Revision 5

#38774

Store at -20C

CST Logo
Orders:

877-616-CELL (2355)

[email protected]

Support:

877-678-TECH (8324)

3 Trask Lane | Danvers | Massachusetts | 01923 | USA

For Research Use Only. Not for Use in Diagnostic Procedures.

Applications:
W, IP, IHC-Bond, IHC-P, IF-F

Reactivity:
H M

Sensitivity:
Endogenous

MW (kDa):
14, 40-60

Source/Isotype:
Rabbit IgG

UniProt ID:
#P10747

Entrez-Gene Id:
940

Product Usage Information

Application Dilution
Western Blotting 1:1000
Immunoprecipitation 1:50
IHC Leica Bond 1:400 - 1:1600
Immunohistochemistry (Paraffin) 1:50 - 1:200
Immunofluorescence (Frozen) 1:50

Storage

Supplied in 10 mM sodium HEPES (pH 7.5), 150 mM NaCl, 100 µg/ml BSA, 50% glycerol and less than 0.02% sodium azide. Store at –20°C. Do not aliquot the antibody.

For a carrier free (BSA and azide free) version of this product see product #87823.

Specificity/Sensitivity

CD28 (D2Z4E) Rabbit Monoclonal Antibody recognizes endogenous levels of total CD28 protein and is predicted to react with multiple CD28 isoforms that are produced through alternative splicing. This antibody cross-reacts with 16 kDa and 100 kDa proteins of unknown origin in some mouse cells. Non-specific staining was observed in mouse testis by immunohistochemistry.

Source / Purification

Monoclonal antibody is produced by immunizing animals with a synthetic peptide corresponding to residues surrounding Pro208 of human CD28 protein.

Background

CD28 is a transmembrane glycoprotein expressed by T cells as well as some other hematopoietic cells (1,2). T cell activation requires T cell receptor (TCR) recognition of antigen presented in the context of MHC molecules. CD28 acts as a T cell costimulatory receptor, and interaction of CD28 with its ligands CD80 or CD86 provides the second signal required for naïve T cell activation (3-5). Activation of naïve T cells in the absence of CD28 stimulation can result in a state of T cell anergy, or unresponsiveness (3). CD28 signals through cytoplasmic phospho-tyrosine motifs that bind several SH2 or SH3 domain-containing proteins involved in T cell activation (2). Recently, CD28 was demonstrated to be a preferred target of PD-1-mediated dephosphorylation. Consistently, CD28 expression was required for T cell proliferation following PD-1 blockade and CD28 stimulation was required for effective anti-PD-1 cancer immunotherapy in mice (6,7). Several CD28 isoforms are produced by alternative splicing (8).

Species Reactivity

Species reactivity is determined by testing in at least one approved application (e.g., western blot).

Western Blot Buffer

IMPORTANT: For western blots, incubate membrane with diluted primary antibody in 5% w/v BSA, 1X TBS, 0.1% Tween® 20 at 4°C with gentle shaking, overnight.

Applications Key

W: Western Blotting IP: Immunoprecipitation IHC-Bond: IHC Leica Bond IHC-P: Immunohistochemistry (Paraffin) IF-F: Immunofluorescence (Frozen)

Cross-Reactivity Key

H: Human M: Mouse

Trademarks and Patents

Cell Signaling Technology is a trademark of Cell Signaling Technology, Inc.

All other trademarks are the property of their respective owners. Visit cellsignal.com/trademarks for more information.

Limited Uses

Except as otherwise expressly agreed in a writing signed by a legally authorized representative of CST, the following terms apply to Products provided by CST, its affiliates or its distributors. Any Customer's terms and conditions that are in addition to, or different from, those contained herein, unless separately accepted in writing by a legally authorized representative of CST, are rejected and are of no force or effect.

Products are labeled with For Research Use Only or a similar labeling statement and have not been approved, cleared, or licensed by the FDA or other regulatory foreign or domestic entity, for any purpose. Customer shall not use any Product for any diagnostic or therapeutic purpose, or otherwise in any manner that conflicts with its labeling statement. Products sold or licensed by CST are provided for Customer as the end-user and solely for research and development uses. Any use of Product for diagnostic, prophylactic or therapeutic purposes, or any purchase of Product for resale (alone or as a component) or other commercial purpose, requires a separate license from CST. Customer shall (a) not sell, license, loan, donate or otherwise transfer or make available any Product to any third party, whether alone or in combination with other materials, or use the Products to manufacture any commercial products, (b) not copy, modify, reverse engineer, decompile, disassemble or otherwise attempt to discover the underlying structure or technology of the Products, or use the Products for the purpose of developing any products or services that would compete with CST products or services, (c) not alter or remove from the Products any trademarks, trade names, logos, patent or copyright notices or markings, (d) use the Products solely in accordance with CST Product Terms of Sale and any applicable documentation, and (e) comply with any license, terms of service or similar agreement with respect to any third party products or services used by Customer in connection with the Products.

Orders: 877-616-CELL (2355) [email protected] Support: 877-678-TECH (8324) [email protected] Web: cellsignal.com
For Research Use Only. Not for Use in Diagnostic Procedures.

Revision 5

Cell Signaling Technology Logo
Western blot analysis of extracts from various cell lines and primary cells using CD28 (D2Z4E) Rabbit mAb (upper) or β-Actin (D6A8) Rabbit mAb #8457 (lower).
Western Blotting Image 1: CD28 (D2Z4E) Rabbit Monoclonal Antibody
Immunoprecipitation of CD28 from Jurkat cell extracts. Lane 1 is 10% input, lane 2 is Rabbit (DA1E) IgG XP® Isotype Control #3900, and lane 3 is CD28 (D2Z4E) Rabbit mAb.
Immunoprecipitation Image 1: CD28 (D2Z4E) Rabbit Monoclonal Antibody
Immunohistochemical analysis of paraffin-embedded human non-Hodgkin lymphoma using CD28 (D2Z4E) Rabbit mAb performed on the Leica BOND RX.
Immunohistochemistry Image 1: CD28 (D2Z4E) Rabbit Monoclonal Antibody
Orders: 877-616-CELL (2355) [email protected] Support: 877-678-TECH (8324) [email protected] Web: cellsignal.com
For Research Use Only. Not for Use in Diagnostic Procedures.

Revision 5

Cell Signaling Technology Logo
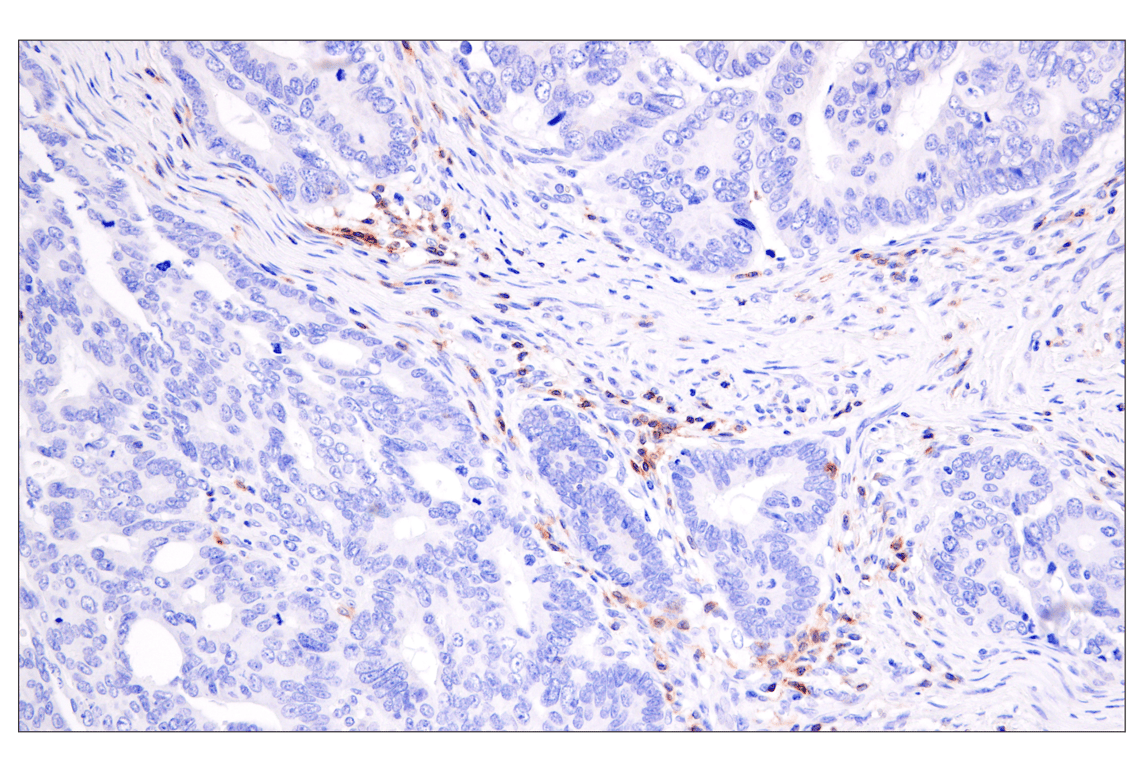
Immunohistochemical analysis of paraffin-embedded human colon carcinoma using CD28 (D2Z4E) Rabbit mAb.
Immunohistochemistry Image 1: CD28 (D2Z4E) Rabbit Monoclonal Antibody
Immunohistochemical analysis of paraffin-embedded mouse spleen using CD28 (D2Z4E) Rabbit mAb.
Immunohistochemistry Image 2: CD28 (D2Z4E) Rabbit Monoclonal Antibody
Immunohistochemical analysis of paraffin-embedded mouse stomach using CD28 (D2Z4E) Rabbit mAb.
Immunohistochemistry Image 3: CD28 (D2Z4E) Rabbit Monoclonal Antibody
Orders: 877-616-CELL (2355) [email protected] Support: 877-678-TECH (8324) [email protected] Web: cellsignal.com
For Research Use Only. Not for Use in Diagnostic Procedures.

Revision 5

Cell Signaling Technology Logo
Immunohistochemical analysis of paraffin-embedded mouse colon using CD28 (D2Z4E) Rabbit mAb.
Immunohistochemistry Image 4: CD28 (D2Z4E) Rabbit Monoclonal Antibody
Immunohistochemical analysis of paraffin-embedded mouse small intestine using CD28 (D2Z4E) Rabbit mAb.
Immunohistochemistry Image 5: CD28 (D2Z4E) Rabbit Monoclonal Antibody
Immunohistochemical analysis of paraffin-embedded human follicular hyperplasia of the tonsil (left) and serous papillary carcinoma of the ovary (right) using CD28 (D2Z4E) Rabbit mAb (top) or CD28 Mouse mAb (bottom). These two antibodies detect unique, non-overlapping epitopes on CD28. The similar staining patterns obtained with both antibodies help to confirm the specificity of the staining.
Immunohistochemistry Image 6: CD28 (D2Z4E) Rabbit Monoclonal Antibody
Orders: 877-616-CELL (2355) [email protected] Support: 877-678-TECH (8324) [email protected] Web: cellsignal.com
For Research Use Only. Not for Use in Diagnostic Procedures.

Revision 5

Cell Signaling Technology Logo
Immunohistochemical analysis of paraffin-embedded human tonsil using CD28 (D2Z4E) Rabbit mAb (left) compared to concentration-matched Rabbit (DA1E) mAb IgG XP® Isotype Control #3900 (right).
Immunohistochemistry Image 7: CD28 (D2Z4E) Rabbit Monoclonal Antibody
Immunohistochemical analysis of paraffin-embedded RPMI 8226 cell pellet (left, positive) or THP-1 cell pellet (right, negative) using CD28 (D2Z4E) Rabbit mAb.
Immunohistochemistry Image 8: CD28 (D2Z4E) Rabbit Monoclonal Antibody
Confocal immunofluorescent analysis of mouse spleen (left) and pancreas (right) using CD28 (D2Z4E) Rabbit mAb #38774. Actin filaments were labeled with DyLight™ 554 Phalloidin #13054 (red). Samples were mounted in ProLong® Gold Antifade Reagent with DAPI #8961 (blue).
Immunofluorescence Image 1: CD28 (D2Z4E) Rabbit Monoclonal Antibody
Orders: 877-616-CELL (2355) [email protected] Support: 877-678-TECH (8324) [email protected] Web: cellsignal.com
For Research Use Only. Not for Use in Diagnostic Procedures.