Revision 6

#39914

Store at -20C

CST Logo
Orders:

877-616-CELL (2355)

[email protected]

Support:

877-678-TECH (8324)

3 Trask Lane | Danvers | Massachusetts | 01923 | USA

For Research Use Only. Not for Use in Diagnostic Procedures.

Applications:
W, IHC-P

Reactivity:
H Mk

Sensitivity:
Endogenous

MW (kDa):
70-110

Source/Isotype:
Rabbit IgG

UniProt ID:
#P16671

Entrez-Gene Id:
948

Product Usage Information

This product is the carrier free version of product #14347. All data were generated using the same antibody clone in the standard formulation which contains BSA and glycerol.

This formulation is ideal for use with technologies requiring specialized or custom antibody labeling, including fluorophores, metals, lanthanides, and oligonucleotides. It is not recommended for ChIP, ChIP-seq, CUT&RUN, or CUT&Tag assays. If you require a carrier-free formulation for chromatin profiling, please contact us. Optimal dilutions/concentrations should be determined by the end user.

BSA and Azide Free antibodies are quality control tested by size exclusion chromatography (SEC) to determine antibody integrity.

Formulation

Supplied in 1X PBS (10 mM Na2HPO4, 3 mM KCl, 2 mM KH2PO4, and 140 mM NaCl (pH 7.8)). BSA and Azide Free.

For standard formulation of this product see product #14347.

Storage

Store at -20°C. This product will freeze at -20°C so it is recommended to aliquot into single-use vials to avoid multiple freeze/thaw cycles. A slight precipitate may be present and can be dissolved by gently vortexing. This will not interfere with antibody performance.

Specificity/Sensitivity

CD36 (D8L9T) Rabbit Monoclonal Antibody (BSA and Azide Free) recognizes endogenous levels of total CD36 protein. This antibody also cross-reacts with an unidentified protein of 30 kDa.

Source / Purification

Monoclonal antibody is produced by immunizing animals with a synthetic peptide corresponding to residues surrounding Val112 of human CD36 protein.

Background

CD36 is a class B scavenger receptor composed of short amino-terminal and carboxy-terminal cytoplasmic domains, two transmembrane domains, and a large glycosylated extracellular domain (1-4). The CD36 receptor has many diverse ligands and cellular functions and is expressed by multiple cell types, including monocytes, macrophages, platelets, endothelial cells, adipocytes, and some epithelial cells (1). Binding of thrombospondin-1 (TSP-1) to CD36 facilitates the inhibition of angiogenesis by TSP-1 (5). CD36 also binds lipids and enables their transport into cells (6). In macrophages, CD36 acts as a receptor for oxidized LDL (Ox-LDL) and is responsible for Ox-LDL internalization, which contributes to development of atherosclerosis (7). The CD36 receptor participates in the innate immune response by acting as a pattern recognition receptor for lipid components of bacterial cell walls and fungal beta-glucans (8,9). CD36 likely influences signaling by interacting with other cell surface receptors including TLRs, integrins, and tetraspanins (8,10,11). Phorbol 12-myristate 13-acetate (PMA)/ 12-O-tetradecanoylphorbol-13-acetate (TPA) induces CD36 expression in the THP-1 monocyte cell line (12).

Species Reactivity

Species reactivity is determined by testing in at least one approved application (e.g., western blot).

Applications Key

W: Western Blotting IHC-P: Immunohistochemistry (Paraffin)

Cross-Reactivity Key

H: Human Mk: Monkey

Trademarks and Patents

Cell Signaling Technology is a trademark of Cell Signaling Technology, Inc.

SignalStain is a registered trademark of Cell Signaling Technology, Inc.

All other trademarks are the property of their respective owners. Visit cellsignal.com/trademarks for more information.

Limited Uses

Except as otherwise expressly agreed in a writing signed by a legally authorized representative of CST, the following terms apply to Products provided by CST, its affiliates or its distributors. Any Customer's terms and conditions that are in addition to, or different from, those contained herein, unless separately accepted in writing by a legally authorized representative of CST, are rejected and are of no force or effect.

Products are labeled with For Research Use Only or a similar labeling statement and have not been approved, cleared, or licensed by the FDA or other regulatory foreign or domestic entity, for any purpose. Customer shall not use any Product for any diagnostic or therapeutic purpose, or otherwise in any manner that conflicts with its labeling statement. Products sold or licensed by CST are provided for Customer as the end-user and solely for research and development uses. Any use of Product for diagnostic, prophylactic or therapeutic purposes, or any purchase of Product for resale (alone or as a component) or other commercial purpose, requires a separate license from CST. Customer shall (a) not sell, license, loan, donate or otherwise transfer or make available any Product to any third party, whether alone or in combination with other materials, or use the Products to manufacture any commercial products, (b) not copy, modify, reverse engineer, decompile, disassemble or otherwise attempt to discover the underlying structure or technology of the Products, or use the Products for the purpose of developing any products or services that would compete with CST products or services, (c) not alter or remove from the Products any trademarks, trade names, logos, patent or copyright notices or markings, (d) use the Products solely in accordance with CST Product Terms of Sale and any applicable documentation, and (e) comply with any license, terms of service or similar agreement with respect to any third party products or services used by Customer in connection with the Products.

Orders: 877-616-CELL (2355) [email protected] Support: 877-678-TECH (8324) [email protected] Web: cellsignal.com
For Research Use Only. Not for Use in Diagnostic Procedures.

Revision 6

Cell Signaling Technology Logo
Western blot analysis of 293T cells, untransfected (-) or transfected with a construct expressing DDK-tagged full-length human CD36 protein (hCD36-DDK, +), using CD36 (D8L9T) Rabbit mAb. Data were generated using the standard formulation of this product.
Western Blotting Image 1: CD36 (D8L9T) Rabbit Monoclonal Antibody (BSA and Azide Free)
Western blot analysis of extracts from various cell lines using CD36 (D8L9T) Rabbit mAb (upper) and β-Actin (D6A8) Rabbit mAb #8457 (lower). Expression of CD36 was induced in the THP-1 cell line using TPA #4174 (80 nm, 16hrs). Data were generated using the standard formulation of this product.
Western Blotting Image 2: CD36 (D8L9T) Rabbit Monoclonal Antibody (BSA and Azide Free)
Immunohistochemical analysis of paraffin-embedded human ovarian carcinoma using CD36 (D8L9T) Rabbit mAb. Data were generated using the standard formulation of this product.
Immunohistochemistry Image 1: CD36 (D8L9T) Rabbit Monoclonal Antibody (BSA and Azide Free)
Orders: 877-616-CELL (2355) [email protected] Support: 877-678-TECH (8324) [email protected] Web: cellsignal.com
For Research Use Only. Not for Use in Diagnostic Procedures.

Revision 6

Cell Signaling Technology Logo
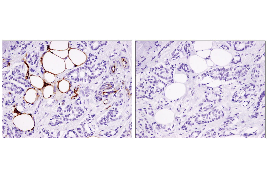
Immunohistochemical analysis of paraffin-embedded human adipocytes in breast carcinoma using CD36 (D8L9T) Rabbit mAb in the presence of control peptide (left) and antigen-specific peptide (right). Data were generated using the standard formulation of this product.
Immunohistochemistry Image 2: CD36 (D8L9T) Rabbit Monoclonal Antibody (BSA and Azide Free)
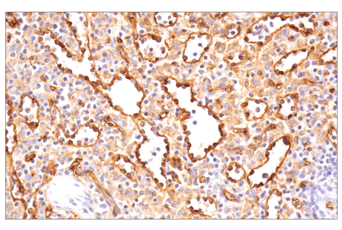
Immunohistochemical analysis of paraffin-embedded rhesus monkey lung using CD36 (D8L9T) Rabbit mAb. Data were generated using the standard formulation of this product.
Immunohistochemistry Image 3: CD36 (D8L9T) Rabbit Monoclonal Antibody (BSA and Azide Free)
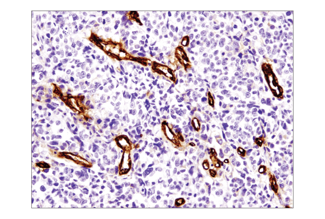
Immunohistochemical analysis of paraffin-embedded rhesus monkey spleen using CD36 (D8L9T) Rabbit mAb. Data were generated using the standard formulation of this product.
Immunohistochemistry Image 4: CD36 (D8L9T) Rabbit Monoclonal Antibody (BSA and Azide Free)
Orders: 877-616-CELL (2355) [email protected] Support: 877-678-TECH (8324) [email protected] Web: cellsignal.com
For Research Use Only. Not for Use in Diagnostic Procedures.

Revision 6

Cell Signaling Technology Logo
Immunohistochemical analysis of paraffin-embedded U-937 (left) and Jurkat (right) cell pellets using CD36 (D8L9T) Rabbit mAb. Data were generated using the standard formulation of this product.
Immunohistochemistry Image 5: CD36 (D8L9T) Rabbit Monoclonal Antibody (BSA and Azide Free)
Orders: 877-616-CELL (2355) [email protected] Support: 877-678-TECH (8324) [email protected] Web: cellsignal.com
For Research Use Only. Not for Use in Diagnostic Procedures.