Revision 3

#18991

Store at -20C

CST Logo
Orders:

877-616-CELL (2355)

[email protected]

Support:

877-678-TECH (8324)

3 Trask Lane | Danvers | Massachusetts | 01923 | USA

For Research Use Only. Not for Use in Diagnostic Procedures.

Applications:
W, IHC-P

Reactivity:
H

Sensitivity:
Endogenous

MW (kDa):
16, 30, 48, 65

Source/Isotype:
Rabbit IgG

UniProt ID:
#Q8N6Q3

Entrez-Gene Id:
57126

Product Usage Information

Application Dilution
Western Blotting 1:1000
Immunohistochemistry (Paraffin) 1:500 - 1:2000

Storage

Supplied in 10 mM sodium HEPES (pH 7.5), 150 mM NaCl, 100 µg/mL BSA, 50% glycerol, and less than 0.02% sodium azide. Store at –20°C. Do not aliquot the antibody.

For a carrier free (BSA and azide free) version of this product see product #40656.

Specificity/Sensitivity

CD177 (F9O5U) Rabbit Monoclonal Antibody recognizes endogenous levels of total CD177 protein. Non-specific staining was observed in human normal and neoplastic kidney by immunohistochemistry.

Source / Purification

Monoclonal antibody is produced by immunizing animals with recombinant protein specific to the amino terminus of human CD177 protein.

Background

Cluster of differentiation 177 antigen (CD177, also known as human neutrophil alloantigen 2a and NB1), is a glycosyl-phosphatidylinositol (GPI)-linked N-glycosylated transmembrane protein expressed primarily on the surface of neutrophils (1,2). Expression of CD177 can be induced by granulocyte-colony-stimulating factor and during pregnancy or bacterial infection (3-5). CD177 mediates adhesion and transendothelial migration of neutrophils via interaction with CD31/PECAM-1 and integrin β2 on endothelial cells (6,7). CD177 also promotes the cell surface expression of proteinase 3 (PR3), which may play a role in enhancing endothelial cell junctional integrity and thus vascular integrity during neutrophil diapedesis (8-10). In association with CD11b/ITGAM, integrin β2, and PR3, CD177 promotes activation of TNF-α primed neutrophils including degranulation and superoxide production (11). CD177 is a polymorphic gene that has been linked to several important clinical diseases, including polycythemia vera, Wegener’s granulomatosis, and immune mediated neonatal neutropenia (12-14).

Species Reactivity

Species reactivity is determined by testing in at least one approved application (e.g., western blot).

Western Blot Buffer

IMPORTANT: For western blots, incubate membrane with diluted primary antibody in 5% w/v BSA, 1X TBS, 0.1% Tween® 20 at 4°C with gentle shaking, overnight.

Applications Key

W: Western Blotting IHC-P: Immunohistochemistry (Paraffin)

Cross-Reactivity Key

H: Human

Trademarks and Patents

Cell Signaling Technology is a trademark of Cell Signaling Technology, Inc.

All other trademarks are the property of their respective owners. Visit cellsignal.com/trademarks for more information.

Limited Uses

Except as otherwise expressly agreed in a writing signed by a legally authorized representative of CST, the following terms apply to Products provided by CST, its affiliates or its distributors. Any Customer's terms and conditions that are in addition to, or different from, those contained herein, unless separately accepted in writing by a legally authorized representative of CST, are rejected and are of no force or effect.

Products are labeled with For Research Use Only or a similar labeling statement and have not been approved, cleared, or licensed by the FDA or other regulatory foreign or domestic entity, for any purpose. Customer shall not use any Product for any diagnostic or therapeutic purpose, or otherwise in any manner that conflicts with its labeling statement. Products sold or licensed by CST are provided for Customer as the end-user and solely for research and development uses. Any use of Product for diagnostic, prophylactic or therapeutic purposes, or any purchase of Product for resale (alone or as a component) or other commercial purpose, requires a separate license from CST. Customer shall (a) not sell, license, loan, donate or otherwise transfer or make available any Product to any third party, whether alone or in combination with other materials, or use the Products to manufacture any commercial products, (b) not copy, modify, reverse engineer, decompile, disassemble or otherwise attempt to discover the underlying structure or technology of the Products, or use the Products for the purpose of developing any products or services that would compete with CST products or services, (c) not alter or remove from the Products any trademarks, trade names, logos, patent or copyright notices or markings, (d) use the Products solely in accordance with CST Product Terms of Sale and any applicable documentation, and (e) comply with any license, terms of service or similar agreement with respect to any third party products or services used by Customer in connection with the Products.

Orders: 877-616-CELL (2355) [email protected] Support: 877-678-TECH (8324) [email protected] Web: cellsignal.com
For Research Use Only. Not for Use in Diagnostic Procedures.

Revision 3

Cell Signaling Technology Logo
Western blot analysis of extracts from human granulocytes, human prostate tissue, and Jurkat cells using CD177 (F9O5U) Rabbit mAb (upper) or COX IV (3E11) Rabbit mAb #4850 (lower).
Western Blotting Image 1: CD177 (F9O5U) Rabbit Monoclonal Antibody
Western blot analysis of extracts from 293T cells, mock transfected (-) or transfected with a construct expressing Myc/DDK-tagged full-length human CD177 (hCD177-Myc/DDK; +), using CD177 (F9O5U) Rabbit mAb (upper), Myc-Tag (71D10) Rabbit mAb #2278 (middle), or β-Actin (D6A8) Rabbit mAb #8457 (lower).
Western Blotting Image 2: CD177 (F9O5U) Rabbit Monoclonal Antibody
Immunohistochemical analysis of paraffin-embedded human endometrioid adenocarcinoma using CD177 (F9O5U) Rabbit mAb.
Immunohistochemistry Image 1: CD177 (F9O5U) Rabbit Monoclonal Antibody
Orders: 877-616-CELL (2355) [email protected] Support: 877-678-TECH (8324) [email protected] Web: cellsignal.com
For Research Use Only. Not for Use in Diagnostic Procedures.

Revision 3

Cell Signaling Technology Logo
Immunohistochemical analysis of paraffin-embedded human gastric carcinoma using CD177 (F9O5U) Rabbit mAb.
Immunohistochemistry Image 2: CD177 (F9O5U) Rabbit Monoclonal Antibody
Immunohistochemical analysis of paraffin-embedded human prostate adenocarcinoma using CD177 (F9O5U) Rabbit mAb.
Immunohistochemistry Image 3: CD177 (F9O5U) Rabbit Monoclonal Antibody
Immunohistochemical analysis of paraffin-embedded human serous papillary carcinoma of the ovary using CD177 (F9O5U) Rabbit mAb.
Immunohistochemistry Image 4: CD177 (F9O5U) Rabbit Monoclonal Antibody
Orders: 877-616-CELL (2355) [email protected] Support: 877-678-TECH (8324) [email protected] Web: cellsignal.com
For Research Use Only. Not for Use in Diagnostic Procedures.

Revision 3

Cell Signaling Technology Logo
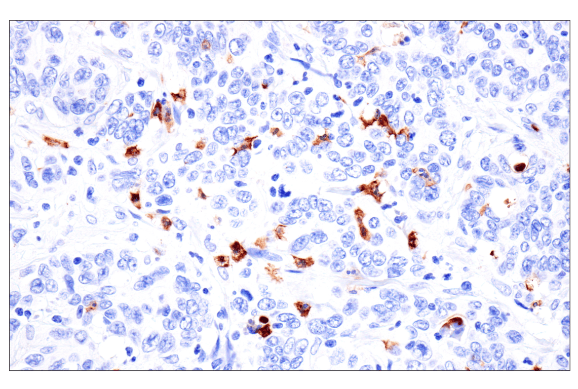
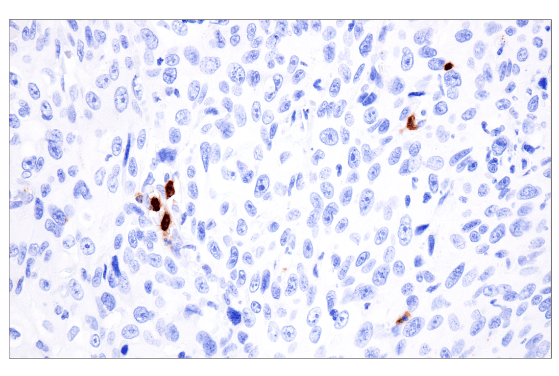
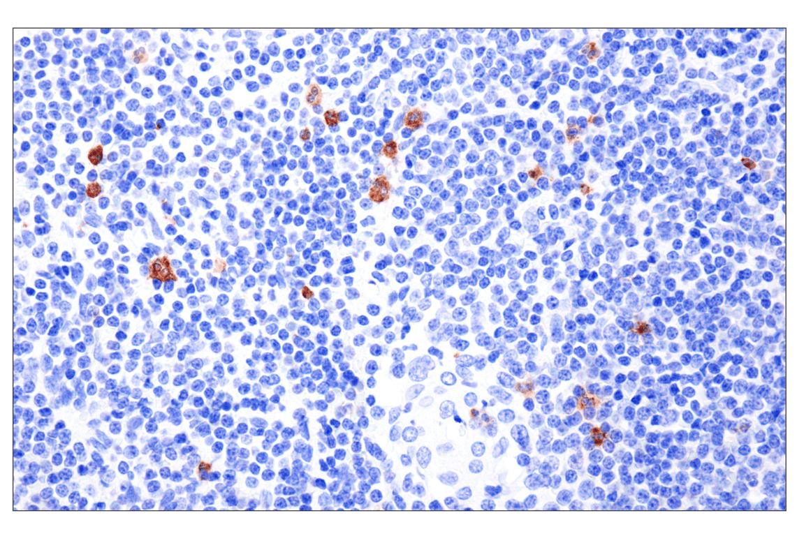
Immunohistochemical analysis of paraffin-embedded human B-cell non-Hodgkin lymphoma using CD177 (F9O5U) Rabbit mAb.
Immunohistochemistry Image 5: CD177 (F9O5U) Rabbit Monoclonal Antibody
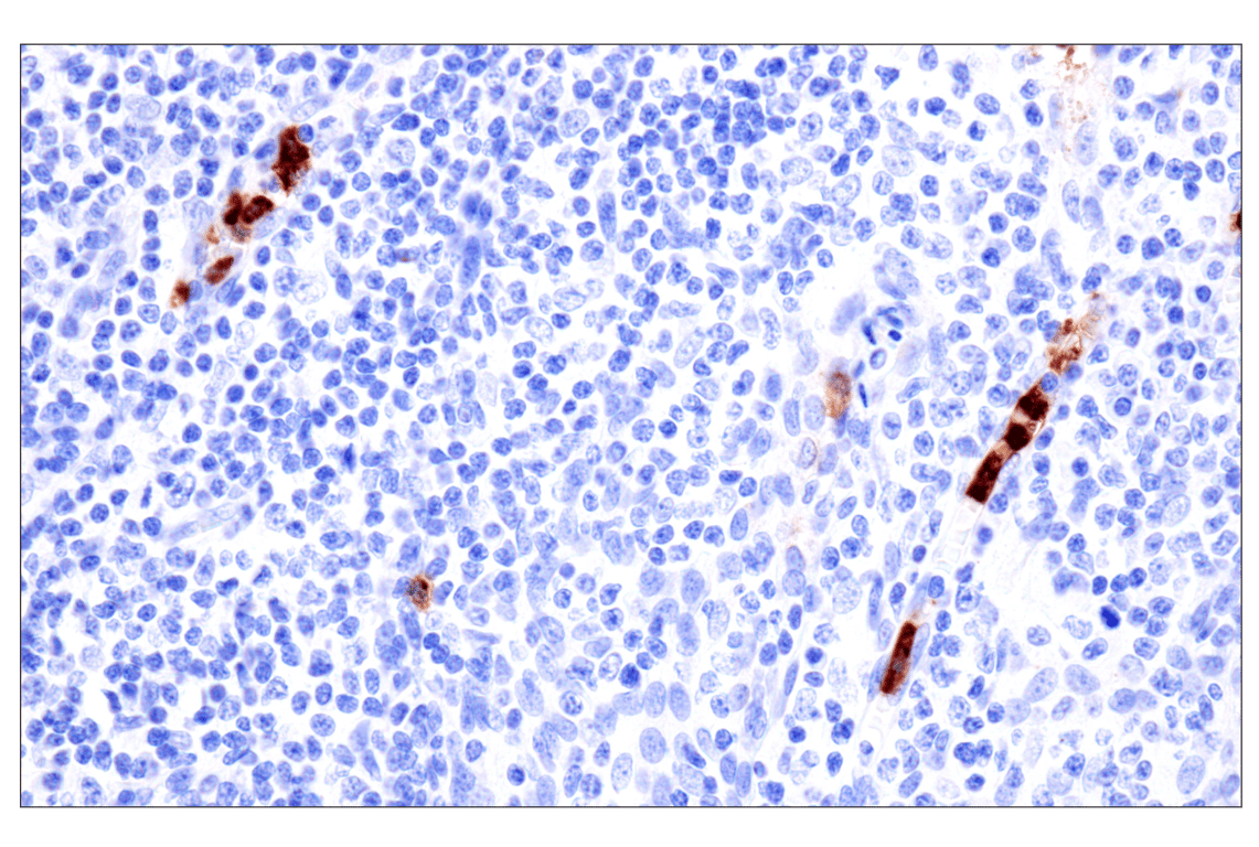
Immunohistochemical analysis of paraffin-embedded human bronchioalveolar adenocarcinoma using CD177 (F9O5U) Rabbit mAb.
Immunohistochemistry Image 6: CD177 (F9O5U) Rabbit Monoclonal Antibody
Immunohistochemical analysis of paraffin-embedded human squamous cell carcinoma of the skin using CD177 (F9O5U) Rabbit mAb.
Immunohistochemistry Image 7: CD177 (F9O5U) Rabbit Monoclonal Antibody
Orders: 877-616-CELL (2355) [email protected] Support: 877-678-TECH (8324) [email protected] Web: cellsignal.com
For Research Use Only. Not for Use in Diagnostic Procedures.

Revision 3

Cell Signaling Technology Logo
Immunohistochemical analysis of paraffin-embedded normal human tonsil using CD177 (F9O5U) Rabbit mAb.
Immunohistochemistry Image 8: CD177 (F9O5U) Rabbit Monoclonal Antibody
Immunohistochemical analysis of paraffin-embedded normal human thyroid using CD177 (F9O5U) Rabbit mAb.
Immunohistochemistry Image 9: CD177 (F9O5U) Rabbit Monoclonal Antibody
Immunohistochemical analysis of paraffin-embedded normal human spleen using CD177 (F9O5U) Rabbit mAb.
Immunohistochemistry Image 10: CD177 (F9O5U) Rabbit Monoclonal Antibody
Orders: 877-616-CELL (2355) [email protected] Support: 877-678-TECH (8324) [email protected] Web: cellsignal.com
For Research Use Only. Not for Use in Diagnostic Procedures.

Revision 3

Cell Signaling Technology Logo
Immunohistochemical analysis of paraffin-embedded human papillary thyroid carcinoma using CD177 (F9O5U) Rabbit mAb.
Immunohistochemistry Image 11: CD177 (F9O5U) Rabbit Monoclonal Antibody
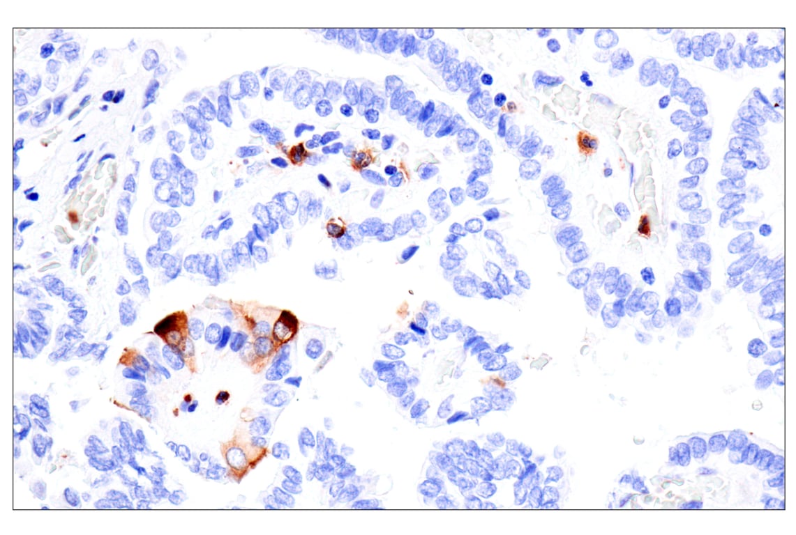
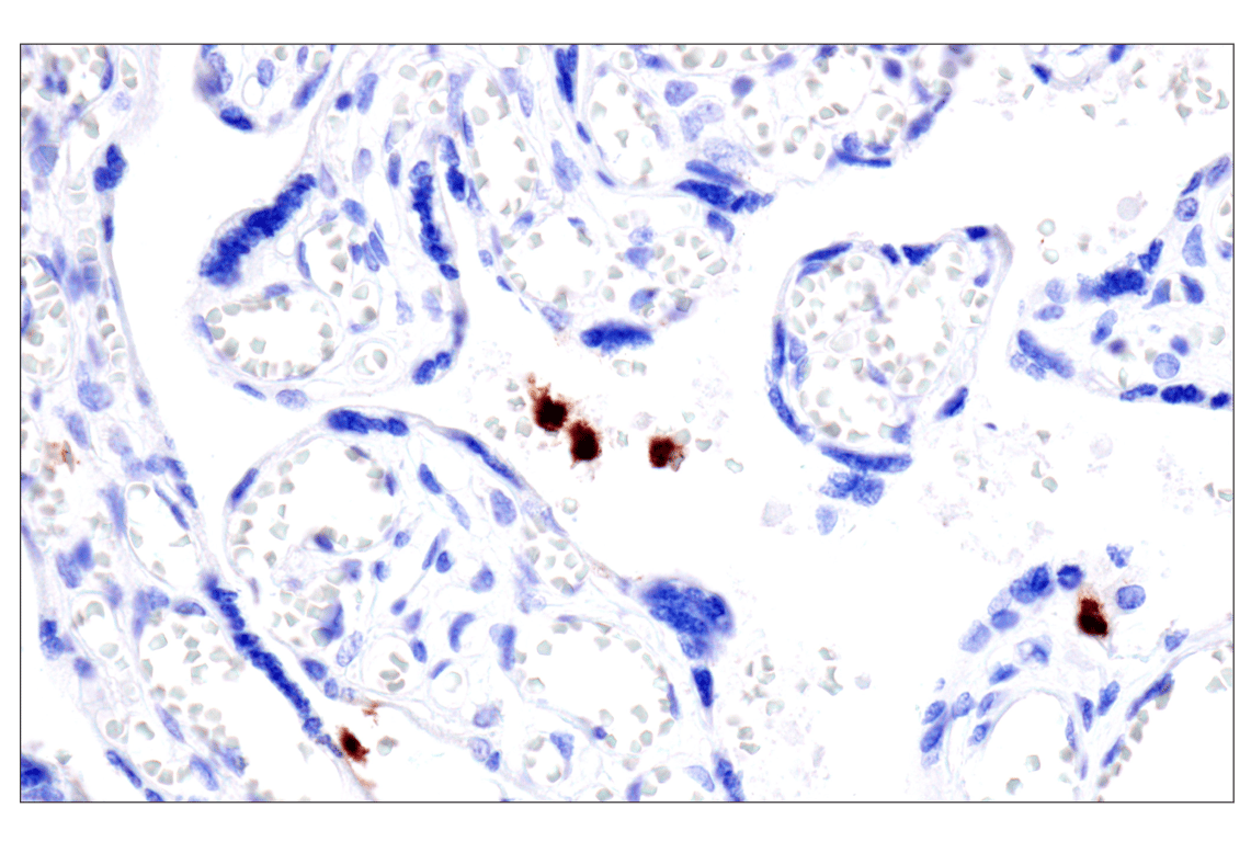
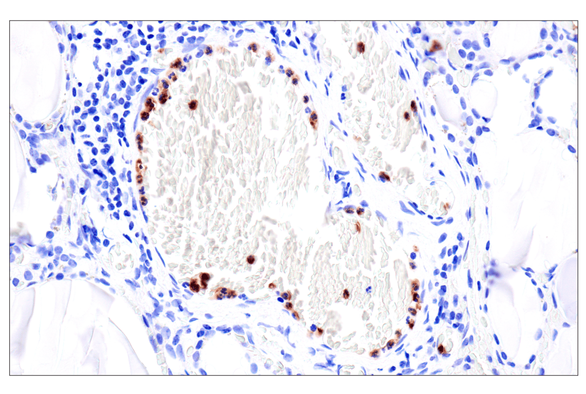
Immunohistochemical analysis of paraffin-embedded normal human small intestine using CD177 (F9O5U) Rabbit mAb.
Immunohistochemistry Image 12: CD177 (F9O5U) Rabbit Monoclonal Antibody
Immunohistochemical analysis of paraffin-embedded normal human placenta using CD177 (F9O5U) Rabbit mAb.
Immunohistochemistry Image 13: CD177 (F9O5U) Rabbit Monoclonal Antibody
Orders: 877-616-CELL (2355) [email protected] Support: 877-678-TECH (8324) [email protected] Web: cellsignal.com
For Research Use Only. Not for Use in Diagnostic Procedures.

Revision 3

Cell Signaling Technology Logo
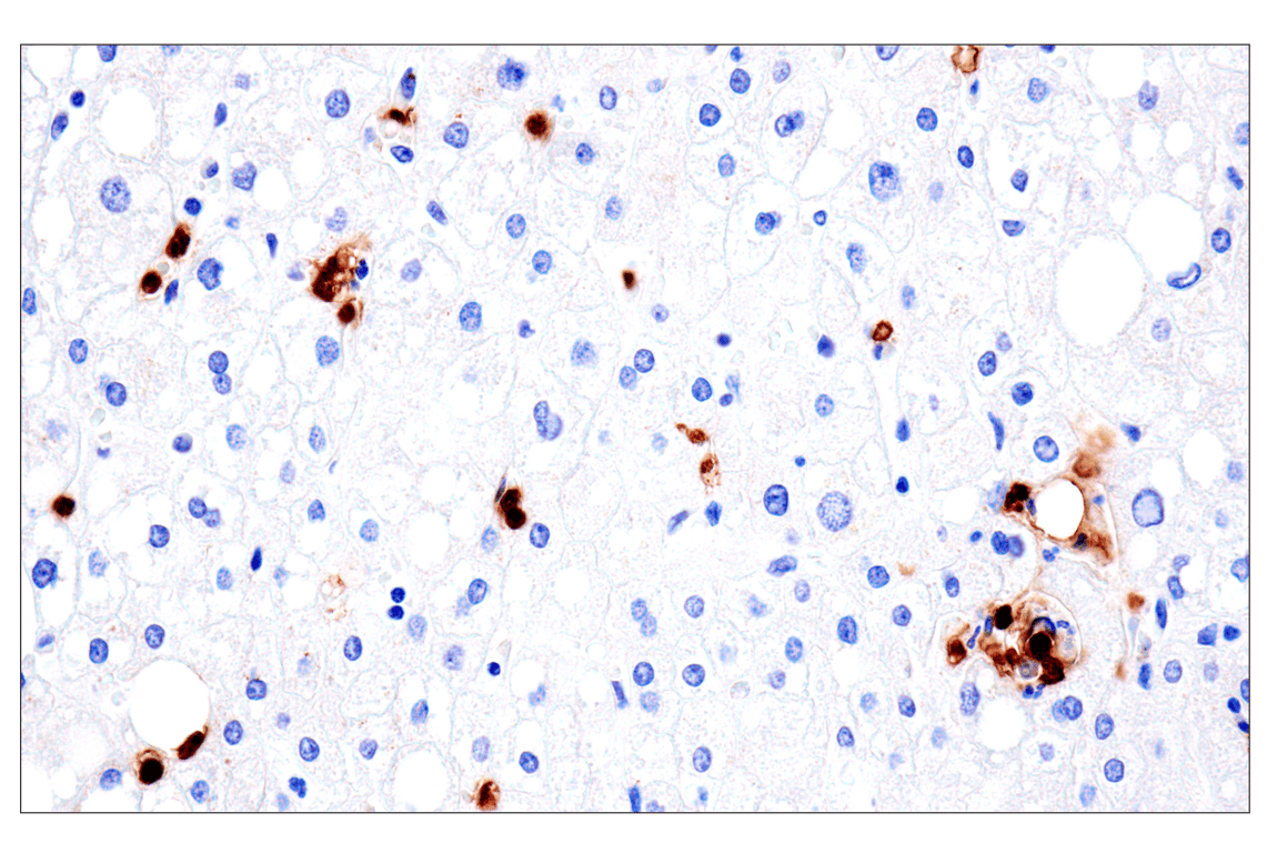
Immunohistochemical analysis of paraffin-embedded normal human liver using CD177 (F9O5U) Rabbit mAb.
Immunohistochemistry Image 14: CD177 (F9O5U) Rabbit Monoclonal Antibody
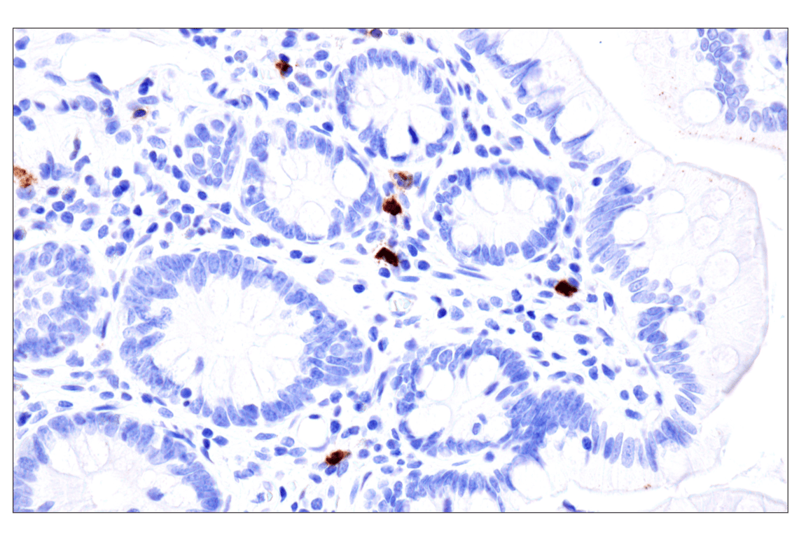
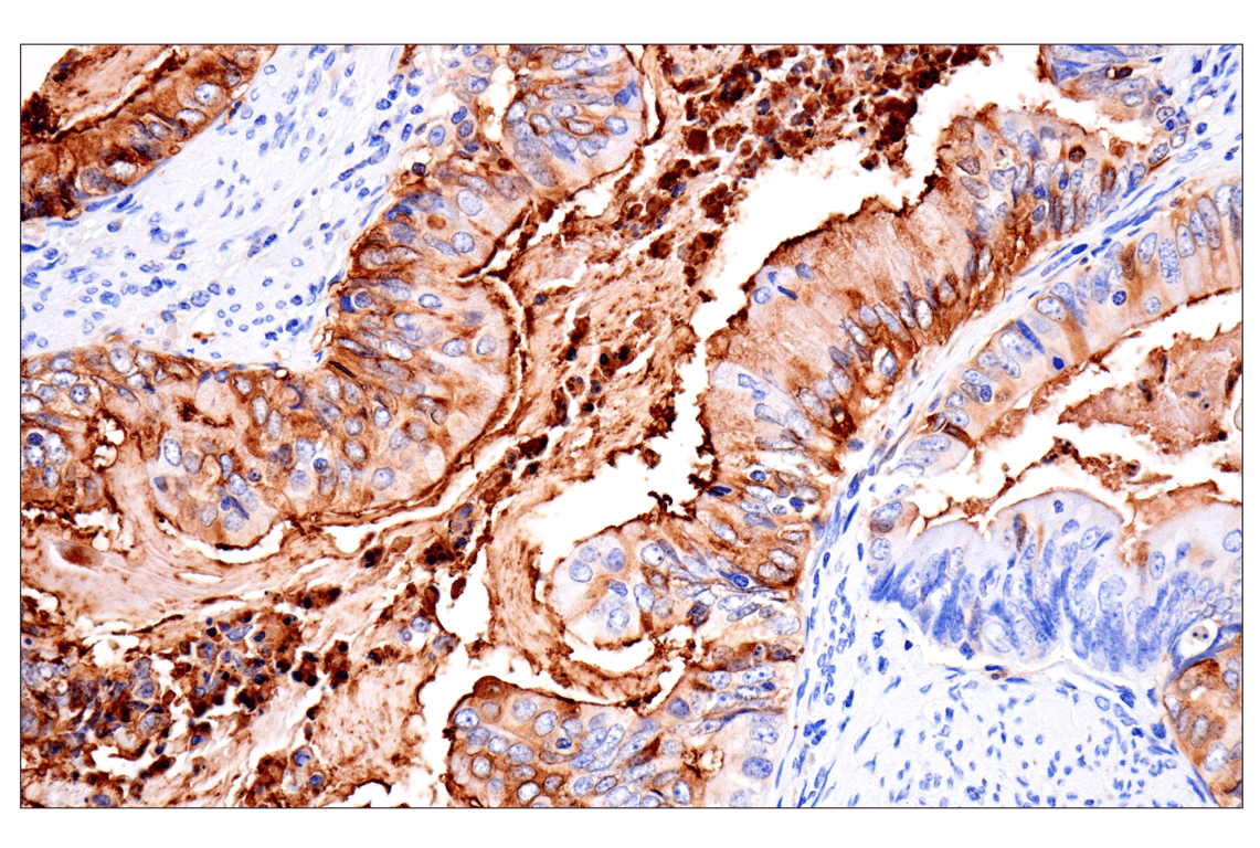
Immunohistochemical analysis of paraffin-embedded human colon adenocarcinoma using CD177 (F9O5U) Rabbit mAb.
Immunohistochemistry Image 15: CD177 (F9O5U) Rabbit Monoclonal Antibody
Immunohistochemical analysis of paraffin-embedded normal human colon using CD177 (F9O5U) Rabbit mAb.
Immunohistochemistry Image 16: CD177 (F9O5U) Rabbit Monoclonal Antibody
Orders: 877-616-CELL (2355) [email protected] Support: 877-678-TECH (8324) [email protected] Web: cellsignal.com
For Research Use Only. Not for Use in Diagnostic Procedures.

Revision 3

Cell Signaling Technology Logo
Immunohistochemical analysis of paraffin-embedded human bronchioloalveolar adenocarcinoma using CD177 (F9O5U) Rabbit mAb (left) compared to concentration-matched Rabbit (DA1E) mAb IgG XP® Isotype Control #3900 (right).
Immunohistochemistry Image 17: CD177 (F9O5U) Rabbit Monoclonal Antibody
Immunohistochemical analysis of paraffin-embedded primary human granulocyte cell pellet (left, positive) or MOLT-4 cell pellet (right, negative) using CD177 (F9O5U) Rabbit mAb.
Immunohistochemistry Image 18: CD177 (F9O5U) Rabbit Monoclonal Antibody
Immunohistochemical analysis of paraffin-embedded 293T cell pellet, untransfected (left) or CD177-transfected (right), using CD177 (F9O5U) Rabbit mAb.
Immunohistochemistry Image 19: CD177 (F9O5U) Rabbit Monoclonal Antibody
Orders: 877-616-CELL (2355) [email protected] Support: 877-678-TECH (8324) [email protected] Web: cellsignal.com
For Research Use Only. Not for Use in Diagnostic Procedures.