Revision 4

#58145

Store at -20C

CST Logo
Orders:

877-616-CELL (2355)

[email protected]

Support:

877-678-TECH (8324)

3 Trask Lane | Danvers | Massachusetts | 01923 | USA

For Research Use Only. Not for Use in Diagnostic Procedures.

Applications:
W, W-S, IHC-P, IF-F, IF-IC, FC-FP

Reactivity:
M R

Sensitivity:
Endogenous

MW (kDa):
100

Source/Isotype:
Rabbit IgG

UniProt ID:
#Q61391

Entrez-Gene Id:
17380

Product Usage Information

Application Dilution
Western Blotting 1:1000
Simple Western™ 1:10 - 1:50
Immunohistochemistry (Paraffin) 1:50
Immunofluorescence (Frozen) 1:200 - 1:800
Immunofluorescence (Immunocytochemistry) 1:200 - 1:800
Flow Cytometry (Fixed/Permeabilized) 1:400 - 1:1600

Storage

Supplied in 10 mM sodium HEPES (pH 7.5), 150 mM NaCl, 100 µg/mL BSA, 50% glycerol, and less than 0.02% sodium azide. Store at –20°C. Do not aliquot the antibody.

For a carrier free (BSA and azide free) version of this product see product #67330.

Specificity/Sensitivity

CD10/Neprilysin (F4P6H) Rabbit Monoclonal Antibody recognizes endogenous levels of total CD10/Neprilysin protein.

Source / Purification

Monoclonal antibody is produced by immunizing animals with a synthetic peptide corresponding to residues surrounding Leu493 of mouse CD10/Neprilysin protein.

Background

CD10, also known as Neprilysin, common acute lymphoblastic leukemia antigen (CALLA), or neutral endopeptidase (NEP), is a zinc-dependent transmembrane metallo-endopeptidase. CD10 cleaves peptides at the N-terminal side of hydrophobic amino acid residues and deactivates a variety of signaling peptides (1,2). CD10 was shown to be one of the markers for a natural killer cell-restricted progenitor in fetal and adult tissues (3). Studies also suggest CD10 as a phenotypic marker to distinguish mature neutrophils from immature neutrophils in patients with inflammation (2). In addition, CD10+GPR77+ carcinoma-associated fibroblasts (CAFs) promote tumor formation and chemoresistance (4).

Species Reactivity

Species reactivity is determined by testing in at least one approved application (e.g., western blot).

Western Blot Buffer

IMPORTANT: For western blots, incubate membrane with diluted primary antibody in 5% w/v BSA, 1X TBS, 0.1% Tween® 20 at 4°C with gentle shaking, overnight.

Applications Key

W: Western Blotting W-S: Simple Western™ IHC-P: Immunohistochemistry (Paraffin) IF-F: Immunofluorescence (Frozen) IF-IC: Immunofluorescence (Immunocytochemistry) FC-FP: Flow Cytometry (Fixed/Permeabilized)

Cross-Reactivity Key

M: Mouse R: Rat

Trademarks and Patents

Cell Signaling Technology is a trademark of Cell Signaling Technology, Inc.

All other trademarks are the property of their respective owners. Visit cellsignal.com/trademarks for more information.

Limited Uses

Except as otherwise expressly agreed in a writing signed by a legally authorized representative of CST, the following terms apply to Products provided by CST, its affiliates or its distributors. Any Customer's terms and conditions that are in addition to, or different from, those contained herein, unless separately accepted in writing by a legally authorized representative of CST, are rejected and are of no force or effect.

Products are labeled with For Research Use Only or a similar labeling statement and have not been approved, cleared, or licensed by the FDA or other regulatory foreign or domestic entity, for any purpose. Customer shall not use any Product for any diagnostic or therapeutic purpose, or otherwise in any manner that conflicts with its labeling statement. Products sold or licensed by CST are provided for Customer as the end-user and solely for research and development uses. Any use of Product for diagnostic, prophylactic or therapeutic purposes, or any purchase of Product for resale (alone or as a component) or other commercial purpose, requires a separate license from CST. Customer shall (a) not sell, license, loan, donate or otherwise transfer or make available any Product to any third party, whether alone or in combination with other materials, or use the Products to manufacture any commercial products, (b) not copy, modify, reverse engineer, decompile, disassemble or otherwise attempt to discover the underlying structure or technology of the Products, or use the Products for the purpose of developing any products or services that would compete with CST products or services, (c) not alter or remove from the Products any trademarks, trade names, logos, patent or copyright notices or markings, (d) use the Products solely in accordance with CST Product Terms of Sale and any applicable documentation, and (e) comply with any license, terms of service or similar agreement with respect to any third party products or services used by Customer in connection with the Products.

Orders: 877-616-CELL (2355) [email protected] Support: 877-678-TECH (8324) [email protected] Web: cellsignal.com
For Research Use Only. Not for Use in Diagnostic Procedures.

Revision 4

Cell Signaling Technology Logo
Western blot analysis of extracts from various cell lines and tissues using CD10/Neprilysin (F4P6H) Rabbit mAb (upper) or GAPDH (D16H11) XP® Rabbit mAb #5174 (lower). Negative expression of CD10/Neprilysin protein in NIH/3T3 and MBT2 cells is consistent with the predicted expression pattern.
Western Blotting Image 1: CD10/Neprilysin (F4P6H) Rabbit Monoclonal Antibody
Simple WesternTM analysis of lysates (0.1mg/mL) from mIMCD-3 cells using CD10/Neprilysin (F4P6H) Rabbit mAb #58145. The virtual lane view (left) shows the target band (as indicated) at 1:10 and 1:50 dilutions of primary antibody.  The corresponding electropherogram view (right) plots chemiluminescence by molecular weight along the capillary at 1:10 (blue line) and 1:50 (green line) dilutions of primary antibody.  This experiment was performed under reducing conditions on the JessTM Simple Western instrument from ProteinSimple, a BioTechne brand, using the 12-230 kDa separation module.
Western Blotting Image 1: CD10/Neprilysin (F4P6H) Rabbit Monoclonal Antibody
Immunohistochemical analysis of paraffin-embedded Renca syngeneic tumor using CD10/Neprilysin (F4P6H) Rabbit mAb.
Immunohistochemistry Image 1: CD10/Neprilysin (F4P6H) Rabbit Monoclonal Antibody
Orders: 877-616-CELL (2355) [email protected] Support: 877-678-TECH (8324) [email protected] Web: cellsignal.com
For Research Use Only. Not for Use in Diagnostic Procedures.

Revision 4

Cell Signaling Technology Logo

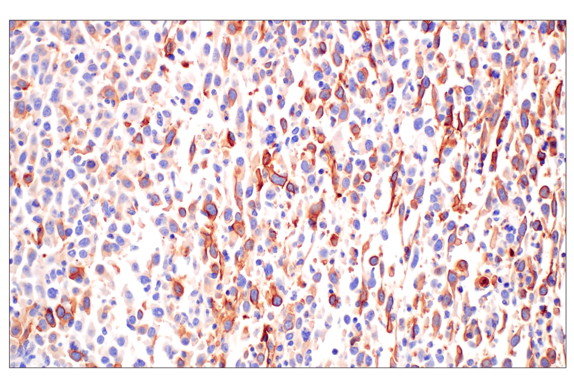
Immunohistochemical analysis of paraffin-embedded MC-38 syngeneic tumor using CD10/Neprilysin (F4P6H) Rabbit mAb.

Immunohistochemistry Image 2: CD10/Neprilysin (F4P6H) Rabbit Monoclonal Antibody

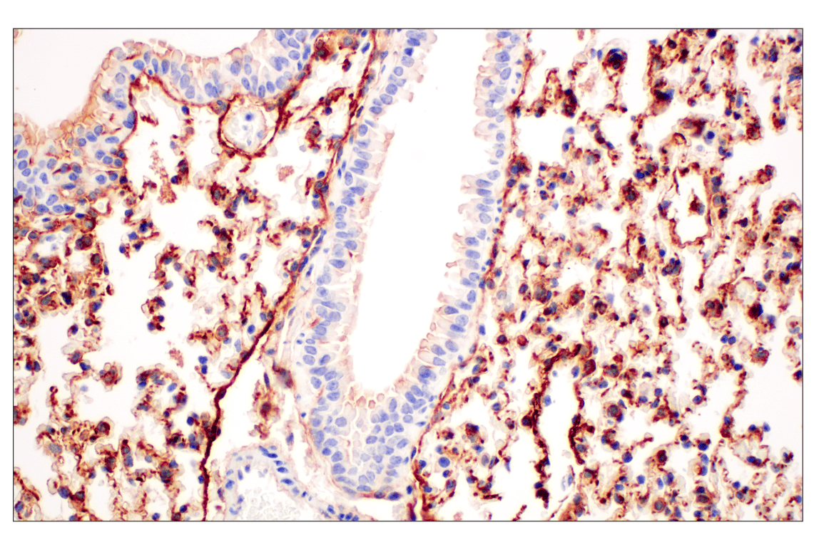
Immunohistochemical analysis of paraffin-embedded mouse lung using CD10/Neprilysin (F4P6H) Rabbit mAb.

Immunohistochemistry Image 3: CD10/Neprilysin (F4P6H) Rabbit Monoclonal Antibody
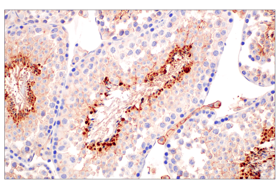
Immunohistochemical analysis of paraffin-embedded mouse testis using CD10/Neprilysin (F4P6H) Rabbit mAb.
Immunohistochemistry Image 4: CD10/Neprilysin (F4P6H) Rabbit Monoclonal Antibody
Orders: 877-616-CELL (2355) [email protected] Support: 877-678-TECH (8324) [email protected] Web: cellsignal.com
For Research Use Only. Not for Use in Diagnostic Procedures.

Revision 4

Cell Signaling Technology Logo
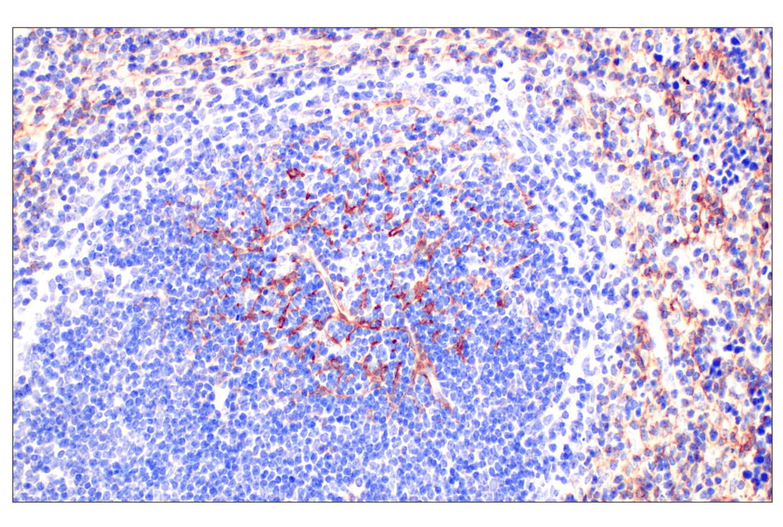
Immunohistochemical analysis of paraffin-embedded mouse spleen using CD10/Neprilysin (F4P6H) Rabbit mAb.
Immunohistochemistry Image 5: CD10/Neprilysin (F4P6H) Rabbit Monoclonal Antibody

Immunohistochemical analysis of paraffin-embedded mouse oviduct using CD10/Neprilysin (F4P6H) Rabbit mAb.

Immunohistochemistry Image 6: CD10/Neprilysin (F4P6H) Rabbit Monoclonal Antibody
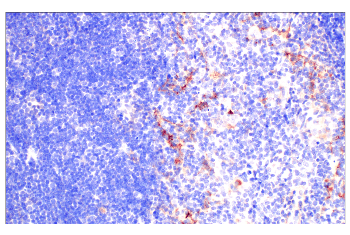
Immunohistochemical analysis of paraffin-embedded mouse thymus using CD10/Neprilysin (F4P6H) Rabbit mAb.
Immunohistochemistry Image 7: CD10/Neprilysin (F4P6H) Rabbit Monoclonal Antibody
Orders: 877-616-CELL (2355) [email protected] Support: 877-678-TECH (8324) [email protected] Web: cellsignal.com
For Research Use Only. Not for Use in Diagnostic Procedures.

Revision 4

Cell Signaling Technology Logo
Immunohistochemical analysis of paraffin-embedded mouse small intestine using CD10/Neprilysin (F4P6H) Rabbit mAb (left) or a CD10/Neprilysin Rabbit mAb (right). These two antibodies detect unique, non-overlapping epitopes on CD10/Neprilysin. The similar staining patterns obtained with both antibodies help to confirm the specificity of the staining.
Immunohistochemistry Image 8: CD10/Neprilysin (F4P6H) Rabbit Monoclonal Antibody
Immunohistochemical analysis of paraffin-embedded mouse liver using CD10/Neprilysin (F4P6H) Rabbit mAb (left) compared to concentration-matched Rabbit (DA1E) mAb IgG XP® Isotype Control #3900 (right).
Immunohistochemistry Image 9: CD10/Neprilysin (F4P6H) Rabbit Monoclonal Antibody
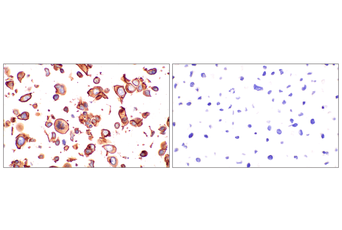
Immunohistochemical analysis of paraffin-embedded Renca cell pellet (left, positive) or MBT2 cell pellet (right, negative) using CD10/Neprilysin (F4P6H) Rabbit mAb.
Immunohistochemistry Image 10: CD10/Neprilysin (F4P6H) Rabbit Monoclonal Antibody
Orders: 877-616-CELL (2355) [email protected] Support: 877-678-TECH (8324) [email protected] Web: cellsignal.com
For Research Use Only. Not for Use in Diagnostic Procedures.

Revision 4

Cell Signaling Technology Logo
Confocal immunofluorescent analysis of fixed frozen mouse kidney labeled with CD10/Neprilysin (F4P6H) Rabbit mAb (left, green). Free secondary binding sites were then blocked with Rabbit (DA1E) mAb IgG XP® Isotype Control #3900 prior to co-labeling with CD45 (D3F8Q) Rabbit mAb (Alexa Fluor® 555 Conjugate) #19581 (right, red), and ProLong Gold Antifade Reagent with DAPI #8961 (right, blue).
Immunofluorescence Image 1: CD10/Neprilysin (F4P6H) Rabbit Monoclonal Antibody
Confocal immunofluorescent analysis of fixed frozen mouse liver labeled with CD10/Neprilysin (F4P6H) Rabbit mAb (left, green). Free secondary binding sites were then blocked with Rabbit (DA1E) mAb IgG XP® Isotype Control #3900 prior to co-labeling with CD45 (D3F8Q) Rabbit mAb (Alexa Fluor® 555 Conjugate) #19581 (right, red), and ProLong Gold Antifade Reagent with DAPI #8961 (right, blue).
Immunofluorescence Image 2: CD10/Neprilysin (F4P6H) Rabbit Monoclonal Antibody
Confocal immunofluorescent analysis of mIMCD-3 cells (left, positive) and NIH/3T3 cells (right, negative) using CD10/Neprilysin (F4P6H) Rabbit mAb (green), β-Actin (8H10D10) Mouse mAb #3700 (red), and DAPI #4083 (blue).
Immunofluorescence Image 1: CD10/Neprilysin (F4P6H) Rabbit Monoclonal Antibody
Orders: 877-616-CELL (2355) [email protected] Support: 877-678-TECH (8324) [email protected] Web: cellsignal.com
For Research Use Only. Not for Use in Diagnostic Procedures.

Revision 4

Cell Signaling Technology Logo
Flow cytometric analysis of fixed/permeabilized NIH/3T3 cells (blue, negative) and Renca cells (green, positive) using CD10/Neprilysin (F4P6H) Rabbit mAb (solid lines) or concentration-matched Rabbit (DA1E) mAb IgG XP® Isotype Control #3900 (dashed lines). Anti-rabbit IgG (H+L), F(ab')2 Fragment (Alexa Fluor® 488 Conjugate) #4412 was used as a secondary antibody.
Flow Cytometry Image 1: CD10/Neprilysin (F4P6H) Rabbit Monoclonal Antibody
Orders: 877-616-CELL (2355) [email protected] Support: 877-678-TECH (8324) [email protected] Web: cellsignal.com
For Research Use Only. Not for Use in Diagnostic Procedures.