Revision 3

#94346

Store at -20C

CST Logo
Orders:

877-616-CELL (2355)

[email protected]

Support:

877-678-TECH (8324)

3 Trask Lane | Danvers | Massachusetts | 01923 | USA

For Research Use Only. Not for Use in Diagnostic Procedures.

Applications:
W, IHC-Bond, IHC-P, IF-F

Reactivity:
M

Sensitivity:
Endogenous

MW (kDa):
140

Source/Isotype:
Rabbit IgG

UniProt ID:
#P35329

Entrez-Gene Id:
12483

Product Usage Information

Application Dilution
Western Blotting 1:1000
IHC Leica Bond 1:50
Immunohistochemistry (Paraffin) 1:50 - 1:200
Immunofluorescence (Frozen) 1:1600 - 1:6400

Storage

Supplied in 10 mM sodium HEPES (pH 7.5), 150 mM NaCl, 100 µg/mL BSA, 50% glycerol, and less than 0.02% sodium azide. Store at –20°C. Do not aliquot the antibody.

For a carrier free (BSA and azide free) version of this product see product #47369.

Specificity/Sensitivity

CD22 (F9D1W) Rabbit Monoclonal Antibody recognizes endogenous levels of total CD22 protein.

Source / Purification

Monoclonal antibody is produced by immunizing animals with a synthetic peptide corresponding to residues surrounding Ser467 of mouse CD22 protein.

Background

CD22 (also known as siglec-2) is a member of the sialic acid-binding immunoglobulin-type lectin (Siglec) family of immunomodulatory receptors. CD22 can bind to its ligand α 2,6-linked sialic acid on different cells (trans interaction) as well as on the same cells (cis interaction). CD22 is predominantly expressed on B cells and functions as an inhibitory co-receptor for the B cell receptor (BCR) (1,2). After BCR ligation, the tyrosine kinase Lyn is activated and phosphorylates two distal of the four ITIM motifs in the intracellular carboxy-terminal region of CD22, which then recruit tyrosine phosphatases, including SHP-1, to the plasma membrane, and in turn, they get tyrosine-phosphorylated and activated to damp the signaling pathways initiated by BCR ligation (3,4). CD22 has been actively pursued as a therapeutic target for autoimmune diseases (5). Due to almost exclusive expression on B cells, it is also actively pursued as a therapeutic target for multiple B cell malignancies (6-8).

Species Reactivity

Species reactivity is determined by testing in at least one approved application (e.g., western blot).

Western Blot Buffer

IMPORTANT: For western blots, incubate membrane with diluted primary antibody in 5% w/v BSA, 1X TBS, 0.1% Tween® 20 at 4°C with gentle shaking, overnight.

Applications Key

W: Western Blotting IHC-Bond: IHC Leica Bond IHC-P: Immunohistochemistry (Paraffin) IF-F: Immunofluorescence (Frozen)

Cross-Reactivity Key

M: Mouse

Trademarks and Patents

Cell Signaling Technology is a trademark of Cell Signaling Technology, Inc.

All other trademarks are the property of their respective owners. Visit cellsignal.com/trademarks for more information.

Limited Uses

Except as otherwise expressly agreed in a writing signed by a legally authorized representative of CST, the following terms apply to Products provided by CST, its affiliates or its distributors. Any Customer's terms and conditions that are in addition to, or different from, those contained herein, unless separately accepted in writing by a legally authorized representative of CST, are rejected and are of no force or effect.

Products are labeled with For Research Use Only or a similar labeling statement and have not been approved, cleared, or licensed by the FDA or other regulatory foreign or domestic entity, for any purpose. Customer shall not use any Product for any diagnostic or therapeutic purpose, or otherwise in any manner that conflicts with its labeling statement. Products sold or licensed by CST are provided for Customer as the end-user and solely for research and development uses. Any use of Product for diagnostic, prophylactic or therapeutic purposes, or any purchase of Product for resale (alone or as a component) or other commercial purpose, requires a separate license from CST. Customer shall (a) not sell, license, loan, donate or otherwise transfer or make available any Product to any third party, whether alone or in combination with other materials, or use the Products to manufacture any commercial products, (b) not copy, modify, reverse engineer, decompile, disassemble or otherwise attempt to discover the underlying structure or technology of the Products, or use the Products for the purpose of developing any products or services that would compete with CST products or services, (c) not alter or remove from the Products any trademarks, trade names, logos, patent or copyright notices or markings, (d) use the Products solely in accordance with CST Product Terms of Sale and any applicable documentation, and (e) comply with any license, terms of service or similar agreement with respect to any third party products or services used by Customer in connection with the Products.

Orders: 877-616-CELL (2355) [email protected] Support: 877-678-TECH (8324) [email protected] Web: cellsignal.com
For Research Use Only. Not for Use in Diagnostic Procedures.

Revision 3

Cell Signaling Technology Logo
Western blot analysis of extracts from 293T cells, mock transfected (-) or transfected with a construct expressing Myc/DDK-tagged full-length mouse CD22 protein (mCD22-Myc/DDK; +), using CD22 (F9D1W) Rabbit mAb (upper), Myc-Tag (71D10) Rabbit mAb #2278 (middle), or β-Actin (D6A8) Rabbit mAb #8457 (lower).
Western Blotting Image 1: CD22 (F9D1W) Rabbit Monoclonal Antibody
Western blot analysis of extracts from various mouse cell lines and mouse spleen tissue using CD22 (F9D1W) Rabbit mAb (upper) or β-Actin (D6A8) Rabbit mAb #8457 (lower). Negative expression of CD22 protein in CTLL-2 cells is consistent with the predicted expression pattern.
Western Blotting Image 2: CD22 (F9D1W) Rabbit Monoclonal Antibody
Immunohistochemical analysis of paraffin-embedded 4T1 syngeneic mammary tumor using CD22 (F9D1W) Rabbit mAb performed on the Leica BOND RX.
Immunohistochemistry Image 1: CD22 (F9D1W) Rabbit Monoclonal Antibody
Orders: 877-616-CELL (2355) [email protected] Support: 877-678-TECH (8324) [email protected] Web: cellsignal.com
For Research Use Only. Not for Use in Diagnostic Procedures.

Revision 3

Cell Signaling Technology Logo
Immunohistochemical analysis of paraffin-embedded mouse spleen using CD22 (F9D1W) Rabbit mAb performed on the Leica BOND RX.
Immunohistochemistry Image 2: CD22 (F9D1W) Rabbit Monoclonal Antibody
Immunohistochemical analysis of paraffin-embedded mouse endometrium using CD22 (F9D1W) Rabbit mAb performed on the Leica BOND RX.
Immunohistochemistry Image 3: CD22 (F9D1W) Rabbit Monoclonal Antibody
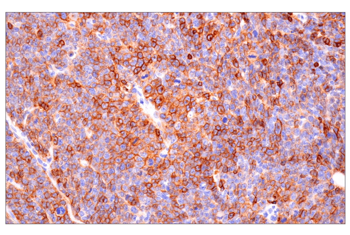
Immunohistochemical analysis of paraffin-embedded A20 syngeneic tumor using CD22 (F9D1W) Rabbit mAb.
Immunohistochemistry Image 1: CD22 (F9D1W) Rabbit Monoclonal Antibody
Orders: 877-616-CELL (2355) [email protected] Support: 877-678-TECH (8324) [email protected] Web: cellsignal.com
For Research Use Only. Not for Use in Diagnostic Procedures.

Revision 3

Cell Signaling Technology Logo
Immunohistochemical analysis of paraffin-embedded MC-38 syngeneic tumor using CD22 (F9D1W) Rabbit mAb.
Immunohistochemistry Image 2: CD22 (F9D1W) Rabbit Monoclonal Antibody
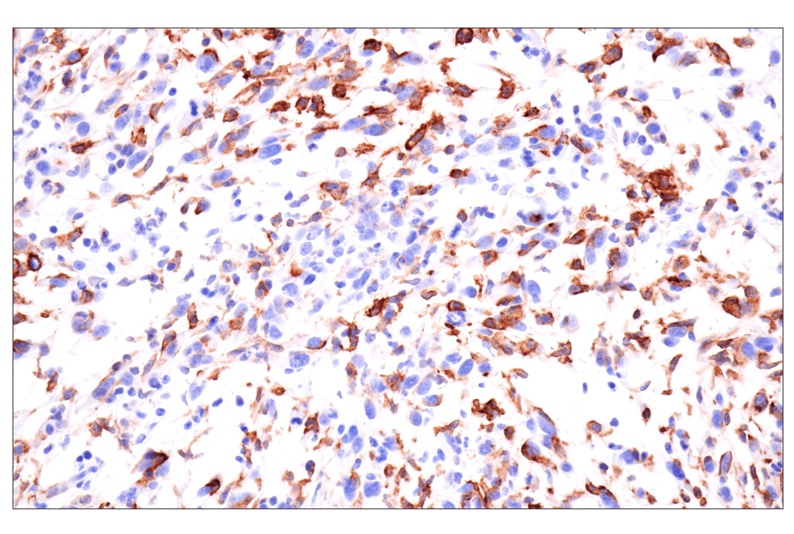
Immunohistochemical analysis of paraffin-embedded mouse lung using CD22 (F9D1W) Rabbit mAb.
Immunohistochemistry Image 3: CD22 (F9D1W) Rabbit Monoclonal Antibody
Immunohistochemical analysis of paraffin-embedded mouse thymus using CD22 (F9D1W) Rabbit mAb (left) compared to concentration-matched Rabbit (DA1E) mAb IgG XP® Isotype Control #3900 (right).
Immunohistochemistry Image 4: CD22 (F9D1W) Rabbit Monoclonal Antibody
Orders: 877-616-CELL (2355) [email protected] Support: 877-678-TECH (8324) [email protected] Web: cellsignal.com
For Research Use Only. Not for Use in Diagnostic Procedures.

Revision 3

Cell Signaling Technology Logo
Immunohistochemical analysis of paraffin-embedded A20 cell pellet (left, positive) or CTLL-2 cell pellet (right, negative) using CD22 (F9D1W) Rabbit mAb.
Immunohistochemistry Image 5: CD22 (F9D1W) Rabbit Monoclonal Antibody
Confocal immunofluorescent analysis of fixed frozen Peyer’s patch in mouse colon labeled with CD22 (F9D1W) Rabbit mAb (green) and co-labeled with CD3 (17A2) Rat mAb (FITC Conjugate) #86603 (gray pseudocolor), CD45R/B220 (RA3-6B2) Rat mAb (redFluor 710 Conjugate) #82984 (red), and ProLong Gold Antifade Reagent with DAPI #8961 (blue).
Immunofluorescence Image 1: CD22 (F9D1W) Rabbit Monoclonal Antibody
Confocal immunofluorescent analysis of fixed frozen mouse spleen, labeled with CD22 (F9D1W) Rabbit mAb (green) and co-labeled with CD3 (17A2) Rat mAb (FITC Conjugate) #86603 (blue pseudocolor) and CD45R/B220 (RA3-6B2) Rat mAb (redFluor 710 Conjugate) #82984 (red).
Immunofluorescence Image 2: CD22 (F9D1W) Rabbit Monoclonal Antibody
Orders: 877-616-CELL (2355) [email protected] Support: 877-678-TECH (8324) [email protected] Web: cellsignal.com
For Research Use Only. Not for Use in Diagnostic Procedures.