Revision 3

#47948

Store at -20C

CST Logo
Orders:

877-616-CELL (2355)

[email protected]

Support:

877-678-TECH (8324)

3 Trask Lane | Danvers | Massachusetts | 01923 | USA

For Research Use Only. Not for Use in Diagnostic Procedures.

Applications:
W, IP, IHC-Bond, IHC-P, IF-IC

Reactivity:
H

Sensitivity:
Endogenous

MW (kDa):
190

Source/Isotype:
Rabbit IgG

UniProt ID:
#Q9HCU0

Entrez-Gene Id:
57124

Product Usage Information

Application Dilution
Western Blotting 1:1000
Immunoprecipitation 1:50
IHC Leica Bond 1:100 - 1:400
Immunohistochemistry (Paraffin) 1:100 - 1:400
Immunofluorescence (Immunocytochemistry) 1:200 - 1:400

Storage

Supplied in 10 mM sodium HEPES (pH 7.5), 150 mM NaCl, 100 µg/ml BSA, 50% glycerol and less than 0.02% sodium azide. Store at –20°C. Do not aliquot the antibody.

For a carrier free (BSA and azide free) version of this product see product #68864.

Specificity/Sensitivity

CD248 (E9Z7O) Rabbit Monoclonal Antibody recognizes endogenous levels of total CD248 protein.

Source / Purification

Monoclonal antibody is produced by immunizing animals with a synthetic peptide corresponding to residues surrounding Pro403 of human CD248 protein.

Background

CD248, also known as Endosialin and TEM1, is a stromal cell marker expressed on activated mesenchymal cells including fibroblasts and pericytes. Not normally detectable in most adult tissues, it is highly expressed in lymphoid tissues during development, and in disease states where increased stromal cell proliferation and migration are evident (1-3). CD248 is known to be upregulated in breast cancer, brain tumors (4-6), and other malignancies including sarcoma (12), and it has been implicated in sprouting angiogenesis and vasculogenesis (7). It is thought that the CD248 gene is upregulated in response to hypoxic conditions in the tumor environment through HIF2 activation (8). Interestingly, CD248 is found to be highly expressed in activated fibroblasts. In liver fibrosis for example, CD248 marks the Hepatic Stellate Cells, the activated cells responsible for matrix production (9,10). In kidney fibrosis, CD248 marks the key effector cells within the fibrotic stroma including pericytes, myofibroblasts, and stromal fibroblasts (11), and in Idiopathic Pulmonary Fibrosis, CD248 may be a marker for severity of disease (12). CD248 has become a target of interest for pharmaceutical intervention in a wide scope of diseases (13).

Species Reactivity

Species reactivity is determined by testing in at least one approved application (e.g., western blot).

Western Blot Buffer

IMPORTANT: For western blots, incubate membrane with diluted primary antibody in 5% w/v nonfat dry milk, 1X TBS, 0.1% Tween® 20 at 4°C with gentle shaking, overnight.

Applications Key

W: Western Blotting IP: Immunoprecipitation IHC-Bond: IHC Leica Bond IHC-P: Immunohistochemistry (Paraffin) IF-IC: Immunofluorescence (Immunocytochemistry)

Cross-Reactivity Key

H: Human

Trademarks and Patents

Cell Signaling Technology is a trademark of Cell Signaling Technology, Inc.

SignalStain is a registered trademark of Cell Signaling Technology, Inc.

All other trademarks are the property of their respective owners. Visit cellsignal.com/trademarks for more information.

Limited Uses

Except as otherwise expressly agreed in a writing signed by a legally authorized representative of CST, the following terms apply to Products provided by CST, its affiliates or its distributors. Any Customer's terms and conditions that are in addition to, or different from, those contained herein, unless separately accepted in writing by a legally authorized representative of CST, are rejected and are of no force or effect.

Products are labeled with For Research Use Only or a similar labeling statement and have not been approved, cleared, or licensed by the FDA or other regulatory foreign or domestic entity, for any purpose. Customer shall not use any Product for any diagnostic or therapeutic purpose, or otherwise in any manner that conflicts with its labeling statement. Products sold or licensed by CST are provided for Customer as the end-user and solely for research and development uses. Any use of Product for diagnostic, prophylactic or therapeutic purposes, or any purchase of Product for resale (alone or as a component) or other commercial purpose, requires a separate license from CST. Customer shall (a) not sell, license, loan, donate or otherwise transfer or make available any Product to any third party, whether alone or in combination with other materials, or use the Products to manufacture any commercial products, (b) not copy, modify, reverse engineer, decompile, disassemble or otherwise attempt to discover the underlying structure or technology of the Products, or use the Products for the purpose of developing any products or services that would compete with CST products or services, (c) not alter or remove from the Products any trademarks, trade names, logos, patent or copyright notices or markings, (d) use the Products solely in accordance with CST Product Terms of Sale and any applicable documentation, and (e) comply with any license, terms of service or similar agreement with respect to any third party products or services used by Customer in connection with the Products.

Orders: 877-616-CELL (2355) [email protected] Support: 877-678-TECH (8324) [email protected] Web: cellsignal.com
For Research Use Only. Not for Use in Diagnostic Procedures.

Revision 3

Cell Signaling Technology Logo
Western blot analysis of extracts from SJSA-1 and Colo 205 cells using CD248 (E9Z7O) XP® Rabbit mAb (upper) and β-Actin (D6A8) Rabbit mAb #8457 (lower). As expected, Colo 205 cells are low or negative for CD248 expression.
Western Blotting Image 1: CD248 (E9Z7O) Rabbit Monoclonal Antibody
Immunoprecipitation of CD248 protein from SJSA-1 cell extracts. Lane 1 is 10% input, lane 2 is Rabbit (DA1E) mAb IgG XP® Isotype Control #3900, and lane 3 is CD248 (E9Z7O) XP® Rabbit mAb. Western blot analysis was performed using LAIR-1 (E7X6I) Rabbit mAb. Anti-rabbit IgG, HRP-linked Antibody #7074 was used as the secondary antibody.
Immunoprecipitation Image 1: CD248 (E9Z7O) Rabbit Monoclonal Antibody
Immunohistochemical analysis of paraffin-embedded human colon carcinoma using CD248 (E9Z7O) XP® Rabbit mAb performed on the Leica® BOND™ Rx.
Immunohistochemistry Image 1: CD248 (E9Z7O) Rabbit Monoclonal Antibody
Orders: 877-616-CELL (2355) [email protected] Support: 877-678-TECH (8324) [email protected] Web: cellsignal.com
For Research Use Only. Not for Use in Diagnostic Procedures.

Revision 3

Cell Signaling Technology Logo
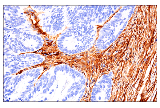
Immunohistochemical analysis of paraffin-embedded human esophageal adenocarcinoma using CD248 (E9Z7O) XP® Rabbit mAb.
Immunohistochemistry Image 1: CD248 (E9Z7O) Rabbit Monoclonal Antibody
Immunohistochemical analysis of paraffin-embedded human squamous cell lung carcinoma using CD248 (E9Z7O) XP® Rabbit mAb (left) compared to concentration-matched Rabbit (DA1E) mAb IgG XP® Isotype Control #3900 (right).
Immunohistochemistry Image 2: CD248 (E9Z7O) Rabbit Monoclonal Antibody
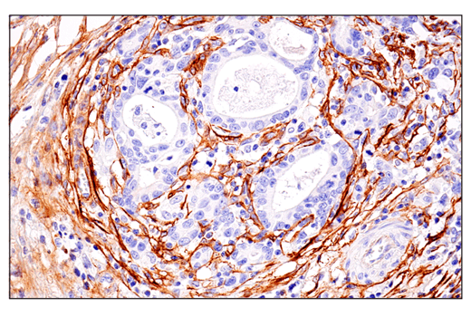
Immunohistochemical analysis of paraffin-embedded human ovarian serous carcinoma using CD248 (E9Z7O) XP® Rabbit mAb.
Immunohistochemistry Image 3: CD248 (E9Z7O) Rabbit Monoclonal Antibody
Orders: 877-616-CELL (2355) [email protected] Support: 877-678-TECH (8324) [email protected] Web: cellsignal.com
For Research Use Only. Not for Use in Diagnostic Procedures.

Revision 3

Cell Signaling Technology Logo
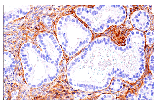
Immunohistochemical analysis of paraffin-embedded human endometrioid adenocarcinoma using CD248 (E9Z7O) XP® Rabbit mAb.
Immunohistochemistry Image 4: CD248 (E9Z7O) Rabbit Monoclonal Antibody
Immunohistochemical analysis of paraffin-embedded human salivary gland using CD248 (E9Z7O) XP® Rabbit mAb.
Immunohistochemistry Image 5: CD248 (E9Z7O) Rabbit Monoclonal Antibody
Immunohistochemical analysis of paraffin-embedded SJSA-1 cell pellet (left, positive) or Colo 205 cell pellet (right, negative) using CD248 (E9Z7O) XP® Rabbit mAb.
Immunohistochemistry Image 6: CD248 (E9Z7O) Rabbit Monoclonal Antibody
Orders: 877-616-CELL (2355) [email protected] Support: 877-678-TECH (8324) [email protected] Web: cellsignal.com
For Research Use Only. Not for Use in Diagnostic Procedures.

Revision 3

Cell Signaling Technology Logo
Confocal immunofluorescent analysis of SJSA-1 cells (left, positive) or Colo 205 cells (right, negative) using CD248 (E9Z7O) XP® Rabbit mAb (green). Actin filaments were labeled with DyLight™ 554 Phalloidin #13054 (red). Samples were mounted in ProLong® Gold Antifade Reagent with DAPI #8961 (blue).
Immunofluorescence Image 1: CD248 (E9Z7O) Rabbit Monoclonal Antibody
Orders: 877-616-CELL (2355) [email protected] Support: 877-678-TECH (8324) [email protected] Web: cellsignal.com
For Research Use Only. Not for Use in Diagnostic Procedures.