Revision 1

#89186

Store at -20C

CST Logo
Orders:

877-616-CELL (2355)

[email protected]

Support:

877-678-TECH (8324)

3 Trask Lane | Danvers | Massachusetts | 01923 | USA

For Research Use Only. Not for Use in Diagnostic Procedures.

Applications:
IHC-P

Reactivity:
H

Sensitivity:
Endogenous

Source/Isotype:
Rabbit IgG

UniProt ID:
#P06734

Entrez-Gene Id:
2208

Product Usage Information

This product is the carrier free version of product #87960. All data were generated using the same antibody clone in the standard formulation which contains BSA and glycerol.

This formulation is ideal for use with technologies requiring specialized or custom antibody labeling, including fluorophores, metals, lanthanides, and oligonucleotides. It is not recommended for ChIP, ChIP-seq, CUT&RUN or CUT&Tag assays. If you require a carrier free formulation for chromatin profiling, please contact us. Optimal dilutions/concentrations should be determined by the end user.

BSA and Azide Free antibodies are quality control tested by size exclusion chromatography (SEC) to determine antibody integrity.

Formulation

Supplied in 1X PBS (10 mM Na2HPO4, 3 mM KCl, 2 mM KH2PO4, and 140 mM NaCl (pH 7.8)). BSA and Azide Free.

For standard formulation of this product see product #87960

Storage

Store at -20°C. This product will freeze at -20°C so it is recommended to aliquot into single-use vials to avoid multiple freeze/thaw cycles. A slight precipitate may be present and can be dissolved by gently vortexing. This will not interfere with antibody performance.

Specificity/Sensitivity

CD23 (E1R4G) Rabbit Monoclonal Antibody (BSA and Azide Free) recognizes endogenous levels of total CD23 protein.

Source / Purification

Monoclonal antibody is produced by immunizing animals with a synthetic peptide corresponding to residues surrounding Ala118 of human CD23 protein.

Background

CD23, also known as FcεRII, is a trimeric type II transmembrane glycoprotein member of the calcium-dependent (C-type) lectin family (1). CD23 is expressed in B and T lymphocytes, monocytes, polymorphonuclear leukocytes, follicular dendritic cells, intestinal epithelial cells, and bone marrow stromal cells (2-8). CD23 was first identified as a low-affinity receptor for IgE and the engagement of membrane bound CD23 leads to suppressed IgE production by B lymphocytes (9). CD23 can be cleaved to form a soluble protein which can drive cytokine release in monocytic cells, nitric oxide (NO) production, and the synthesis of cyclic adenosine 3′5′-monophosphate (cAMP) (10). Soluble CD23 signals through integrins, activating MAPK and NF-κB pathways (11). CD23 is a useful marker in the prognosis of neoplastic disease, is elevated in a variety of autoimmune and inflammatory conditions, and is being investigated as a therapeutic target for IgE-mediated allergy, arthritis, and B cell chronic lymphocytic leukemia (CLL) (12).

Species Reactivity

Species reactivity is determined by testing in at least one approved application (e.g., western blot).

Applications Key

IHC-P: Immunohistochemistry (Paraffin)

Cross-Reactivity Key

H: Human

Trademarks and Patents

Cell Signaling Technology is a trademark of Cell Signaling Technology, Inc.

All other trademarks are the property of their respective owners. Visit cellsignal.com/trademarks for more information.

Limited Uses

Except as otherwise expressly agreed in a writing signed by a legally authorized representative of CST, the following terms apply to Products provided by CST, its affiliates or its distributors. Any Customer's terms and conditions that are in addition to, or different from, those contained herein, unless separately accepted in writing by a legally authorized representative of CST, are rejected and are of no force or effect.

Products are labeled with For Research Use Only or a similar labeling statement and have not been approved, cleared, or licensed by the FDA or other regulatory foreign or domestic entity, for any purpose. Customer shall not use any Product for any diagnostic or therapeutic purpose, or otherwise in any manner that conflicts with its labeling statement. Products sold or licensed by CST are provided for Customer as the end-user and solely for research and development uses. Any use of Product for diagnostic, prophylactic or therapeutic purposes, or any purchase of Product for resale (alone or as a component) or other commercial purpose, requires a separate license from CST. Customer shall (a) not sell, license, loan, donate or otherwise transfer or make available any Product to any third party, whether alone or in combination with other materials, or use the Products to manufacture any commercial products, (b) not copy, modify, reverse engineer, decompile, disassemble or otherwise attempt to discover the underlying structure or technology of the Products, or use the Products for the purpose of developing any products or services that would compete with CST products or services, (c) not alter or remove from the Products any trademarks, trade names, logos, patent or copyright notices or markings, (d) use the Products solely in accordance with CST Product Terms of Sale and any applicable documentation, and (e) comply with any license, terms of service or similar agreement with respect to any third party products or services used by Customer in connection with the Products.

Orders: 877-616-CELL (2355) [email protected] Support: 877-678-TECH (8324) [email protected] Web: cellsignal.com
For Research Use Only. Not for Use in Diagnostic Procedures.

Revision 1

Cell Signaling Technology Logo
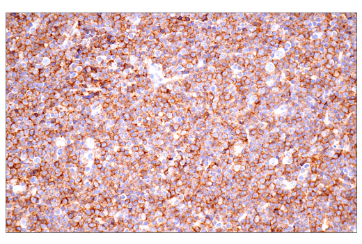
Immunohistochemical analysis of paraffin-embedded human non-Hodgkin lymphoma using CD23 (E1R4G) Rabbit mAb. Data were generated using the standard formulation of this product.
Immunohistochemistry Image 1: CD23 (E1R4G) Rabbit Monoclonal Antibody (BSA and Azide Free)
Immunohistochemical analysis of paraffin-embedded human small cell carcinoma of the salivary gland using CD23 (E1R4G) Rabbit mAb. Data were generated using the standard formulation of this product.
Immunohistochemistry Image 2: CD23 (E1R4G) Rabbit Monoclonal Antibody (BSA and Azide Free)
Immunohistochemical analysis of paraffin-embedded human B-cell non-Hodgkin lymphoma using CD23 (E1R4G) Rabbit mAb. Data were generated using the standard formulation of this product.
Immunohistochemistry Image 3: CD23 (E1R4G) Rabbit Monoclonal Antibody (BSA and Azide Free)
Orders: 877-616-CELL (2355) [email protected] Support: 877-678-TECH (8324) [email protected] Web: cellsignal.com
For Research Use Only. Not for Use in Diagnostic Procedures.

Revision 1

Cell Signaling Technology Logo
Immunohistochemical analysis of paraffin-embedded normal human lymph node using CD23 (E1R4G) Rabbit mAb. Data were generated using the standard formulation of this product.
Immunohistochemistry Image 4: CD23 (E1R4G) Rabbit Monoclonal Antibody (BSA and Azide Free)
Immunohistochemical analysis of paraffin-embedded normal human spleen using CD23 (E1R4G) Rabbit mAb (left) compared to concentration-matched Rabbit (DA1E) mAb IgG XP® Isotype Control #3900 (right). Data were generated using the standard formulation of this product.
Immunohistochemistry Image 5: CD23 (E1R4G) Rabbit Monoclonal Antibody (BSA and Azide Free)
Immunohistochemical analysis of paraffin-embedded HDLM-2 cell pellet (left, positive) or NCI-H146 cell pellet (right, negative) using CD23 (E1R4G) Rabbit mAb. Data were generated using the standard formulation of this product.
Immunohistochemistry Image 6: CD23 (E1R4G) Rabbit Monoclonal Antibody (BSA and Azide Free)
Orders: 877-616-CELL (2355) [email protected] Support: 877-678-TECH (8324) [email protected] Web: cellsignal.com
For Research Use Only. Not for Use in Diagnostic Procedures.