Revision 4

#14481

Store at -20C

CST Logo
Orders:

877-616-CELL (2355)

[email protected]

Support:

877-678-TECH (8324)

3 Trask Lane | Danvers | Massachusetts | 01923 | USA

For Research Use Only. Not for Use in Diagnostic Procedures.

Applications:
W, IHC-P

Reactivity:
M

Sensitivity:
Endogenous

MW (kDa):
80

Source/Isotype:
Rabbit IgG

UniProt ID:
#P55772

Entrez-Gene Id:
12495

Product Usage Information

Application Dilution
Western Blotting 1:1000
Immunohistochemistry (Paraffin) 1:200

Storage

Supplied in 10 mM sodium HEPES (pH 7.5), 150 mM NaCl, 100 µg/ml BSA, 50% glycerol and less than 0.02% sodium azide. Store at –20°C. Do not aliquot the antibody.

For a carrier free (BSA and azide free) version of this product see product #99341

Specificity/Sensitivity

CD39/NTPDase 1 (E2X6B) Rabbit Monoclonal Antibody recognizes endogenous levels of total NTPDase 1 protein.

Source / Purification

Monoclonal antibody is produced by immunizing animals with a synthetic peptide corresponding to residues surrounding Lys307 of mouse NTPDase 1 protein.

Background

Ectonucleoside triphosphate diphosphohydrolase 1 (NTPDase 1, also known as CD39) is a multi-pass membrane ectoenzyme that metabolizes adenosine-5'-triphosphate (ATP) to regulate purinergic signaling. Purinergic signaling by extracellular ATP and its metabolites regulate many biological processes, including vascular tone, digestion, neuronal function, and inflammation in both normal and diseased states (1). NTPDase 1 is expressed in endothelial cells in the vasculature to regulate local platelet purinergic signaling via metabolism of ATP to adenosine (2). Accordingly, NTPDase 1 regulates platelet activation aggregation and contributes to the antithrombotic properties of endothelial cells (3). ATP and its metabolites also finely modulate the activity of T cells and macrophages (4,5). Immunomodulation is regulated, in part, by the availability of extracellular ATP and adenosine, suggesting that NTPDase 1 (CD39) may play an immunosuppressive role in the tumor microenvironment.

Species Reactivity

Species reactivity is determined by testing in at least one approved application (e.g., western blot).

Western Blot Buffer

IMPORTANT: For western blots, incubate membrane with diluted primary antibody in 5% w/v BSA, 1X TBS, 0.1% Tween® 20 at 4°C with gentle shaking, overnight.

Applications Key

W: Western Blotting IHC-P: Immunohistochemistry (Paraffin)

Cross-Reactivity Key

M: Mouse

Trademarks and Patents

Cell Signaling Technology is a trademark of Cell Signaling Technology, Inc.

SignalStain is a registered trademark of Cell Signaling Technology, Inc.

All other trademarks are the property of their respective owners. Visit cellsignal.com/trademarks for more information.

Limited Uses

Except as otherwise expressly agreed in a writing signed by a legally authorized representative of CST, the following terms apply to Products provided by CST, its affiliates or its distributors. Any Customer's terms and conditions that are in addition to, or different from, those contained herein, unless separately accepted in writing by a legally authorized representative of CST, are rejected and are of no force or effect.

Products are labeled with For Research Use Only or a similar labeling statement and have not been approved, cleared, or licensed by the FDA or other regulatory foreign or domestic entity, for any purpose. Customer shall not use any Product for any diagnostic or therapeutic purpose, or otherwise in any manner that conflicts with its labeling statement. Products sold or licensed by CST are provided for Customer as the end-user and solely for research and development uses. Any use of Product for diagnostic, prophylactic or therapeutic purposes, or any purchase of Product for resale (alone or as a component) or other commercial purpose, requires a separate license from CST. Customer shall (a) not sell, license, loan, donate or otherwise transfer or make available any Product to any third party, whether alone or in combination with other materials, or use the Products to manufacture any commercial products, (b) not copy, modify, reverse engineer, decompile, disassemble or otherwise attempt to discover the underlying structure or technology of the Products, or use the Products for the purpose of developing any products or services that would compete with CST products or services, (c) not alter or remove from the Products any trademarks, trade names, logos, patent or copyright notices or markings, (d) use the Products solely in accordance with CST Product Terms of Sale and any applicable documentation, and (e) comply with any license, terms of service or similar agreement with respect to any third party products or services used by Customer in connection with the Products.

Orders: 877-616-CELL (2355) [email protected] Support: 877-678-TECH (8324) [email protected] Web: cellsignal.com
For Research Use Only. Not for Use in Diagnostic Procedures.

Revision 4

Cell Signaling Technology Logo
Western blot analysis of extracts from mouse lung, and J774A.1 and NIH/3T3 cells using CD39/NTPDase 1 (E2X6B) XP® Rabbit mAb (upper) and β-Actin (D6A8) Rabbit mAb #8457 (lower).
Western Blotting Image 1: CD39/NTPDase 1 (E2X6B) Rabbit Monoclonal Antibody
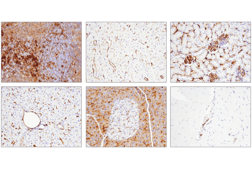
Immunohistochemical analysis of various paraffin-embedded normal mouse tissues: spleen (top-left), heart (top-center), kidney (top-right), liver (bottom-left), pancreas (bottom-center) and skeletal muscle (bottom-right) using CD39/NTPDase 1 (E2X6B) XP® Rabbit mAb.
Immunohistochemistry Image 1: CD39/NTPDase 1 (E2X6B) Rabbit Monoclonal Antibody
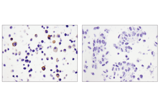
Immunohistochemical analysis of paraffin-embedded J774A.1 cell pellet (left, positive) or NIH/3T3 cell pellet (right, negative) using CD39/NTPDase 1 (E2X6B) XP® Rabbit mAb.
Immunohistochemistry Image 2: CD39/NTPDase 1 (E2X6B) Rabbit Monoclonal Antibody
Orders: 877-616-CELL (2355) [email protected] Support: 877-678-TECH (8324) [email protected] Web: cellsignal.com
For Research Use Only. Not for Use in Diagnostic Procedures.

Revision 4

Cell Signaling Technology Logo
Immunohistochemical analysis of paraffin-embedded mouse stomach using CD39/NTPDase 1 (E2X6B) XP® Rabbit mAb (left) compared to concentration matched Rabbit (DA1E) mAb IgG XP® Isotype Control #3900 (right).
Immunohistochemistry Image 3: CD39/NTPDase 1 (E2X6B) Rabbit Monoclonal Antibody
Orders: 877-616-CELL (2355) [email protected] Support: 877-678-TECH (8324) [email protected] Web: cellsignal.com
For Research Use Only. Not for Use in Diagnostic Procedures.