Revision 5

#78588

Store at -20C

CST Logo
Orders:

877-616-CELL (2355)

[email protected]

Support:

877-678-TECH (8324)

3 Trask Lane | Danvers | Massachusetts | 01923 | USA

For Research Use Only. Not for Use in Diagnostic Procedures.

Applications:
W, IP, IHC-Bond, IHC-P, IF-F

Reactivity:
M

Sensitivity:
Endogenous

MW (kDa):
23

Source/Isotype:
Rabbit IgG

UniProt ID:
#P22646

Entrez-Gene Id:
12501

Product Usage Information

Application Dilution
Western Blotting 1:1000
Immunoprecipitation 1:100
IHC Leica Bond 1:400 - 1:1600
Immunohistochemistry (Paraffin) 1:100 - 1:400
Immunofluorescence (Frozen) 1:400 - 1:1600

Storage

Supplied in 10 mM sodium HEPES (pH 7.5), 150 mM NaCl, 100 µg/ml BSA, 50% glycerol and less than 0.02% sodium azide. Store at –20°C. Do not aliquot the antibody.

For a carrier free (BSA and azide free) version of this product see product #73484.

Specificity/Sensitivity

CD3 epsilon (E4T1B) Rabbit Monoclonal Antibody recognizes endogenous levels of total CD3ε protein.

Source / Purification

Monoclonal antibody is produced by immunizing animals with a synthetic peptide corresponding to residues surrounding Leu50 of mouse CD3ε protein.

Background

When T cells encounter antigens via the T cell receptor (TCR), information about the quantity and quality of antigens is relayed to the intracellular signal transduction machinery (1). This activation process depends mainly on CD3 (Cluster of Differentiation 3), a multiunit protein complex that directly associates with the TCR. CD3 is composed of four polypeptides: ζ, γ, ε, and δ. Each of these polypeptides contains at least one immunoreceptor tyrosine-based activation motif (ITAM) (2). Engagement of the TCR complex with foreign antigens induces tyrosine phosphorylation in the ITAM motifs and phosphorylated ITAMs function as docking sites for signaling molecules such as ZAP-70 and the p85 subunit of PI-3 kinase (3,4). TCR ligation also induces a conformational change in CD3ε, such that a proline region is exposed and then associates with the adaptor protein Nck (5).

Species Reactivity

Species reactivity is determined by testing in at least one approved application (e.g., western blot).

Western Blot Buffer

IMPORTANT: For western blots, incubate membrane with diluted primary antibody in 5% w/v BSA, 1X TBS, 0.1% Tween® 20 at 4°C with gentle shaking, overnight.

Applications Key

W: Western Blotting IP: Immunoprecipitation IHC-Bond: IHC Leica Bond IHC-P: Immunohistochemistry (Paraffin) IF-F: Immunofluorescence (Frozen)

Cross-Reactivity Key

M: Mouse

Trademarks and Patents

Cell Signaling Technology is a trademark of Cell Signaling Technology, Inc.

Alexa Fluor is a registered trademark of Life Technologies Corporation.

All other trademarks are the property of their respective owners. Visit cellsignal.com/trademarks for more information.

Limited Uses

Except as otherwise expressly agreed in a writing signed by a legally authorized representative of CST, the following terms apply to Products provided by CST, its affiliates or its distributors. Any Customer's terms and conditions that are in addition to, or different from, those contained herein, unless separately accepted in writing by a legally authorized representative of CST, are rejected and are of no force or effect.

Products are labeled with For Research Use Only or a similar labeling statement and have not been approved, cleared, or licensed by the FDA or other regulatory foreign or domestic entity, for any purpose. Customer shall not use any Product for any diagnostic or therapeutic purpose, or otherwise in any manner that conflicts with its labeling statement. Products sold or licensed by CST are provided for Customer as the end-user and solely for research and development uses. Any use of Product for diagnostic, prophylactic or therapeutic purposes, or any purchase of Product for resale (alone or as a component) or other commercial purpose, requires a separate license from CST. Customer shall (a) not sell, license, loan, donate or otherwise transfer or make available any Product to any third party, whether alone or in combination with other materials, or use the Products to manufacture any commercial products, (b) not copy, modify, reverse engineer, decompile, disassemble or otherwise attempt to discover the underlying structure or technology of the Products, or use the Products for the purpose of developing any products or services that would compete with CST products or services, (c) not alter or remove from the Products any trademarks, trade names, logos, patent or copyright notices or markings, (d) use the Products solely in accordance with CST Product Terms of Sale and any applicable documentation, and (e) comply with any license, terms of service or similar agreement with respect to any third party products or services used by Customer in connection with the Products.

Orders: 877-616-CELL (2355) [email protected] Support: 877-678-TECH (8324) [email protected] Web: cellsignal.com
For Research Use Only. Not for Use in Diagnostic Procedures.

Revision 5

Cell Signaling Technology Logo
Western blot analysis of extracts from mouse CD4+ T cells, EL4, and C2C12 cells using CD3ε (E4T1B) XP® Rabbit mAb (upper) and β-Actin (D6A8) Rabbit mAb #8457 (lower). CD4+ T cells were purified from mouse spleens and stimulated for 9 days using beads coated with mouse CD3 and CD28 antibodies in the presence of Mouse Interleukin-2 (mIL-2) #5201 (20 ng/ml).
Western Blotting Image 1: CD3 epsilon (E4T1B) Rabbit Monoclonal Antibody
Immunoprecipitation of CD3ε protein from EL4 cell extracts. Lane 1 is 10% input, lane 2 is Rabbit (DA1E) mAb IgG XP® Isotype Control #3900, and lane 3 is CD3ε (E4T1B) XP® Rabbit mAb. Western blot analysis was performed using CD3ε (E4T1B) XP® Rabbit mAb.
Immunoprecipitation Image 1: CD3 epsilon (E4T1B) Rabbit Monoclonal Antibody
Immunohistochemical analysis of paraffin-embedded mouse lung using CD3ε (E4T1B) XP® Rabbit mAb performed on the Leica® BOND™ Rx.
Immunohistochemistry Image 1: CD3 epsilon (E4T1B) Rabbit Monoclonal Antibody
Orders: 877-616-CELL (2355) [email protected] Support: 877-678-TECH (8324) [email protected] Web: cellsignal.com
For Research Use Only. Not for Use in Diagnostic Procedures.

Revision 5

Cell Signaling Technology Logo
Immunohistochemical analysis of paraffin-embedded 4T1 syngeneic mammary tumor using CD3ε (E4T1B) XP® Rabbit mAb.
Immunohistochemistry Image 1: CD3 epsilon (E4T1B) Rabbit Monoclonal Antibody
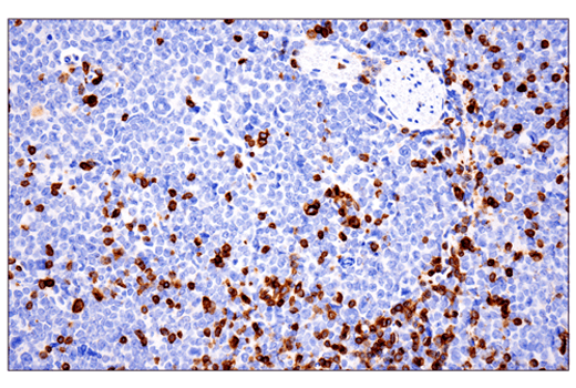
Immunohistochemical analysis of paraffin-embedded A20 syngeneic tumor using CD3ε (E4T1B) XP® Rabbit mAb.
Immunohistochemistry Image 2: CD3 epsilon (E4T1B) Rabbit Monoclonal Antibody
Immunohistochemical analysis of paraffin-embedded MC38 syngeneic tumor using CD3ε (E4T1B) XP® Rabbit mAb.
Immunohistochemistry Image 3: CD3 epsilon (E4T1B) Rabbit Monoclonal Antibody
Orders: 877-616-CELL (2355) [email protected] Support: 877-678-TECH (8324) [email protected] Web: cellsignal.com
For Research Use Only. Not for Use in Diagnostic Procedures.

Revision 5

Cell Signaling Technology Logo
Immunohistochemical analysis of paraffin-embedded mouse small intestine using CD3ε (E4T1B) XP® Rabbit mAb (left) compared to concentration-matched Rabbit (DA1E) mAb IgG XP® Isotype Control #3900 (right).
Immunohistochemistry Image 4: CD3 epsilon (E4T1B) Rabbit Monoclonal Antibody
Confocal immunofluorescent analysis of mouse spleen (left, positive) or pancreas (right, negative) using CD3ε (E4T1B) XP® Rabbit mAb (red). After blocking free secondary antibody binding sites with Rabbit (DA1E) mAb IgG XP® Isotype Control #3900, the tissue was then labeled using HS1 (D5A9) XP® Rabbit mAb (Rodent Specific) (Alexa Fluor® 488 Conjugate) #68206 (green). Sections were mounted in ProLong® Gold Antifade Reagent with DAPI #8961 (blue).
Immunofluorescence Image 1: CD3 epsilon (E4T1B) Rabbit Monoclonal Antibody
Orders: 877-616-CELL (2355) [email protected] Support: 877-678-TECH (8324) [email protected] Web: cellsignal.com
For Research Use Only. Not for Use in Diagnostic Procedures.