Revision 8

#45581

Store at -20C

CST Logo
Orders:

877-616-CELL (2355)

[email protected]

Support:

877-678-TECH (8324)

3 Trask Lane | Danvers | Massachusetts | 01923 | USA

For Research Use Only. Not for Use in Diagnostic Procedures.

Applications:
W, W-S, IHC-Bond, IHC-P, IF-IC

Reactivity:
H

Sensitivity:
Endogenous

MW (kDa):
145

Source/Isotype:
Rabbit IgG

UniProt ID:
#P20702

Entrez-Gene Id:
3687

Product Usage Information

Application Dilution
Western Blotting 1:1000
Simple Western™ 1:10 - 1:50
IHC Leica Bond 1:200 - 1:800
Immunohistochemistry (Paraffin) 1:200 - 1:800
Immunofluorescence (Immunocytochemistry) 1:800 - 1:1600

Storage

Supplied in 10 mM sodium HEPES (pH 7.5), 150 mM NaCl, 100 µg/ml BSA, 50% glycerol and less than 0.02% sodium azide. Store at –20°C. Do not aliquot the antibody.

For a carrier free (BSA and azide free) version of this product see product #93233.

Specificity/Sensitivity

CD11c (D3V1E) Rabbit Monoclonal Antibody recognizes endogenous levels of total CD11c protein. This antibody does not cross-react with CD11b.

Source / Purification

Monoclonal antibody is produced by immunizing animals with recombinant human CD11c protein.

Background

CD11c (integrin αX, ITGAX) is a transmembrane glycoprotein that forms an α/β heterodimer with CD18 (integrin β2), which interacts with a variety of extracellular matrix molecules and cell surface proteins (1). CD11c is primarily used as a dendritic cell marker. Dendritic cells can be classified into two major types: CD11c+ conventional dendritic cells that specialize in antigen presentation, and CD11c- plasmacytoid dendritic cells that specialize in type I interferon production (2, 3). CD11c expression has also been observed on activated NK cells, subsets of B cells, monocytes, granulocytes, and some B cell malignancies including hairy cell leukemia (4-7).

Species Reactivity

Species reactivity is determined by testing in at least one approved application (e.g., western blot).

Western Blot Buffer

IMPORTANT: For western blots, incubate membrane with diluted primary antibody in 5% w/v BSA, 1X TBS, 0.1% Tween® 20 at 4°C with gentle shaking, overnight.

Applications Key

W: Western Blotting W-S: Simple Western™ IHC-Bond: IHC Leica Bond IHC-P: Immunohistochemistry (Paraffin) IF-IC: Immunofluorescence (Immunocytochemistry)

Cross-Reactivity Key

H: Human

Trademarks and Patents

Cell Signaling Technology is a trademark of Cell Signaling Technology, Inc.

SignalStain is a registered trademark of Cell Signaling Technology, Inc.

All other trademarks are the property of their respective owners. Visit cellsignal.com/trademarks for more information.

Limited Uses

Except as otherwise expressly agreed in a writing signed by a legally authorized representative of CST, the following terms apply to Products provided by CST, its affiliates or its distributors. Any Customer's terms and conditions that are in addition to, or different from, those contained herein, unless separately accepted in writing by a legally authorized representative of CST, are rejected and are of no force or effect.

Products are labeled with For Research Use Only or a similar labeling statement and have not been approved, cleared, or licensed by the FDA or other regulatory foreign or domestic entity, for any purpose. Customer shall not use any Product for any diagnostic or therapeutic purpose, or otherwise in any manner that conflicts with its labeling statement. Products sold or licensed by CST are provided for Customer as the end-user and solely for research and development uses. Any use of Product for diagnostic, prophylactic or therapeutic purposes, or any purchase of Product for resale (alone or as a component) or other commercial purpose, requires a separate license from CST. Customer shall (a) not sell, license, loan, donate or otherwise transfer or make available any Product to any third party, whether alone or in combination with other materials, or use the Products to manufacture any commercial products, (b) not copy, modify, reverse engineer, decompile, disassemble or otherwise attempt to discover the underlying structure or technology of the Products, or use the Products for the purpose of developing any products or services that would compete with CST products or services, (c) not alter or remove from the Products any trademarks, trade names, logos, patent or copyright notices or markings, (d) use the Products solely in accordance with CST Product Terms of Sale and any applicable documentation, and (e) comply with any license, terms of service or similar agreement with respect to any third party products or services used by Customer in connection with the Products.

Orders: 877-616-CELL (2355) [email protected] Support: 877-678-TECH (8324) [email protected] Web: cellsignal.com
For Research Use Only. Not for Use in Diagnostic Procedures.

Revision 8

Cell Signaling Technology Logo
Western blot analysis of extracts from THP-1, Raji, or Jurkat cells using CD11c (D3V1E) XP® Rabbit mAb (upper) or β-Actin (D6A8) Rabbit mAb #8457 (lower).
Western Blotting Image 1: CD11c (D3V1E) Rabbit Monoclonal Antibody
Simple Western™ analysis of lysates (0.1 mg/mL) from THP-1 cells using CD11c (D3V1E) XP® Rabbit mAb #45581. The virtual lane view (left) shows the target band (as indicated) at 1:10 and 1:50 dilutions of primary antibody. The corresponding electropherogram view (right) plots chemiluminescence by molecular weight along the capillary at 1:10 (blue line) and 1:50 (green line) dilutions of primary antibody. This experiment was performed under reducing conditions on the Jess™ Simple Western instrument from ProteinSimple, a BioTechne brand, using the 66 - 440 kDa separation module.
Western Blotting Image 1: CD11c (D3V1E) Rabbit Monoclonal Antibody
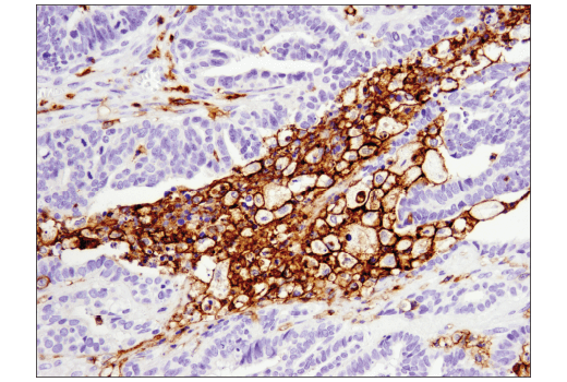
Immunohistochemical analysis of paraffin-embedded human prostate adenocarcinoma using CD11c (D3V1E) XP® Rabbit mAb performed on the Leica® BOND™ Rx.
Immunohistochemistry Image 1: CD11c (D3V1E) Rabbit Monoclonal Antibody
Orders: 877-616-CELL (2355) [email protected] Support: 877-678-TECH (8324) [email protected] Web: cellsignal.com
For Research Use Only. Not for Use in Diagnostic Procedures.

Revision 8

Cell Signaling Technology Logo
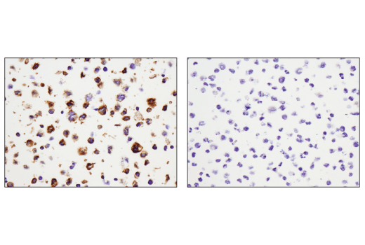
Immunohistochemical analysis of paraffin-embedded THP-1 cell pellet (left, positive) or Raji cell pellet (right, negative) using CD11c (D3V1E) XP® Rabbit mAb.
Immunohistochemistry Image 1: CD11c (D3V1E) Rabbit Monoclonal Antibody
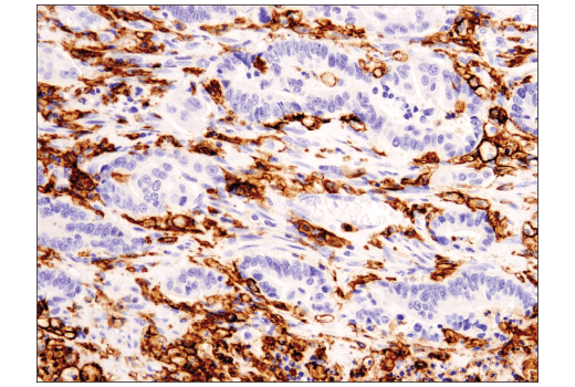
Immunohistochemical analysis of paraffin-embedded human colon carcinoma using CD11c (D3V1E) XP® Rabbit mAb.
Immunohistochemistry Image 2: CD11c (D3V1E) Rabbit Monoclonal Antibody
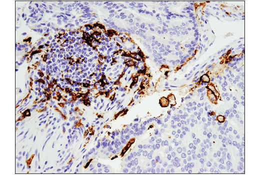
Immunohistochemical analysis of paraffin-embedded human non-Hodgkin lymphoma using CD11c (D3V1E) XP® Rabbit mAb.
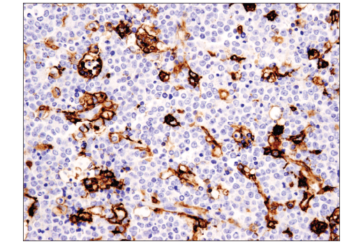
Immunohistochemistry Image 3: CD11c (D3V1E) Rabbit Monoclonal Antibody
Orders: 877-616-CELL (2355) [email protected] Support: 877-678-TECH (8324) [email protected] Web: cellsignal.com
For Research Use Only. Not for Use in Diagnostic Procedures.

Revision 8

Cell Signaling Technology Logo
Immunohistochemical analysis of paraffin-embedded human serous papillary carcinoma of the ovary using CD11c (D3V1E) XP® Rabbit mAb.
Immunohistochemistry Image 4: CD11c (D3V1E) Rabbit Monoclonal Antibody
Confocal immunofluorescent analysis of THP-1 cells, differentiated with TPA (12-O-Tetradecanoylphorbol-13-Acetate) #4174 (80 nM, 24 hr) followed by 24 hr without TPA, (left, positive) or HeLa cells (right, negative), using CD11c (D3V1E) XP® Rabbit mAb #45581 (green). Samples were mounted in ProLong® Gold Antifade Reagent with DAPI #8961 (blue).
Immunofluorescence Image 1: CD11c (D3V1E) Rabbit Monoclonal Antibody
Orders: 877-616-CELL (2355) [email protected] Support: 877-678-TECH (8324) [email protected] Web: cellsignal.com
For Research Use Only. Not for Use in Diagnostic Procedures.