Revision 1

#57451

Store at -20C

CST Logo
Orders:

877-616-CELL (2355)

[email protected]

Support:

877-678-TECH (8324)

3 Trask Lane | Danvers | Massachusetts | 01923 | USA

For Research Use Only. Not for Use in Diagnostic Procedures.

Applications:
W, IP, IF-IC

Reactivity:
H

Sensitivity:
Endogenous

MW (kDa):
100

Source/Isotype:
Rabbit IgG

UniProt ID:
#P08473

Entrez-Gene Id:
4311

Product Usage Information

Application Dilution
Western Blotting 1:1000
Immunoprecipitation 1:50
Immunofluorescence (Immunocytochemistry) 1:50

Storage

Supplied in 10 mM sodium HEPES (pH 7.5), 150 mM NaCl, 100 µg/ml BSA, 50% glycerol and less than 0.02% sodium azide. Store at –20°C. Do not aliquot the antibody.

Specificity/Sensitivity

CD10/Neprilysin (E9Z2W) Rabbit Monoclonal Antibody recognizes endogenous levels of total CD10/Neprilysin protein.

Source / Purification

Monoclonal antibody is produced by immunizing animals with recombinant human CD10/Neprilysin protein.

Background

CD10, also known as Neprilysin, common acute lymphoblastic leukemia antigen (CALLA), or neutral endopeptidase (NEP), is a zinc-dependent transmembrane metallo-endopeptidase. CD10 cleaves peptides at the N-terminal side of hydrophobic amino acid residues and deactivates a variety of signaling peptides (1,2). CD10 was shown to be one of the markers for a natural killer cell-restricted progenitor in fetal and adult tissues (3). Studies also suggest CD10 as a phenotypic marker to distinguish mature neutrophils from immature neutrophils in patients with inflammation (2). In addition, CD10+GPR77+ carcinoma-associated fibroblasts (CAFs) promote tumor formation and chemoresistance (4).

Species Reactivity

Species reactivity is determined by testing in at least one approved application (e.g., western blot).

Western Blot Buffer

IMPORTANT: For western blots, incubate membrane with diluted primary antibody in 5% w/v BSA, 1X TBS, 0.1% Tween® 20 at 4°C with gentle shaking, overnight.

Applications Key

W: Western Blotting IP: Immunoprecipitation IF-IC: Immunofluorescence (Immunocytochemistry)

Cross-Reactivity Key

H: Human

Trademarks and Patents

Cell Signaling Technology is a trademark of Cell Signaling Technology, Inc.

Alexa Fluor is a registered trademark of Life Technologies Corporation.

All other trademarks are the property of their respective owners. Visit cellsignal.com/trademarks for more information.

Limited Uses

Except as otherwise expressly agreed in a writing signed by a legally authorized representative of CST, the following terms apply to Products provided by CST, its affiliates or its distributors. Any Customer's terms and conditions that are in addition to, or different from, those contained herein, unless separately accepted in writing by a legally authorized representative of CST, are rejected and are of no force or effect.

Products are labeled with For Research Use Only or a similar labeling statement and have not been approved, cleared, or licensed by the FDA or other regulatory foreign or domestic entity, for any purpose. Customer shall not use any Product for any diagnostic or therapeutic purpose, or otherwise in any manner that conflicts with its labeling statement. Products sold or licensed by CST are provided for Customer as the end-user and solely for research and development uses. Any use of Product for diagnostic, prophylactic or therapeutic purposes, or any purchase of Product for resale (alone or as a component) or other commercial purpose, requires a separate license from CST. Customer shall (a) not sell, license, loan, donate or otherwise transfer or make available any Product to any third party, whether alone or in combination with other materials, or use the Products to manufacture any commercial products, (b) not copy, modify, reverse engineer, decompile, disassemble or otherwise attempt to discover the underlying structure or technology of the Products, or use the Products for the purpose of developing any products or services that would compete with CST products or services, (c) not alter or remove from the Products any trademarks, trade names, logos, patent or copyright notices or markings, (d) use the Products solely in accordance with CST Product Terms of Sale and any applicable documentation, and (e) comply with any license, terms of service or similar agreement with respect to any third party products or services used by Customer in connection with the Products.

Orders: 877-616-CELL (2355) [email protected] Support: 877-678-TECH (8324) [email protected] Web: cellsignal.com
For Research Use Only. Not for Use in Diagnostic Procedures.

Revision 1

Cell Signaling Technology Logo
Western blot analysis of extracts from A172 and U-2 OS cells using CD10/Neprilysin (E9Z2W) Rabbit mAb (upper) and β-Actin (D6A8) Rabbit mAb #8457 (lower).
Western Blotting Image 1: CD10/Neprilysin (E9Z2W) Rabbit Monoclonal Antibody
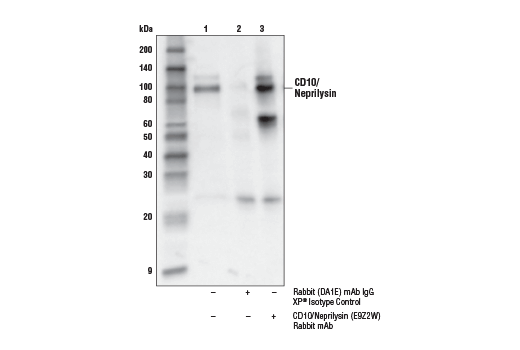
Immunoprecipitation of CD10/Neprilysin protein from LNCaP (clone FGC) extracts. Lane 1 is 10% input, lane 2 is Rabbit (DA1E) mAb IgG XP® Isotype Control #3900, and lane 3 is CD10/Neprilysin (E9Z2W) Rabbit mAb. Western blot analysis was performed using CD10/Neprilysin (E9Z2W) Rabbit mAb. Mouse Anti-rabbit IgG (Conformation Specific) (L27A9) mAb (HRP Conjugate) #5127 was used as the secondary antibody.
Immunoprecipitation Image 1: CD10/Neprilysin (E9Z2W) Rabbit Monoclonal Antibody
Confocal immunofluorescent analysis of A172 cells (left, positive) and U-2 OS cells (right, negative) using CD10/Neprilysin (E9Z2W) Rabbit mAb (green). Actin filaments were labeled with Alexa Fluor® 647 Phalloidin #8940 (red). Blue pseudocolor = Propidium Iodide (PI)/RNase Staining Solution #4087.
Immunofluorescence Image 1: CD10/Neprilysin (E9Z2W) Rabbit Monoclonal Antibody
Orders: 877-616-CELL (2355) [email protected] Support: 877-678-TECH (8324) [email protected] Web: cellsignal.com
For Research Use Only. Not for Use in Diagnostic Procedures.