Revision 10

#85873

Store at -20C

CST Logo
Orders:

877-616-CELL (2355)

[email protected]

Support:

877-678-TECH (8324)

3 Trask Lane | Danvers | Massachusetts | 01923 | USA

For Research Use Only. Not for Use in Diagnostic Procedures.

Applications:
W, IHC-P, IF-IC, ELISA+

Reactivity:
H

Sensitivity:
Endogenous

MW (kDa):
130

Source/Isotype:
Mouse IgG1 kappa

UniProt ID:
#P16284

Entrez-Gene Id:
5175

Product Usage Information

This product is the carrier free version of product #3528. All data were generated using the same antibody clone in the standard formulation which contains BSA and glycerol.

This formulation is ideal for use with technologies requiring specialized or custom antibody labeling, including fluorophores, metals, lanthanides, and oligonucleotides. It is not recommended for ChIP, ChIP-seq, CUT&RUN, or CUT&Tag assays. If you require a carrier-free formulation for chromatin profiling, please contact us. Optimal dilutions/concentrations should be determined by the end user.

BSA and Azide Free antibodies are quality control tested by size exclusion chromatography (SEC) to determine antibody integrity.

Formulation

Supplied in 1X PBS (10 mM Na2HPO4, 3 mM KCl, 2 mM KH2PO4, and 140 mM NaCl (pH 7.8)). BSA and Azide Free.

For standard formulation of this product see product #3528.

Storage

Store at -20°C. This product will freeze at -20°C so it is recommended to aliquot into single-use vials to avoid multiple freeze/thaw cycles. A slight precipitate may be present and can be dissolved by gently vortexing. This will not interfere with antibody performance.

Specificity/Sensitivity

CD31 (PECAM-1) (89C2) Mouse Monoclonal Antibody (BSA and Azide Free) detects endogenous levels of total CD31 protein. This antibody does not cross-react with other related proteins.

Source / Purification

Monoclonal antibody is produced by immunizing animals with recombinant human CD31 protein.

Background

CD31 (Platelet Endothelial Cell Adhesion Molecule-1: PECAM-1), a member of the Ig superfamily of cell adhesion molecules, is expressed by circulating platelets, monocytes, neutrophils, some T cells, and endothelial cells and modulates cell adhesion, endothelial cell migration, and angiogenesis (1). CD31 is phosphorylated on Tyr686 at the cytoplasmic carboxy-terminal tail upon various stimuli (e.g. mechanical or oxidative stress), presumably by Src family members (2). The tyrosine phosphorylation mediates associations with a number of SH2 domain-containing binding partners such as PI3 kinase, SHIP, PLCγ, and SHP-2. Thus, CD31 serves as a scaffold for various signaling molecules (3).

Species Reactivity

Species reactivity is determined by testing in at least one approved application (e.g., western blot).

Applications Key

W: Western Blotting IHC-P: Immunohistochemistry (Paraffin) IF-IC: Immunofluorescence (Immunocytochemistry) ELISA+: ELISA and/or ELISA-like Assays

Cross-Reactivity Key

H: Human

Trademarks and Patents

Cell Signaling Technology is a trademark of Cell Signaling Technology, Inc.

All other trademarks are the property of their respective owners. Visit cellsignal.com/trademarks for more information.

Limited Uses

Except as otherwise expressly agreed in a writing signed by a legally authorized representative of CST, the following terms apply to Products provided by CST, its affiliates or its distributors. Any Customer's terms and conditions that are in addition to, or different from, those contained herein, unless separately accepted in writing by a legally authorized representative of CST, are rejected and are of no force or effect.

Products are labeled with For Research Use Only or a similar labeling statement and have not been approved, cleared, or licensed by the FDA or other regulatory foreign or domestic entity, for any purpose. Customer shall not use any Product for any diagnostic or therapeutic purpose, or otherwise in any manner that conflicts with its labeling statement. Products sold or licensed by CST are provided for Customer as the end-user and solely for research and development uses. Any use of Product for diagnostic, prophylactic or therapeutic purposes, or any purchase of Product for resale (alone or as a component) or other commercial purpose, requires a separate license from CST. Customer shall (a) not sell, license, loan, donate or otherwise transfer or make available any Product to any third party, whether alone or in combination with other materials, or use the Products to manufacture any commercial products, (b) not copy, modify, reverse engineer, decompile, disassemble or otherwise attempt to discover the underlying structure or technology of the Products, or use the Products for the purpose of developing any products or services that would compete with CST products or services, (c) not alter or remove from the Products any trademarks, trade names, logos, patent or copyright notices or markings, (d) use the Products solely in accordance with CST Product Terms of Sale and any applicable documentation, and (e) comply with any license, terms of service or similar agreement with respect to any third party products or services used by Customer in connection with the Products.

Orders: 877-616-CELL (2355) [email protected] Support: 877-678-TECH (8324) [email protected] Web: cellsignal.com
For Research Use Only. Not for Use in Diagnostic Procedures.

Revision 10

Cell Signaling Technology Logo
Western blot analysis of extracts from HUVEC cells using CD31 (PECAM-1) (89C2) Mouse mAb. Data were generated using the standard formulation of this product.
Western Blotting Image 1: CD31 (PECAM-1) (89C2) Mouse Monoclonal Antibody (BSA and Azide Free)
Immunohistochemical analysis of paraffin-embedded human urothelial carcinoma using CD31 (PECAM-1) (89C2) Mouse mAb. Data were generated using the standard formulation of this product.
Immunohistochemistry Image 1: CD31 (PECAM-1) (89C2) Mouse Monoclonal Antibody (BSA and Azide Free)
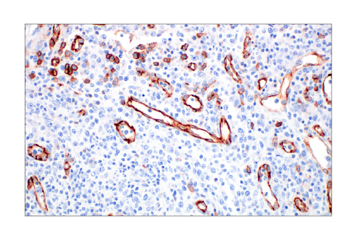
Immunohistochemical analysis of paraffin-embedded human colon adenocarcinoma using CD31 (PECAM-1) (89C2) Mouse mAb. Data were generated using the standard formulation of this product.
Immunohistochemistry Image 2: CD31 (PECAM-1) (89C2) Mouse Monoclonal Antibody (BSA and Azide Free)
Orders: 877-616-CELL (2355) [email protected] Support: 877-678-TECH (8324) [email protected] Web: cellsignal.com
For Research Use Only. Not for Use in Diagnostic Procedures.

Revision 10

Cell Signaling Technology Logo
Immunohistochemical analysis of paraffin-embedded human non-small cell lung carcinoma using CD31 (PECAM-1) (89C2) Mouse mAb. Data were generated using the standard formulation of this product.
Immunohistochemistry Image 3: CD31 (PECAM-1) (89C2) Mouse Monoclonal Antibody (BSA and Azide Free)
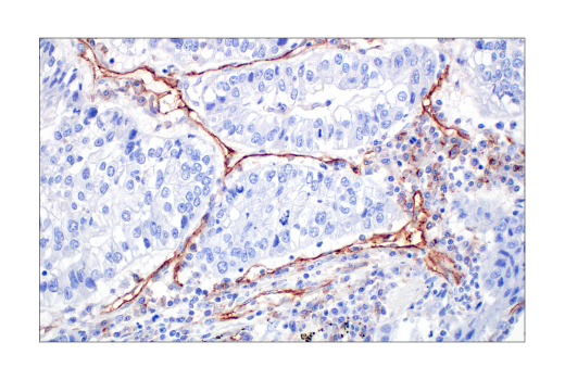
Immunohistochemical analysis of paraffin-embedded human T-cell lymphoma using CD31 (PECAM-1) (89C2) Mouse mAb. Data were generated using the standard formulation of this product.
Immunohistochemistry Image 4: CD31 (PECAM-1) (89C2) Mouse Monoclonal Antibody (BSA and Azide Free)
Immunohistochemical analysis of paraffin-embedded human capillary hemangioma using CD31 (PECAM-1) (89C2) Mouse mAb. Data were generated using the standard formulation of this product.
Immunohistochemistry Image 5: CD31 (PECAM-1) (89C2) Mouse Monoclonal Antibody (BSA and Azide Free)
Orders: 877-616-CELL (2355) [email protected] Support: 877-678-TECH (8324) [email protected] Web: cellsignal.com
For Research Use Only. Not for Use in Diagnostic Procedures.

Revision 10

Cell Signaling Technology Logo
Immunohistochemical analysis of paraffin-embedded human clear cell carcinoma using CD31 (PECAM-1) (89C2) Mouse mAb. Data were generated using the standard formulation of this product.
Immunohistochemistry Image 6: CD31 (PECAM-1) (89C2) Mouse Monoclonal Antibody (BSA and Azide Free)
Immunohistochemical analysis of paraffin-embedded human smooth muscle using CD31 (PECAM-1) (89C2) Mouse mAb. Data were generated using the standard formulation of this product.
Immunohistochemistry Image 7: CD31 (PECAM-1) (89C2) Mouse Monoclonal Antibody (BSA and Azide Free)
Immunohistochemical analysis of paraffin-embedded HUVEC pellets using CD31 (PECAM-1) (89C2) Mouse mAb. Data were generated using the standard formulation of this product.
Immunohistochemistry Image 8: CD31 (PECAM-1) (89C2) Mouse Monoclonal Antibody (BSA and Azide Free)
Orders: 877-616-CELL (2355) [email protected] Support: 877-678-TECH (8324) [email protected] Web: cellsignal.com
For Research Use Only. Not for Use in Diagnostic Procedures.

Revision 10

Cell Signaling Technology Logo
Confocal immunofluorescent analysis of HUVEC (left, positive) and HeLa cells (right, negative) using CD31 (PECAM-1) (89C2) Mouse mAb (green), DyLight™ 554 Phalloidin #13054 (red), and DRAQ5® #4084 (blue). Data were generated using the standard formulation of this product.
Immunofluorescence Image 1: CD31 (PECAM-1) (89C2) Mouse Monoclonal Antibody (BSA and Azide Free)
Data using Total CD31 (PECAM-1) Matched Antibody Pair #16537 are shown. The two antibodies function as a capture-target-detection sandwich (#85873 and #89852, respectively) to detect endogenous expression of protein in various cell lines, as shown in the figure.
ELISA and/or ELISA-like Assays Image 1: CD31 (PECAM-1) (89C2) Mouse Monoclonal Antibody (BSA and Azide Free)
Orders: 877-616-CELL (2355) [email protected] Support: 877-678-TECH (8324) [email protected] Web: cellsignal.com
For Research Use Only. Not for Use in Diagnostic Procedures.