Revision 11

#74332

Store at -20C

CST Logo
Orders:

877-616-CELL (2355)

[email protected]

Support:

877-678-TECH (8324)

3 Trask Lane | Danvers | Massachusetts | 01923 | USA

For Research Use Only. Not for Use in Diagnostic Procedures.

Applications:
IHC-Bond, IHC-P

Reactivity:
H Mk

Sensitivity:
Endogenous

Source/Isotype:
Mouse IgG2a kappa

UniProt ID:
#P11836

Entrez-Gene Id:
931

Product Usage Information

Application Dilution
IHC Leica Bond 1:4000 - 1:16000
Immunohistochemistry (Paraffin) 1:2000 - 1:8000

Storage

Supplied in 10 mM PBS containing 0.05% BSA and 0.05% sodium azide. Stable for 36 months when stored at -20°C. This product will freeze at -20°C so it is recommended to aliquot into single-use vials to avoid multiple freeze/thaw cycles. A slight precipitate may be present, but will not interfere with antibody performance.

Specificity/Sensitivity

CD20 (L26) Mouse Monoclonal Antibody recognizes endogenous levels of total CD20 protein.

Source / Purification

Monoclonal antibody is produced by immunizing animals with human tonsil B cells.

Background

B-lymphocyte antigen CD20 (also known as MS4A1; Membrane-spanning 4-domains subfamily A member 1) is a cell surface phosphoprotein involved in the regulation of B cell activation and proliferation (1,2). It is commonly used as a marker to identify B cells and is expressed throughout B cell development, up until their differentiation into plasma cells. CD20 has no known ligand, and its expression and function are largely conserved between human and mouse (1-3). Evidence suggests that CD20 is necessary for store operated calcium (SOC) entry, which leads to elevated cytoplasmic calcium levels required for B cell activation (4,5). Anti-CD20 antibody immunotherapy depletes B cells by activation of the innate monocytic network and is a common treatment for B cell lymphomas, leukemias, and autoimmune diseases (6).

Species Reactivity

Species reactivity is determined by testing in at least one approved application (e.g., western blot).

Applications Key

IHC-Bond: IHC Leica Bond IHC-P: Immunohistochemistry (Paraffin)

Cross-Reactivity Key

H: Human Mk: Monkey

Trademarks and Patents

Cell Signaling Technology is a trademark of Cell Signaling Technology, Inc.

SignalStain is a registered trademark of Cell Signaling Technology, Inc.

All other trademarks are the property of their respective owners. Visit cellsignal.com/trademarks for more information.

Limited Uses

Except as otherwise expressly agreed in a writing signed by a legally authorized representative of CST, the following terms apply to Products provided by CST, its affiliates or its distributors. Any Customer's terms and conditions that are in addition to, or different from, those contained herein, unless separately accepted in writing by a legally authorized representative of CST, are rejected and are of no force or effect.

Products are labeled with For Research Use Only or a similar labeling statement and have not been approved, cleared, or licensed by the FDA or other regulatory foreign or domestic entity, for any purpose. Customer shall not use any Product for any diagnostic or therapeutic purpose, or otherwise in any manner that conflicts with its labeling statement. Products sold or licensed by CST are provided for Customer as the end-user and solely for research and development uses. Any use of Product for diagnostic, prophylactic or therapeutic purposes, or any purchase of Product for resale (alone or as a component) or other commercial purpose, requires a separate license from CST. Customer shall (a) not sell, license, loan, donate or otherwise transfer or make available any Product to any third party, whether alone or in combination with other materials, or use the Products to manufacture any commercial products, (b) not copy, modify, reverse engineer, decompile, disassemble or otherwise attempt to discover the underlying structure or technology of the Products, or use the Products for the purpose of developing any products or services that would compete with CST products or services, (c) not alter or remove from the Products any trademarks, trade names, logos, patent or copyright notices or markings, (d) use the Products solely in accordance with CST Product Terms of Sale and any applicable documentation, and (e) comply with any license, terms of service or similar agreement with respect to any third party products or services used by Customer in connection with the Products.

Orders: 877-616-CELL (2355) [email protected] Support: 877-678-TECH (8324) [email protected] Web: cellsignal.com
For Research Use Only. Not for Use in Diagnostic Procedures.

Revision 11

Cell Signaling Technology Logo
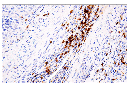
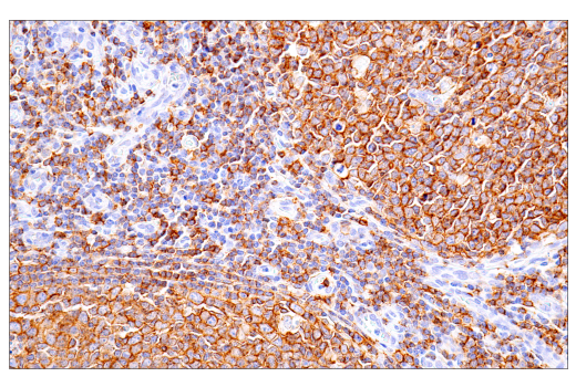
Immunohistochemical analysis of paraffin-embedded human esophageal adenocarcinoma using CD20 (L26) Mouse mAb performed on the Leica® BOND™ Rx.
Immunohistochemistry Image 1: CD20 (L26) Mouse Monoclonal Antibody
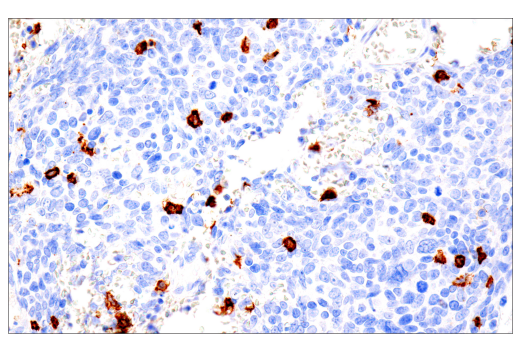
Immunohistochemical analysis of paraffin-embedded human squamous cell carcinoma of the tonsil using CD20 (L26) Mouse mAb performed on the Leica® BOND™ Rx.
Immunohistochemistry Image 2: CD20 (L26) Mouse Monoclonal Antibody
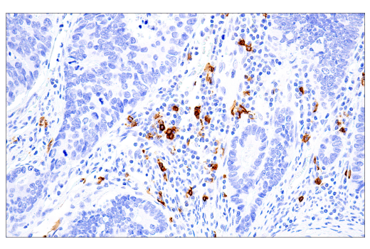
Immunohistochemical analysis of paraffin-embedded human hepatocellular carcinoma using CD20 (L26) Mouse mAb performed on the Leica® BOND™ Rx.
Immunohistochemistry Image 3: CD20 (L26) Mouse Monoclonal Antibody
Orders: 877-616-CELL (2355) [email protected] Support: 877-678-TECH (8324) [email protected] Web: cellsignal.com
For Research Use Only. Not for Use in Diagnostic Procedures.

Revision 11

Cell Signaling Technology Logo
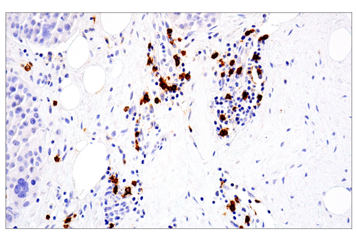
Immunohistochemical analysis of paraffin-embedded human gastric adenocarcinoma using CD20 (L26) Mouse mAb performed on the Leica® BOND™ Rx.
Immunohistochemistry Image 4: CD20 (L26) Mouse Monoclonal Antibody
Immunohistochemical analysis of paraffin-embedded human ductal breast carcinoma using CD20 (L26) Mouse mAb.
Immunohistochemistry Image 1: CD20 (L26) Mouse Monoclonal Antibody
Immunohistochemical analysis of paraffin-embedded Raji cell pellet (left, positive) or Jurkat cell pellet (right, negative) using CD20 (L26) Mouse mAb.
Immunohistochemistry Image 2: CD20 (L26) Mouse Monoclonal Antibody
Orders: 877-616-CELL (2355) [email protected] Support: 877-678-TECH (8324) [email protected] Web: cellsignal.com
For Research Use Only. Not for Use in Diagnostic Procedures.

Revision 11

Cell Signaling Technology Logo
Immunohistochemical analysis of paraffin-embedded human tonsil using CD20 (L26) Mouse mAb.
Immunohistochemistry Image 3: CD20 (L26) Mouse Monoclonal Antibody
Immunohistochemical analysis of paraffin-embedded human colon carcinoma using CD20 (L26) Mouse mAb.
Immunohistochemistry Image 4: CD20 (L26) Mouse Monoclonal Antibody
Immunohistochemical analysis of paraffin-embedded human lung adenocarcinoma using CD20 (L26) Mouse mAb.
Immunohistochemistry Image 5: CD20 (L26) Mouse Monoclonal Antibody
Orders: 877-616-CELL (2355) [email protected] Support: 877-678-TECH (8324) [email protected] Web: cellsignal.com
For Research Use Only. Not for Use in Diagnostic Procedures.

Revision 11

Cell Signaling Technology Logo
Immunohistochemical analysis of paraffin-embedded human non-Hodgkin's lymphoma using CD20 (L26) Mouse mAb.
Immunohistochemistry Image 6: CD20 (L26) Mouse Monoclonal Antibody
Immunohistochemical analysis of paraffin-embedded normal rhesus monkey spleen using CD20 (L26) Mouse mAb.
Immunohistochemistry Image 7: CD20 (L26) Mouse Monoclonal Antibody
Orders: 877-616-CELL (2355) [email protected] Support: 877-678-TECH (8324) [email protected] Web: cellsignal.com
For Research Use Only. Not for Use in Diagnostic Procedures.