Revision 4

#24765

Store at -20C

CST Logo
Orders:

877-616-CELL (2355)

[email protected]

Support:

877-678-TECH (8324)

3 Trask Lane | Danvers | Massachusetts | 01923 | USA

For Research Use Only. Not for Use in Diagnostic Procedures.

Applications:
W, IP, IHC-Bond, IHC-P

Reactivity:
H M

Sensitivity:
Endogenous

MW (kDa):
190

Source/Isotype:
Rabbit IgG

UniProt ID:
#Q6YHK3

Entrez-Gene Id:
135228

Product Usage Information

Application Dilution
Western Blotting 1:1000
Immunoprecipitation 1:100
IHC Leica Bond 1:400 - 1:1600
Immunohistochemistry (Paraffin) 1:200 - 1:800

Storage

Supplied in 10 mM sodium HEPES (pH 7.5), 150 mM NaCl, 100 µg/ml BSA, 50% glycerol and less than 0.02% sodium azide. Store at –20°C. Do not aliquot the antibody.

For a carrier free (BSA and azide free) version of this product see product #34464.

Specificity/Sensitivity

CD109 (E4I2V) Rabbit Monoclonal Antibody recognizes endogenous levels of total CD109 protein. Species cross-reactivity for IHC-P is human only.

Source / Purification

Monoclonal antibody is produced by immunizing animals with a synthetic peptide corresponding to residues surrounding Val834 of human CD109 protein.

Background

CD109 is a glycosylphosphatidylinositol (GPI)-linked glycoprotein that belongs to the alpha2-macroglobulin family of thioester containing proteins (1). CD109 is associated with TGF-beta receptor I (TbRI) and inhibits TGF-beta signaling (2,3). Cleavage of CD109 at its Furin cleavage site results in the release of its large amino-terminal domain, which then binds to the TGF-beta receptor I to inhibit TGF-beta signaling (4-7). CD109 is expressed on a subset of CD34+ bone marrow cells and mesenchymal stem cells, activated platelets, activated T cells, endothelial cells, and a wide variety of tumors (8-10). Elevated CD109 expression has been considered a diagnostic/prognostic marker for several types of cancers (11-14).

Species Reactivity

Species reactivity is determined by testing in at least one approved application (e.g., western blot).

Western Blot Buffer

IMPORTANT: For western blots, incubate membrane with diluted primary antibody in 5% w/v nonfat dry milk, 1X TBS, 0.1% Tween® 20 at 4°C with gentle shaking, overnight.

Applications Key

W: Western Blotting IP: Immunoprecipitation IHC-Bond: IHC Leica Bond IHC-P: Immunohistochemistry (Paraffin)

Cross-Reactivity Key

H: Human M: Mouse

Trademarks and Patents

Cell Signaling Technology is a trademark of Cell Signaling Technology, Inc.

SignalStain is a registered trademark of Cell Signaling Technology, Inc.

All other trademarks are the property of their respective owners. Visit cellsignal.com/trademarks for more information.

Limited Uses

Except as otherwise expressly agreed in a writing signed by a legally authorized representative of CST, the following terms apply to Products provided by CST, its affiliates or its distributors. Any Customer's terms and conditions that are in addition to, or different from, those contained herein, unless separately accepted in writing by a legally authorized representative of CST, are rejected and are of no force or effect.

Products are labeled with For Research Use Only or a similar labeling statement and have not been approved, cleared, or licensed by the FDA or other regulatory foreign or domestic entity, for any purpose. Customer shall not use any Product for any diagnostic or therapeutic purpose, or otherwise in any manner that conflicts with its labeling statement. Products sold or licensed by CST are provided for Customer as the end-user and solely for research and development uses. Any use of Product for diagnostic, prophylactic or therapeutic purposes, or any purchase of Product for resale (alone or as a component) or other commercial purpose, requires a separate license from CST. Customer shall (a) not sell, license, loan, donate or otherwise transfer or make available any Product to any third party, whether alone or in combination with other materials, or use the Products to manufacture any commercial products, (b) not copy, modify, reverse engineer, decompile, disassemble or otherwise attempt to discover the underlying structure or technology of the Products, or use the Products for the purpose of developing any products or services that would compete with CST products or services, (c) not alter or remove from the Products any trademarks, trade names, logos, patent or copyright notices or markings, (d) use the Products solely in accordance with CST Product Terms of Sale and any applicable documentation, and (e) comply with any license, terms of service or similar agreement with respect to any third party products or services used by Customer in connection with the Products.

Orders: 877-616-CELL (2355) [email protected] Support: 877-678-TECH (8324) [email protected] Web: cellsignal.com
For Research Use Only. Not for Use in Diagnostic Procedures.

Revision 4

Cell Signaling Technology Logo
Western blot analysis of extracts from various cell lines using CD109 (E4I2V) Rabbit mAb (upper) or β-Actin (D6A8) Rabbit mAb #8457 (lower).
Western Blotting Image 1: CD109 (E4I2V) Rabbit Monoclonal Antibody
Western blot analysis of extracts from various cell lines using CD109 (E4I2V) Rabbit mAb (upper) or β-Actin (D6A8) Rabbit mAb #8457 (lower).
Western Blotting Image 2: CD109 (E4I2V) Rabbit Monoclonal Antibody
Immunoprecipitation of CD109 protein from SK-MEL-28 cell extracts. Lane 1 is 10% input, lane 2 is Rabbit (DA1E) mAb IgG XP® Isotype Control #3900, and lane 3 is CD109 (E4I2V) Rabbit mAb. Western blot analysis was performed using CD109 (E4I2V) Rabbit mAb.
Immunoprecipitation Image 1: CD109 (E4I2V) Rabbit Monoclonal Antibody
Orders: 877-616-CELL (2355) [email protected] Support: 877-678-TECH (8324) [email protected] Web: cellsignal.com
For Research Use Only. Not for Use in Diagnostic Procedures.

Revision 4

Cell Signaling Technology Logo
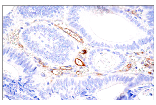
Immunohistochemical analysis of paraffin-embedded human endometrioid adenocarcinoma using CD109 (E4I2V) Rabbit mAb performed on the Leica® BOND™ Rx.
Immunohistochemistry Image 1: CD109 (E4I2V) Rabbit Monoclonal Antibody
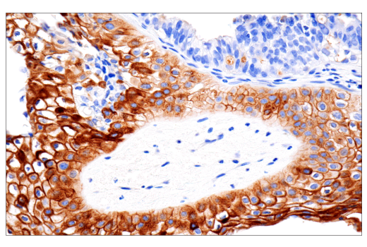
Immunohistochemical analysis of paraffin-embedded human ductal breast carcinoma using CD109 (E4I2V) Rabbit mAb.
Immunohistochemistry Image 1: CD109 (E4I2V) Rabbit Monoclonal Antibody
Immunohistochemical analysis of paraffin-embedded human colon carcinoma using CD109 (E4I2V) Rabbit mAb.
Immunohistochemistry Image 2: CD109 (E4I2V) Rabbit Monoclonal Antibody
Orders: 877-616-CELL (2355) [email protected] Support: 877-678-TECH (8324) [email protected] Web: cellsignal.com
For Research Use Only. Not for Use in Diagnostic Procedures.

Revision 4

Cell Signaling Technology Logo
Immunohistochemical analysis of paraffin-embedded normal human liver using CD109 (E4I2V) Rabbit mAb.
Immunohistochemistry Image 3: CD109 (E4I2V) Rabbit Monoclonal Antibody
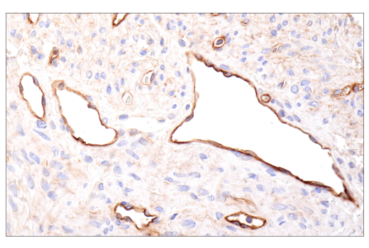
Immunohistochemical analysis of paraffin-embedded normal human lung using CD109 (E4I2V) Rabbit mAb.
Immunohistochemistry Image 4: CD109 (E4I2V) Rabbit Monoclonal Antibody
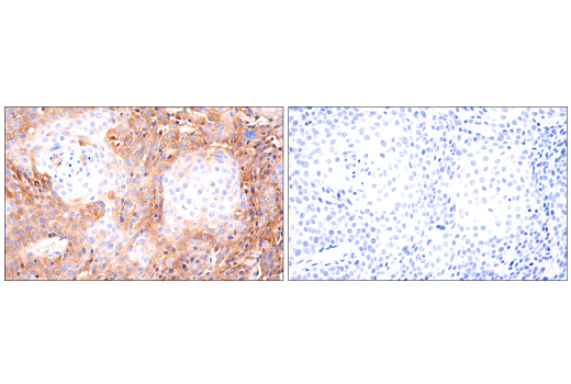
Immunohistochemical analysis of paraffin-embedded human oral squamous cell carcinoma using CD109 (E4I2V) Rabbit mAb (left) compared to concentration-matched Rabbit (DA1E) mAb IgG XP® Isotype Control #3900 (right).
Immunohistochemistry Image 5: CD109 (E4I2V) Rabbit Monoclonal Antibody
Orders: 877-616-CELL (2355) [email protected] Support: 877-678-TECH (8324) [email protected] Web: cellsignal.com
For Research Use Only. Not for Use in Diagnostic Procedures.

Revision 4

Cell Signaling Technology Logo
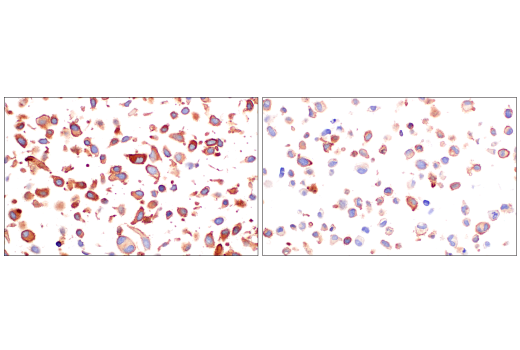
Immunohistochemical analysis of paraffin-embedded SK-MEL-28 cell pellet (left, high-expressing) or SK-MEL-2 cell pellet (right, low-expressing) using CD109 (E4I2V) Rabbit mAb.
Immunohistochemistry Image 6: CD109 (E4I2V) Rabbit Monoclonal Antibody
Immunohistochemical analysis of paraffin-embedded human prostate carcinoma using CD109 (E4I2V) Rabbit mAb.
Immunohistochemistry Image 7: CD109 (E4I2V) Rabbit Monoclonal Antibody
Immunohistochemical analysis of paraffin-embedded normal human spleen using CD109 (E4I2V) Rabbit mAb.
Immunohistochemistry Image 8: CD109 (E4I2V) Rabbit Monoclonal Antibody
Orders: 877-616-CELL (2355) [email protected] Support: 877-678-TECH (8324) [email protected] Web: cellsignal.com
For Research Use Only. Not for Use in Diagnostic Procedures.

Revision 4

Cell Signaling Technology Logo
Immunohistochemical analysis of paraffin-embedded normal human uterus using CD109 (E4I2V) Rabbit mAb.
Immunohistochemistry Image 9: CD109 (E4I2V) Rabbit Monoclonal Antibody
Orders: 877-616-CELL (2355) [email protected] Support: 877-678-TECH (8324) [email protected] Web: cellsignal.com
For Research Use Only. Not for Use in Diagnostic Procedures.