Revision 4

#36467

Store at -20C

CST Logo
Orders:

877-616-CELL (2355)

[email protected]

Support:

877-678-TECH (8324)

3 Trask Lane | Danvers | Massachusetts | 01923 | USA

For Research Use Only. Not for Use in Diagnostic Procedures.

Applications:
W, W-S, IHC-P

Reactivity:
H M

Sensitivity:
Endogenous

MW (kDa):
10

Source/Isotype:
Rabbit IgG

UniProt ID:
#P13501

Entrez-Gene Id:
6352

Product Usage Information

Application Dilution
Western Blotting 1:1000
Simple Western™ 1:10 - 1:50
Immunohistochemistry (Paraffin) 1:150 - 1:600

Storage

Supplied in 10 mM sodium HEPES (pH 7.5), 150 mM NaCl, 100 µg/ml BSA, 50% glycerol and less than 0.02% sodium azide. Store at –20°C. Do not aliquot the antibody.

For a carrier-free (BSA and azide free) version of this product see product #57219.

Specificity/Sensitivity

CCL5/RANTES (E9S2K) Rabbit Monoclonal Antibody recognizes endogenous levels of total CCL5/RANTES protein. This antibody recognizes human CCL5/RANTES protein and is also reactive with mouse CCL5/RANTES; however, this antibody is not suggested for immunohistochemical analysis of mouse tissues. Non-specific staining was observed in human pancreatic islets by immunohistochemistry.

Source / Purification

Monoclonal antibody is produced by immunizing animals with human CCL5/RANTES recombinant protein.

Background

RANTES/CCL5 (regulated upon activation, T cell expressed and secreted) is a member of the C-C or β family of chemokines that induce inflammation and are associated with a number of inflammatory disorders (1,2). RANTES is produced and secreted mainly by CD8+ T cells, macrophages, and platelets, as well as epithelial cells, fibroblasts, and some solid tumors (2-7). RANTES acts as a chemoattractant and has other regulatory functions on a number of cell types, including monocytes, memory T cells, NK cells, eosinophils, basophils, dendritic cells, and mast cells (3, 7-9). Signaling by RANTES is mediated by several G protein-coupled receptors (GPCRs), including CCR1, CCR3, CCR4, and CCR5.

Species Reactivity

Species reactivity is determined by testing in at least one approved application (e.g., western blot).

Western Blot Buffer

IMPORTANT: For western blots, incubate membrane with diluted primary antibody in 5% w/v BSA, 1X TBS, 0.1% Tween® 20 at 4°C with gentle shaking, overnight.

Applications Key

W: Western Blotting W-S: Simple Western™ IHC-P: Immunohistochemistry (Paraffin)

Cross-Reactivity Key

H: Human M: Mouse

Trademarks and Patents

Cell Signaling Technology is a trademark of Cell Signaling Technology, Inc.

SignalStain is a registered trademark of Cell Signaling Technology, Inc.

All other trademarks are the property of their respective owners. Visit cellsignal.com/trademarks for more information.

Limited Uses

Except as otherwise expressly agreed in a writing signed by a legally authorized representative of CST, the following terms apply to Products provided by CST, its affiliates or its distributors. Any Customer's terms and conditions that are in addition to, or different from, those contained herein, unless separately accepted in writing by a legally authorized representative of CST, are rejected and are of no force or effect.

Products are labeled with For Research Use Only or a similar labeling statement and have not been approved, cleared, or licensed by the FDA or other regulatory foreign or domestic entity, for any purpose. Customer shall not use any Product for any diagnostic or therapeutic purpose, or otherwise in any manner that conflicts with its labeling statement. Products sold or licensed by CST are provided for Customer as the end-user and solely for research and development uses. Any use of Product for diagnostic, prophylactic or therapeutic purposes, or any purchase of Product for resale (alone or as a component) or other commercial purpose, requires a separate license from CST. Customer shall (a) not sell, license, loan, donate or otherwise transfer or make available any Product to any third party, whether alone or in combination with other materials, or use the Products to manufacture any commercial products, (b) not copy, modify, reverse engineer, decompile, disassemble or otherwise attempt to discover the underlying structure or technology of the Products, or use the Products for the purpose of developing any products or services that would compete with CST products or services, (c) not alter or remove from the Products any trademarks, trade names, logos, patent or copyright notices or markings, (d) use the Products solely in accordance with CST Product Terms of Sale and any applicable documentation, and (e) comply with any license, terms of service or similar agreement with respect to any third party products or services used by Customer in connection with the Products.

Orders: 877-616-CELL (2355) [email protected] Support: 877-678-TECH (8324) [email protected] Web: cellsignal.com
For Research Use Only. Not for Use in Diagnostic Procedures.

Revision 4

Cell Signaling Technology Logo
Western blot analysis of extracts from various cell lines using CCL5/RANTES (E9S2K) Rabbit mAb (upper) and β-Actin (D6A8) Rabbit mAb #8457 (lower).
Western Blotting Image 1: CCL5/RANTES (E9S2K) Rabbit Monoclonal Antibody
Western blot analysis of extracts from 293T cells, mock transfected (-) or transfected with a construct expressing full-length human CCL5/RANTES protein (hCCL5/RANTES; +), using CCL5/RANTES (E9S2K) Rabbit mAb (upper) and β-Actin (D6A8) Rabbit mAb #8457 (lower).
Western Blotting Image 2: CCL5/RANTES (E9S2K) Rabbit Monoclonal Antibody
Western blot analysis of extracts from mouse bone marrow-derived macrophage cells, untreated (-) or treated with Lipopolysaccharides (LPS) #14011 (1 μg/mL, 24 hr; +), using CCL5/RANTES (E9S2K) Rabbit mAb (upper) and GAPDH (D16H11) XP® Rabbit mAb #5174 (lower).
Western Blotting Image 3: CCL5/RANTES (E9S2K) Rabbit Monoclonal Antibody
Orders: 877-616-CELL (2355) [email protected] Support: 877-678-TECH (8324) [email protected] Web: cellsignal.com
For Research Use Only. Not for Use in Diagnostic Procedures.

Revision 4

Cell Signaling Technology Logo
Simple Western™ analysis of lysates (1.0 mg/mL) from NK-92 cells using CCL5/RANTES (E9S2K) Rabbit mAb #36467. The virtual lane view (left) shows the target band (as indicated) at 1:10 and 1:50 dilutions of primary antibody. The corresponding electropherogram view (right) plots chemiluminescence by molecular weight along the capillary at 1:10 (blue line) and 1:50 (green line) dilutions of primary antibody. This experiment was performed under reducing conditions on the Jess™ ​​​​​​​ Simple Western instrument from ProteinSimple, a BioTechne brand, using the 2 – 40 kDa separation module.
Western Blotting Image 1: CCL5/RANTES (E9S2K) Rabbit Monoclonal Antibody
Immunohistochemical analysis of paraffin-embedded human colon carcinoma using CCL5/RANTES (E9S2K) Rabbit mAb.
Immunohistochemistry Image 1: CCL5/RANTES (E9S2K) Rabbit Monoclonal Antibody
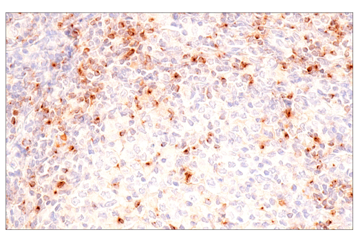
Immunohistochemical analysis of paraffin-embedded human B-cell non-Hodgkin lymphoma using CCL5/RANTES (E9S2K) Rabbit mAb.
Immunohistochemistry Image 2: CCL5/RANTES (E9S2K) Rabbit Monoclonal Antibody
Orders: 877-616-CELL (2355) [email protected] Support: 877-678-TECH (8324) [email protected] Web: cellsignal.com
For Research Use Only. Not for Use in Diagnostic Procedures.

Revision 4

Cell Signaling Technology Logo
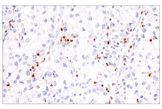
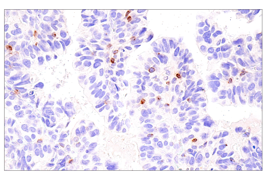
Immunohistochemical analysis of paraffin-embedded human non-small cell lung carcinoma using CCL5/RANTES (E9S2K) Rabbit mAb.
Immunohistochemistry Image 3: CCL5/RANTES (E9S2K) Rabbit Monoclonal Antibody
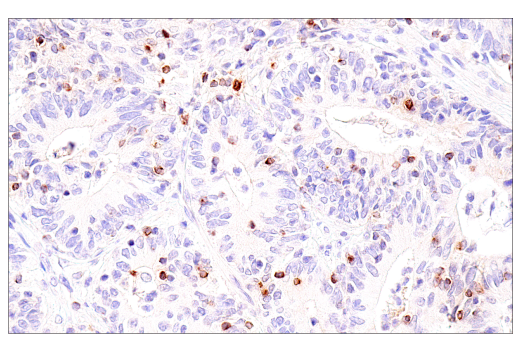
Immunohistochemical analysis of paraffin-embedded human urothelial carcinoma using CCL5/RANTES (E9S2K) Rabbit mAb.
Immunohistochemistry Image 4: CCL5/RANTES (E9S2K) Rabbit Monoclonal Antibody
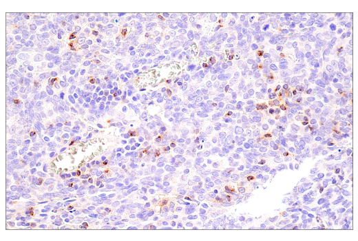
Immunohistochemical analysis of paraffin-embedded human squamous cell carcinoma of the tonsil using CCL5/RANTES (E9S2K) Rabbit mAb.
Immunohistochemistry Image 5: CCL5/RANTES (E9S2K) Rabbit Monoclonal Antibody
Orders: 877-616-CELL (2355) [email protected] Support: 877-678-TECH (8324) [email protected] Web: cellsignal.com
For Research Use Only. Not for Use in Diagnostic Procedures.

Revision 4

Cell Signaling Technology Logo
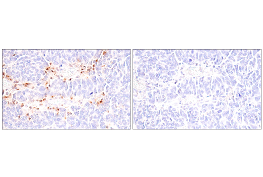
Immunohistochemical analysis of paraffin-embedded human small cell carcinoma of the salivary gland using CCL5/RANTES (E9S2K) Rabbit mAb (left) compared to concentration-matched Rabbit (DA1E) mAb IgG XP® Isotype Control #3900 (right).
Immunohistochemistry Image 6: CCL5/RANTES (E9S2K) Rabbit Monoclonal Antibody
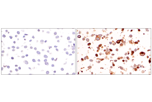
Immunohistochemical analysis of paraffin-embedded 293T cell pellet, untransfected (left) or CCL5/RANTES transfected (right), using CCL5/RANTES (E9S2K) Rabbit mAb.
Immunohistochemistry Image 7: CCL5/RANTES (E9S2K) Rabbit Monoclonal Antibody
Orders: 877-616-CELL (2355) [email protected] Support: 877-678-TECH (8324) [email protected] Web: cellsignal.com
For Research Use Only. Not for Use in Diagnostic Procedures.