Revision 5

#95462

Store at -20C

CST Logo
Orders:

877-616-CELL (2355)

[email protected]

Support:

877-678-TECH (8324)

3 Trask Lane | Danvers | Massachusetts | 01923 | USA

For Research Use Only. Not for Use in Diagnostic Procedures.

Applications:
W, W-S, IHC-P

Reactivity:
H Mk

Sensitivity:
Endogenous

MW (kDa):
135

Source/Isotype:
Rabbit IgG

UniProt ID:
#P16284

Entrez-Gene Id:
5175

Product Usage Information

Application Dilution
Western Blotting 1:1000
Simple Western™ 1:50 - 1:250
Immunohistochemistry (Paraffin) 1:50 - 1:200

Storage

Supplied in 10 mM sodium HEPES (pH 7.5), 150 mM NaCl, 100 µg/mL BSA, 50% glycerol, and less than 0.02% sodium azide. Store at –20°C. Do not aliquot the antibody.

For a carrier free (BSA and azide free) version of this product see product #71397.

Specificity/Sensitivity

CD31 (PECAM-1) (F8M3S) Rabbit Monoclonal Antibody recognizes endogenous levels of total CD31 (PECAM-1) protein. Non-specific staining was observed of human testis by immunohistochemistry.

Source / Purification

Monoclonal antibody is produced by immunizing animals with recombinant protein specific to the amino terminus of human CD31 (PECAM-1) protein.

Background

CD31 (Platelet Endothelial Cell Adhesion Molecule-1: PECAM-1), a member of the Ig superfamily of cell adhesion molecules, is expressed by circulating platelets, monocytes, neutrophils, some T cells, and endothelial cells and modulates cell adhesion, endothelial cell migration, and angiogenesis (1). CD31 is phosphorylated on Tyr686 at the cytoplasmic carboxy-terminal tail upon various stimuli (e.g. mechanical or oxidative stress), presumably by Src family members (2). The tyrosine phosphorylation mediates associations with a number of SH2 domain-containing binding partners such as PI3 kinase, SHIP, PLCγ, and SHP-2. Thus, CD31 serves as a scaffold for various signaling molecules (3).

Species Reactivity

Species reactivity is determined by testing in at least one approved application (e.g., western blot).

Western Blot Buffer

IMPORTANT: For western blots, incubate membrane with diluted primary antibody in 5% w/v BSA, 1X TBS, 0.1% Tween® 20 at 4°C with gentle shaking, overnight.

Applications Key

W: Western Blotting W-S: Simple Western™ IHC-P: Immunohistochemistry (Paraffin)

Cross-Reactivity Key

H: Human Mk: Monkey

Trademarks and Patents

Cell Signaling Technology is a trademark of Cell Signaling Technology, Inc.

All other trademarks are the property of their respective owners. Visit cellsignal.com/trademarks for more information.

Limited Uses

Except as otherwise expressly agreed in a writing signed by a legally authorized representative of CST, the following terms apply to Products provided by CST, its affiliates or its distributors. Any Customer's terms and conditions that are in addition to, or different from, those contained herein, unless separately accepted in writing by a legally authorized representative of CST, are rejected and are of no force or effect.

Products are labeled with For Research Use Only or a similar labeling statement and have not been approved, cleared, or licensed by the FDA or other regulatory foreign or domestic entity, for any purpose. Customer shall not use any Product for any diagnostic or therapeutic purpose, or otherwise in any manner that conflicts with its labeling statement. Products sold or licensed by CST are provided for Customer as the end-user and solely for research and development uses. Any use of Product for diagnostic, prophylactic or therapeutic purposes, or any purchase of Product for resale (alone or as a component) or other commercial purpose, requires a separate license from CST. Customer shall (a) not sell, license, loan, donate or otherwise transfer or make available any Product to any third party, whether alone or in combination with other materials, or use the Products to manufacture any commercial products, (b) not copy, modify, reverse engineer, decompile, disassemble or otherwise attempt to discover the underlying structure or technology of the Products, or use the Products for the purpose of developing any products or services that would compete with CST products or services, (c) not alter or remove from the Products any trademarks, trade names, logos, patent or copyright notices or markings, (d) use the Products solely in accordance with CST Product Terms of Sale and any applicable documentation, and (e) comply with any license, terms of service or similar agreement with respect to any third party products or services used by Customer in connection with the Products.

Orders: 877-616-CELL (2355) [email protected] Support: 877-678-TECH (8324) [email protected] Web: cellsignal.com
For Research Use Only. Not for Use in Diagnostic Procedures.

Revision 5

Cell Signaling Technology Logo
Western blot analysis of extracts from SUP-B15 and SiHa cells using CD31 (PECAM-1) (F8M3S) Rabbit mAb (upper) or β-Actin (D6A8) Rabbit mAb #8457 (lower). Negative expression of CD31 (PECAM-1) protein in SiHa cells is consistent with the predicted expression pattern.
Western Blotting Image 1: CD31 (PECAM-1) (F8M3S) Rabbit Monoclonal Antibody
Simple WesternTM analysis of lysates (1.0 mg/mL) from SUP-B15 cells using CD31 (PECAM-1) (F8M3S) Rabbit mAb #95462. The virtual lane view (left) shows the target (as indicated) at 1:50 and 1:250 dilutions of primary antibody. The corresponding electropherogram view (right) plots chemiluminescence by molecular weight along the capillary at 1:50 (blue line) and 1:250 (green line) dilutions of primary antibody. This experiment was performed under reducing conditions on the JessTM Simple Western instrument from ProteinSimple, a BioTechne brand, using the 12-230 kDa separation module.
Western Blotting Image 1: CD31 (PECAM-1) (F8M3S) Rabbit Monoclonal Antibody
Immunohistochemical analysis of paraffin-embedded rhesus monkey liver using CD31 (PECAM-1) (F8M3S) Rabbit mAb.
Immunohistochemistry Image 1: CD31 (PECAM-1) (F8M3S) Rabbit Monoclonal Antibody
Orders: 877-616-CELL (2355) [email protected] Support: 877-678-TECH (8324) [email protected] Web: cellsignal.com
For Research Use Only. Not for Use in Diagnostic Procedures.

Revision 5

Cell Signaling Technology Logo
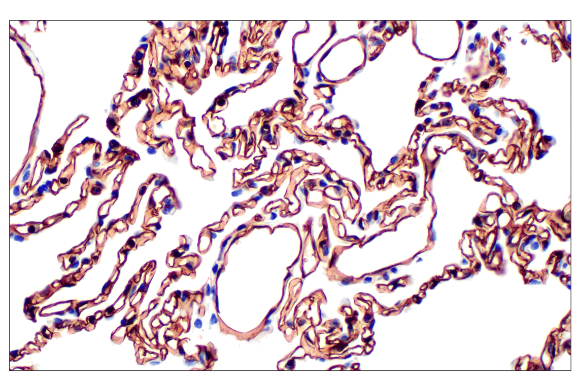
Immunohistochemical analysis of paraffin-embedded rhesus monkey lung using CD31 (PECAM-1) (F8M3S) Rabbit mAb.
Immunohistochemistry Image 2: CD31 (PECAM-1) (F8M3S) Rabbit Monoclonal Antibody
Immunohistochemical analysis of paraffin-embedded rhesus monkey spleen using CD31 (PECAM-1) (F8M3S) Rabbit mAb.
Immunohistochemistry Image 3: CD31 (PECAM-1) (F8M3S) Rabbit Monoclonal Antibody
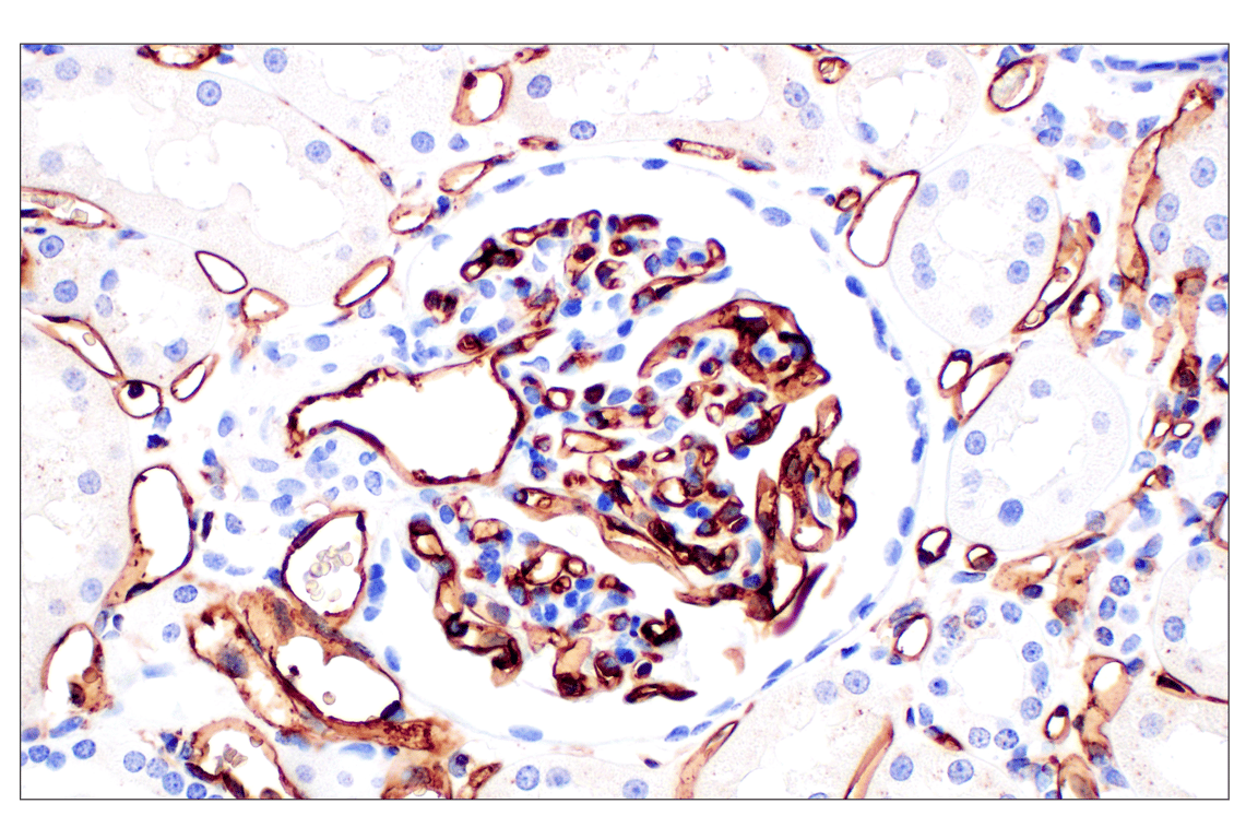
Immunohistochemical analysis of paraffin-embedded rhesus monkey kidney using CD31 (PECAM-1) (F8M3S) Rabbit mAb.
Immunohistochemistry Image 4: CD31 (PECAM-1) (F8M3S) Rabbit Monoclonal Antibody
Orders: 877-616-CELL (2355) [email protected] Support: 877-678-TECH (8324) [email protected] Web: cellsignal.com
For Research Use Only. Not for Use in Diagnostic Procedures.

Revision 5

Cell Signaling Technology Logo
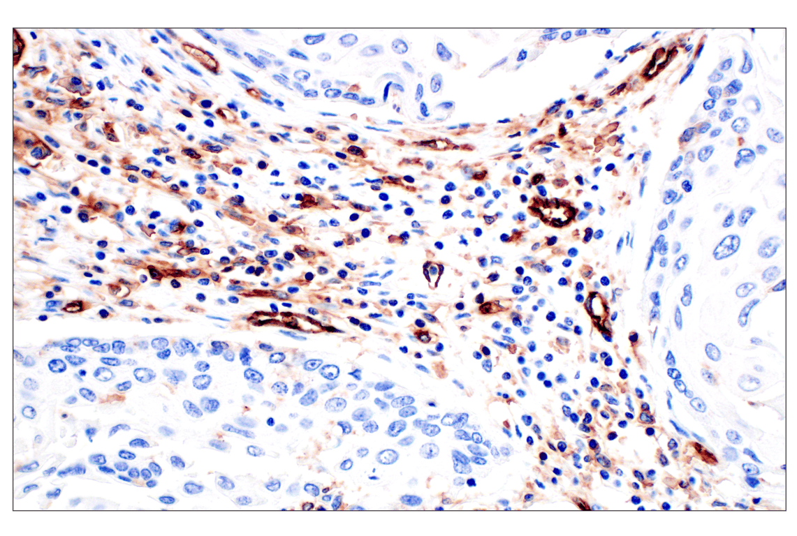
Immunohistochemical analysis of paraffin-embedded human urothelial carcinoma using CD31 (PECAM-1) (F8M3S) Rabbit mAb.
Immunohistochemistry Image 5: CD31 (PECAM-1) (F8M3S) Rabbit Monoclonal Antibody
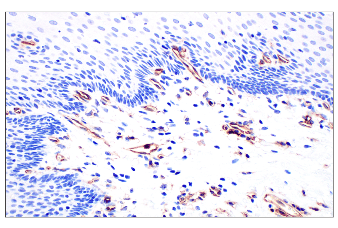
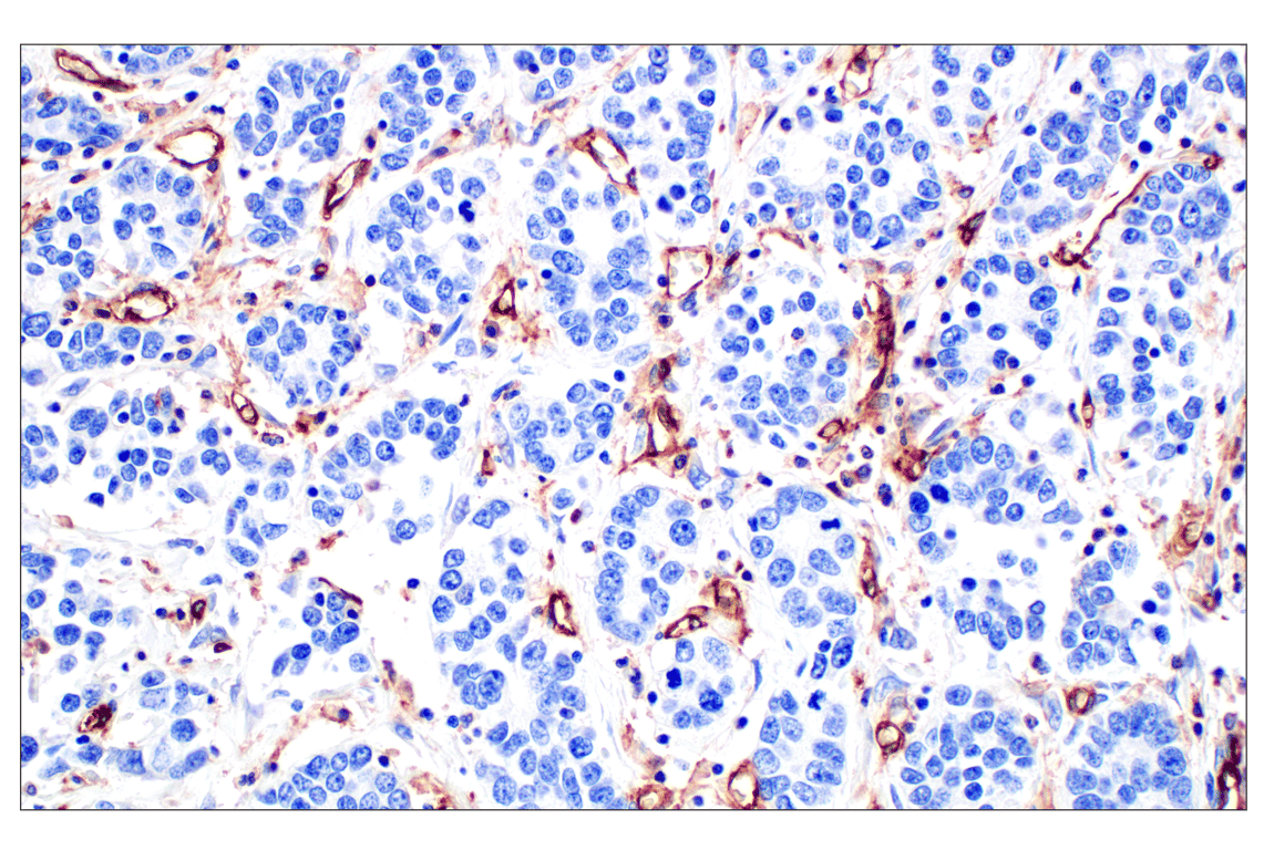
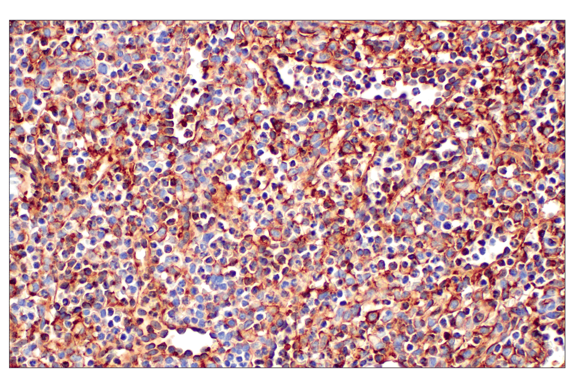
Immunohistochemical analysis of paraffin-embedded human squamous cell carcinoma of the cervix using CD31 (PECAM-1) (F8M3S) Rabbit mAb.
Immunohistochemistry Image 6: CD31 (PECAM-1) (F8M3S) Rabbit Monoclonal Antibody
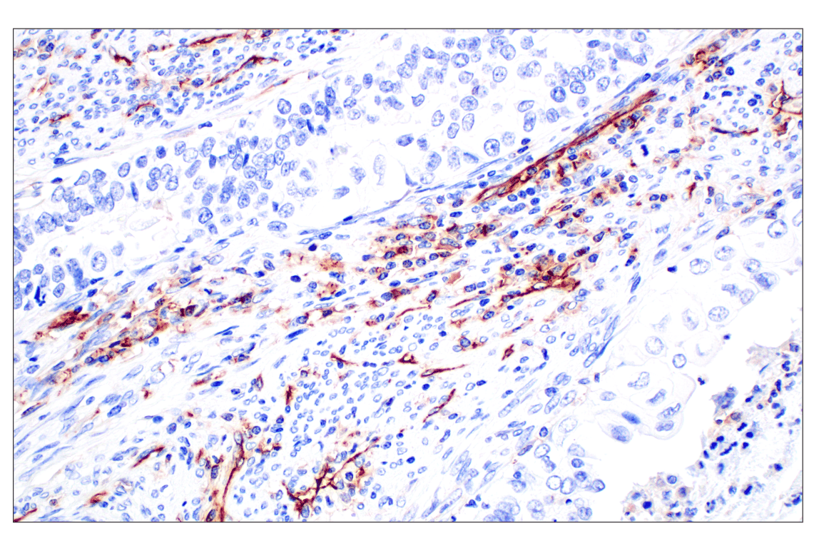
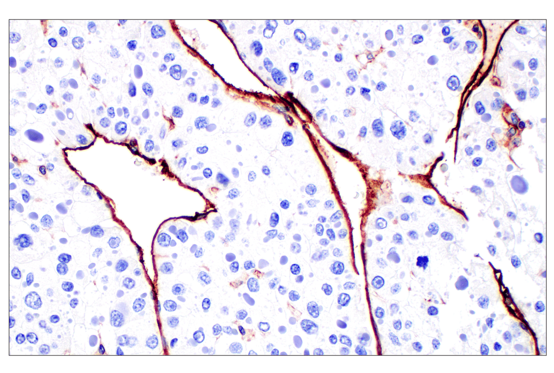
Immunohistochemical analysis of paraffin-embedded human hepatocellular carcinoma using CD31 (PECAM-1) (F8M3S) Rabbit mAb.
Immunohistochemistry Image 7: CD31 (PECAM-1) (F8M3S) Rabbit Monoclonal Antibody
Orders: 877-616-CELL (2355) [email protected] Support: 877-678-TECH (8324) [email protected] Web: cellsignal.com
For Research Use Only. Not for Use in Diagnostic Procedures.

Revision 5

Cell Signaling Technology Logo
Immunohistochemical analysis of paraffin-embedded human esophageal carcinoma using CD31 (PECAM-1) (F8M3S) Rabbit mAb.
Immunohistochemistry Image 8: CD31 (PECAM-1) (F8M3S) Rabbit Monoclonal Antibody
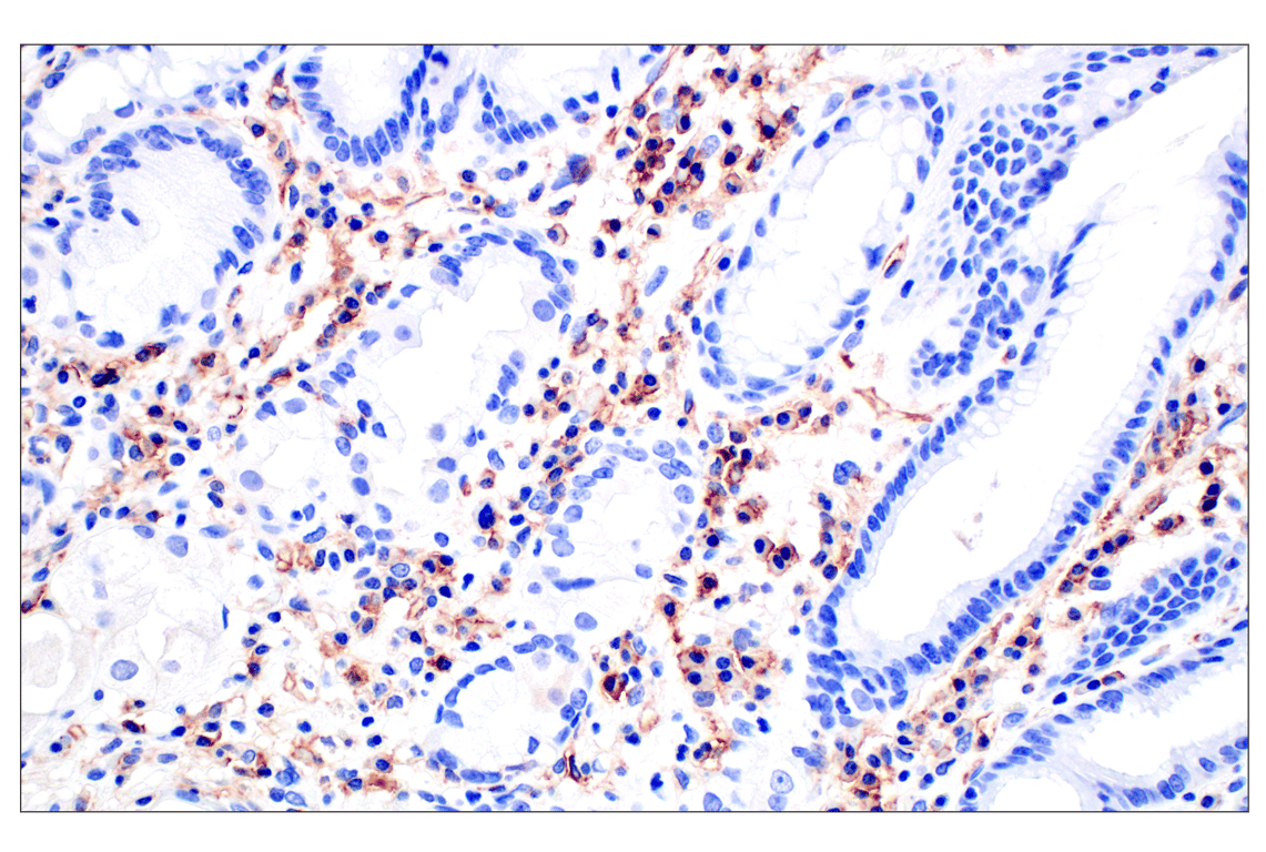
Immunohistochemical analysis of paraffin-embedded human endometrioid adenocarcinoma using CD31 (PECAM-1) (F8M3S) Rabbit mAb.
Immunohistochemistry Image 9: CD31 (PECAM-1) (F8M3S) Rabbit Monoclonal Antibody
Immunohistochemical analysis of paraffin-embedded normal human esophagus using CD31 (PECAM-1) (F8M3S) Rabbit mAb.
Immunohistochemistry Image 10: CD31 (PECAM-1) (F8M3S) Rabbit Monoclonal Antibody
Orders: 877-616-CELL (2355) [email protected] Support: 877-678-TECH (8324) [email protected] Web: cellsignal.com
For Research Use Only. Not for Use in Diagnostic Procedures.

Revision 5

Cell Signaling Technology Logo
Immunohistochemical analysis of paraffin-embedded normal human stomach using CD31 (PECAM-1) (F8M3S) Rabbit mAb.
Immunohistochemistry Image 11: CD31 (PECAM-1) (F8M3S) Rabbit Monoclonal Antibody
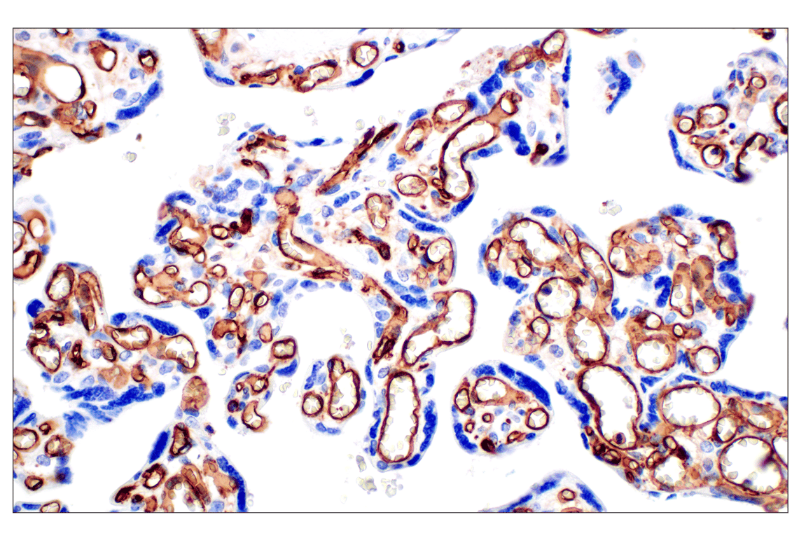
Immunohistochemical analysis of paraffin-embedded normal human placenta using CD31 (PECAM-1) (F8M3S) Rabbit mAb.
Immunohistochemistry Image 12: CD31 (PECAM-1) (F8M3S) Rabbit Monoclonal Antibody
Immunohistochemical analysis of paraffin-embedded human renal cell carcinoma using CD31 (PECAM-1) (F8M3S) Rabbit mAb (left) compared to concentration-matched Rabbit (DA1E) mAb IgG XP® Isotype Control #3900 (right).
Immunohistochemistry Image 13: CD31 (PECAM-1) (F8M3S) Rabbit Monoclonal Antibody
Orders: 877-616-CELL (2355) [email protected] Support: 877-678-TECH (8324) [email protected] Web: cellsignal.com
For Research Use Only. Not for Use in Diagnostic Procedures.

Revision 5

Cell Signaling Technology Logo
Immunohistochemical analysis of paraffin-embedded SUP-B15 cell pellet (left, positive) or SiHa cell pellet (right, negative) using CD31 (PECAM-1) (F8M3S) Rabbit mAb.
Immunohistochemistry Image 14: CD31 (PECAM-1) (F8M3S) Rabbit Monoclonal Antibody
Orders: 877-616-CELL (2355) [email protected] Support: 877-678-TECH (8324) [email protected] Web: cellsignal.com
For Research Use Only. Not for Use in Diagnostic Procedures.