Revision 8

#72204

Store at -20C

CST Logo
Orders:

877-616-CELL (2355)

[email protected]

Support:

877-678-TECH (8324)

3 Trask Lane | Danvers | Massachusetts | 01923 | USA

For Research Use Only. Not for Use in Diagnostic Procedures.

Applications:
IHC-Bond, IHC-P

Reactivity:
H Mk

Sensitivity:
Endogenous

Source/Isotype:
Rabbit IgG

UniProt ID:
#P08637

Entrez-Gene Id:
2214

Product Usage Information

This product is the carrier free version of product #24326. All data were generated using the same antibody clone in the standard formulation which contains BSA and glycerol.

This formulation is ideal for use with technologies requiring specialized or custom antibody labeling, including fluorophores, metals, lanthanides, and oligonucleotides. It is not recommended for ChIP, ChIP-seq, CUT&RUN, or CUT&Tag assays. If you require a carrier-free formulation for chromatin profiling, please contact us. Optimal dilutions/concentrations should be determined by the end user.

BSA and Azide Free antibodies are quality control tested by size exclusion chromatography (SEC) to determine antibody integrity.

Formulation

Supplied in 1X PBS (10 mM Na2HPO4, 3 mM KCl, 2 mM KH2PO4, and 140 mM NaCl (pH 7.8)). BSA and Azide Free.

For standard formulation of this product see product #24326.

Storage

Store at -20°C. This product will freeze at -20°C so it is recommended to aliquot into single-use vials to avoid multiple freeze/thaw cycles. A slight precipitate may be present and can be dissolved by gently vortexing. This will not interfere with antibody performance.

Specificity/Sensitivity

CD16 (D1N9L) Rabbit Monoclonal Antibody (BSA and Azide Free) recognizes endogenous levels of total CD16 protein. This antibody detects CD16A and CD16B.

Source / Purification

Monoclonal antibody is produced by immunizing animals with a synthetic peptide corresponding to residues surrounding Pro32 of human CD16 protein.

Background

CD64 (FcgammaRI), CD32 (FcgammaRII), and CD16 (FcgammaRIII) are three classes of the immunoglobulin superfamily. CD64 has a high affinity for IgG with three Ig-like domains while CD32 and CD16 have low affinities with two Ig-like domains. Two genes encode CD16-A and CD16-B resulting only in a 6 amino acid difference in their ectodomains. However, CD16-A has a transmembrane anchor versus CD16-B, which has a glycosylphosphatidylinositol (1). CD64, CD32, and CD16 are membrane glycoproteins that are expressed by all immunologically active cells and trigger various immune functions (activate B cells, phagocytosis, antibody-dependent cellular cytotoxicity, immune complex clearance, and enhancement of antigen presentation) (2). CD16 cross-linking induces tyrosine phosphorylation (Tyr394) of Lck in NK cells (3). CD32 has tyrosine-based activation motifs in the cytoplasmic domain in contrast to CD16, which associates with molecules possessing these motifs (1).

CD16A is expressed by NK cells, macrophages, and a subset of monocytes, while CD16B is expressed by neutrophils (4). CD16 is commonly used in combination with CD56 to characterize NK cells, with CD16 identifying NK cells capable of cytotoxicity (5).

Species Reactivity

Species reactivity is determined by testing in at least one approved application (e.g., western blot).

Applications Key

IHC-Bond: IHC Leica Bond IHC-P: Immunohistochemistry (Paraffin)

Cross-Reactivity Key

H: Human Mk: Monkey

Trademarks and Patents

Cell Signaling Technology is a trademark of Cell Signaling Technology, Inc.

SignalStain is a registered trademark of Cell Signaling Technology, Inc.

All other trademarks are the property of their respective owners. Visit cellsignal.com/trademarks for more information.

Limited Uses

Except as otherwise expressly agreed in a writing signed by a legally authorized representative of CST, the following terms apply to Products provided by CST, its affiliates or its distributors. Any Customer's terms and conditions that are in addition to, or different from, those contained herein, unless separately accepted in writing by a legally authorized representative of CST, are rejected and are of no force or effect.

Products are labeled with For Research Use Only or a similar labeling statement and have not been approved, cleared, or licensed by the FDA or other regulatory foreign or domestic entity, for any purpose. Customer shall not use any Product for any diagnostic or therapeutic purpose, or otherwise in any manner that conflicts with its labeling statement. Products sold or licensed by CST are provided for Customer as the end-user and solely for research and development uses. Any use of Product for diagnostic, prophylactic or therapeutic purposes, or any purchase of Product for resale (alone or as a component) or other commercial purpose, requires a separate license from CST. Customer shall (a) not sell, license, loan, donate or otherwise transfer or make available any Product to any third party, whether alone or in combination with other materials, or use the Products to manufacture any commercial products, (b) not copy, modify, reverse engineer, decompile, disassemble or otherwise attempt to discover the underlying structure or technology of the Products, or use the Products for the purpose of developing any products or services that would compete with CST products or services, (c) not alter or remove from the Products any trademarks, trade names, logos, patent or copyright notices or markings, (d) use the Products solely in accordance with CST Product Terms of Sale and any applicable documentation, and (e) comply with any license, terms of service or similar agreement with respect to any third party products or services used by Customer in connection with the Products.

Orders: 877-616-CELL (2355) [email protected] Support: 877-678-TECH (8324) [email protected] Web: cellsignal.com
For Research Use Only. Not for Use in Diagnostic Procedures.

Revision 8

Cell Signaling Technology Logo
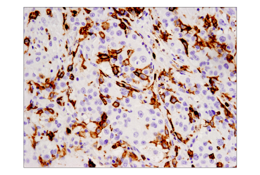
Immunohistochemical analysis of paraffin-embedded human ovarian serous carcinoma using CD16 (D1N9L) Rabbit mAb performed on the Leica® BOND™ Rx. Data were generated using the standard formulation of this product.
Immunohistochemistry Image 1: CD16 (D1N9L) Rabbit Monoclonal Antibody (BSA and Azide Free)
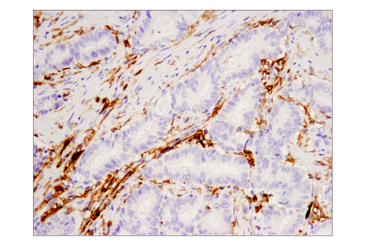
Immunohistochemical analysis of paraffin-embedded human colon carcinoma using CD16 (D1N9L) Rabbit mAb. Data were generated using the standard formulation of this product.
Immunohistochemistry Image 1: CD16 (D1N9L) Rabbit Monoclonal Antibody (BSA and Azide Free)
Immunohistochemical analysis of paraffin-embedded human lung adenocarcinoma using CD16 (D1N9L) Rabbit mAb. Data were generated using the standard formulation of this product.
Immunohistochemistry Image 2: CD16 (D1N9L) Rabbit Monoclonal Antibody (BSA and Azide Free)
Orders: 877-616-CELL (2355) [email protected] Support: 877-678-TECH (8324) [email protected] Web: cellsignal.com
For Research Use Only. Not for Use in Diagnostic Procedures.

Revision 8

Cell Signaling Technology Logo
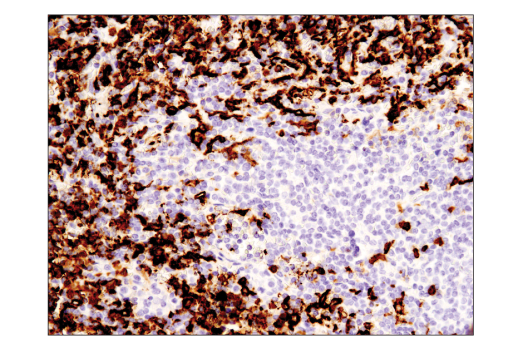
Immunohistochemical analysis of paraffin-embedded human non-Hodgkin lymphoma using CD16 (D1N9L) Rabbit mAb. Data were generated using the standard formulation of this product.
Immunohistochemistry Image 3: CD16 (D1N9L) Rabbit Monoclonal Antibody (BSA and Azide Free)
Immunohistochemical analysis of paraffin-embedded normal rhesus monkey spleen using CD16 (D1N9L) Rabbit mAb. Data were generated using the standard formulation of this product.
Immunohistochemistry Image 4: CD16 (D1N9L) Rabbit Monoclonal Antibody (BSA and Azide Free)
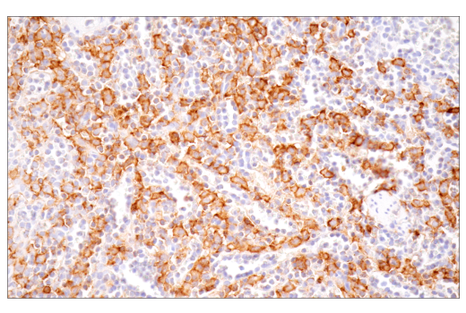
Immunohistochemical analysis of paraffin-embedded purified CD56+ human peripheral blood mononuclear cell pellet (left, positive) or Raji cell pellet (right, negative) using CD16 (D1N9L) Rabbit mAb. Data were generated using the standard formulation of this product.
Immunohistochemistry Image 5: CD16 (D1N9L) Rabbit Monoclonal Antibody (BSA and Azide Free)
Orders: 877-616-CELL (2355) [email protected] Support: 877-678-TECH (8324) [email protected] Web: cellsignal.com
For Research Use Only. Not for Use in Diagnostic Procedures.