Revision 5

#68336

Store at -20C

CST Logo
Orders:

877-616-CELL (2355)

[email protected]

Support:

877-678-TECH (8324)

3 Trask Lane | Danvers | Massachusetts | 01923 | USA

For Research Use Only. Not for Use in Diagnostic Procedures.

Applications:
W, IP, IHC-P, IF-F, IF-IC

Reactivity:
M R

Sensitivity:
Endogenous

MW (kDa):
45

Source/Isotype:
Rabbit IgG

UniProt ID:
#P56528

Entrez-Gene Id:
12494

Product Usage Information

Application Dilution
Western Blotting 1:1000
Immunoprecipitation 1:100
Immunohistochemistry (Paraffin) 1:100 - 1:400
Immunofluorescence (Frozen) 1:50
Immunofluorescence (Immunocytochemistry) 1:50 - 1:200

Storage

Supplied in 10 mM sodium HEPES (pH 7.5), 150 mM NaCl, 100 µg/mL BSA, 50% glycerol, and less than 0.02% sodium azide. Store at –20°C. Do not aliquot the antibody.

For a carrier free (BSA and azide free) version of this product see product #64666.

Specificity/Sensitivity

CD38 (E9F5A) Rabbit Monoclonal Antibody recognizes endogenous levels of total CD38 protein.

Source / Purification

Monoclonal antibody is produced by immunizing animals with a synthetic peptide corresponding to residues surrounding Pro298 of mouse CD38 protein.

Background

Cyclic ADP-ribose hydrolase 1 (CD38) is a transmembrane protein involved in several important biological processes, including immune response, insulin secretion, and social behavior. Originally described as a glycosylated immune cell surface marker, additional research determined that CD38 is a multifunctional enzyme that catalyzes the synthesis and hydrolysis of cyclic ADP-ribose (cADPR) from NAD (1,2). Under acidic conditions, CD38 also catalyzes the synthesis of nicotinic acid adenine dinucleotide phosphate (NAADP) from NADP+. Both cADPR and NAADP act as calcium ion mobilizing messengers that target different intracellular Ca2+ stores (3-6). Since CD38 is the primary mammalian NAD+ glycohydrolase responsible for NAD+ metabolism, CD38 may be a valuable therapeutic target for treatment of metabolic diseases regulated by NAD+-dependent pathways (7,8). CD38 has also been considered a possible therapeutic target for antibody-mediated therapy for myeloma and chronic lymphocytic leukemia (9-11).

Species Reactivity

Species reactivity is determined by testing in at least one approved application (e.g., western blot).

Western Blot Buffer

IMPORTANT: For western blots, incubate membrane with diluted primary antibody in 5% w/v BSA, 1X TBS, 0.1% Tween® 20 at 4°C with gentle shaking, overnight.

Applications Key

W: Western Blotting IP: Immunoprecipitation IHC-P: Immunohistochemistry (Paraffin) IF-F: Immunofluorescence (Frozen) IF-IC: Immunofluorescence (Immunocytochemistry)

Cross-Reactivity Key

M: Mouse R: Rat

Trademarks and Patents

Cell Signaling Technology is a trademark of Cell Signaling Technology, Inc.

All other trademarks are the property of their respective owners. Visit cellsignal.com/trademarks for more information.

Limited Uses

Except as otherwise expressly agreed in a writing signed by a legally authorized representative of CST, the following terms apply to Products provided by CST, its affiliates or its distributors. Any Customer's terms and conditions that are in addition to, or different from, those contained herein, unless separately accepted in writing by a legally authorized representative of CST, are rejected and are of no force or effect.

Products are labeled with For Research Use Only or a similar labeling statement and have not been approved, cleared, or licensed by the FDA or other regulatory foreign or domestic entity, for any purpose. Customer shall not use any Product for any diagnostic or therapeutic purpose, or otherwise in any manner that conflicts with its labeling statement. Products sold or licensed by CST are provided for Customer as the end-user and solely for research and development uses. Any use of Product for diagnostic, prophylactic or therapeutic purposes, or any purchase of Product for resale (alone or as a component) or other commercial purpose, requires a separate license from CST. Customer shall (a) not sell, license, loan, donate or otherwise transfer or make available any Product to any third party, whether alone or in combination with other materials, or use the Products to manufacture any commercial products, (b) not copy, modify, reverse engineer, decompile, disassemble or otherwise attempt to discover the underlying structure or technology of the Products, or use the Products for the purpose of developing any products or services that would compete with CST products or services, (c) not alter or remove from the Products any trademarks, trade names, logos, patent or copyright notices or markings, (d) use the Products solely in accordance with CST Product Terms of Sale and any applicable documentation, and (e) comply with any license, terms of service or similar agreement with respect to any third party products or services used by Customer in connection with the Products.

Orders: 877-616-CELL (2355) [email protected] Support: 877-678-TECH (8324) [email protected] Web: cellsignal.com
For Research Use Only. Not for Use in Diagnostic Procedures.

Revision 5

Cell Signaling Technology Logo
Western blot analysis of extracts from mouse testis, spleen, and small intestine tissues using CD38 (E9F5A) XP® Rabbit mAb (upper) or β-Actin (D6A8) Rabbit mAb #8457 (lower).
Western Blotting Image 1: CD38 (E9F5A) Rabbit Monoclonal Antibody
Western blot analysis of extracts from mouse bone marrow-derived macrophage (BMDM) and various cell lines, untreated (-) or treated with Lipopolysaccharides (LPS) #14011 (1 μg/mL, 24 hr; +), using CD38 (E9F5A) XP® Rabbit mAb (upper) or β-Actin (D6A8) Rabbit mAb #8457 (lower).
Western Blotting Image 2: CD38 (E9F5A) Rabbit Monoclonal Antibody
Immunoprecipitation of CD38 protein from mouse spleen tissue extracts. Lane 1 is 10% input, lane 2 is Rabbit (DA1E) mAb IgG XP® Isotype Control #3900, and lane 3 is CD38 (E9F5A) XP® Rabbit mAb. Western blot analysis was performed using CD38 (E9F5A) XP® Rabbit mAb. Anti-rabbit IgG, HRP-linked Antibody #7074 was used as a secondary antibody.
Immunoprecipitation Image 1: CD38 (E9F5A) Rabbit Monoclonal Antibody
Orders: 877-616-CELL (2355) [email protected] Support: 877-678-TECH (8324) [email protected] Web: cellsignal.com
For Research Use Only. Not for Use in Diagnostic Procedures.

Revision 5

Cell Signaling Technology Logo
Immunohistochemical analysis of paraffin-embedded 4T1 syngeneic mammary tumor using CD38 (E9F5A) XP® Rabbit mAb.
Immunohistochemistry Image 1: CD38 (E9F5A) Rabbit Monoclonal Antibody
Immunohistochemical analysis of paraffin-embedded Renca syngeneic tumor using CD38 (E9F5A) XP® Rabbit mAb.
Immunohistochemistry Image 2: CD38 (E9F5A) Rabbit Monoclonal Antibody
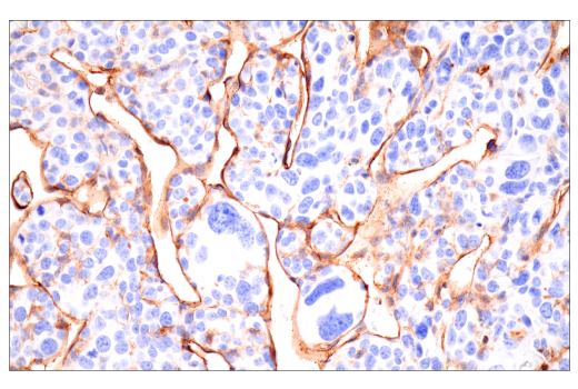
Immunohistochemical analysis of paraffin-embedded GL-261 syngeneic tumor using CD38 (E9F5A) XP® Rabbit mAb.
Immunohistochemistry Image 3: CD38 (E9F5A) Rabbit Monoclonal Antibody
Orders: 877-616-CELL (2355) [email protected] Support: 877-678-TECH (8324) [email protected] Web: cellsignal.com
For Research Use Only. Not for Use in Diagnostic Procedures.

Revision 5

Cell Signaling Technology Logo
Immunohistochemical analysis of paraffin-embedded A20 syngeneic tumor using CD38 (E9F5A) XP® Rabbit mAb.
Immunohistochemistry Image 4: CD38 (E9F5A) Rabbit Monoclonal Antibody
Immunohistochemical analysis of paraffin-embedded mouse ovary using CD38 (E9F5A) XP® Rabbit mAb.
Immunohistochemistry Image 5: CD38 (E9F5A) Rabbit Monoclonal Antibody
Immunohistochemical analysis of paraffin-embedded mouse thymus using CD38 (E9F5A) XP® Rabbit mAb.
Immunohistochemistry Image 6: CD38 (E9F5A) Rabbit Monoclonal Antibody
Orders: 877-616-CELL (2355) [email protected] Support: 877-678-TECH (8324) [email protected] Web: cellsignal.com
For Research Use Only. Not for Use in Diagnostic Procedures.

Revision 5

Cell Signaling Technology Logo
Immunohistochemical analysis of paraffin-embedded mouse stomach using CD38 (E9F5A) XP® Rabbit mAb.
Immunohistochemistry Image 7: CD38 (E9F5A) Rabbit Monoclonal Antibody
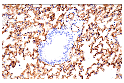
Immunohistochemical analysis of paraffin-embedded mouse lung using CD38 (E9F5A) XP® Rabbit mAb.
Immunohistochemistry Image 8: CD38 (E9F5A) Rabbit Monoclonal Antibody
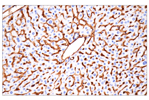
Immunohistochemical analysis of paraffin-embedded mouse liver using CD38 (E9F5A) XP® Rabbit mAb.
Immunohistochemistry Image 9: CD38 (E9F5A) Rabbit Monoclonal Antibody
Orders: 877-616-CELL (2355) [email protected] Support: 877-678-TECH (8324) [email protected] Web: cellsignal.com
For Research Use Only. Not for Use in Diagnostic Procedures.

Revision 5

Cell Signaling Technology Logo
Immunohistochemical analysis of paraffin-embedded mouse brown fat using CD38 (E9F5A) XP® Rabbit mAb.
Immunohistochemistry Image 10: CD38 (E9F5A) Rabbit Monoclonal Antibody
Immunohistochemical analysis of paraffin-embedded mouse kidney using CD38 (E9F5A) XP® Rabbit mAb.
Immunohistochemistry Image 11: CD38 (E9F5A) Rabbit Monoclonal Antibody
Immunohistochemical analysis of paraffin-embedded mouse heart using CD38 (E9F5A) XP® Rabbit mAb.
Immunohistochemistry Image 12: CD38 (E9F5A) Rabbit Monoclonal Antibody
Orders: 877-616-CELL (2355) [email protected] Support: 877-678-TECH (8324) [email protected] Web: cellsignal.com
For Research Use Only. Not for Use in Diagnostic Procedures.

Revision 5

Cell Signaling Technology Logo
Immunohistochemical analysis of paraffin-embedded mouse colon using CD38 (E9F5A) XP® Rabbit mAb.
Immunohistochemistry Image 13: CD38 (E9F5A) Rabbit Monoclonal Antibody
Immunohistochemical analysis of paraffin-embedded mouse cerebellum using CD38 (E9F5A) XP® Rabbit mAb.
Immunohistochemistry Image 14: CD38 (E9F5A) Rabbit Monoclonal Antibody
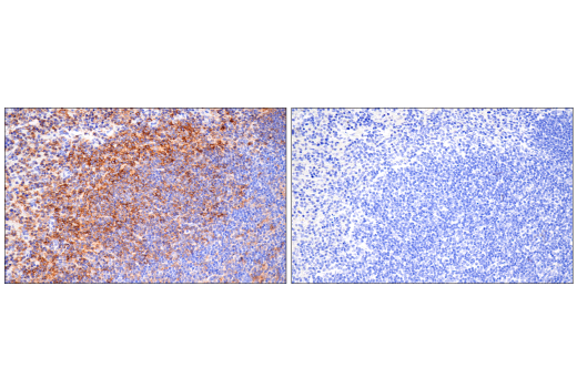
Immunohistochemical analysis of paraffin-embedded mouse spleen using CD38 (E9F5A) XP® Rabbit mAb (left) compared to concentration-matched Rabbit (DA1E) mAb IgG XP® Isotype Control #3900 (right).
Immunohistochemistry Image 15: CD38 (E9F5A) Rabbit Monoclonal Antibody
Orders: 877-616-CELL (2355) [email protected] Support: 877-678-TECH (8324) [email protected] Web: cellsignal.com
For Research Use Only. Not for Use in Diagnostic Procedures.

Revision 5

Cell Signaling Technology Logo
Confocal immunofluorescent analysis of fixed frozen mouse spleen labeled with CD38 (E9F5A) XP® Rabbit mAb (left, green). Free secondary binding sites were then blocked with Rabbit (DA1E) mAb IgG XP® Isotype Control #3900 prior to colabeling with Iba1/AIF-1 (E4O4W) XP® Rabbit mAb (Alexa Fluor® 555 Conjugate) #36618 (right, blue pseudocolor) and CD45R/B220 (RA3-6B2) Rat mAb (redFluor™ 710 Conjugate) #82984 (right, red).
Immunofluorescence Image 1: CD38 (E9F5A) Rabbit Monoclonal Antibody
Confocal immunofluorescent analysis of fixed frozen mouse liver labeled with CD38 (E9F5A) XP® Rabbit mAb (left, green). Free secondary binding sites were then blocked with Rabbit (DA1E) mAb IgG XP® Isotype Control #3900 prior to colabeling with Iba1/AIF-1 (E4O4W) XP® Rabbit mAb (Alexa Fluor® 555 Conjugate) #36618 (right, red) and ProLong® Gold Antifade Reagent with DAPI #8961 (right, blue).
Immunofluorescence Image 2: CD38 (E9F5A) Rabbit Monoclonal Antibody
Confocal immunofluorescent analysis of mouse bone marrow-derived macrophages (BMDM), either untreated (left) or Lipopolysaccharides (LPS) #14011 treated (1 ug/ml, 24 hr; right) using CD38 (E9F5A) XP® Rabbit mAb (green) and DAPI #4083 (blue).
Immunofluorescence Image 1: CD38 (E9F5A) Rabbit Monoclonal Antibody
Orders: 877-616-CELL (2355) [email protected] Support: 877-678-TECH (8324) [email protected] Web: cellsignal.com
For Research Use Only. Not for Use in Diagnostic Procedures.