Revision 4

#26703

Store at -20C

CST Logo
Orders:

877-616-CELL (2355)

[email protected]

Support:

877-678-TECH (8324)

3 Trask Lane | Danvers | Massachusetts | 01923 | USA

For Research Use Only. Not for Use in Diagnostic Procedures.

Applications:
W, IP, IHC-P

Reactivity:
H

Sensitivity:
Endogenous

MW (kDa):
160

Source/Isotype:
Rabbit IgG

UniProt ID:
#P20701

Entrez-Gene Id:
3683

Product Usage Information

Application Dilution
Western Blotting 1:1000
Immunoprecipitation 1:50
Immunohistochemistry (Paraffin) 1:400 - 1:1600

Storage

Supplied in 10 mM sodium HEPES (pH 7.5), 150 mM NaCl, 100 µg/ml BSA, 50% glycerol and less than 0.02% sodium azide. Store at –20°C. Do not aliquot the antibody.

For a carrier free (BSA and azide free) version of this product see product #36769.

Specificity/Sensitivity

CD11 alpha (E5S9K) Rabbit Monoclonal Antibody recognizes endogenous levels of total CD11α protein.

Source / Purification

Monoclonal antibody is produced by immunizing animals with a synthetic peptide corresponding to residues surrounding Val975 of human CD11α protein.

Background

CD11α, also known as integrin alpha-L (ITGAL), is the alpha chain of the lymphocyte function-associated antigen-1 (LFA-1). CD11α combines with the beta chain CD18 (ITGB2) to form LFA-1, an integrin expressed on all leukocytes. LFA-1 plays a central role in leukocyte intercellular adhesion through interactions with its ligands ICAM-1, 2, 3, and 4 (1), F11R/JAM-1 (2,3), and the secreted form of ubiquitin-like protein ISG15 (4). LFA-1 is involved in a variety of immune phenomena including leukocyte-endothelial cell interaction and transmigration (2,3), cytotoxic T cell co-stimulation (5), cytotoxic NK cell mediated killing (6), leukocyte clearance (7), and antibody-dependent killing by granulocytes and monocytes (8,9). LFA-1 is required for generation of common lymphoid progenitor cells in bone marrow, indicating a role in lymphopoiesis (10). High expression of CD11α has been associated with antigen-specific and tumor-reactive T cells (11,12).

Species Reactivity

Species reactivity is determined by testing in at least one approved application (e.g., western blot).

Western Blot Buffer

IMPORTANT: For western blots, incubate membrane with diluted primary antibody in 5% w/v BSA, 1X TBS, 0.1% Tween® 20 at 4°C with gentle shaking, overnight.

Applications Key

W: Western Blotting IP: Immunoprecipitation IHC-P: Immunohistochemistry (Paraffin)

Cross-Reactivity Key

H: Human

Trademarks and Patents

Cell Signaling Technology is a trademark of Cell Signaling Technology, Inc.

SignalStain is a registered trademark of Cell Signaling Technology, Inc.

All other trademarks are the property of their respective owners. Visit cellsignal.com/trademarks for more information.

Limited Uses

Except as otherwise expressly agreed in a writing signed by a legally authorized representative of CST, the following terms apply to Products provided by CST, its affiliates or its distributors. Any Customer's terms and conditions that are in addition to, or different from, those contained herein, unless separately accepted in writing by a legally authorized representative of CST, are rejected and are of no force or effect.

Products are labeled with For Research Use Only or a similar labeling statement and have not been approved, cleared, or licensed by the FDA or other regulatory foreign or domestic entity, for any purpose. Customer shall not use any Product for any diagnostic or therapeutic purpose, or otherwise in any manner that conflicts with its labeling statement. Products sold or licensed by CST are provided for Customer as the end-user and solely for research and development uses. Any use of Product for diagnostic, prophylactic or therapeutic purposes, or any purchase of Product for resale (alone or as a component) or other commercial purpose, requires a separate license from CST. Customer shall (a) not sell, license, loan, donate or otherwise transfer or make available any Product to any third party, whether alone or in combination with other materials, or use the Products to manufacture any commercial products, (b) not copy, modify, reverse engineer, decompile, disassemble or otherwise attempt to discover the underlying structure or technology of the Products, or use the Products for the purpose of developing any products or services that would compete with CST products or services, (c) not alter or remove from the Products any trademarks, trade names, logos, patent or copyright notices or markings, (d) use the Products solely in accordance with CST Product Terms of Sale and any applicable documentation, and (e) comply with any license, terms of service or similar agreement with respect to any third party products or services used by Customer in connection with the Products.

Orders: 877-616-CELL (2355) [email protected] Support: 877-678-TECH (8324) [email protected] Web: cellsignal.com
For Research Use Only. Not for Use in Diagnostic Procedures.

Revision 4

Cell Signaling Technology Logo
Western blot analysis of extracts from HeLa and Jurkat cells using CD11α (E5S9K) Rabbit mAb (upper) and β-Actin (D6A8) Rabbit mAb #8457 (lower).
Western Blotting Image 1: CD11 alpha (E5S9K) Rabbit Monoclonal Antibody
Immunoprecipitation of CD11α protein from Jurkat cell extracts. Lane 1 is 10% input, lane 2 is Rabbit (DA1E) mAb IgG XP® Isotype Control #3900, and lane 3 is CD11α (E5S9K) Rabbit mAb. Western blot analysis was performed using CD11α (E5S9K) Rabbit mAb.
Immunoprecipitation Image 1: CD11 alpha (E5S9K) Rabbit Monoclonal Antibody
Immunohistochemical analysis of paraffin-embedded human tonsil using CD11α (E5S9K) Rabbit mAb.
Immunohistochemistry Image 1: CD11 alpha (E5S9K) Rabbit Monoclonal Antibody
Orders: 877-616-CELL (2355) [email protected] Support: 877-678-TECH (8324) [email protected] Web: cellsignal.com
For Research Use Only. Not for Use in Diagnostic Procedures.

Revision 4

Cell Signaling Technology Logo
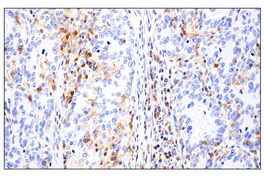
Immunohistochemical analysis of paraffin-embedded human colon carcinoma using CD11α (E5S9K) Rabbit mAb (left) compared to concentration-matched Rabbit (DA1E) mAb IgG XP® Isotype Control #3900 (right).
Immunohistochemistry Image 2: CD11 alpha (E5S9K) Rabbit Monoclonal Antibody
Immunohistochemical analysis of paraffin-embedded human ductal breast carcinoma using CD11α (E5S9K) Rabbit mAb.
Immunohistochemistry Image 3: CD11 alpha (E5S9K) Rabbit Monoclonal Antibody
Immunohistochemical analysis of paraffin-embedded RL cell pellet (left, positive) or HeLa cell pellet (right, negative) using CD11α (E5S9K) Rabbit mAb.
Immunohistochemistry Image 4: CD11 alpha (E5S9K) Rabbit Monoclonal Antibody
Orders: 877-616-CELL (2355) [email protected] Support: 877-678-TECH (8324) [email protected] Web: cellsignal.com
For Research Use Only. Not for Use in Diagnostic Procedures.

Revision 4

Cell Signaling Technology Logo
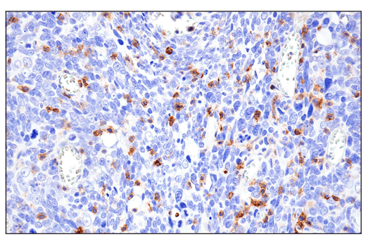
Immunohistochemical analysis of paraffin-embedded human esophageal adenocarcinoma using CD11α (E5S9K) Rabbit mAb.
Immunohistochemistry Image 5: CD11 alpha (E5S9K) Rabbit Monoclonal Antibody
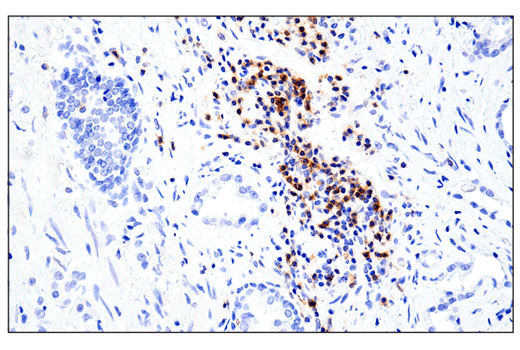
Immunohistochemical analysis of paraffin-embedded human T-cell lymphoma using CD11α (E5S9K) Rabbit mAb.
Immunohistochemistry Image 6: CD11 alpha (E5S9K) Rabbit Monoclonal Antibody
Immunohistochemical analysis of paraffin-embedded human squamous cell carcinoma of the tonsil using CD11α (E5S9K) Rabbit mAb.
Immunohistochemistry Image 7: CD11 alpha (E5S9K) Rabbit Monoclonal Antibody
Orders: 877-616-CELL (2355) [email protected] Support: 877-678-TECH (8324) [email protected] Web: cellsignal.com
For Research Use Only. Not for Use in Diagnostic Procedures.

Revision 4

Cell Signaling Technology Logo
Immunohistochemical analysis of paraffin-embedded human prostate carcinoma using CD11α (E5S9K) Rabbit mAb.
Immunohistochemistry Image 8: CD11 alpha (E5S9K) Rabbit Monoclonal Antibody
Orders: 877-616-CELL (2355) [email protected] Support: 877-678-TECH (8324) [email protected] Web: cellsignal.com
For Research Use Only. Not for Use in Diagnostic Procedures.