Revision 6

#70168

Store at -20C

CST Logo
Orders:

877-616-CELL (2355)

[email protected]

Support:

877-678-TECH (8324)

3 Trask Lane | Danvers | Massachusetts | 01923 | USA

For Research Use Only. Not for Use in Diagnostic Procedures.

Applications:
W, IP, IHC-Bond, IHC-P, IF-F

Reactivity:
M R

Sensitivity:
Endogenous

MW (kDa):
30-50

Source/Isotype:
Rabbit IgG

UniProt ID:
#P19437

Entrez-Gene Id:
12482

Product Usage Information

Application Dilution
Western Blotting 1:1000
Immunoprecipitation 1:100
IHC Leica Bond 1:400 - 1:1600
Immunohistochemistry (Paraffin) 1:400 - 1:1600
Immunofluorescence (Frozen) 1:100 - 1:400

Storage

Supplied in 10 mM sodium HEPES (pH 7.5), 150 mM NaCl, 100 µg/ml BSA, 50% glycerol and less than 0.02% sodium azide. Store at –20°C. Do not aliquot the antibody.

Specificity/Sensitivity

CD20 (E3N7O) Rabbit Monoclonal Antibody recognizes endogenous levels of total CD20 protein.

Source / Purification

Monoclonal antibody is produced by immunizing animals with a synthetic peptide corresponding to residues near the carboxy terminus of mouse CD20 protein.

Background

B-lymphocyte antigen CD20 (also known as MS4A1; Membrane-spanning 4-domains subfamily A member 1) is a cell surface phosphoprotein involved in the regulation of B cell activation and proliferation (1,2). It is commonly used as a marker to identify B cells and is expressed throughout B cell development, up until their differentiation into plasma cells. CD20 has no known ligand, and its expression and function are largely conserved between human and mouse (1-3). Evidence suggests that CD20 is necessary for store operated calcium (SOC) entry, which leads to elevated cytoplasmic calcium levels required for B cell activation (4,5). Anti-CD20 antibody immunotherapy depletes B cells by activation of the innate monocytic network and is a common treatment for B cell lymphomas, leukemias, and autoimmune diseases (6).

Species Reactivity

Species reactivity is determined by testing in at least one approved application (e.g., western blot).

Western Blot Buffer

IMPORTANT: For western blots, incubate membrane with diluted primary antibody in 5% w/v nonfat dry milk, 1X TBS, 0.1% Tween® 20 at 4°C with gentle shaking, overnight.

Applications Key

W: Western Blotting IP: Immunoprecipitation IHC-Bond: IHC Leica Bond IHC-P: Immunohistochemistry (Paraffin) IF-F: Immunofluorescence (Frozen)

Cross-Reactivity Key

M: Mouse R: Rat

Trademarks and Patents

Cell Signaling Technology is a trademark of Cell Signaling Technology, Inc.

Alexa Fluor is a registered trademark of Life Technologies Corporation.

All other trademarks are the property of their respective owners. Visit cellsignal.com/trademarks for more information.

Limited Uses

Except as otherwise expressly agreed in a writing signed by a legally authorized representative of CST, the following terms apply to Products provided by CST, its affiliates or its distributors. Any Customer's terms and conditions that are in addition to, or different from, those contained herein, unless separately accepted in writing by a legally authorized representative of CST, are rejected and are of no force or effect.

Products are labeled with For Research Use Only or a similar labeling statement and have not been approved, cleared, or licensed by the FDA or other regulatory foreign or domestic entity, for any purpose. Customer shall not use any Product for any diagnostic or therapeutic purpose, or otherwise in any manner that conflicts with its labeling statement. Products sold or licensed by CST are provided for Customer as the end-user and solely for research and development uses. Any use of Product for diagnostic, prophylactic or therapeutic purposes, or any purchase of Product for resale (alone or as a component) or other commercial purpose, requires a separate license from CST. Customer shall (a) not sell, license, loan, donate or otherwise transfer or make available any Product to any third party, whether alone or in combination with other materials, or use the Products to manufacture any commercial products, (b) not copy, modify, reverse engineer, decompile, disassemble or otherwise attempt to discover the underlying structure or technology of the Products, or use the Products for the purpose of developing any products or services that would compete with CST products or services, (c) not alter or remove from the Products any trademarks, trade names, logos, patent or copyright notices or markings, (d) use the Products solely in accordance with CST Product Terms of Sale and any applicable documentation, and (e) comply with any license, terms of service or similar agreement with respect to any third party products or services used by Customer in connection with the Products.

Orders: 877-616-CELL (2355) [email protected] Support: 877-678-TECH (8324) [email protected] Web: cellsignal.com
For Research Use Only. Not for Use in Diagnostic Procedures.

Revision 6

Cell Signaling Technology Logo
Western blot analysis of extracts from various cell lines and tissue using CD20 (E3N7O) XP® Rabbit mAb (upper) and GAPDH (D16H11) XP® Rabbit mAb #5174 (lower).
Western Blotting Image 1: CD20 (E3N7O) Rabbit Monoclonal Antibody
Western blot analysis of extracts from mouse spleen, rat spleen, and rat brain tissues using CD20 (E3N7O) XP® Rabbit mAb (upper) and GAPDH (D16H11) XP® Rabbit mAb #5174 (lower).
Western Blotting Image 2: CD20 (E3N7O) Rabbit Monoclonal Antibody
Western blot analysis of extracts from 293T cells, mock transfected (-) or transfected with a construct expressing Myc/DDK-tagged full-length mouse CD20 protein (mCD20-Myc/DDK; +), using CD20 (E3N7O) XP® Rabbit mAb (upper), Myc-Tag (71D10) Rabbit mAb #2278 (middle), and β-Actin (D6A8) Rabbit mAb #8457 (lower).
Western Blotting Image 3: CD20 (E3N7O) Rabbit Monoclonal Antibody
Orders: 877-616-CELL (2355) [email protected] Support: 877-678-TECH (8324) [email protected] Web: cellsignal.com
For Research Use Only. Not for Use in Diagnostic Procedures.

Revision 6

Cell Signaling Technology Logo
Immunoprecipitation of CD20 protein from mouse spleen tissue extracts. Lane 1 is 10% input, lane 2 is Rabbit (DA1E) mAb IgG XP® Isotype Control #3900, and lane 3 is CD20 (E3N7O) XP® Rabbit mAb. Western blot analysis was performed using CD20 (E3N7O) XP® Rabbit mAb. Mouse Anti-rabbit IgG (Conformation Specific) (L27A9) mAb (HRP Conjugate) #5127 was used as the secondary antibody.
Immunoprecipitation Image 1: CD20 (E3N7O) Rabbit Monoclonal Antibody
Immunohistochemical analysis of paraffin-embedded mouse spleen using CD20 (E3N7O) XP® Rabbit mAb performed on the Leica BOND RX.
Immunohistochemistry Image 1: CD20 (E3N7O) Rabbit Monoclonal Antibody
Immunohistochemical analysis of paraffin-embedded mouse colon using CD20 (E3N7O) XP® Rabbit mAb performed on the Leica BOND RX.
Immunohistochemistry Image 2: CD20 (E3N7O) Rabbit Monoclonal Antibody
Orders: 877-616-CELL (2355) [email protected] Support: 877-678-TECH (8324) [email protected] Web: cellsignal.com
For Research Use Only. Not for Use in Diagnostic Procedures.

Revision 6

Cell Signaling Technology Logo
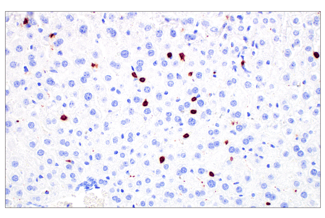
Immunohistochemical analysis of paraffin-embedded mouse liver using CD20 (E3N7O) XP® Rabbit mAb performed on the Leica BOND RX.
Immunohistochemistry Image 3: CD20 (E3N7O) Rabbit Monoclonal Antibody
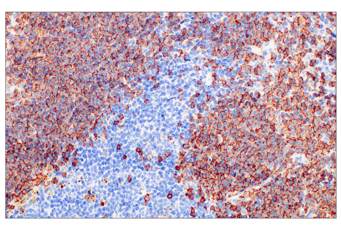
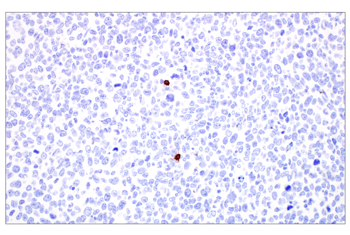
Immunohistochemical analysis of paraffin-embedded A20 syngeneic tumor using CD20 (E3N7O) XP® Rabbit mAb.
Immunohistochemistry Image 1: CD20 (E3N7O) Rabbit Monoclonal Antibody
Immunohistochemical analysis of paraffin-embedded LL/2 syngeneic tumor using CD20 (E3N7O) XP® Rabbit mAb.
Immunohistochemistry Image 2: CD20 (E3N7O) Rabbit Monoclonal Antibody
Orders: 877-616-CELL (2355) [email protected] Support: 877-678-TECH (8324) [email protected] Web: cellsignal.com
For Research Use Only. Not for Use in Diagnostic Procedures.

Revision 6

Cell Signaling Technology Logo
Immunohistochemical analysis of paraffin-embedded rat spleen using CD20 (E3N7O) XP® Rabbit mAb.
Immunohistochemistry Image 3: CD20 (E3N7O) Rabbit Monoclonal Antibody
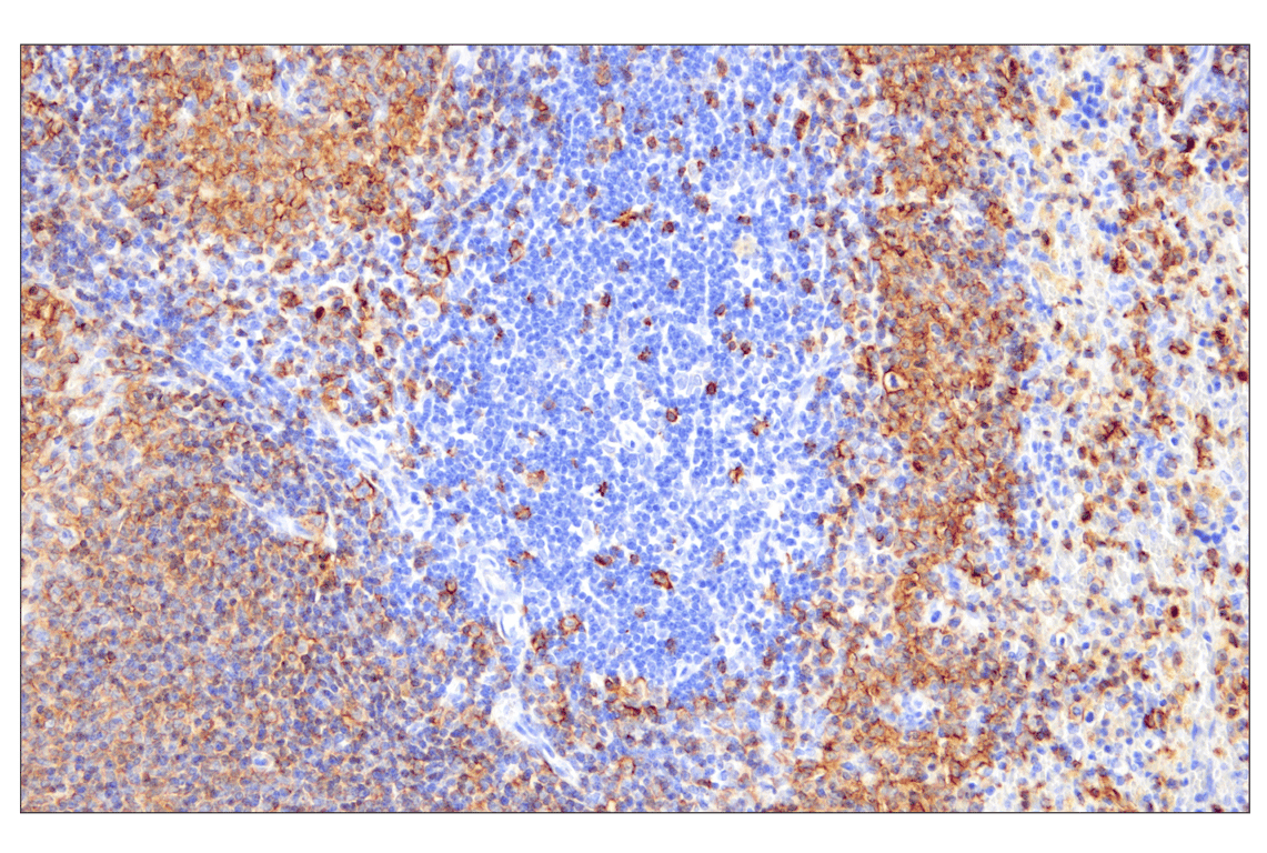
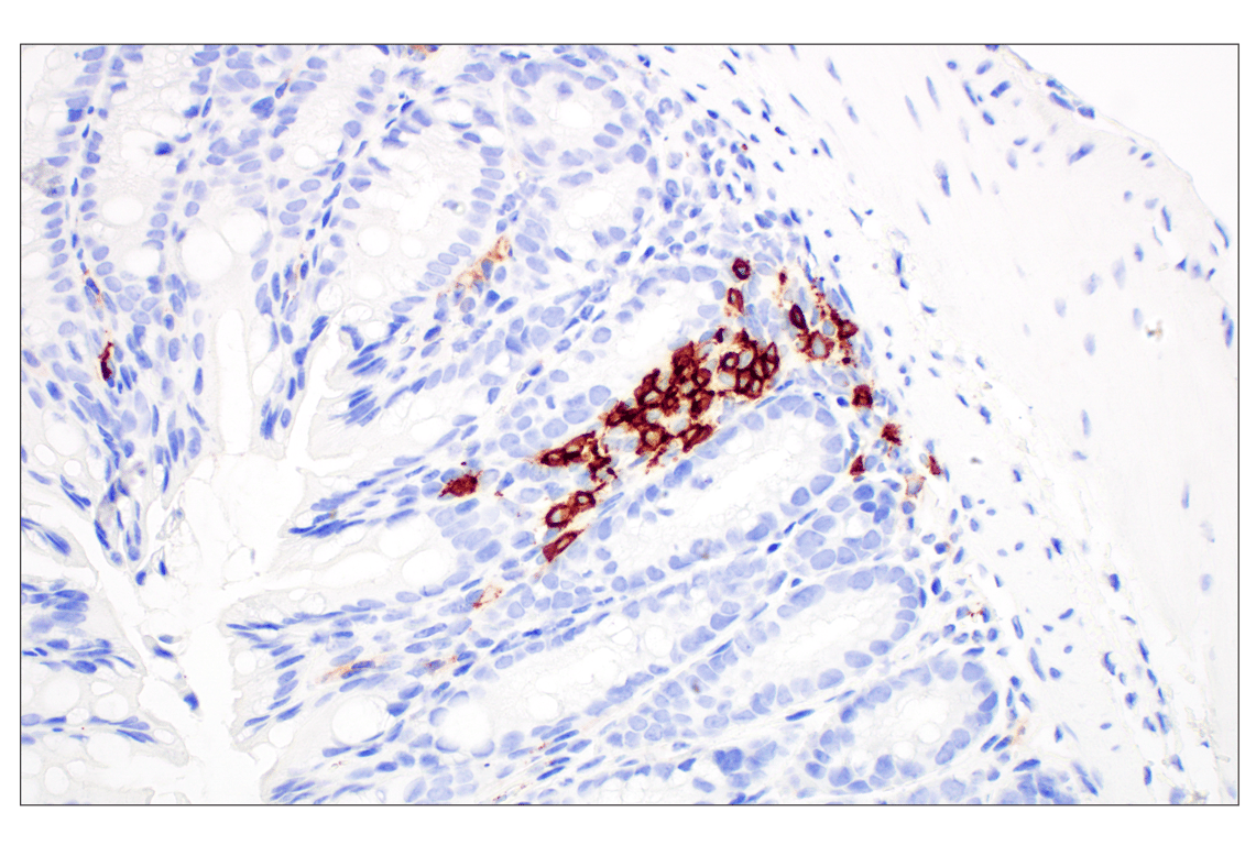
Immunohistochemical analysis of paraffin-embedded rat small intestine using CD20 (E3N7O) XP® Rabbit mAb.
Immunohistochemistry Image 4: CD20 (E3N7O) Rabbit Monoclonal Antibody
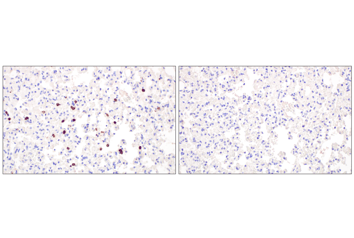
Immunohistochemical analysis of paraffin-embedded mouse lung using CD20 (E3N7O) XP® Rabbit mAb (left) compared to concentration-matched Rabbit (DA1E) mAb IgG XP® Isotype Control #3900 (right). 
Immunohistochemistry Image 5: CD20 (E3N7O) Rabbit Monoclonal Antibody
Orders: 877-616-CELL (2355) [email protected] Support: 877-678-TECH (8324) [email protected] Web: cellsignal.com
For Research Use Only. Not for Use in Diagnostic Procedures.

Revision 6

Cell Signaling Technology Logo
Immunohistochemical analysis of paraffin-embedded A20 cell pellet (left, positive) or LL/2 cell pellet (right, negative) using CD20 (E3N7O) XP® Rabbit mAb.
Immunohistochemistry Image 6: CD20 (E3N7O) Rabbit Monoclonal Antibody
Confocal immunofluorescent analysis of mouse liver using CD20 (E3N7O) XP® Rabbit mAb (green) and CD44 (IM7) Rat mAb (Alexa Fluor® 555 Conjugate) #95235 (red). Sections were mounted in ProLong® Gold Antifade Reagent with DAPI #8961 (blue).
Immunofluorescence Image 1: CD20 (E3N7O) Rabbit Monoclonal Antibody
Confocal immunofluorescent analysis of mouse spleen at lower magnification (left) and higher magnification (right) using CD20 (E3N7O) XP® Rabbit mAb (red) and CD3 (17A2) Rat mAb (FITC Conjugate) #86603 (green). After blocking free secondary antibody binding sites with Rabbit (DA1E) mAb IgG XP® Isotype Control #3900, the tissue was then labeled using Iba1/AIF-1 (E4O4W) XP® Rabbit mAb (Alexa Fluor® 647 Conjugate) #78060 (cyan pseudocolor).
Immunofluorescence Image 2: CD20 (E3N7O) Rabbit Monoclonal Antibody
Orders: 877-616-CELL (2355) [email protected] Support: 877-678-TECH (8324) [email protected] Web: cellsignal.com
For Research Use Only. Not for Use in Diagnostic Procedures.