Revision 8

#54192

Store at +4C

CST Logo
Orders:

877-616-CELL (2355)

[email protected]

Support:

877-678-TECH (8324)

3 Trask Lane | Danvers | Massachusetts | 01923 | USA

For Research Use Only. Not for Use in Diagnostic Procedures.

Applications:
IHC-Bond, IHC-P, IF-IC

Reactivity:
H M Mk

Sensitivity:
Endogenous

Source/Isotype:
Mouse IgM

UniProt ID:
#P22083

Entrez-Gene Id:
2526

Product Usage Information

Application Dilution
IHC Leica Bond 1:50 - 1:200
Immunohistochemistry (Paraffin) 1:50 - 1:200
Immunofluorescence (Immunocytochemistry) 1:50 - 1:200

Storage

Supplied as liquid tissue culture supernatant containing sodium azide as a preservative. Stable for 6 months when stored at 4°C. Do not aliquot the antibody.

Note: This product is only available in the format listed above. We are unable to provide this in a carrier free, custom formulation.

Specificity/Sensitivity

CD15/SSEA1 (MMA) Mouse Monoclonal Antibody recognizes endogenous levels of CD15/SSEA1 protein.

Source / Purification

Monoclonal antibody is produced by immunizing BALB/C mice injected with U-937 histiocytic cell line.

Background

SSEA1 antibody detects a lactoseries oligosaccharide antigen that is expressed on the surface of mouse embryonal carcinoma and embryonic stem cells (1). This antigen is also found on early mouse embryos and both mouse and human germ cells, but is absent on human embryonic stem and carcinoma cells. Expression of SSEA1 in these human cell types increases upon differentiation, while on the mouse cell types differentiation leads to decreased expression (2).

Species Reactivity

Species reactivity is determined by testing in at least one approved application (e.g., western blot).

Applications Key

IHC-Bond: IHC Leica Bond IHC-P: Immunohistochemistry (Paraffin) IF-IC: Immunofluorescence (Immunocytochemistry)

Cross-Reactivity Key

H: Human M: Mouse Mk: Monkey

Trademarks and Patents

Cell Signaling Technology is a trademark of Cell Signaling Technology, Inc.

SignalStain is a registered trademark of Cell Signaling Technology, Inc.

All other trademarks are the property of their respective owners. Visit cellsignal.com/trademarks for more information.

Limited Uses

Except as otherwise expressly agreed in a writing signed by a legally authorized representative of CST, the following terms apply to Products provided by CST, its affiliates or its distributors. Any Customer's terms and conditions that are in addition to, or different from, those contained herein, unless separately accepted in writing by a legally authorized representative of CST, are rejected and are of no force or effect.

Products are labeled with For Research Use Only or a similar labeling statement and have not been approved, cleared, or licensed by the FDA or other regulatory foreign or domestic entity, for any purpose. Customer shall not use any Product for any diagnostic or therapeutic purpose, or otherwise in any manner that conflicts with its labeling statement. Products sold or licensed by CST are provided for Customer as the end-user and solely for research and development uses. Any use of Product for diagnostic, prophylactic or therapeutic purposes, or any purchase of Product for resale (alone or as a component) or other commercial purpose, requires a separate license from CST. Customer shall (a) not sell, license, loan, donate or otherwise transfer or make available any Product to any third party, whether alone or in combination with other materials, or use the Products to manufacture any commercial products, (b) not copy, modify, reverse engineer, decompile, disassemble or otherwise attempt to discover the underlying structure or technology of the Products, or use the Products for the purpose of developing any products or services that would compete with CST products or services, (c) not alter or remove from the Products any trademarks, trade names, logos, patent or copyright notices or markings, (d) use the Products solely in accordance with CST Product Terms of Sale and any applicable documentation, and (e) comply with any license, terms of service or similar agreement with respect to any third party products or services used by Customer in connection with the Products.

Orders: 877-616-CELL (2355) [email protected] Support: 877-678-TECH (8324) [email protected] Web: cellsignal.com
For Research Use Only. Not for Use in Diagnostic Procedures.

Revision 8

Cell Signaling Technology Logo
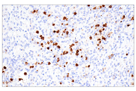
Immunohistochemical analysis of paraffin-embedded human non-small cell lung carcinoma using CD15/SSEA1 (MMA) Mouse mAb performed on the Leica® BOND™ Rx.
Immunohistochemistry Image 1: CD15/SSEA1 (MMA) Mouse Monoclonal Antibody
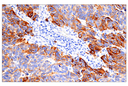
Immunohistochemical analysis of paraffin-embedded human small cell carcinoma of the salivary gland using CD15/SSEA1 (MMA) Mouse mAb performed on the Leica® BOND™ Rx.
Immunohistochemistry Image 2: CD15/SSEA1 (MMA) Mouse Monoclonal Antibody
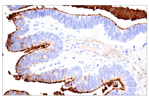
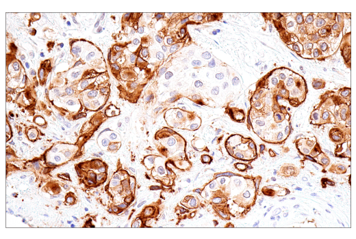
Immunohistochemical analysis of paraffin-embedded human endometrioid carcinoma using CD15/SSEA1 (MMA) Mouse mAb performed on the Leica® BOND™ Rx.
Immunohistochemistry Image 3: CD15/SSEA1 (MMA) Mouse Monoclonal Antibody
Orders: 877-616-CELL (2355) [email protected] Support: 877-678-TECH (8324) [email protected] Web: cellsignal.com
For Research Use Only. Not for Use in Diagnostic Procedures.

Revision 8

Cell Signaling Technology Logo
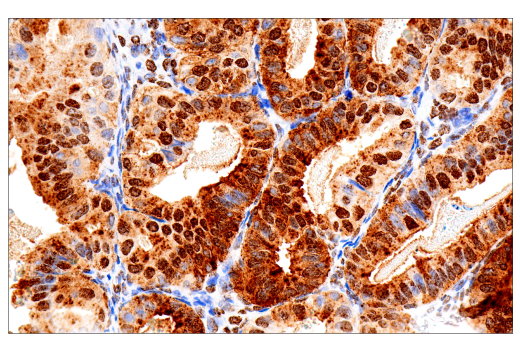
Immunohistochemical analysis of paraffin-embedded human colon carcinoma using CD15/SSEA1 (MMA) Mouse mAb performed on the Leica® BOND™ Rx.
Immunohistochemistry Image 4: CD15/SSEA1 (MMA) Mouse Monoclonal Antibody
Immunohistochemical analysis of paraffin-embedded normal human spleen using CD15/SSEA1 (MMA) Mouse mAb.
Immunohistochemistry Image 1: CD15/SSEA1 (MMA) Mouse Monoclonal Antibody
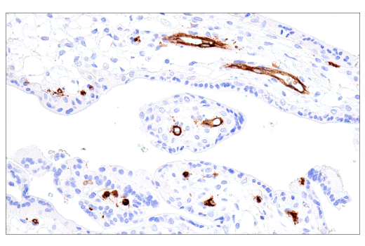
Immunohistochemical analysis of paraffin-embedded normal human placenta using CD15/SSEA1 (MMA) Mouse mAb.
Immunohistochemistry Image 2: CD15/SSEA1 (MMA) Mouse Monoclonal Antibody
Orders: 877-616-CELL (2355) [email protected] Support: 877-678-TECH (8324) [email protected] Web: cellsignal.com
For Research Use Only. Not for Use in Diagnostic Procedures.

Revision 8

Cell Signaling Technology Logo
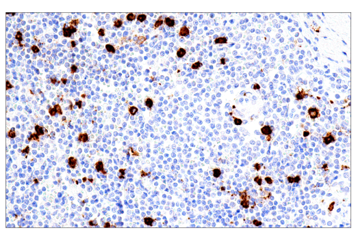
Immunohistochemical analysis of paraffin-embedded human lymph node using CD15/SSEA1 (MMA) Mouse mAb.
Immunohistochemistry Image 3: CD15/SSEA1 (MMA) Mouse Monoclonal Antibody
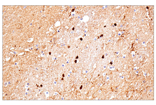
Immunohistochemical analysis of paraffin-embedded normal human brain using CD15/SSEA1 (MMA) Mouse mAb.
Immunohistochemistry Image 4: CD15/SSEA1 (MMA) Mouse Monoclonal Antibody
Immunohistochemical analysis of paraffin-embedded human non-Hodgkin lymphoma using CD15/SSEA1 (MMA) Mouse mAb.
Immunohistochemistry Image 5: CD15/SSEA1 (MMA) Mouse Monoclonal Antibody
Orders: 877-616-CELL (2355) [email protected] Support: 877-678-TECH (8324) [email protected] Web: cellsignal.com
For Research Use Only. Not for Use in Diagnostic Procedures.

Revision 8

Cell Signaling Technology Logo
Immunohistochemical analysis of paraffin-embedded human endometrioid adenocarcinoma using CD15/SSEA1 (MMA) Mouse mAb.
Immunohistochemistry Image 6: CD15/SSEA1 (MMA) Mouse Monoclonal Antibody
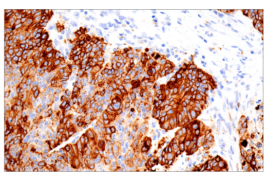
Immunohistochemical analysis of paraffin-embedded human urothelial carcinoma using CD15/SSEA1 (MMA) Mouse mAb.
Immunohistochemistry Image 7: CD15/SSEA1 (MMA) Mouse Monoclonal Antibody
Immunohistochemical analysis of paraffin-embedded human urothelial carcinoma using CD15/SSEA1 (MMA) Mouse mAb.
Immunohistochemistry Image 8: CD15/SSEA1 (MMA) Mouse Monoclonal Antibody
Orders: 877-616-CELL (2355) [email protected] Support: 877-678-TECH (8324) [email protected] Web: cellsignal.com
For Research Use Only. Not for Use in Diagnostic Procedures.

Revision 8

Cell Signaling Technology Logo
Immunohistochemical analysis of paraffin-embedded THP-1 cell pellet (left, positive) or A-375 cell pellet (right, negative) using CD15/SSEA1 (MMA) Mouse mAb.
Immunohistochemistry Image 9: CD15/SSEA1 (MMA) Mouse Monoclonal Antibody
Immunohistochemical analysis of paraffin-embedded mouse endometrium using CD15/SSEA1 (MMA) Mouse mAb (left) or no primary antibody (right).
Immunohistochemistry Image 10: CD15/SSEA1 (MMA) Mouse Monoclonal Antibody
Immunohistochemical analysis of paraffin-embedded E17 embryonic mouse lung using CD15/SSEA1 (MMA) Mouse mAb (left) or no primary antibody (right).
Immunohistochemistry Image 11: CD15/SSEA1 (MMA) Mouse Monoclonal Antibody
Orders: 877-616-CELL (2355) [email protected] Support: 877-678-TECH (8324) [email protected] Web: cellsignal.com
For Research Use Only. Not for Use in Diagnostic Procedures.

Revision 8

Cell Signaling Technology Logo
Immunohistochemical analysis of paraffin-embedded rhesus monkey brain using CD15/SSEA1 (MMA) Mouse mAb.
Immunohistochemistry Image 12: CD15/SSEA1 (MMA) Mouse Monoclonal Antibody
Confocal immunofluorescent analysis of mES cells (left, positive) and NIH/3T3 cells (right, negative) using CD15/SSEA1 (MMA) Mouse mAb (green), DyLight 554 Phalloidin #13054 (red), and DAPI #4083 (blue).
Immunofluorescence Image 1: CD15/SSEA1 (MMA) Mouse Monoclonal Antibody
Orders: 877-616-CELL (2355) [email protected] Support: 877-678-TECH (8324) [email protected] Web: cellsignal.com
For Research Use Only. Not for Use in Diagnostic Procedures.