Revision 8

#51000

Store at -20C

CST Logo
Orders:

877-616-CELL (2355)

[email protected]

Support:

877-678-TECH (8324)

3 Trask Lane | Danvers | Massachusetts | 01923 | USA

For Research Use Only. Not for Use in Diagnostic Procedures.

Applications:
W, IHC-Bond, IHC-P

Reactivity:
H Mk

Sensitivity:
Endogenous

MW (kDa):
45

Source/Isotype:
Rabbit IgG

UniProt ID:
#P28907

Entrez-Gene Id:
952

Product Usage Information

Application Dilution
Western Blotting 1:1000
IHC Leica Bond 1:200 - 1:800
Immunohistochemistry (Paraffin) 1:50 - 1:200

Storage

Supplied in 10 mM sodium HEPES (pH 7.5), 150 mM NaCl, 100 µg/ml BSA, 50% glycerol and less than 0.02% sodium azide. Store at –20°C. Do not aliquot the antibody.

For a carrier free (BSA and azide free) version of this product see product #43382.

Specificity/Sensitivity

CD38 (E7Z8C) Rabbit Monoclonal Antibody recognizes endogenous levels of total CD38 protein.

Source / Purification

Monoclonal antibody is produced by immunizing animals with a synthetic peptide corresponding to residues surrounding Arg247 of human CD38 protein.

Background

Cyclic ADP-ribose hydrolase 1 (CD38) is a transmembrane protein involved in several important biological processes, including immune response, insulin secretion, and social behavior. Originally described as a glycosylated immune cell surface marker, additional research determined that CD38 is a multifunctional enzyme that catalyzes the synthesis and hydrolysis of cyclic ADP ribose (cADPR) from NAD (1,2). Under acidic conditions, CD38 also catalyzes the synthesis of nicotinic acid adenine dinucleotide phosphate (NAADP) from NADP+. Both cADPR and NAADP act as calcium ion mobilizing messengers that target different intracellular Ca2+ stores (3-6). Since CD38 is the primary mammalian NAD+ glycohydrolase responsible for NAD+ metabolism, CD38 may be a valuable therapeutic target for treatment of metabolic diseases regulated by NAD+-dependent pathways (7,8). CD38 has also been considered a possible therapeutic target for antibody-mediated therapy for myeloma and chronic lymphocytic leukemia (9-11).

Species Reactivity

Species reactivity is determined by testing in at least one approved application (e.g., western blot).

Western Blot Buffer

IMPORTANT: For western blots, incubate membrane with diluted primary antibody in 5% w/v BSA, 1X TBS, 0.1% Tween® 20 at 4°C with gentle shaking, overnight.

Applications Key

W: Western Blotting IHC-Bond: IHC Leica Bond IHC-P: Immunohistochemistry (Paraffin)

Cross-Reactivity Key

H: Human Mk: Monkey

Trademarks and Patents

Cell Signaling Technology is a trademark of Cell Signaling Technology, Inc.

SignalStain is a registered trademark of Cell Signaling Technology, Inc.

All other trademarks are the property of their respective owners. Visit cellsignal.com/trademarks for more information.

Limited Uses

Except as otherwise expressly agreed in a writing signed by a legally authorized representative of CST, the following terms apply to Products provided by CST, its affiliates or its distributors. Any Customer's terms and conditions that are in addition to, or different from, those contained herein, unless separately accepted in writing by a legally authorized representative of CST, are rejected and are of no force or effect.

Products are labeled with For Research Use Only or a similar labeling statement and have not been approved, cleared, or licensed by the FDA or other regulatory foreign or domestic entity, for any purpose. Customer shall not use any Product for any diagnostic or therapeutic purpose, or otherwise in any manner that conflicts with its labeling statement. Products sold or licensed by CST are provided for Customer as the end-user and solely for research and development uses. Any use of Product for diagnostic, prophylactic or therapeutic purposes, or any purchase of Product for resale (alone or as a component) or other commercial purpose, requires a separate license from CST. Customer shall (a) not sell, license, loan, donate or otherwise transfer or make available any Product to any third party, whether alone or in combination with other materials, or use the Products to manufacture any commercial products, (b) not copy, modify, reverse engineer, decompile, disassemble or otherwise attempt to discover the underlying structure or technology of the Products, or use the Products for the purpose of developing any products or services that would compete with CST products or services, (c) not alter or remove from the Products any trademarks, trade names, logos, patent or copyright notices or markings, (d) use the Products solely in accordance with CST Product Terms of Sale and any applicable documentation, and (e) comply with any license, terms of service or similar agreement with respect to any third party products or services used by Customer in connection with the Products.

Orders: 877-616-CELL (2355) [email protected] Support: 877-678-TECH (8324) [email protected] Web: cellsignal.com
For Research Use Only. Not for Use in Diagnostic Procedures.

Revision 8

Cell Signaling Technology Logo
Western blot analysis of extracts from various cell lines using CD38 (E7Z8C) XP® Rabbit mAb (upper) or β-Actin (D6A8) Rabbit mAb #8457 (lower).
Western Blotting Image 1: CD38 (E7Z8C) Rabbit Monoclonal Antibody
Immunohistochemical analysis of paraffin-embedded human lung adenocarcinoma using CD38 (E7Z8C) XP® Rabbit mAb performed on the Leica® BOND™ Rx.
Immunohistochemistry Image 1: CD38 (E7Z8C) Rabbit Monoclonal Antibody
Immunohistochemical analysis of paraffin-embedded human Non-Hodgkin B-cell lymphoma using CD38 (E7Z8C) XP® Rabbit mAb performed on the Leica® BOND™ Rx.
Immunohistochemistry Image 2: CD38 (E7Z8C) Rabbit Monoclonal Antibody
Orders: 877-616-CELL (2355) [email protected] Support: 877-678-TECH (8324) [email protected] Web: cellsignal.com
For Research Use Only. Not for Use in Diagnostic Procedures.

Revision 8

Cell Signaling Technology Logo
Immunohistochemical analysis of paraffin-embedded human multiple myeloma using CD38 (E7Z8C) XP® Rabbit mAb.
Immunohistochemistry Image 1: CD38 (E7Z8C) Rabbit Monoclonal Antibody
Immunohistochemical analysis of paraffin-embedded human colon carcinoma using CD38 (E7Z8C) XP® Rabbit mAb.
Immunohistochemistry Image 2: CD38 (E7Z8C) Rabbit Monoclonal Antibody
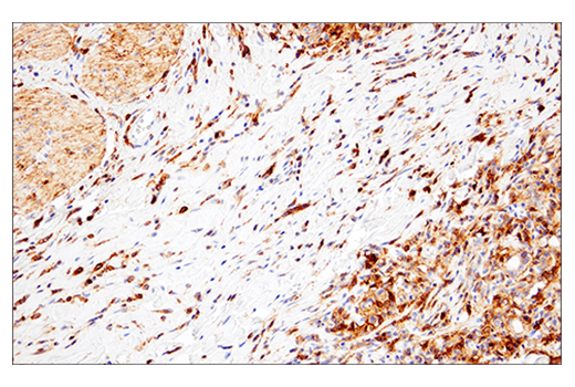
Immunohistochemical analysis of paraffin-embedded human adenoid cystic carcinoma of the trachea using CD38 (E7Z8C) XP® Rabbit mAb.
Immunohistochemistry Image 3: CD38 (E7Z8C) Rabbit Monoclonal Antibody
Orders: 877-616-CELL (2355) [email protected] Support: 877-678-TECH (8324) [email protected] Web: cellsignal.com
For Research Use Only. Not for Use in Diagnostic Procedures.

Revision 8

Cell Signaling Technology Logo
Immunohistochemical analysis of paraffin-embedded human renal cell carcinoma using CD38 (E7Z8C) XP® Rabbit mAb.
Immunohistochemistry Image 4: CD38 (E7Z8C) Rabbit Monoclonal Antibody
Immunohistochemical analysis of paraffin-embedded human lung adenocarcinoma using CD38 (E7Z8C) XP® Rabbit mAb.
Immunohistochemistry Image 5: CD38 (E7Z8C) Rabbit Monoclonal Antibody
Immunohistochemical analysis of paraffin-embedded human gastric carcinoma using CD38 (E7Z8C) XP® Rabbit mAb.
Immunohistochemistry Image 6: CD38 (E7Z8C) Rabbit Monoclonal Antibody
Orders: 877-616-CELL (2355) [email protected] Support: 877-678-TECH (8324) [email protected] Web: cellsignal.com
For Research Use Only. Not for Use in Diagnostic Procedures.

Revision 8

Cell Signaling Technology Logo
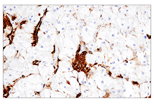
Immunohistochemical analysis of paraffin-embedded rhesus monkey liver using CD38 (E7Z8C) XP® Rabbit mAb.
Immunohistochemistry Image 7: CD38 (E7Z8C) Rabbit Monoclonal Antibody
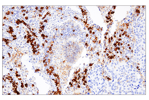
Immunohistochemical analysis of paraffin-embedded rhesus monkey spleen using CD38 (E7Z8C) XP® Rabbit mAb.
Immunohistochemistry Image 8: CD38 (E7Z8C) Rabbit Monoclonal Antibody
Immunohistochemical analysis of paraffin-embedded human prostate carcinoma using CD38 (E7Z8C) XP® Rabbit mAb (left) compared to concentration matched Rabbit (DA1E) mAb IgG XP® Isotype Control #3900 (right).
Immunohistochemistry Image 9: CD38 (E7Z8C) Rabbit Monoclonal Antibody
Orders: 877-616-CELL (2355) [email protected] Support: 877-678-TECH (8324) [email protected] Web: cellsignal.com
For Research Use Only. Not for Use in Diagnostic Procedures.

Revision 8

Cell Signaling Technology Logo
Immunohistochemical analysis of paraffin-embedded Daudi cell pellet (left, high-expressing) or A549 cell pellet (right, low-expressing) using CD38 (E7Z8C) XP® Rabbit mAb.
Immunohistochemistry Image 10: CD38 (E7Z8C) Rabbit Monoclonal Antibody
Orders: 877-616-CELL (2355) [email protected] Support: 877-678-TECH (8324) [email protected] Web: cellsignal.com
For Research Use Only. Not for Use in Diagnostic Procedures.