Revision 3

#71135

Store at -20C

CST Logo
Orders:

877-616-CELL (2355)

[email protected]

Support:

877-678-TECH (8324)

3 Trask Lane | Danvers | Massachusetts | 01923 | USA

For Research Use Only. Not for Use in Diagnostic Procedures.

Applications:
IHC-P, IF-F, IF-IC, FC-L

Reactivity:
M

Sensitivity:
Endogenous

Source/Isotype:
Rabbit IgG

UniProt ID:
#P41272

Entrez-Gene Id:
21940

Product Usage Information

Application Dilution
Immunohistochemistry (Paraffin) 1:500 - 1:2000
Immunofluorescence (Frozen) 1:100 - 1:400
Immunofluorescence (Immunocytochemistry) 1:100 - 1:400
Flow Cytometry (Live) 1:50 - 1:200

Storage

Supplied in 10 mM sodium HEPES (pH 7.5), 150 mM NaCl, 100 µg/mL BSA, 50% glycerol, and less than 0.02% sodium azide. Store at –20°C. Do not aliquot the antibody.

Specificity/Sensitivity

CD27 (F3R2V) Rabbit Monoclonal Antibody recognizes endogenous levels of total CD27 protein.

Source / Purification

Monoclonal antibody is produced by immunizing animals with recombinant protein specific to the extracellular domain of mouse CD27 protein.

Background

CD27 (TNFRSF7) is a transmembrane protein of the TNF receptor superfamily (TNFRSF). It is mainly expressed on lymphoid cells (also on early hematopoietic precursor cells in mice) (1,2). CD27 is considered a phenotypic marker for memory B cells and is also used to identify B regulatory (Breg) cells (3,4). It is constitutively expressed on naïve CD4 and CD8 T cells, and its expression is further upregulated upon T cell activation. CD27 is one of the two most important co-stimulatory receptors for T cell priming (the other one is CD28). While CD28 co-stimulatory signal mainly triggers cell proliferation, CD27 co-stimulatory signal primarily promotes cell survival and differentiation (5,6). Upon binding to its ligand CD70, CD27 activates the NF-κB and JNK signaling pathways through TNFR-associated factors (TRAFs), the adaptor molecules that are associated with CD27 cytoplasmic tail domain. Upon activation, CD27 is shed from the cell surface, and soluble CD27 is used as a marker of T cell activation (7,8).

Species Reactivity

Species reactivity is determined by testing in at least one approved application (e.g., western blot).

Applications Key

IHC-P: Immunohistochemistry (Paraffin) IF-F: Immunofluorescence (Frozen) IF-IC: Immunofluorescence (Immunocytochemistry) FC-L: Flow Cytometry (Live)

Cross-Reactivity Key

M: Mouse

Trademarks and Patents

Cell Signaling Technology is a trademark of Cell Signaling Technology, Inc.

All other trademarks are the property of their respective owners. Visit cellsignal.com/trademarks for more information.

Limited Uses

Except as otherwise expressly agreed in a writing signed by a legally authorized representative of CST, the following terms apply to Products provided by CST, its affiliates or its distributors. Any Customer's terms and conditions that are in addition to, or different from, those contained herein, unless separately accepted in writing by a legally authorized representative of CST, are rejected and are of no force or effect.

Products are labeled with For Research Use Only or a similar labeling statement and have not been approved, cleared, or licensed by the FDA or other regulatory foreign or domestic entity, for any purpose. Customer shall not use any Product for any diagnostic or therapeutic purpose, or otherwise in any manner that conflicts with its labeling statement. Products sold or licensed by CST are provided for Customer as the end-user and solely for research and development uses. Any use of Product for diagnostic, prophylactic or therapeutic purposes, or any purchase of Product for resale (alone or as a component) or other commercial purpose, requires a separate license from CST. Customer shall (a) not sell, license, loan, donate or otherwise transfer or make available any Product to any third party, whether alone or in combination with other materials, or use the Products to manufacture any commercial products, (b) not copy, modify, reverse engineer, decompile, disassemble or otherwise attempt to discover the underlying structure or technology of the Products, or use the Products for the purpose of developing any products or services that would compete with CST products or services, (c) not alter or remove from the Products any trademarks, trade names, logos, patent or copyright notices or markings, (d) use the Products solely in accordance with CST Product Terms of Sale and any applicable documentation, and (e) comply with any license, terms of service or similar agreement with respect to any third party products or services used by Customer in connection with the Products.

Orders: 877-616-CELL (2355) [email protected] Support: 877-678-TECH (8324) [email protected] Web: cellsignal.com
For Research Use Only. Not for Use in Diagnostic Procedures.

Revision 3

Cell Signaling Technology Logo
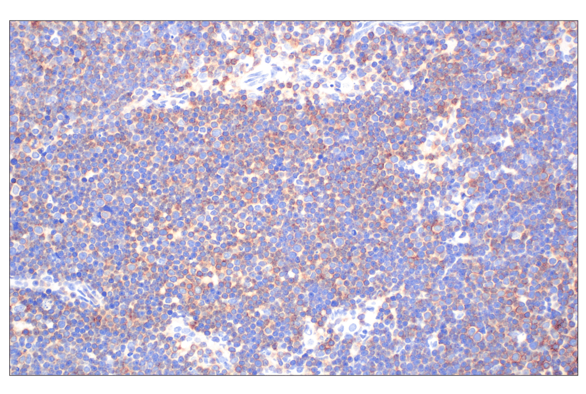
Immunohistochemical analysis of paraffin-embedded CT26.WT syngeneic tumor using CD27 (F3R2V) Rabbit mAb.
Immunohistochemistry Image 1: CD27 (F3R2V) Rabbit Monoclonal Antibody
Immunohistochemical analysis of paraffin-embedded MC-38 syngeneic tumor using CD27 (F3R2V) Rabbit mAb.
Immunohistochemistry Image 2: CD27 (F3R2V) Rabbit Monoclonal Antibody
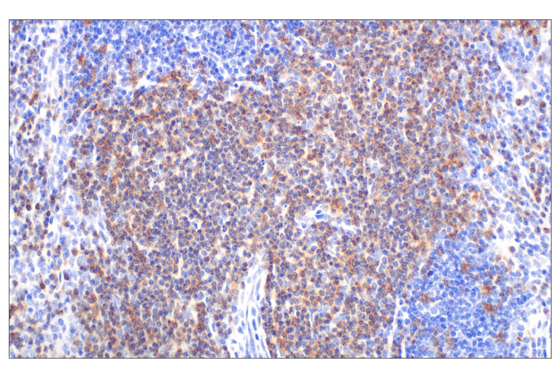
Immunohistochemical analysis of paraffin-embedded mouse spleen using CD27 (F3R2V) Rabbit mAb.
Immunohistochemistry Image 3: CD27 (F3R2V) Rabbit Monoclonal Antibody
Orders: 877-616-CELL (2355) [email protected] Support: 877-678-TECH (8324) [email protected] Web: cellsignal.com
For Research Use Only. Not for Use in Diagnostic Procedures.

Revision 3

Cell Signaling Technology Logo
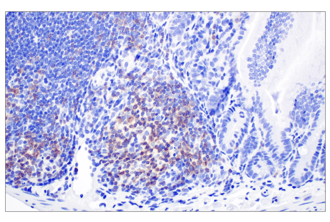
Immunohistochemical analysis of a peyer's patch within paraffin-embedded mouse small intestine using CD27 (F3R2V) Rabbit mAb.
Immunohistochemistry Image 4: CD27 (F3R2V) Rabbit Monoclonal Antibody
Immunohistochemical analysis of paraffin-embedded mouse thymus using CD27 (F3R2V) Rabbit mAb.
Immunohistochemistry Image 5: CD27 (F3R2V) Rabbit Monoclonal Antibody
Immunohistochemical analysis of paraffin-embedded mouse spleen using CD27 (F3R2V) Rabbit mAb (left) or a CD27 Rabbit mAb (right). These two antibodies detect unique, non-overlapping epitopes on CD27. The similar staining patterns obtained with both antibodies help to confirm the specificity of the staining.
Immunohistochemistry Image 6: CD27 (F3R2V) Rabbit Monoclonal Antibody
Orders: 877-616-CELL (2355) [email protected] Support: 877-678-TECH (8324) [email protected] Web: cellsignal.com
For Research Use Only. Not for Use in Diagnostic Procedures.

Revision 3

Cell Signaling Technology Logo
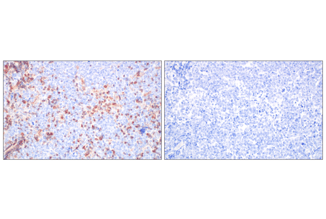
Immunohistochemical analysis of paraffin-embedded A20 syngeneic tumor using CD27 (F3R2V) Rabbit mAb (left) compared to concentration-matched Rabbit (DA1E) mAb IgG XP® Isotype Control #3900 (right).
Immunohistochemistry Image 7: CD27 (F3R2V) Rabbit Monoclonal Antibody
Immunohistochemical analysis of paraffin-embedded 293T cell pellet, untransfected (left) or mouse cd27-transfected (right), using CD27 (F3R2V) Rabbit mAb.
Immunohistochemistry Image 8: CD27 (F3R2V) Rabbit Monoclonal Antibody
Confocal immunofluorescent analysis of fixed frozen mouse CT26.WT syngeneic tumor labeled with CD27 (F3R2V) Rabbit mAb (left, red) and co-labeled with Ly-6G/Ly-6C (Gr-1) (RB6-8C5) Rat mAb (FITC Conjugate) #68590 (right, green), CD3 (17A2) Rat mAb (APC Conjugate) #24265 (right, blue), and ProLong Gold Antifade Reagent with DAPI #8961 (right, gray pseudocolor).
Immunofluorescence Image 1: CD27 (F3R2V) Rabbit Monoclonal Antibody
Orders: 877-616-CELL (2355) [email protected] Support: 877-678-TECH (8324) [email protected] Web: cellsignal.com
For Research Use Only. Not for Use in Diagnostic Procedures.

Revision 3

Cell Signaling Technology Logo
Confocal immunofluorescent analysis of fixed frozen mouse spleen labeled with CD27 (F3R2V) Rabbit mAb (left, red) and co-labeled with CD3 (17A2) Rat mAb (APC Conjugate) #24265 (right, blue).
Immunofluorescence Image 2: CD27 (F3R2V) Rabbit Monoclonal Antibody
Confocal immunofluorescent analysis of fixed frozen mouse thymus labeled with CD27 (F3R2V) Rabbit mAb (left, red) and co-labeled with CD3 (17A2) Rat mAb (APC Conjugate) #24265 (right, blue).
Immunofluorescence Image 3: CD27 (F3R2V) Rabbit Monoclonal Antibody
Confocal immunofluorescent analysis of mouse splenocytes using CD27 (F3R2V) Rabbit mAb (green) and DAPI #4083 (blue).
Immunofluorescence Image 1: CD27 (F3R2V) Rabbit Monoclonal Antibody
Orders: 877-616-CELL (2355) [email protected] Support: 877-678-TECH (8324) [email protected] Web: cellsignal.com
For Research Use Only. Not for Use in Diagnostic Procedures.

Revision 3

Cell Signaling Technology Logo
Flow cytometric analysis of live mouse splenocytes using CD27 (F3R2V) Rabbit mAb (right) or concentration-matched Rabbit (DA1E) mAb IgG XP® Isotype Control #3900 (left), co-stained with CD3 (17A2) Rat mAb (PE Conjugate) #28306. Anti-rabbit IgG (H+L), F(ab')2 Fragment (Alexa Fluor® 488 Conjugate) #4412 was used as a secondary antibody.
Flow Cytometry Image 1: CD27 (F3R2V) Rabbit Monoclonal Antibody
Flow cytometric analysis of live mouse splenocytes using CD27 (F3R2V) Rabbit mAb (right) or concentration-matched Rabbit (DA1E) mAb IgG XP® Isotype Control #3900 (left), co-stained with CD19 (1D3) Rat mAb (violetFluor 450 Conjugate) #54508. Anti-rabbit IgG (H+L), F(ab')2 Fragment (Alexa Fluor® 488 Conjugate) #4412 was used as a secondary antibody.
Flow Cytometry Image 2: CD27 (F3R2V) Rabbit Monoclonal Antibody
Flow cytometric analysis of live A20 cells (blue, negative) and EL4 cells (green, positive) using CD27 (F3R2V) Rabbit mAb (solid lines) or concentration-matched Rabbit (DA1E) mAb IgG XP® Isotype Control #3900 (dashed lines). Anti-rabbit IgG (H+L), F(ab')2 Fragment (Alexa Fluor® 488 Conjugate) #4412 was used as a secondary antibody.
Flow Cytometry Image 3: CD27 (F3R2V) Rabbit Monoclonal Antibody
Orders: 877-616-CELL (2355) [email protected] Support: 877-678-TECH (8324) [email protected] Web: cellsignal.com
For Research Use Only. Not for Use in Diagnostic Procedures.