Revision 1

#13355

Store at -20C

CST Logo
Orders:

877-616-CELL (2355)

[email protected]

Support:

877-678-TECH (8324)

3 Trask Lane | Danvers | Massachusetts | 01923 | USA

For Research Use Only. Not for Use in Diagnostic Procedures.

Applications:
W, IP, IHC-P, IF-IC, FC-FP

Reactivity:
H

Sensitivity:
Endogenous

MW (kDa):
45, 55

Source/Isotype:
Rabbit IgG

UniProt ID:
#P13598

Entrez-Gene Id:
3384

Product Usage Information

Application Dilution
Western Blotting 1:1000
Immunoprecipitation 1:50
Immunohistochemistry (Paraffin) 1:100
Immunofluorescence (Immunocytochemistry) 1:100
Flow Cytometry (Fixed/Permeabilized) 1:100

Storage

Supplied in 10 mM sodium HEPES (pH 7.5), 150 mM NaCl, 100 µg/ml BSA, 50% glycerol and less than 0.02% sodium azide. Store at –20°C. Do not aliquot the antibody.

Specificity/Sensitivity

CD102/ICAM-2 (D7P2Q) Rabbit Monoclonal Antibody recognizes endogenous levels of total CD102 (ICAM-2) protein.

Source / Purification

Monoclonal antibody is produced by immunizing animals with a synthetic peptide corresponding to residues near the amino terminus of human CD102 (ICAM-2) protein.

Background

Intercellular cell adhesion molecule-2 (CD102/ICAM-2) is a cell surface glycoprotein that belongs to the immunoglobulin superfamily (IgSF) of adhesion molecules. Like CD54/ICAM-1, CD102/ICAM-2 is a ligand that binds the leukocyte adhesion molecule LFA-1 (leukocyte function-associated antigen-1), which mediates intercellular interactions between immune cells and other cell types (1).
Expression of CD102/ICAM-2 has been shown to affect angiogenesis (2), cellular radioresistance (3) and anti-tumor immune response (4). Along with CD54/ICAM-1, CD102/ICAM-2 mediates T cell crawling and diapedesis across the blood-brain barrier (5), as well as T cell migration across the bronchial epithelium (6). CD102/ICAM-2 interaction with the actin cytoskeleton through α-actinin has been shown to limit the mobility on neuroblastoma cells (7), and this effect is dependent on glycosylation of CD102/ICAM-2 (8).

Species Reactivity

Species reactivity is determined by testing in at least one approved application (e.g., western blot).

Western Blot Buffer

IMPORTANT: For western blots, incubate membrane with diluted primary antibody in 5% w/v BSA, 1X TBS, 0.1% Tween® 20 at 4°C with gentle shaking, overnight.

Applications Key

W: Western Blotting IP: Immunoprecipitation IHC-P: Immunohistochemistry (Paraffin) IF-IC: Immunofluorescence (Immunocytochemistry) FC-FP: Flow Cytometry (Fixed/Permeabilized)

Cross-Reactivity Key

H: Human

Trademarks and Patents

Cell Signaling Technology is a trademark of Cell Signaling Technology, Inc.

All other trademarks are the property of their respective owners. Visit cellsignal.com/trademarks for more information.

Limited Uses

Except as otherwise expressly agreed in a writing signed by a legally authorized representative of CST, the following terms apply to Products provided by CST, its affiliates or its distributors. Any Customer's terms and conditions that are in addition to, or different from, those contained herein, unless separately accepted in writing by a legally authorized representative of CST, are rejected and are of no force or effect.

Products are labeled with For Research Use Only or a similar labeling statement and have not been approved, cleared, or licensed by the FDA or other regulatory foreign or domestic entity, for any purpose. Customer shall not use any Product for any diagnostic or therapeutic purpose, or otherwise in any manner that conflicts with its labeling statement. Products sold or licensed by CST are provided for Customer as the end-user and solely for research and development uses. Any use of Product for diagnostic, prophylactic or therapeutic purposes, or any purchase of Product for resale (alone or as a component) or other commercial purpose, requires a separate license from CST. Customer shall (a) not sell, license, loan, donate or otherwise transfer or make available any Product to any third party, whether alone or in combination with other materials, or use the Products to manufacture any commercial products, (b) not copy, modify, reverse engineer, decompile, disassemble or otherwise attempt to discover the underlying structure or technology of the Products, or use the Products for the purpose of developing any products or services that would compete with CST products or services, (c) not alter or remove from the Products any trademarks, trade names, logos, patent or copyright notices or markings, (d) use the Products solely in accordance with CST Product Terms of Sale and any applicable documentation, and (e) comply with any license, terms of service or similar agreement with respect to any third party products or services used by Customer in connection with the Products.

Orders: 877-616-CELL (2355) [email protected] Support: 877-678-TECH (8324) [email protected] Web: cellsignal.com
For Research Use Only. Not for Use in Diagnostic Procedures.

Revision 1

Cell Signaling Technology Logo
Western blot analysis of extracts from various cell lines using CD102/ICAM-2 (D7P2Q) Rabbit mAb (upper) or β-Actin (13E5) Rabbit mAb #4970 (lower).
Western Blotting Image 1: CD102/ICAM-2 (D7P2Q) Rabbit Monoclonal Antibody
Western blot analysis of extracts from Jurkat cells, untreated (lane 1; -), mock treated (lane 2; -), or peptide-N-glycosidase F (PGNaseF)-treated (lane 3; +), using CD102/ICAM-2 (D7P2Q) Rabbit mAb (upper) or β-Actin (13E5) Rabbit mAb #4970 (lower).
Western Blotting Image 2: CD102/ICAM-2 (D7P2Q) Rabbit Monoclonal Antibody
Immunoprecipitation of CD102/ICAM-2 from Jurkat cell extracts using Rabbit (DA1E) mAb IgG XP® Isotype Control #3900 (lane 2) or CD102/ICAM-2 (D7P2Q) Rabbit mAb (lane 3). Lane 1 is 10% input. Western blot was performed using CD102/ICAM-2 (D7P2Q) Rabbit mAb. A light chain specific secondary antibody was used.
Immunoprecipitation Image 1: CD102/ICAM-2 (D7P2Q) Rabbit Monoclonal Antibody
Orders: 877-616-CELL (2355) [email protected] Support: 877-678-TECH (8324) [email protected] Web: cellsignal.com
For Research Use Only. Not for Use in Diagnostic Procedures.

Revision 1

Cell Signaling Technology Logo
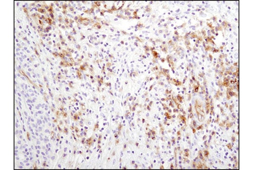
Immunohistochemical analysis of paraffin-embedded human breast carcinoma using CD102/ICAM-2 (D7P2Q) Rabbit mAb.
Immunohistochemistry Image 1: CD102/ICAM-2 (D7P2Q) Rabbit Monoclonal Antibody
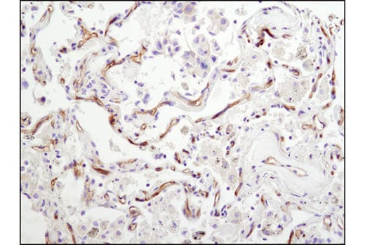
Immunohistochemical analysis of paraffin-embedded human lung carcinoma using CD102/ICAM-2 (D7P2Q) Rabbit mAb.
Immunohistochemistry Image 2: CD102/ICAM-2 (D7P2Q) Rabbit Monoclonal Antibody
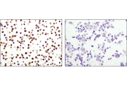
Immunohistochemical analysis of paraffin-embedded Jurkat (high expression, left) or 293T (low expression, right) cell pellets using CD102/ICAM-2 (D7P2Q) Rabbit mAb.
Immunohistochemistry Image 3: CD102/ICAM-2 (D7P2Q) Rabbit Monoclonal Antibody
Orders: 877-616-CELL (2355) [email protected] Support: 877-678-TECH (8324) [email protected] Web: cellsignal.com
For Research Use Only. Not for Use in Diagnostic Procedures.

Revision 1

Cell Signaling Technology Logo
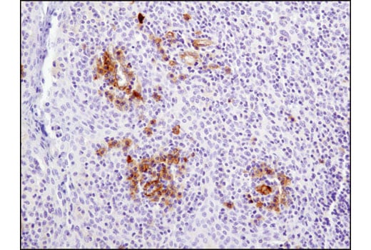
Immunohistochemical analysis of paraffin-embedded human tonsil using CD102/ICAM-2 (D7P2Q) Rabbit mAb.
Immunohistochemistry Image 4: CD102/ICAM-2 (D7P2Q) Rabbit Monoclonal Antibody
Confocal immunofluorescent analysis of HUVEC (high expression, left) and HeLa cells (low expression, right) using CD102/ICAM-2 (D7P2Q) Rabbit mAb (green). Blue pseudocolor= DRAQ5® #4084 (fluorescent DNA dye).
Immunofluorescence Image 1: CD102/ICAM-2 (D7P2Q) Rabbit Monoclonal Antibody
Flow cytometric analysis of HeLa cells (blue) and HUVEC (green) using CD102/ICAM-2 (D7P2Q) Rabbit mAb. Anti-rabbit IgG (H+L), F(ab')2 Fragment (Alexa Fluor® 647 Conjugate) #4414 was used as a secondary antibody.
Flow Cytometry Image 1: CD102/ICAM-2 (D7P2Q) Rabbit Monoclonal Antibody
Orders: 877-616-CELL (2355) [email protected] Support: 877-678-TECH (8324) [email protected] Web: cellsignal.com
For Research Use Only. Not for Use in Diagnostic Procedures.