT cells and either JARID2 (D6M9X) Rabbit mAb #13594, CBX8 (D2O8C) Rabbit mAb, or AEBP2 (D7C6X) Rabbit mAb #14129, using SimpleChIP® Plus Enzymatic Chromatin IP Kit (Magnetic Beads) #9005. DNA Libraries were prepared using DNA Library Prep Kit for Illumina Systems (ChIP-seq, CUT&RUN) #56795. All of JARID2, CBX8, and AEBP2 are known to associate with PRC complexes. The figure shows binding of JARID2, CBX8, and AEBP2 across HOXD gene region, known target genes of JARID2, CBX8, and AEBP2 (see additional figure containing ChIP-qPCR data).
Chromatin Immunoprecipitation Image 1: CBX8 (D2O8C) Rabbit Monoclonal Antibody
Orders: 877-616-CELL (2355) [email protected] Support: 877-678-TECH (8324) [email protected] Web: cellsignal.com
For Research Use Only. Not for Use in Diagnostic Procedures.

Revision 7

Cell Signaling Technology Logo
Chromatin immunoprecipitations were performed with cross-linked chromatin from NCCIT cells and either JARID2 (D6M9X) Rabbit mAb #13594, CBX8 (D2O8C) Rabbit mAb, or AEBP2 (D7C6X) Rabbit mAb #14129, using SimpleChIP® Plus Enzymatic Chromatin IP Kit (Magnetic Beads) #9005. DNA Libraries were prepared using DNA Library Prep Kit for Illumina Systems (ChIP-seq, CUT&RUN) #56795. All of JARID2, CBX8, and AEBP2 are known to associate with PRC complexes. The figure shows binding of JARID2, CBX8, and AEBP2 across HOXA (upper) and HOXD (lower), known target genes of JARID2, CBX8, and AEBP2 (see additional figure containing ChIP-qPCR data).
Chromatin Immunoprecipitation Image 2: CBX8 (D2O8C) Rabbit Monoclonal Antibody
Chromatin immunoprecipitations were performed with cross-linked chromatin from NCCIT cells and either CBX8 (D2O8C) Rabbit mAb or Normal Rabbit IgG #2729 using SimpleChIP® Enzymatic Chromatin IP Kit (Magnetic Beads) #9003. The enriched DNA was quantified by real-time PCR using SimpleChIP® Human HoxA1 Intron 1 Primers #7707, SimpleChIP® Human HoxA2 Promoter Primers #5517, and SimpleChIP® Human α Satellite Repeat Primers #4486. The amount of immunoprecipitated DNA in each sample is represented as signal relative to the total amount of input chromatin, which is equivalent to one.
Chromatin Immunoprecipitation Image 3: CBX8 (D2O8C) Rabbit Monoclonal Antibody
CUT&RUN was performed with NCCIT cells and CBX8 (D2O8C) Rabbit mAb using CUT&RUN Assay Kit #86652. DNA library was prepared using DNA Library Prep Kit for Illumina Systems (ChIP-seq, CUT&RUN) #56795. The figure shows binding across HOXA1, a known target gene of CBX8 (see additional figure containing qPCR data).
CUT & RUN Image 1: CBX8 (D2O8C) Rabbit Monoclonal Antibody
Orders: 877-616-CELL (2355) [email protected] Support: 877-678-TECH (8324) [email protected] Web: cellsignal.com
For Research Use Only. Not for Use in Diagnostic Procedures.

Revision 7

Cell Signaling Technology Logo
CUT&RUN was performed with NCCIT cells and CBX8 (D2O8C) Rabbit mAb using CUT&RUN Assay Kit #86652. DNA library was prepared using DNA Library Prep Kit for Illumina Systems (ChIP-seq, CUT&RUN) #56795. The figures show binding across HoxD (upper) and HoxA (lower), known target genes of CBX8 (see additional figure containing qPCR data).
CUT & RUN Image 2: CBX8 (D2O8C) Rabbit Monoclonal Antibody
CUT&RUN was performed with NCCIT and either CBX8 (D2O8C) Rabbit mAb or Rabbit (DA1E) mAb IgG XP® Isotype Control (CUT&RUN) #66362, using CUT&RUN Assay Kit #86652. The enriched DNA was quantified by real-time PCR using SimpleChIP® Human HoxA1 Intron 1 Primers #7707, SimpleChIP® Human HoxA2 Promoter Primers #5517, and SimpleChIP® Human α Satellite Repeat Primers #4486. The amount of immunoprecipitated DNA in each sample is represented as signal relative to the total amount of input chromatin, which is equivalent to one.
CUT & RUN Image 3: CBX8 (D2O8C) Rabbit Monoclonal Antibody
CUT&Tag was performed with NCCIT cells and CBX8 (D2O8C) Rabbit mAb, using CUT&Tag Assay Kit #77552. DNA library was prepared using CUT&Tag Dual Index Primers and PCR Master Mix for Illumina Systems #47415. The figure shows binding across HOXA1, a known target gene of CBX8 (see ChIP-qPCR figure).
CUT & Tag Image 1: CBX8 (D2O8C) Rabbit Monoclonal Antibody
Orders: 877-616-CELL (2355) [email protected] Support: 877-678-TECH (8324) [email protected] Web: cellsignal.com
For Research Use Only. Not for Use in Diagnostic Procedures.

Revision 7

Cell Signaling Technology Logo
CUT&Tag was performed with NCCIT cells and CBX8 (D2O8C) Rabbit mAb, using CUT&Tag Assay Kit #77552. DNA library was prepared using CUT&Tag Dual Index Primers and PCR Master Mix for Illumina Systems #47415. The figures show binding across the HOXA gene cluster (upper), and the HOXD gene cluster (lower), which are known target genes of CBX8 (see our ChIP-qPCR figure).
CUT & Tag Image 2: CBX8 (D2O8C) Rabbit Monoclonal Antibody
Orders: 877-616-CELL (2355) [email protected] Support: 877-678-TECH (8324) [email protected] Web: cellsignal.com
For Research Use Only. Not for Use in Diagnostic Procedures.