Revision 8

#86916

Store at -20C

CST Logo
Orders:

877-616-CELL (2355)

[email protected]

Support:

877-678-TECH (8324)

3 Trask Lane | Danvers | Massachusetts | 01923 | USA

For Research Use Only. Not for Use in Diagnostic Procedures.

Applications:
W, IHC-Bond, IHC-P, FC-FP

Reactivity:
H M Mk

Sensitivity:
Endogenous

MW (kDa):
95

Source/Isotype:
Rabbit IgG

UniProt ID:
#P15391

Entrez-Gene Id:
930

Product Usage Information

This product is the carrier free version of product #90176. All data were generated using the same antibody clone in the standard formulation which contains BSA and glycerol.

This formulation is ideal for use with technologies requiring specialized or custom antibody labeling, including fluorophores, metals, lanthanides, and oligonucleotides. It is not recommended for ChIP, ChIP-seq, CUT&RUN, or CUT&Tag assays. If you require a carrier-free formulation for chromatin profiling, please contact us. Optimal dilutions/concentrations should be determined by the end user.

BSA and Azide Free antibodies are quality control tested by size exclusion chromatography (SEC) to determine antibody integrity.

Formulation

Supplied in 1X PBS (10 mM Na2HPO4, 3 mM KCl, 2 mM KH2PO4, and 140 mM NaCl (pH 7.8)). BSA and Azide Free.

For standard formulation of this product see product #90176.

Storage

Store at -20°C. This product will freeze at -20°C so it is recommended to aliquot into single-use vials to avoid multiple freeze/thaw cycles. A slight precipitate may be present and can be dissolved by gently vortexing. This will not interfere with antibody performance.

Specificity/Sensitivity

CD19 (Intracellular Domain) (D4V4B) Rabbit Monoclonal Antibody (BSA and Azide Free) recognizes endogenous levels of total CD19 protein.

Species predicted to react based on 100% sequence homology

Bovine, Chimpanzee

Source / Purification

Monoclonal antibody is produced by immunizing animals with a synthetic peptide corresponding to residues surrounding Leu427 of human CD19 protein.

Background

CD19 is a 95 kDa coreceptor which amplifies the signaling cascade in B cells (1). On the B cell surface, CD19 associates with CD21, CD81, and Leu-13 to exert its function. The cytoplasmic tail of CD19 has nine conserved tyrosine residues playing critical roles in CD19 mediated function by coupling signaling molecules to the receptor (1). After B cell receptor or CD19 ligation, Tyr531 and Tyr500 of CD19 are progressively phosphorylated. This phosphorylation enables the coupling of PI3 kinase and Src family tyrosine kinase to CD19 and activates the PI3K and Src signaling pathways (2,3). Coligation of B cell receptor and CD19 also promotes Tyr409 phosphorylation in CD19. The phosphorylation at these sites enables its binding to Vav and mediates elevated intracellular calcium response, as well as the JNK pathway (4,5).

Species Reactivity

Species reactivity is determined by testing in at least one approved application (e.g., western blot).

Applications Key

W: Western Blotting IHC-Bond: IHC Leica Bond IHC-P: Immunohistochemistry (Paraffin) FC-FP: Flow Cytometry (Fixed/Permeabilized)

Cross-Reactivity Key

H: Human M: Mouse Mk: Monkey

Trademarks and Patents

Cell Signaling Technology is a trademark of Cell Signaling Technology, Inc.

SignalStain is a registered trademark of Cell Signaling Technology, Inc.

All other trademarks are the property of their respective owners. Visit cellsignal.com/trademarks for more information.

Limited Uses

Except as otherwise expressly agreed in a writing signed by a legally authorized representative of CST, the following terms apply to Products provided by CST, its affiliates or its distributors. Any Customer's terms and conditions that are in addition to, or different from, those contained herein, unless separately accepted in writing by a legally authorized representative of CST, are rejected and are of no force or effect.

Products are labeled with For Research Use Only or a similar labeling statement and have not been approved, cleared, or licensed by the FDA or other regulatory foreign or domestic entity, for any purpose. Customer shall not use any Product for any diagnostic or therapeutic purpose, or otherwise in any manner that conflicts with its labeling statement. Products sold or licensed by CST are provided for Customer as the end-user and solely for research and development uses. Any use of Product for diagnostic, prophylactic or therapeutic purposes, or any purchase of Product for resale (alone or as a component) or other commercial purpose, requires a separate license from CST. Customer shall (a) not sell, license, loan, donate or otherwise transfer or make available any Product to any third party, whether alone or in combination with other materials, or use the Products to manufacture any commercial products, (b) not copy, modify, reverse engineer, decompile, disassemble or otherwise attempt to discover the underlying structure or technology of the Products, or use the Products for the purpose of developing any products or services that would compete with CST products or services, (c) not alter or remove from the Products any trademarks, trade names, logos, patent or copyright notices or markings, (d) use the Products solely in accordance with CST Product Terms of Sale and any applicable documentation, and (e) comply with any license, terms of service or similar agreement with respect to any third party products or services used by Customer in connection with the Products.

Orders: 877-616-CELL (2355) [email protected] Support: 877-678-TECH (8324) [email protected] Web: cellsignal.com
For Research Use Only. Not for Use in Diagnostic Procedures.

Revision 8

Cell Signaling Technology Logo
Western blot analysis of extracts from various cell lines using CD19 (Intracellular Domain) (D4V4B) XP® Rabbit mAb (upper) and β-Actin (D6A8) Rabbit mAb #8457 (lower). As expected, CD19 protein is not detected in either U-937 cells or Raw 264.7 cells. Data were generated using the standard formulation of this product.
Western Blotting Image 1: CD19 (Intracellular Domain) (D4V4B) Rabbit Monoclonal Antibody (BSA and Azide Free)
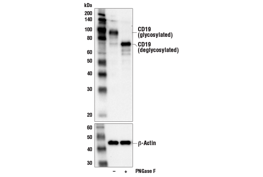
Western blot analysis of extracts from Daudi cells, untreated (-) or treated with PNGase F (+), using CD19 (Intracellular Domain) (D4V4B) XP® Rabbit mAb (upper) and β-Actin (D6A8) Rabbit mAb #8457 (lower). Data were generated using the standard formulation of this product.
Western Blotting Image 2: CD19 (Intracellular Domain) (D4V4B) Rabbit Monoclonal Antibody (BSA and Azide Free)
Immunohistochemical analysis of paraffin-embedded human endometrioid carcinoma using CD19 (Intracellular Domain) (D4V4B) XP® Rabbit mAb performed on the Leica® Bond™ Rx. Data were generated using the standard formulation of this product.
Immunohistochemistry Image 1: CD19 (Intracellular Domain) (D4V4B) Rabbit Monoclonal Antibody (BSA and Azide Free)
Orders: 877-616-CELL (2355) [email protected] Support: 877-678-TECH (8324) [email protected] Web: cellsignal.com
For Research Use Only. Not for Use in Diagnostic Procedures.

Revision 8

Cell Signaling Technology Logo
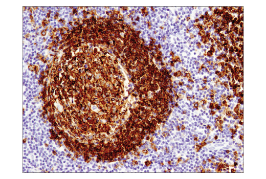
Immunohistochemical analysis of paraffin-embedded human lymphoma using CD19 (Intraceullular Domain) (D4V4B) XP® Rabbit mAb. Data were generated using the standard formulation of this product.
Immunohistochemistry Image 1: CD19 (Intracellular Domain) (D4V4B) Rabbit Monoclonal Antibody (BSA and Azide Free)
Immunohistochemical analysis of paraffin-embedded normal rhesus monkey spleen using CD19 (Intracellular Domain) (D4V4B) XP® Rabbit mAb. Data were generated using the standard formulation of this product.
Immunohistochemistry Image 2: CD19 (Intracellular Domain) (D4V4B) Rabbit Monoclonal Antibody (BSA and Azide Free)
Immunohistochemical analysis of paraffin-embedded mouse spleen using CD19 (Intracellular Domain) (D4V4B) XP® Rabbit mAb. Data were generated using the standard formulation of this product.
Immunohistochemistry Image 3: CD19 (Intracellular Domain) (D4V4B) Rabbit Monoclonal Antibody (BSA and Azide Free)
Orders: 877-616-CELL (2355) [email protected] Support: 877-678-TECH (8324) [email protected] Web: cellsignal.com
For Research Use Only. Not for Use in Diagnostic Procedures.

Revision 8

Cell Signaling Technology Logo
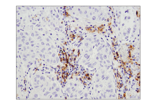
Immunohistochemical analysis of paraffin-embedded human colon carcinoma using CD19 (Intracellular Domain) (D4V4B) XP® Rabbit mAb. Data were generated using the standard formulation of this product.
Immunohistochemistry Image 4: CD19 (Intracellular Domain) (D4V4B) Rabbit Monoclonal Antibody (BSA and Azide Free)
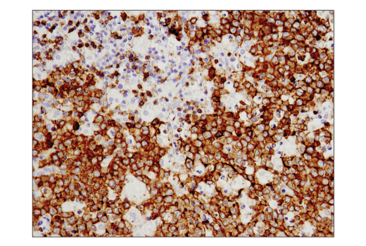
Immunohistochemical analysis of paraffin-embedded human tonsil using CD19 (Intracellular Domain) (D4V4B) XP® Rabbit mAb. Data were generated using the standard formulation of this product.
Immunohistochemistry Image 5: CD19 (Intracellular Domain) (D4V4B) Rabbit Monoclonal Antibody (BSA and Azide Free)
Immunohistochemical analysis of paraffin-embedded normal rhesus monkey spleen using CD19 (Intracellular Domain) (D4V4B) XP® Rabbit mAb. Data were generated using the standard formulation of this product.
Immunohistochemistry Image 6: CD19 (Intracellular Domain) (D4V4B) Rabbit Monoclonal Antibody (BSA and Azide Free)
Orders: 877-616-CELL (2355) [email protected] Support: 877-678-TECH (8324) [email protected] Web: cellsignal.com
For Research Use Only. Not for Use in Diagnostic Procedures.

Revision 8

Cell Signaling Technology Logo
Flow cytometric analysis of U-937 (negative, blue) and Raji (positive, green) cells using CD19 (D4V4B) Rabbit mAb (solid line) or a concentration-matched Rabbit (DA1E) mAb IgG XP® Isotype Control #3900 (dashed lines). Anti-rabbit IgG (H+L), F(ab')2 Fragment (Alexa Fluor® 647 Conjugate) #4414 was used as a secondary antibody. Data were generated using the standard formulation of this product.
Flow Cytometry Image 1: CD19 (Intracellular Domain) (D4V4B) Rabbit Monoclonal Antibody (BSA and Azide Free)
Flow cytometric analysis of Raw264.7 (negative, blue) and A20 (positive, green) cells using CD19 (D4V4B) Rabbit mAb (solid line) or a concentration-matched Rabbit DA1E) mAb IgG XP® Isotype Control #3900 (dashed lines). Anti-rabbit IgG (H+L), F(ab')2 Fragment (Alexa Fluor® 647 Conjugate) #4414 was used as a secondary antibody. Data were generated using the standard formulation of this product.
Flow Cytometry Image 2: CD19 (Intracellular Domain) (D4V4B) Rabbit Monoclonal Antibody (BSA and Azide Free)
Orders: 877-616-CELL (2355) [email protected] Support: 877-678-TECH (8324) [email protected] Web: cellsignal.com
For Research Use Only. Not for Use in Diagnostic Procedures.