Revision 21

#48274

Store at +4C

CST Logo
Orders:

877-616-CELL (2355)

[email protected]

Support:

877-678-TECH (8324)

3 Trask Lane | Danvers | Massachusetts | 01923 | USA

For Research Use Only. Not for Use in Diagnostic Procedures.

Applications:
IHC-Bond, IHC-P

Reactivity:
H Mk

Sensitivity:
Endogenous

Source/Isotype:
Rabbit IgG

UniProt ID:
#P01730

Entrez-Gene Id:
920

Product Usage Information

Application Dilution
IHC Leica Bond 1:50 - 1:200
Immunohistochemistry (Paraffin) 1:50 - 1:200

Storage

Supplied in a PBS-based buffer with ~1% BSA and less than 0.1% sodium azide. Stable for 12 months when stored at 4°C. Do not aliquot the antibody.

Note: This product is only available in the format listed above. We are unable to provide this in a carrier free, custom formulation.

Specificity/Sensitivity

CD4 (EP204) Rabbit Monoclonal Antibody recognizes endogenous levels of CD4 protein.

Source / Purification

Monoclonal antibody is produced by immunizing animals with a synthetic peptide corresponding to the residues of human CD4 protein.

Background

Cluster of Differentiation 4 (CD4) is a glycoprotein composed of an amino-terminal extracellular domain (four domains: D1-D4 with Ig-like structures), a transmembrane part, and a short cytoplasmic tail. CD4 is expressed on the surface of T helper cells, regulatory T cells, monocytes, macrophages, and dendritic cells, and plays an important role in the development and activation of T cells. On T cells, CD4 is the co-receptor for the T cell receptor (TCR), and these two distinct structures recognize the Antigen–Major Histocompatibility Complex (MHC). Specifically, the D1 domain of CD4 interacts with the β2-domain of the MHC class II molecule. CD4 ensures specificity of the TCR–antigen interaction, prolongs the contact between the T cell and the antigen presenting cell, and recruits the tyrosine kinase Lck, which is essential for T cell activation (1).

Species Reactivity

Species reactivity is determined by testing in at least one approved application (e.g., western blot).

Applications Key

IHC-Bond: IHC Leica Bond IHC-P: Immunohistochemistry (Paraffin)

Cross-Reactivity Key

H: Human Mk: Monkey

Trademarks and Patents

Cell Signaling Technology is a trademark of Cell Signaling Technology, Inc.

SignalStain is a registered trademark of Cell Signaling Technology, Inc.

All other trademarks are the property of their respective owners. Visit cellsignal.com/trademarks for more information.

Limited Uses

Except as otherwise expressly agreed in a writing signed by a legally authorized representative of CST, the following terms apply to Products provided by CST, its affiliates or its distributors. Any Customer's terms and conditions that are in addition to, or different from, those contained herein, unless separately accepted in writing by a legally authorized representative of CST, are rejected and are of no force or effect.

Products are labeled with For Research Use Only or a similar labeling statement and have not been approved, cleared, or licensed by the FDA or other regulatory foreign or domestic entity, for any purpose. Customer shall not use any Product for any diagnostic or therapeutic purpose, or otherwise in any manner that conflicts with its labeling statement. Products sold or licensed by CST are provided for Customer as the end-user and solely for research and development uses. Any use of Product for diagnostic, prophylactic or therapeutic purposes, or any purchase of Product for resale (alone or as a component) or other commercial purpose, requires a separate license from CST. Customer shall (a) not sell, license, loan, donate or otherwise transfer or make available any Product to any third party, whether alone or in combination with other materials, or use the Products to manufacture any commercial products, (b) not copy, modify, reverse engineer, decompile, disassemble or otherwise attempt to discover the underlying structure or technology of the Products, or use the Products for the purpose of developing any products or services that would compete with CST products or services, (c) not alter or remove from the Products any trademarks, trade names, logos, patent or copyright notices or markings, (d) use the Products solely in accordance with CST Product Terms of Sale and any applicable documentation, and (e) comply with any license, terms of service or similar agreement with respect to any third party products or services used by Customer in connection with the Products.

Orders: 877-616-CELL (2355) [email protected] Support: 877-678-TECH (8324) [email protected] Web: cellsignal.com
For Research Use Only. Not for Use in Diagnostic Procedures.

Revision 21

Cell Signaling Technology Logo
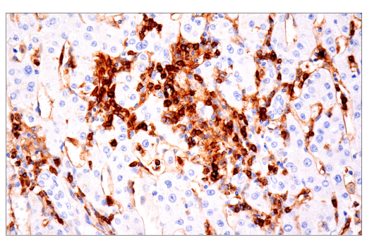
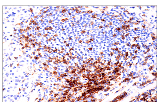
Immunohistochemical analysis of paraffin-embedded human lymphoma using CD4 (EP204) Rabbit mAb performed on the Leica® BOND™ Rx. 
Immunohistochemistry Image 1: CD4 (EP204) Rabbit Monoclonal Antibody
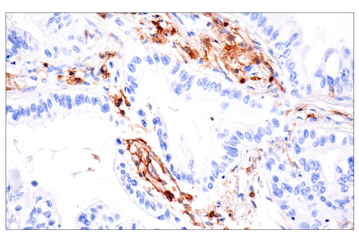
Immunohistochemical analysis of paraffin-embedded human prostate carcinoma using CD4 (EP204) Rabbit mAb performed on the Leica® BOND™ Rx.
Immunohistochemistry Image 2: CD4 (EP204) Rabbit Monoclonal Antibody
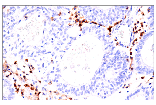
Immunohistochemical analysis of paraffin-embedded human colon carcinoma using CD4 (EP204) Rabbit mAb.
Immunohistochemistry Image 1: CD4 (EP204) Rabbit Monoclonal Antibody
Orders: 877-616-CELL (2355) [email protected] Support: 877-678-TECH (8324) [email protected] Web: cellsignal.com
For Research Use Only. Not for Use in Diagnostic Procedures.

Revision 21

Cell Signaling Technology Logo
Immunohistochemical analysis of paraffin-embedded human hepatocellular carcinoma using CD4 (EP204) Rabbit mAb.
Immunohistochemistry Image 2: CD4 (EP204) Rabbit Monoclonal Antibody
Immunohistochemical analysis of paraffin-embedded human lung adenocarcinoma using CD4 (EP204) Rabbit mAb.
Immunohistochemistry Image 3: CD4 (EP204) Rabbit Monoclonal Antibody
Immunohistochemical analysis of paraffin-embedded human endometrioid adenocarcinoma using CD4 (EP204) Rabbit mAb.
Immunohistochemistry Image 4: CD4 (EP204) Rabbit Monoclonal Antibody
Orders: 877-616-CELL (2355) [email protected] Support: 877-678-TECH (8324) [email protected] Web: cellsignal.com
For Research Use Only. Not for Use in Diagnostic Procedures.

Revision 21

Cell Signaling Technology Logo
Immunohistochemical analysis of paraffin-embedded HuT 102 cell pellet (left, positive) or PC-3 cell pellet (right, negative) using CD4 (EP204) Rabbit mAb.
Immunohistochemistry Image 5: CD4 (EP204) Rabbit Monoclonal Antibody
Immunohistochemical analysis of paraffin-embedded human gastric adenocarcinoma using CD4 (EP204) Rabbit mAb.
Immunohistochemistry Image 6: CD4 (EP204) Rabbit Monoclonal Antibody
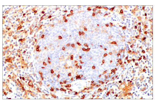
Immunohistochemical analysis of paraffin-embedded human tonsil using CD4 (EP204) Rabbit mAb.
Immunohistochemistry Image 7: CD4 (EP204) Rabbit Monoclonal Antibody
Orders: 877-616-CELL (2355) [email protected] Support: 877-678-TECH (8324) [email protected] Web: cellsignal.com
For Research Use Only. Not for Use in Diagnostic Procedures.

Revision 21

Cell Signaling Technology Logo
Immunohistochemical analysis of paraffin-embedded normal rhesus monkey spleen using CD4 (EP204) Rabbit mAb.
Immunohistochemistry Image 8: CD4 (EP204) Rabbit Monoclonal Antibody
Orders: 877-616-CELL (2355) [email protected] Support: 877-678-TECH (8324) [email protected] Web: cellsignal.com
For Research Use Only. Not for Use in Diagnostic Procedures.