Revision 4

#43514

Store at -20C

CST Logo
Orders:

877-616-CELL (2355)

[email protected]

Support:

877-678-TECH (8324)

3 Trask Lane | Danvers | Massachusetts | 01923 | USA

For Research Use Only. Not for Use in Diagnostic Procedures.

Applications:
W, IP, IHC-Bond, IHC-P

Reactivity:
H

Sensitivity:
Endogenous

MW (kDa):
90

Source/Isotype:
Rabbit IgG

UniProt ID:
#P07204

Entrez-Gene Id:
7056

Product Usage Information

Application Dilution
Western Blotting 1:1000
Immunoprecipitation 1:200
IHC Leica Bond 1:100 - 1:400
Immunohistochemistry (Paraffin) 1:200 - 1:800

Storage

Supplied in 10 mM sodium HEPES (pH 7.5), 150 mM NaCl, 100 µg/ml BSA, 50% glycerol and less than 0.02% sodium azide. Store at –20°C. Do not aliquot the antibody.

For a carrier free (BSA and azide free) version of this product see product #34149.

Specificity/Sensitivity

CD141/Thrombomodulin (E7Y9P) Rabbit Monoclonal Antibody recognizes endogenous levels of total CD141/Thrombomodulin protein.

Source / Purification

Monoclonal antibody is produced by immunizing animals with human CD141/Thrombomodulin recombinant protein.

Background

CD141/Thrombomodulin (TM, THBD, BDCA-3) is an integral membrane protein expressed on the surface of endothelial cells (1). Acting as a cofactor with Thrombin, CD141/Thrombomodulin activates and initiates the Protein C anticoagulant pathway (1,2). CD141/Thrombomodulin is expressed by a small subset of human CD11c+ myeloid dendritic cells (3-4). These CD141+XCR1+ dendritic cells cross-present antigens to naïve CD8+ T cells, priming them to become activated cytotoxic CD8+ T cells (3-5).

Species Reactivity

Species reactivity is determined by testing in at least one approved application (e.g., western blot).

Western Blot Buffer

IMPORTANT: For western blots, incubate membrane with diluted primary antibody in 5% w/v BSA, 1X TBS, 0.1% Tween® 20 at 4°C with gentle shaking, overnight.

Applications Key

W: Western Blotting IP: Immunoprecipitation IHC-Bond: IHC Leica Bond IHC-P: Immunohistochemistry (Paraffin)

Cross-Reactivity Key

H: Human

Trademarks and Patents

Cell Signaling Technology is a trademark of Cell Signaling Technology, Inc.

SignalStain is a registered trademark of Cell Signaling Technology, Inc.

All other trademarks are the property of their respective owners. Visit cellsignal.com/trademarks for more information.

Limited Uses

Except as otherwise expressly agreed in a writing signed by a legally authorized representative of CST, the following terms apply to Products provided by CST, its affiliates or its distributors. Any Customer's terms and conditions that are in addition to, or different from, those contained herein, unless separately accepted in writing by a legally authorized representative of CST, are rejected and are of no force or effect.

Products are labeled with For Research Use Only or a similar labeling statement and have not been approved, cleared, or licensed by the FDA or other regulatory foreign or domestic entity, for any purpose. Customer shall not use any Product for any diagnostic or therapeutic purpose, or otherwise in any manner that conflicts with its labeling statement. Products sold or licensed by CST are provided for Customer as the end-user and solely for research and development uses. Any use of Product for diagnostic, prophylactic or therapeutic purposes, or any purchase of Product for resale (alone or as a component) or other commercial purpose, requires a separate license from CST. Customer shall (a) not sell, license, loan, donate or otherwise transfer or make available any Product to any third party, whether alone or in combination with other materials, or use the Products to manufacture any commercial products, (b) not copy, modify, reverse engineer, decompile, disassemble or otherwise attempt to discover the underlying structure or technology of the Products, or use the Products for the purpose of developing any products or services that would compete with CST products or services, (c) not alter or remove from the Products any trademarks, trade names, logos, patent or copyright notices or markings, (d) use the Products solely in accordance with CST Product Terms of Sale and any applicable documentation, and (e) comply with any license, terms of service or similar agreement with respect to any third party products or services used by Customer in connection with the Products.

Orders: 877-616-CELL (2355) [email protected] Support: 877-678-TECH (8324) [email protected] Web: cellsignal.com
For Research Use Only. Not for Use in Diagnostic Procedures.

Revision 4

Cell Signaling Technology Logo
Western blot analysis of extracts from various cell lines using CD141/Thrombomodulin (E7Y9P) XP® Rabbit mAb (upper) or β-Actin (D6A8) Rabbit mAb #8457 (lower).
Western Blotting Image 1: CD141/Thrombomodulin (E7Y9P) Rabbit Monoclonal Antibody
Immunoprecipitation of CD141/Thrombomodulin from THP-1 cell extracts. Lane 1 is 10% input, lane 2 is Rabbit (DA1E) mAb IgG XP® Isotype Control #3900, and lane 3 is CD141/Thrombomodulin (E7Y9P) XP® Rabbit mAb. Western blot analysis was performed using CD141/Thrombomodulin (E7Y9P) XP® Rabbit mAb as the primary antibody and Anti-rabbit IgG, HRP-linked Antibody #7074 as the secondary antibody.
Immunoprecipitation Image 1: CD141/Thrombomodulin (E7Y9P) Rabbit Monoclonal Antibody
Immunohistochemical analysis of paraffin-embedded human urothelial carcinoma using CD141/Thrombomodulin (E7Y9P) XP® Rabbit mAb performed on the Leica® BOND™ Rx.
Immunohistochemistry Image 1: CD141/Thrombomodulin (E7Y9P) Rabbit Monoclonal Antibody
Orders: 877-616-CELL (2355) [email protected] Support: 877-678-TECH (8324) [email protected] Web: cellsignal.com
For Research Use Only. Not for Use in Diagnostic Procedures.

Revision 4

Cell Signaling Technology Logo
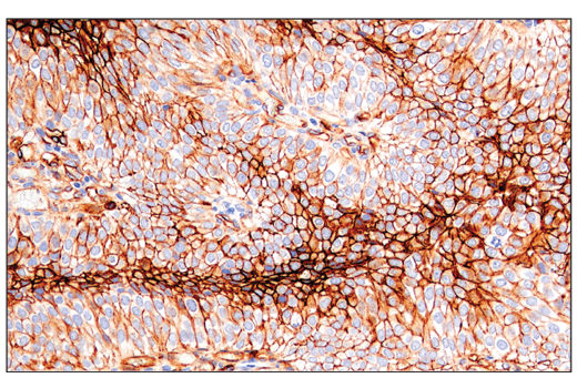
Immunohistochemical analysis of paraffin-embedded human gastric adenocarcinoma using CD141/Thrombomodulin (E7Y9P) XP® Rabbit mAb performed on the Leica® BOND™ Rx.
Immunohistochemistry Image 2: CD141/Thrombomodulin (E7Y9P) Rabbit Monoclonal Antibody
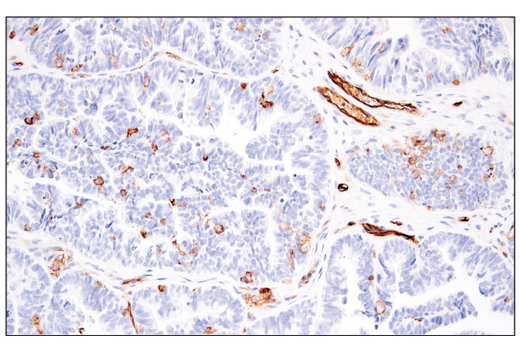
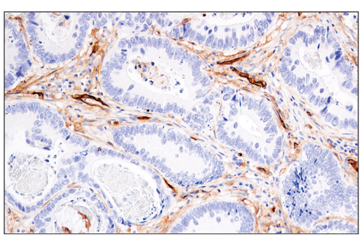
Immunohistochemical analysis of paraffin-embedded human colon carcinoma using CD141/Thrombomodulin (E7Y9P) XP® Rabbit mAb.
Immunohistochemistry Image 1: CD141/Thrombomodulin (E7Y9P) Rabbit Monoclonal Antibody
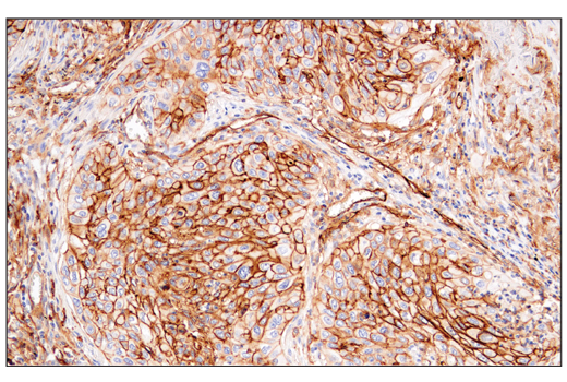
Immunohistochemical analysis of paraffin-embedded human squamous cell lung carcinoma using CD141/Thrombomodulin (E7Y9P) XP® Rabbit mAb.
Immunohistochemistry Image 2: CD141/Thrombomodulin (E7Y9P) Rabbit Monoclonal Antibody
Orders: 877-616-CELL (2355) [email protected] Support: 877-678-TECH (8324) [email protected] Web: cellsignal.com
For Research Use Only. Not for Use in Diagnostic Procedures.

Revision 4

Cell Signaling Technology Logo
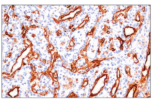
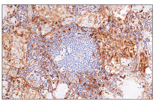
Immunohistochemical analysis of paraffin-embedded human lymph node using CD141/Thrombomodulin (E7Y9P) XP® Rabbit mAb.
Immunohistochemistry Image 3: CD141/Thrombomodulin (E7Y9P) Rabbit Monoclonal Antibody
Immunohistochemical analysis of paraffin-embedded human serous papillary carcinoma of the ovary using CD141/Thrombomodulin (E7Y9P) XP® Rabbit mAb.
Immunohistochemistry Image 4: CD141/Thrombomodulin (E7Y9P) Rabbit Monoclonal Antibody
Immunohistochemical analysis of paraffin-embedded THP-1 cell pellet (left, positive) or Jurkat cell pellet (right, negative) using CD141/Thrombomodulin (E7Y9P) XP® Rabbit mAb.
Immunohistochemistry Image 5: CD141/Thrombomodulin (E7Y9P) Rabbit Monoclonal Antibody
Orders: 877-616-CELL (2355) [email protected] Support: 877-678-TECH (8324) [email protected] Web: cellsignal.com
For Research Use Only. Not for Use in Diagnostic Procedures.

Revision 4

Cell Signaling Technology Logo
Immunohistochemical analysis of paraffin-embedded human placenta using CD141/Thrombomodulin (E7Y9P) XP® Rabbit mAb (left) compared to concentration matched Rabbit (DA1E) mAb IgG XP® Isotype Control #3900 (right).
Immunohistochemistry Image 6: CD141/Thrombomodulin (E7Y9P) Rabbit Monoclonal Antibody
Immunohistochemical analysis of paraffin-embedded human testis using CD141/Thrombomodulin (E7Y9P) XP® Rabbit mAb.
Immunohistochemistry Image 7: CD141/Thrombomodulin (E7Y9P) Rabbit Monoclonal Antibody
Orders: 877-616-CELL (2355) [email protected] Support: 877-678-TECH (8324) [email protected] Web: cellsignal.com
For Research Use Only. Not for Use in Diagnostic Procedures.