Revision 14

#40868

Store at -20C

CST Logo
Orders:

877-616-CELL (2355)

[email protected]

Support:

877-678-TECH (8324)

3 Trask Lane | Danvers | Massachusetts | 01923 | USA

For Research Use Only. Not for Use in Diagnostic Procedures.

Applications:
W, W-S, IHC-Bond, IHC-P

Reactivity:
H

Sensitivity:
Endogenous

MW (kDa):
42

Source/Isotype:
Rabbit IgG

UniProt ID:
#P25942

Entrez-Gene Id:
958

Product Usage Information

Application Dilution
Western Blotting 1:1000
Simple Western™ 1:10 - 1:50
IHC Leica Bond 1:200
Immunohistochemistry (Paraffin) 1:100

Storage

Supplied in 10 mM sodium HEPES (pH 7.5), 150 mM NaCl, 100 µg/ml BSA, 50% glycerol and less than 0.02% sodium azide. Store at –20°C. Do not aliquot the antibody.

For a carrier free (BSA and azide free) version of this product see product #77841.

Specificity/Sensitivity

CD40 (D8W3N) Rabbit Monoclonal Antibody recognizes endogenous levels of total CD40 protein.

Source / Purification

Monoclonal antibody is produced by immunizing animals with a synthetic peptide corresponding to residues surrounding Ala135 of human CD40 protein.

Background

CD40, also known as tumor necrosis factor receptor superfamily member 5 (TNFRSF5), is a type I transmembrane protein expressed on the surface of B cells and professional antigen-presenting cells of the immune system, as well as on several non-hematopoietic cell types and cancers (1-4). CD40 interacts with CD40 ligand (CD40L/TNFSF5), which is expressed primarily on activated T cells but has also been reported on blood platelets, mast cells, basophils, NK cells, and B cells (5). Upon engagement with CD40L, CD40 signals through TNF receptor associated factors and MAP kinase signaling pathways, resulting in a wide variety of immune and inflammatory responses, including dendritic cell activation and cross-presentation, T cell-dependent immunoglobulin class switching, memory B cell development, and germinal center formation (6-8). The CD40/CD40L axis is essential for the initiation and progression of cellular and humoral adaptive immunity, and is an important area of interest in the study of tumor immunology, neurodegenerative diseases, vascular diseases, and inflammatory disorders (9-12).

Species Reactivity

Species reactivity is determined by testing in at least one approved application (e.g., western blot).

Western Blot Buffer

IMPORTANT: For western blots, incubate membrane with diluted primary antibody in 5% w/v BSA, 1X TBS, 0.1% Tween® 20 at 4°C with gentle shaking, overnight.

Applications Key

W: Western Blotting W-S: Simple Western™ IHC-Bond: IHC Leica Bond IHC-P: Immunohistochemistry (Paraffin)

Cross-Reactivity Key

H: Human

Trademarks and Patents

Cell Signaling Technology is a trademark of Cell Signaling Technology, Inc.

SignalStain is a registered trademark of Cell Signaling Technology, Inc.

All other trademarks are the property of their respective owners. Visit cellsignal.com/trademarks for more information.

Limited Uses

Except as otherwise expressly agreed in a writing signed by a legally authorized representative of CST, the following terms apply to Products provided by CST, its affiliates or its distributors. Any Customer's terms and conditions that are in addition to, or different from, those contained herein, unless separately accepted in writing by a legally authorized representative of CST, are rejected and are of no force or effect.

Products are labeled with For Research Use Only or a similar labeling statement and have not been approved, cleared, or licensed by the FDA or other regulatory foreign or domestic entity, for any purpose. Customer shall not use any Product for any diagnostic or therapeutic purpose, or otherwise in any manner that conflicts with its labeling statement. Products sold or licensed by CST are provided for Customer as the end-user and solely for research and development uses. Any use of Product for diagnostic, prophylactic or therapeutic purposes, or any purchase of Product for resale (alone or as a component) or other commercial purpose, requires a separate license from CST. Customer shall (a) not sell, license, loan, donate or otherwise transfer or make available any Product to any third party, whether alone or in combination with other materials, or use the Products to manufacture any commercial products, (b) not copy, modify, reverse engineer, decompile, disassemble or otherwise attempt to discover the underlying structure or technology of the Products, or use the Products for the purpose of developing any products or services that would compete with CST products or services, (c) not alter or remove from the Products any trademarks, trade names, logos, patent or copyright notices or markings, (d) use the Products solely in accordance with CST Product Terms of Sale and any applicable documentation, and (e) comply with any license, terms of service or similar agreement with respect to any third party products or services used by Customer in connection with the Products.

Orders: 877-616-CELL (2355) [email protected] Support: 877-678-TECH (8324) [email protected] Web: cellsignal.com
For Research Use Only. Not for Use in Diagnostic Procedures.

Revision 14

Cell Signaling Technology Logo
Western blot analysis of extracts from THP-1 cells, untreated (-) or LPS-treated (100 ng/ml, 8hr; +), using CD40 (D8W3N) Rabbit mAb (upper) or β-actin (D6A8) Rabbit mAb #8457 (lower).
Western Blotting Image 1: CD40 (D8W3N) Rabbit Monoclonal Antibody
Western blot analysis of extracts from various cell lines and tissues using CD40 (D8W3N) Rabbit mAb (upper) and β-Actin (D6A8) Rabbit mAb #8457 (lower).
Western Blotting Image 2: CD40 (D8W3N) Rabbit Monoclonal Antibody
Simple Western™️ analysis of lysates (1mg/mL) from Raji cells using CD40 (D8W3N) Rabbit mAb #40868. The virtual lane view (left) shows the target band (as indicated) at 1:10 and 1:50 dilutions of primary antibody. The corresponding electropherogram view (right) plots chemiluminescence by molecular weight along the capillary at 1:10 (blue line) and 1:50 (green line) dilutions of primary antibody. This experiment was performed under reducing conditions on the Jess™️ Simple Western instrument from ProteinSimple, a BioTechne brand, using the 12 – 230 kDa separation module.
Western Blotting Image 1: CD40 (D8W3N) Rabbit Monoclonal Antibody
Orders: 877-616-CELL (2355) [email protected] Support: 877-678-TECH (8324) [email protected] Web: cellsignal.com
For Research Use Only. Not for Use in Diagnostic Procedures.

Revision 14

Cell Signaling Technology Logo
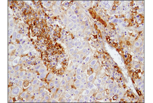
Imunohistochemical analysis of paraffin-embedded human infiltrating ductal carcinoma of the breast using CD40 (D8W3N) Rabbit mAb performed on the Leica® BOND™ Rx.
Immunohistochemistry Image 1: CD40 (D8W3N) Rabbit Monoclonal Antibody
Imunohistochemical analysis of paraffin-embedded human non-small cell lung carcinoma using CD40 (D8W3N) Rabbit mAb.
Immunohistochemistry Image 1: CD40 (D8W3N) Rabbit Monoclonal Antibody
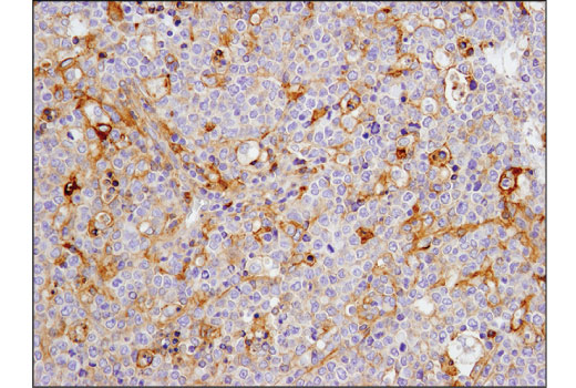
Imunohistochemical analysis of paraffin-embedded human Non-Hodgkin lymphoma using CD40 (D8W3N) Rabbit mAb.
Immunohistochemistry Image 2: CD40 (D8W3N) Rabbit Monoclonal Antibody
Orders: 877-616-CELL (2355) [email protected] Support: 877-678-TECH (8324) [email protected] Web: cellsignal.com
For Research Use Only. Not for Use in Diagnostic Procedures.

Revision 14

Cell Signaling Technology Logo
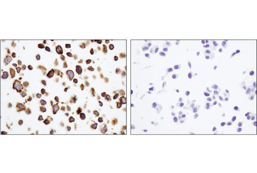
Imunohistochemical analysis of paraffin-embedded RL cell pellets (left, positive) or MCF7 cell pellets (right, negative) using CD40 (D8W3N) Rabbit mAb.
Immunohistochemistry Image 3: CD40 (D8W3N) Rabbit Monoclonal Antibody
Imunohistochemical analysis of paraffin-embedded human tonsil using CD40 (D8W3N) Rabbit mAb.
Immunohistochemistry Image 4: CD40 (D8W3N) Rabbit Monoclonal Antibody
Orders: 877-616-CELL (2355) [email protected] Support: 877-678-TECH (8324) [email protected] Web: cellsignal.com
For Research Use Only. Not for Use in Diagnostic Procedures.