Revision 11

#87887

Store at -20C

CST Logo
Orders:

877-616-CELL (2355)

[email protected]

Support:

877-678-TECH (8324)

3 Trask Lane | Danvers | Massachusetts | 01923 | USA

For Research Use Only. Not for Use in Diagnostic Procedures.

Applications:
W, IHC-Bond, IHC-P, IF-F, IF-IC

Reactivity:
H M R Mk

Sensitivity:
Endogenous

MW (kDa):
190-250

Source/Isotype:
Rabbit IgG

UniProt ID:
#Q61830

Entrez-Gene Id:
17533

Product Usage Information

This product is the carrier free version of product #24595. All data were generated using the same antibody clone in the standard formulation which contains BSA and glycerol.

This formulation is ideal for use with technologies requiring specialized or custom antibody labeling, including fluorophores, metals, lanthanides, and oligonucleotides. It is not recommended for ChIP, ChIP-seq, CUT&RUN, or CUT&Tag assays. If you require a carrier-free formulation for chromatin profiling, please contact us. Optimal dilutions/concentrations should be determined by the end user.

BSA and Azide Free antibodies are quality control tested by size exclusion chromatography (SEC) to determine antibody integrity.

Formulation

Supplied in 1X PBS (10 mM Na2HPO4, 3 mM KCl, 2 mM KH2PO4, and 140 mM NaCl (pH 7.8)). BSA and Azide Free.

For standard formulation of this product see product #24595.

Storage

Store at -20°C. This product will freeze at -20°C so it is recommended to aliquot into single-use vials to avoid multiple freeze/thaw cycles. A slight precipitate may be present and can be dissolved by gently vortexing. This will not interfere with antibody performance.

Specificity/Sensitivity

CD206/MRC1 (E6T5J) Rabbit Monoclonal Antibody (BSA and Azide Free) recognizes endogenous levels of total CD206/MRC1 protein. This antibody recognizes mouse CD206/MRC1 protein and is also reactive with human CD206/MRC1; however, this antibody is not suggested for immunohistochemical analysis of human tissues. Instead, CD206/MRC1 (E2L9N) Rabbit Monoclonal Antibody #91992 is recommended for IHC analysis of human tissue samples.

Source / Purification

Monoclonal antibody is produced by immunizing animals with a synthetic peptide corresponding to residues near the carboxy terminus of mouse CD206/MRC1 protein.

Background

The mannose receptor (MR/CLEC13D/CD206/MMR/MRC1/Macrophage mannose receptor 1) is an endocytic receptor expressed by populations of dendritic cells, macrophages, and nonvascular endothelium (1). The mannose receptor is a heavily glycosylated type I transmembrane protein with three types of extracellular domains and a short carboxy-terminal cytoplasmic domain with no apparent signaling motif (2-4). The extracellular portion of the protein is made up of a CR domain, which binds sulfated glycans, an FNII domain, which binds collagens, and eight C-type lectin domains, which bind carbohydrates containing mannose, fucose, or GlcNAc (4-7). The receptor recycles between the plasma membrane and early endosomes (8). Functions include a role in antigen cross-presentation, clearance of endogenous proteins, pathogen detection, and trafficking through lymphatic vessels (9-12).

Species Reactivity

Species reactivity is determined by testing in at least one approved application (e.g., western blot).

Applications Key

W: Western Blotting IHC-Bond: IHC Leica Bond IHC-P: Immunohistochemistry (Paraffin) IF-F: Immunofluorescence (Frozen) IF-IC: Immunofluorescence (Immunocytochemistry)

Cross-Reactivity Key

H: Human M: Mouse R: Rat Mk: Monkey

Trademarks and Patents

Cell Signaling Technology is a trademark of Cell Signaling Technology, Inc.

SignalStain is a registered trademark of Cell Signaling Technology, Inc.

All other trademarks are the property of their respective owners. Visit cellsignal.com/trademarks for more information.

Limited Uses

Except as otherwise expressly agreed in a writing signed by a legally authorized representative of CST, the following terms apply to Products provided by CST, its affiliates or its distributors. Any Customer's terms and conditions that are in addition to, or different from, those contained herein, unless separately accepted in writing by a legally authorized representative of CST, are rejected and are of no force or effect.

Products are labeled with For Research Use Only or a similar labeling statement and have not been approved, cleared, or licensed by the FDA or other regulatory foreign or domestic entity, for any purpose. Customer shall not use any Product for any diagnostic or therapeutic purpose, or otherwise in any manner that conflicts with its labeling statement. Products sold or licensed by CST are provided for Customer as the end-user and solely for research and development uses. Any use of Product for diagnostic, prophylactic or therapeutic purposes, or any purchase of Product for resale (alone or as a component) or other commercial purpose, requires a separate license from CST. Customer shall (a) not sell, license, loan, donate or otherwise transfer or make available any Product to any third party, whether alone or in combination with other materials, or use the Products to manufacture any commercial products, (b) not copy, modify, reverse engineer, decompile, disassemble or otherwise attempt to discover the underlying structure or technology of the Products, or use the Products for the purpose of developing any products or services that would compete with CST products or services, (c) not alter or remove from the Products any trademarks, trade names, logos, patent or copyright notices or markings, (d) use the Products solely in accordance with CST Product Terms of Sale and any applicable documentation, and (e) comply with any license, terms of service or similar agreement with respect to any third party products or services used by Customer in connection with the Products.

Orders: 877-616-CELL (2355) [email protected] Support: 877-678-TECH (8324) [email protected] Web: cellsignal.com
For Research Use Only. Not for Use in Diagnostic Procedures.

Revision 11

Cell Signaling Technology Logo
Western blot analysis of extracts from various cell lines and tissues using CD206/MRC1 (E6T5J) XP® Rabbit mAb (upper) or α-Actinin (D6F6) XP® Rabbit mAb #6487 (lower). Data were generated using the standard formulation of this product.
Western Blotting Image 1: CD206/MRC1 (E6T5J) Rabbit Monoclonal Antibody (BSA and Azide Free)
Immunohistochemical analysis of paraffin-embedded mouse liver using CD206/MRC1 (E6T5J) XP® Rabbit mAb performed on the Leica® BOND™ Rx. Data were generated using the standard formulation of this product.
Immunohistochemistry Image 1: CD206/MRC1 (E6T5J) Rabbit Monoclonal Antibody (BSA and Azide Free)
Immunohistochemical analysis of paraffin-embedded mouse lung using CD206/MRC1 (E6T5J) XP® Rabbit mAb performed on the Leica® BOND™ Rx. Data were generated using the standard formulation of this product.
Immunohistochemistry Image 2: CD206/MRC1 (E6T5J) Rabbit Monoclonal Antibody (BSA and Azide Free)
Orders: 877-616-CELL (2355) [email protected] Support: 877-678-TECH (8324) [email protected] Web: cellsignal.com
For Research Use Only. Not for Use in Diagnostic Procedures.

Revision 11

Cell Signaling Technology Logo
Immunohistochemical analysis of paraffin-embedded mouse stomach using CD206/MRC1 (E6T5J) XP® Rabbit mAb performed on the Leica® BOND™ Rx. Data were generated using the standard formulation of this product.
Immunohistochemistry Image 3: CD206/MRC1 (E6T5J) Rabbit Monoclonal Antibody (BSA and Azide Free)
Immunohistochemical analysis of paraffin-embedded CT26.WT syngeneic tumor using CD206/MRC1 (E6T5J) XP® Rabbit mAb. Data were generated using the standard formulation of this product.
Immunohistochemistry Image 1: CD206/MRC1 (E6T5J) Rabbit Monoclonal Antibody (BSA and Azide Free)
Immunohistochemical analysis of paraffin-embedded LL/2 syngeneic tumor using CD206/MRC1 (E6T5J) XP® Rabbit mAb. Data were generated using the standard formulation of this product.
Immunohistochemistry Image 2: CD206/MRC1 (E6T5J) Rabbit Monoclonal Antibody (BSA and Azide Free)
Orders: 877-616-CELL (2355) [email protected] Support: 877-678-TECH (8324) [email protected] Web: cellsignal.com
For Research Use Only. Not for Use in Diagnostic Procedures.

Revision 11

Cell Signaling Technology Logo
Immunohistochemical analysis of paraffin-embedded Renca syngeneic tumor using CD206/MRC1 (E6T5J) XP® Rabbit mAb. Data were generated using the standard formulation of this product.
Immunohistochemistry Image 3: CD206/MRC1 (E6T5J) Rabbit Monoclonal Antibody (BSA and Azide Free)
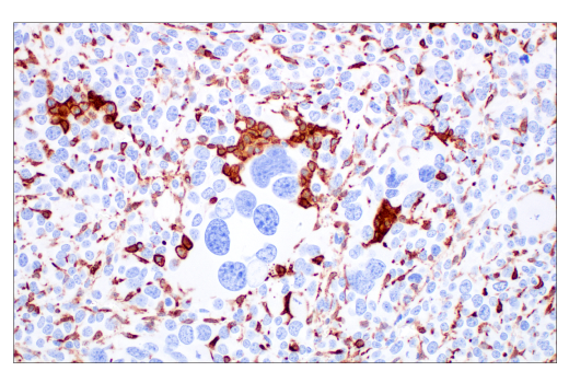
Immunohistochemical analysis of paraffin-embedded 4T1 syngeneic mammary tumor using CD206/MRC1 (E6T5J) XP® Rabbit mAb. Data were generated using the standard formulation of this product.
Immunohistochemistry Image 4: CD206/MRC1 (E6T5J) Rabbit Monoclonal Antibody (BSA and Azide Free)
Immunohistochemical analysis of paraffin-embedded mouse colon using CD206/MRC1 (E6T5J) XP® Rabbit mAb. Data were generated using the standard formulation of this product.
Immunohistochemistry Image 5: CD206/MRC1 (E6T5J) Rabbit Monoclonal Antibody (BSA and Azide Free)
Orders: 877-616-CELL (2355) [email protected] Support: 877-678-TECH (8324) [email protected] Web: cellsignal.com
For Research Use Only. Not for Use in Diagnostic Procedures.

Revision 11

Cell Signaling Technology Logo
Immunohistochemical analysis of paraffin-embedded mouse pancreas using CD206/MRC1 (E6T5J) XP® Rabbit mAb. Data were generated using the standard formulation of this product.
Immunohistochemistry Image 6: CD206/MRC1 (E6T5J) Rabbit Monoclonal Antibody (BSA and Azide Free)
Immunohistochemical analysis of paraffin-embedded mouse testis using CD206/MRC1 (E6T5J) XP® Rabbit mAb (left) or CD206/MRC1 antibody (right). These two antibodies detect independent, unique epitopes on mouse CD206/MRC1. The similar staining patterns obtained with both antibodies help to confirm the specificity of the staining. Data were generated using the standard formulation of this product.
Immunohistochemistry Image 7: CD206/MRC1 (E6T5J) Rabbit Monoclonal Antibody (BSA and Azide Free)
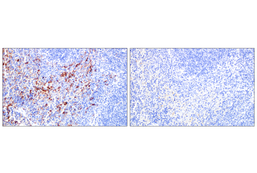
Immunohistochemical analysis of paraffin-embedded mouse spleen using CD206/MRC1 (E6T5J) XP® Rabbit mAb (left) compared to concentration-matched Rabbit (DA1E) mAb IgG XP® Isotype Control #3900 (right). Data were generated using the standard formulation of this product.
Immunohistochemistry Image 8: CD206/MRC1 (E6T5J) Rabbit Monoclonal Antibody (BSA and Azide Free)
Orders: 877-616-CELL (2355) [email protected] Support: 877-678-TECH (8324) [email protected] Web: cellsignal.com
For Research Use Only. Not for Use in Diagnostic Procedures.

Revision 11

Cell Signaling Technology Logo
Immunohistochemical analysis of paraffin-embedded normal rhesus monkey spleen using CD206/MRC1 (E6T5J) XP® Rabbit mAb. Data were generated using the standard formulation of this product.
Immunohistochemistry Image 9: CD206/MRC1 (E6T5J) Rabbit Monoclonal Antibody (BSA and Azide Free)
Confocal immunofluorescent analysis of fixed frozen mouse spleen using CD206/MRC1 (E6T5J) XP® Rabbit mAb (green) and DyLight™ 650 Phalloidin #12956 (red). Sections were mounted in ProLong® Gold Antifade Reagent with DAPI #8961 (blue). Data were generated using the standard formulation of this product.
Immunofluorescence Image 1: CD206/MRC1 (E6T5J) Rabbit Monoclonal Antibody (BSA and Azide Free)
Confocal immunofluorescent analysis of fixed frozen mouse liver using CD206/MRC1 (E6T5J) XP® Rabbit mAb (green) and DyLight™ 650 Phalloidin #12956 (red). Sections were mounted in ProLong® Gold Antifade Reagent with DAPI #8961 (blue). Data were generated using the standard formulation of this product.
Immunofluorescence Image 2: CD206/MRC1 (E6T5J) Rabbit Monoclonal Antibody (BSA and Azide Free)
Orders: 877-616-CELL (2355) [email protected] Support: 877-678-TECH (8324) [email protected] Web: cellsignal.com
For Research Use Only. Not for Use in Diagnostic Procedures.

Revision 11

Cell Signaling Technology Logo
Confocal immunofluorescent analysis of fixed frozen mouse heart using CD206/MRC1 (E6T5J) XP® Rabbit mAb (green) and DyLight™ 650 Phalloidin #12956 (red). Sections were mounted in ProLong® Gold Antifade Reagent with DAPI #8961 (blue). Data were generated using the standard formulation of this product.
Immunofluorescence Image 3: CD206/MRC1 (E6T5J) Rabbit Monoclonal Antibody (BSA and Azide Free)
Confocal immunofluorescent analysis of MUTZ-3 cells (left, positive) or Jurkat cells (right, negative) using CD206/MRC1 (E6T5J) XP® Rabbit mAb (green) and DAPI #4083 (blue). Data were generated using the standard formulation of this product.
Immunofluorescence Image 1: CD206/MRC1 (E6T5J) Rabbit Monoclonal Antibody (BSA and Azide Free)
Orders: 877-616-CELL (2355) [email protected] Support: 877-678-TECH (8324) [email protected] Web: cellsignal.com
For Research Use Only. Not for Use in Diagnostic Procedures.