Revision 7

#3528

Store at -20C

CST Logo
Orders:

877-616-CELL (2355)

[email protected]

Support:

877-678-TECH (8324)

3 Trask Lane | Danvers | Massachusetts | 01923 | USA

For Research Use Only. Not for Use in Diagnostic Procedures.

Applications:
W, IP, IHC-P, IF-IC

Reactivity:
H

Sensitivity:
Endogenous

MW (kDa):
130

Source/Isotype:
Mouse IgG1

UniProt ID:
#P16284

Entrez-Gene Id:
5175

Product Usage Information

Application Dilution
Western Blotting 1:1000
Immunoprecipitation 1:50
Immunohistochemistry (Paraffin) 1:800 - 1:3200
Immunofluorescence (Immunocytochemistry) 1:800 - 1:3200

Storage

Supplied in 10 mM sodium HEPES (pH 7.5), 150 mM NaCl, 100 µg/ml BSA, 50% glycerol and less than 0.02% sodium azide. Store at –20°C. Do not aliquot the antibody.

For a carrier free (BSA and azide free) version of this product see product #85873.

Specificity/Sensitivity

CD31 (PECAM-1) (89C2) Mouse Monoclonal Antibody detects endogenous levels of total CD31 protein. This antibody does not cross-react with other related proteins.

Source / Purification

Monoclonal antibody is produced by immunizing animals with recombinant human CD31 protein.

Background

CD31 (Platelet Endothelial Cell Adhesion Molecule-1: PECAM-1), a member of the Ig superfamily of cell adhesion molecules, is expressed by circulating platelets, monocytes, neutrophils, some T cells, and endothelial cells and modulates cell adhesion, endothelial cell migration, and angiogenesis (1). CD31 is phosphorylated on Tyr686 at the cytoplasmic carboxy-terminal tail upon various stimuli (e.g. mechanical or oxidative stress), presumably by Src family members (2). The tyrosine phosphorylation mediates associations with a number of SH2 domain-containing binding partners such as PI3 kinase, SHIP, PLCγ, and SHP-2. Thus, CD31 serves as a scaffold for various signaling molecules (3).

Species Reactivity

Species reactivity is determined by testing in at least one approved application (e.g., western blot).

Western Blot Buffer

IMPORTANT: For western blots, incubate membrane with diluted primary antibody in 5% w/v nonfat dry milk, 1X TBS, 0.1% Tween® 20 at 4°C with gentle shaking, overnight.

Applications Key

W: Western Blotting IP: Immunoprecipitation IHC-P: Immunohistochemistry (Paraffin) IF-IC: Immunofluorescence (Immunocytochemistry)

Cross-Reactivity Key

H: Human

Trademarks and Patents

Cell Signaling Technology is a trademark of Cell Signaling Technology, Inc.

All other trademarks are the property of their respective owners. Visit cellsignal.com/trademarks for more information.

Limited Uses

Except as otherwise expressly agreed in a writing signed by a legally authorized representative of CST, the following terms apply to Products provided by CST, its affiliates or its distributors. Any Customer's terms and conditions that are in addition to, or different from, those contained herein, unless separately accepted in writing by a legally authorized representative of CST, are rejected and are of no force or effect.

Products are labeled with For Research Use Only or a similar labeling statement and have not been approved, cleared, or licensed by the FDA or other regulatory foreign or domestic entity, for any purpose. Customer shall not use any Product for any diagnostic or therapeutic purpose, or otherwise in any manner that conflicts with its labeling statement. Products sold or licensed by CST are provided for Customer as the end-user and solely for research and development uses. Any use of Product for diagnostic, prophylactic or therapeutic purposes, or any purchase of Product for resale (alone or as a component) or other commercial purpose, requires a separate license from CST. Customer shall (a) not sell, license, loan, donate or otherwise transfer or make available any Product to any third party, whether alone or in combination with other materials, or use the Products to manufacture any commercial products, (b) not copy, modify, reverse engineer, decompile, disassemble or otherwise attempt to discover the underlying structure or technology of the Products, or use the Products for the purpose of developing any products or services that would compete with CST products or services, (c) not alter or remove from the Products any trademarks, trade names, logos, patent or copyright notices or markings, (d) use the Products solely in accordance with CST Product Terms of Sale and any applicable documentation, and (e) comply with any license, terms of service or similar agreement with respect to any third party products or services used by Customer in connection with the Products.

Orders: 877-616-CELL (2355) [email protected] Support: 877-678-TECH (8324) [email protected] Web: cellsignal.com
For Research Use Only. Not for Use in Diagnostic Procedures.

Revision 7

Cell Signaling Technology Logo
Western blot analysis of extracts from HUVEC cells using CD31 (PECAM-1) (89C2) Mouse mAb.
Western Blotting Image 1: CD31 (PECAM-1) (89C2) Mouse Monoclonal Antibody
Immunoprecipitation of CD31 from HUVEC cell extracts. Lane 1 is 10% input, lane 2 is precipitated with Mouse (G3A1) mAb IgG1 Isotype Control #5415, and lane 3 is CD31 (PECAM-1) (89C2) Mouse mAb. Western blot was performed using CD31 (PECAM-1) (89C2) Mouse mAb.
Immunoprecipitation Image 1: CD31 (PECAM-1) (89C2) Mouse Monoclonal Antibody
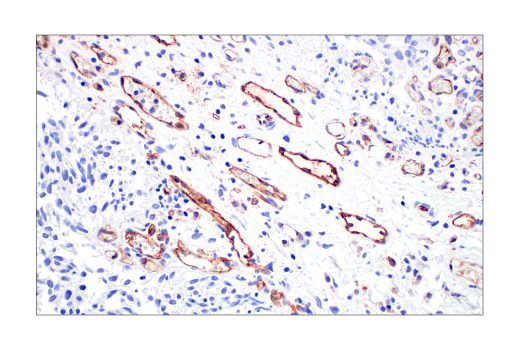
Immunohistochemical analysis of paraffin-embedded human smooth muscle using CD31 (PECAM-1) (89C2) Mouse mAb.
Immunohistochemistry Image 1: CD31 (PECAM-1) (89C2) Mouse Monoclonal Antibody
Orders: 877-616-CELL (2355) [email protected] Support: 877-678-TECH (8324) [email protected] Web: cellsignal.com
For Research Use Only. Not for Use in Diagnostic Procedures.

Revision 7

Cell Signaling Technology Logo
Immunohistochemical analysis of paraffin-embedded HUVEC pellets using CD31 (PECAM-1) (89C2) Mouse mAb.
Immunohistochemistry Image 2: CD31 (PECAM-1) (89C2) Mouse Monoclonal Antibody
Immunohistochemical analysis of paraffin-embedded human clear cell carcinoma using CD31 (PECAM-1) (89C2) Mouse mAb.
Immunohistochemistry Image 3: CD31 (PECAM-1) (89C2) Mouse Monoclonal Antibody
Immunohistochemical analysis of paraffin-embedded human capillary hemangioma using CD31 (PECAM-1) (89C2) Mouse mAb.
Immunohistochemistry Image 4: CD31 (PECAM-1) (89C2) Mouse Monoclonal Antibody
Orders: 877-616-CELL (2355) [email protected] Support: 877-678-TECH (8324) [email protected] Web: cellsignal.com
For Research Use Only. Not for Use in Diagnostic Procedures.

Revision 7

Cell Signaling Technology Logo
Immunohistochemical analysis of paraffin-embedded human urothelial carcinoma using CD31 (PECAM-1) (89C2) Mouse mAb.
Immunohistochemistry Image 5: CD31 (PECAM-1) (89C2) Mouse Monoclonal Antibody
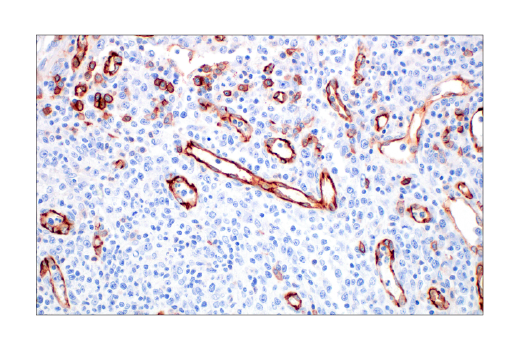
Immunohistochemical analysis of paraffin-embedded human colon adenocarcinoma using CD31 (PECAM-1) (89C2) Mouse mAb.
Immunohistochemistry Image 6: CD31 (PECAM-1) (89C2) Mouse Monoclonal Antibody
Immunohistochemical analysis of paraffin-embedded human non-small cell lung carcinoma using CD31 (PECAM-1) (89C2) Mouse mAb.
Immunohistochemistry Image 7: CD31 (PECAM-1) (89C2) Mouse Monoclonal Antibody
Orders: 877-616-CELL (2355) [email protected] Support: 877-678-TECH (8324) [email protected] Web: cellsignal.com
For Research Use Only. Not for Use in Diagnostic Procedures.

Revision 7

Cell Signaling Technology Logo
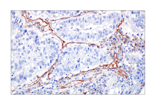
Immunohistochemical analysis of paraffin-embedded human T-cell lymphoma using CD31 (PECAM-1) (89C2) Mouse mAb.
Immunohistochemistry Image 8: CD31 (PECAM-1) (89C2) Mouse Monoclonal Antibody
Confocal immunofluorescent analysis of HUVEC (left) and HeLa cells (right) using CD31 (PECAM-1) (89C2) Mouse mAb (green). Actin filaments have been labeled with DY-554 phalloidin (red). Blue pseudocolor = DRAQ5™ (fluorescent DNA dye).
Immunofluorescence Image 1: CD31 (PECAM-1) (89C2) Mouse Monoclonal Antibody
Orders: 877-616-CELL (2355) [email protected] Support: 877-678-TECH (8324) [email protected] Web: cellsignal.com
For Research Use Only. Not for Use in Diagnostic Procedures.