Revision 4

#93169

Store at -20C

CST Logo
Orders:

877-616-CELL (2355)

[email protected]

Support:

877-678-TECH (8324)

3 Trask Lane | Danvers | Massachusetts | 01923 | USA

For Research Use Only. Not for Use in Diagnostic Procedures.

Applications:
W, IHC-P

Reactivity:
M

Sensitivity:
Endogenous

MW (kDa):
170

Source/Isotype:
Rabbit IgG

UniProt ID:
#P05555

Entrez-Gene Id:
16409

Product Usage Information

Application Dilution
Western Blotting 1:1000
Immunohistochemistry (Paraffin) 1:50 - 1:200

Storage

Supplied in 10 mM sodium HEPES (pH 7.5), 150 mM NaCl, 100 µg/mL BSA, 50% glycerol, and less than 0.02% sodium azide. Store at –20°C. Do not aliquot the antibody.

For a carrier free (BSA and azide free) version of this product see product #35476.

Specificity/Sensitivity

CD11b/ITGAM (E4K8C) Rabbit Monoclonal Antibody recognizes endogenous levels of total CD11b/ITGAM protein. Non-specific staining was observed in mouse pancreatic acinar cells by immunohistochemistry.

Source / Purification

Monoclonal antibody is produced by immunizing animals with a synthetic peptide corresponding to residues surrounding Ser832 of mouse CD11b/ITGAM protein.

Background

Cluster of differentiation molecule 11b (CD11b)/Integrin alpha M (ITGAM) is a transmembrane protein forming heterodimers that are composed of α and β subunits (1). CD11b is expressed by, and commonly used as a marker for, myeloid lineage cells, including neutrophils, monocytes, macrophages, and microglia (2). CD11b is phosphorylated at Ser1126 (cytoplasmic tail) in neutrophils. Research has shown that this phosphorylation event plays a role for leukocytes traveling from the bloodstream to tissues (3). Furthermore, genome-wide association studies have linked CD11b to autoimmune diseases, such as systemic lupus erythematosus (SLE) (4).

Species Reactivity

Species reactivity is determined by testing in at least one approved application (e.g., western blot).

Western Blot Buffer

IMPORTANT: For western blots, incubate membrane with diluted primary antibody in 5% w/v BSA, 1X TBS, 0.1% Tween® 20 at 4°C with gentle shaking, overnight.

Applications Key

W: Western Blotting IHC-P: Immunohistochemistry (Paraffin)

Cross-Reactivity Key

M: Mouse

Trademarks and Patents

Cell Signaling Technology is a trademark of Cell Signaling Technology, Inc.

All other trademarks are the property of their respective owners. Visit cellsignal.com/trademarks for more information.

Limited Uses

Except as otherwise expressly agreed in a writing signed by a legally authorized representative of CST, the following terms apply to Products provided by CST, its affiliates or its distributors. Any Customer's terms and conditions that are in addition to, or different from, those contained herein, unless separately accepted in writing by a legally authorized representative of CST, are rejected and are of no force or effect.

Products are labeled with For Research Use Only or a similar labeling statement and have not been approved, cleared, or licensed by the FDA or other regulatory foreign or domestic entity, for any purpose. Customer shall not use any Product for any diagnostic or therapeutic purpose, or otherwise in any manner that conflicts with its labeling statement. Products sold or licensed by CST are provided for Customer as the end-user and solely for research and development uses. Any use of Product for diagnostic, prophylactic or therapeutic purposes, or any purchase of Product for resale (alone or as a component) or other commercial purpose, requires a separate license from CST. Customer shall (a) not sell, license, loan, donate or otherwise transfer or make available any Product to any third party, whether alone or in combination with other materials, or use the Products to manufacture any commercial products, (b) not copy, modify, reverse engineer, decompile, disassemble or otherwise attempt to discover the underlying structure or technology of the Products, or use the Products for the purpose of developing any products or services that would compete with CST products or services, (c) not alter or remove from the Products any trademarks, trade names, logos, patent or copyright notices or markings, (d) use the Products solely in accordance with CST Product Terms of Sale and any applicable documentation, and (e) comply with any license, terms of service or similar agreement with respect to any third party products or services used by Customer in connection with the Products.

Orders: 877-616-CELL (2355) [email protected] Support: 877-678-TECH (8324) [email protected] Web: cellsignal.com
For Research Use Only. Not for Use in Diagnostic Procedures.

Revision 4

Cell Signaling Technology Logo
Western blot analysis of extracts from SIM-A9 and C2C12 cells, and mouse spleen tissue using CD11b/ITGAM (E4K8C) Rabbit mAb (upper) or GAPDH (D16H11) XP® Rabbit mAb #5174 (lower). Negative expression of CD11b/ITGAM protein in C2C12 cells is consistent with the predicted expression pattern.
Western Blotting Image 1: CD11b/ITGAM (E4K8C) Rabbit Monoclonal Antibody
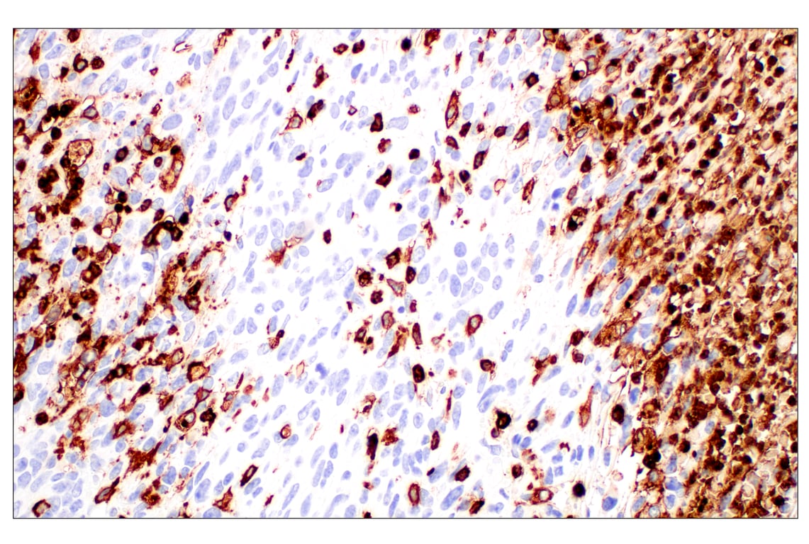
Immunohistochemical analysis of paraffin-embedded A20 syngeneic tumor using CD11b/ITGAM (E4K8C) Rabbit mAb.
Immunohistochemistry Image 1: CD11b/ITGAM (E4K8C) Rabbit Monoclonal Antibody
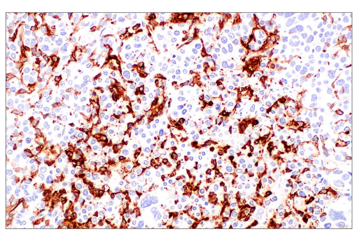
Immunohistochemical analysis of paraffin-embedded LL/2 syngeneic tumor using CD11b/ITGAM (E4K8C) Rabbit mAb.
Immunohistochemistry Image 2: CD11b/ITGAM (E4K8C) Rabbit Monoclonal Antibody
Orders: 877-616-CELL (2355) [email protected] Support: 877-678-TECH (8324) [email protected] Web: cellsignal.com
For Research Use Only. Not for Use in Diagnostic Procedures.

Revision 4

Cell Signaling Technology Logo
Immunohistochemical analysis of paraffin-embedded Renca syngeneic tumor using CD11b/ITGAM (E4K8C) Rabbit mAb.
Immunohistochemistry Image 3: CD11b/ITGAM (E4K8C) Rabbit Monoclonal Antibody
Immunohistochemical analysis of paraffin-embedded 4T1 syngeneic tumor using CD11b/ITGAM (E4K8C) Rabbit mAb.
Immunohistochemistry Image 4: CD11b/ITGAM (E4K8C) Rabbit Monoclonal Antibody
Immunohistochemical analysis of paraffin-embedded mouse spleen using CD11b/ITGAM (E4K8C) Rabbit mAb.
Immunohistochemistry Image 5: CD11b/ITGAM (E4K8C) Rabbit Monoclonal Antibody
Orders: 877-616-CELL (2355) [email protected] Support: 877-678-TECH (8324) [email protected] Web: cellsignal.com
For Research Use Only. Not for Use in Diagnostic Procedures.

Revision 4

Cell Signaling Technology Logo
Immunohistochemical analysis of paraffin-embedded mouse cerebellum using CD11b/ITGAM (E4K8C) Rabbit mAb.
Immunohistochemistry Image 6: CD11b/ITGAM (E4K8C) Rabbit Monoclonal Antibody
Immunohistochemical analysis of paraffin-embedded mouse colon using CD11b/ITGAM (E4K8C) Rabbit mAb.
Immunohistochemistry Image 7: CD11b/ITGAM (E4K8C) Rabbit Monoclonal Antibody
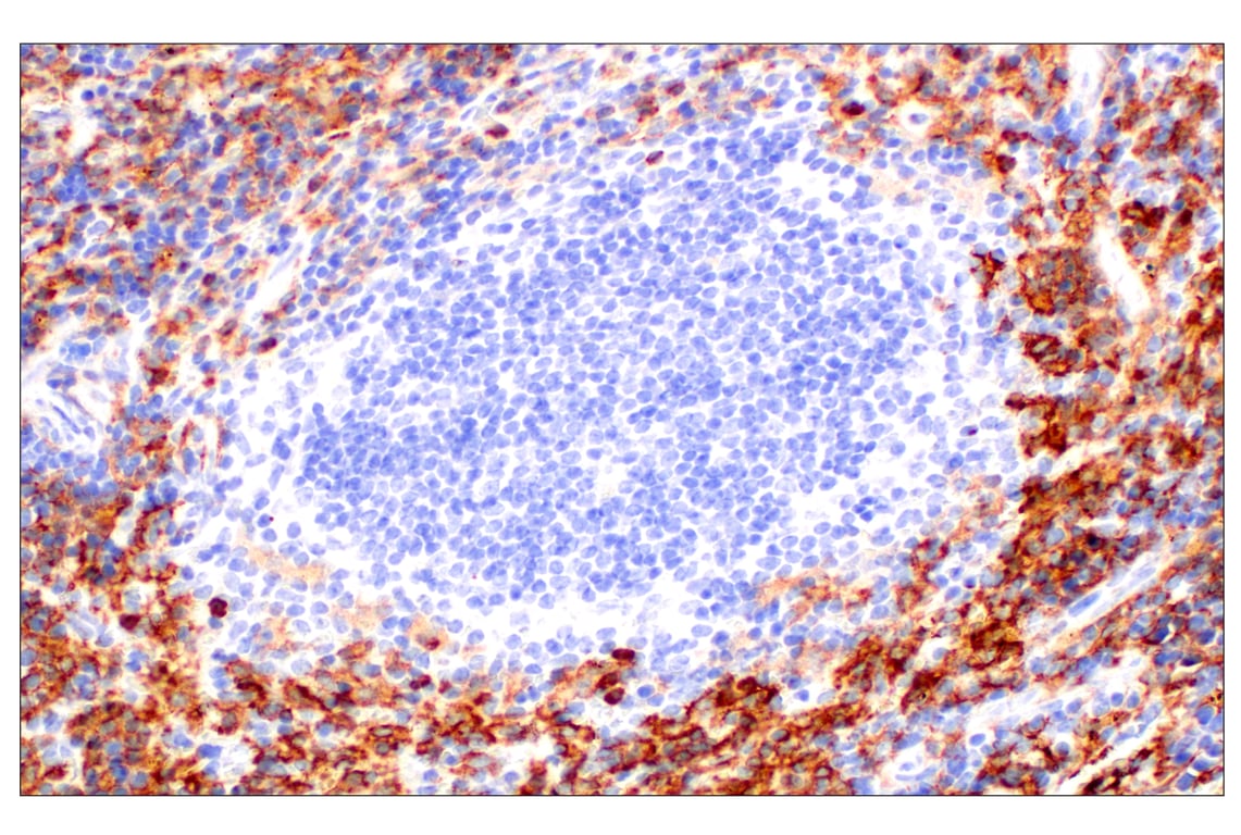
Immunohistochemical analysis of paraffin-embedded mouse lymph node using CD11b/ITGAM (E4K8C) Rabbit mAb.
Immunohistochemistry Image 8: CD11b/ITGAM (E4K8C) Rabbit Monoclonal Antibody
Orders: 877-616-CELL (2355) [email protected] Support: 877-678-TECH (8324) [email protected] Web: cellsignal.com
For Research Use Only. Not for Use in Diagnostic Procedures.

Revision 4

Cell Signaling Technology Logo
Immunohistochemical analysis of paraffin-embedded mouse thymus using CD11b/ITGAM (E4K8C) Rabbit mAb.
Immunohistochemistry Image 9: CD11b/ITGAM (E4K8C) Rabbit Monoclonal Antibody
Immunohistochemical analysis of paraffin-embedded mouse stomach (left) and CT26 syngeneic tumor (right) using CD11b/ITGAM (E4K8C) Rabbit mAb (top) compared to F4/80 (D2S9R) XP® Rabbit mAb #70076 (bottom).
Immunohistochemistry Image 10: CD11b/ITGAM (E4K8C) Rabbit Monoclonal Antibody
Immunohistochemical analysis of paraffin-embedded mouse 4T1 syngeneic tumor using CD11b/ITGAM (E4K8C) Rabbit mAb (left) compared to concentration-matched Rabbit (DA1E) mAb IgG XP® Isotype Control #3900 (right).
Immunohistochemistry Image 11: CD11b/ITGAM (E4K8C) Rabbit Monoclonal Antibody
Orders: 877-616-CELL (2355) [email protected] Support: 877-678-TECH (8324) [email protected] Web: cellsignal.com
For Research Use Only. Not for Use in Diagnostic Procedures.

Revision 4

Cell Signaling Technology Logo
Immunohistochemical analysis of paraffin-embedded SIM-A9 cell pellet (left, positive) or C2C12 cell pellet (right, negative) using CD11b/ITGAM (E4K8C) Rabbit mAb.
Immunohistochemistry Image 12: CD11b/ITGAM (E4K8C) Rabbit Monoclonal Antibody
Orders: 877-616-CELL (2355) [email protected] Support: 877-678-TECH (8324) [email protected] Web: cellsignal.com
For Research Use Only. Not for Use in Diagnostic Procedures.