Revision 3

#86165

Store at -20C

CST Logo
Orders:

877-616-CELL (2355)

[email protected]

Support:

877-678-TECH (8324)

3 Trask Lane | Danvers | Massachusetts | 01923 | USA

For Research Use Only. Not for Use in Diagnostic Procedures.

Applications:
W, IP, IHC-Bond, IHC-P

Reactivity:
M

Sensitivity:
Endogenous

MW (kDa):
40

Source/Isotype:
Rabbit IgG

UniProt ID:
#P27512

Entrez-Gene Id:
21939

Product Usage Information

Application Dilution
Western Blotting 1:1000
Immunoprecipitation 1:200
IHC Leica Bond 1:400
Immunohistochemistry (Paraffin) 1:400

Storage

Supplied in 10 mM sodium HEPES (pH 7.5), 150 mM NaCl, 100 µg/ml BSA, 50% glycerol and less than 0.02% sodium azide. Store at –20°C. Do not aliquot the antibody.

For a carrier free (BSA and azide free) version of this product see product #19554.

Specificity/Sensitivity

CD40 (E2Z7J) Rabbit Monoclonal Antibody recognizes endogenous levels of total mouse CD40 protein. This antibody does not cross-react with human CD40 protein.

Source / Purification

Monoclonal antibody is produced by immunizing animals with a synthetic peptide corresponding to residues surrounding Val289 of mouse CD40 protein.

Background

CD40, also known as tumor necrosis factor receptor superfamily member 5 (TNFRSF5), is a type I transmembrane protein expressed on the surface of B cells and professional antigen-presenting cells of the immune system, as well as on several non-hematopoietic cell types and cancers (1-4). CD40 interacts with CD40 ligand (CD40L/TNFSF5), which is expressed primarily on activated T cells but has also been reported on blood platelets, mast cells, basophils, NK cells, and B cells (5). Upon engagement with CD40L, CD40 signals through TNF receptor associated factors and MAP kinase signaling pathways, resulting in a wide variety of immune and inflammatory responses, including dendritic cell activation and cross-presentation, T cell-dependent immunoglobulin class switching, memory B cell development, and germinal center formation (6-8). The CD40/CD40L axis is essential for the initiation and progression of cellular and humoral adaptive immunity, and is an important area of interest in the study of tumor immunology, neurodegenerative diseases, vascular diseases, and inflammatory disorders (9-12).

Species Reactivity

Species reactivity is determined by testing in at least one approved application (e.g., western blot).

Western Blot Buffer

IMPORTANT: For western blots, incubate membrane with diluted primary antibody in 5% w/v BSA, 1X TBS, 0.1% Tween® 20 at 4°C with gentle shaking, overnight.

Applications Key

W: Western Blotting IP: Immunoprecipitation IHC-Bond: IHC Leica Bond IHC-P: Immunohistochemistry (Paraffin)

Cross-Reactivity Key

M: Mouse

Trademarks and Patents

Cell Signaling Technology is a trademark of Cell Signaling Technology, Inc.

SignalStain is a registered trademark of Cell Signaling Technology, Inc.

All other trademarks are the property of their respective owners. Visit cellsignal.com/trademarks for more information.

Limited Uses

Except as otherwise expressly agreed in a writing signed by a legally authorized representative of CST, the following terms apply to Products provided by CST, its affiliates or its distributors. Any Customer's terms and conditions that are in addition to, or different from, those contained herein, unless separately accepted in writing by a legally authorized representative of CST, are rejected and are of no force or effect.

Products are labeled with For Research Use Only or a similar labeling statement and have not been approved, cleared, or licensed by the FDA or other regulatory foreign or domestic entity, for any purpose. Customer shall not use any Product for any diagnostic or therapeutic purpose, or otherwise in any manner that conflicts with its labeling statement. Products sold or licensed by CST are provided for Customer as the end-user and solely for research and development uses. Any use of Product for diagnostic, prophylactic or therapeutic purposes, or any purchase of Product for resale (alone or as a component) or other commercial purpose, requires a separate license from CST. Customer shall (a) not sell, license, loan, donate or otherwise transfer or make available any Product to any third party, whether alone or in combination with other materials, or use the Products to manufacture any commercial products, (b) not copy, modify, reverse engineer, decompile, disassemble or otherwise attempt to discover the underlying structure or technology of the Products, or use the Products for the purpose of developing any products or services that would compete with CST products or services, (c) not alter or remove from the Products any trademarks, trade names, logos, patent or copyright notices or markings, (d) use the Products solely in accordance with CST Product Terms of Sale and any applicable documentation, and (e) comply with any license, terms of service or similar agreement with respect to any third party products or services used by Customer in connection with the Products.

Orders: 877-616-CELL (2355) [email protected] Support: 877-678-TECH (8324) [email protected] Web: cellsignal.com
For Research Use Only. Not for Use in Diagnostic Procedures.

Revision 3

Cell Signaling Technology Logo
Western blot analysis of extracts from RAW 264.7 cells, untreated (-) or treated (+) with Lipopolysaccharide #14011 (LPS; 100 ng/ml, 7 hr), using CD40 (E2Z7J) Rabbit mAb (upper) and β-Actin (D6A8) Rabbit mAb #8457 (lower).
Western Blotting Image 1: CD40 (E2Z7J) Rabbit Monoclonal Antibody
Immunoprecipitation of CD40 protein from RAW 264.7 cells treated with Lipopolysaccharide #14011 (LPS; 100 ng/ml, 7 hr) cell extracts. Lane 1 is 10% input, lane 2 is Rabbit (DA1E) mAb IgG XP® Isotype Control #3900, and lane 3 is CD40 (E2Z7J) Rabbit mAb. Western blot analysis was performed using CD40 (E2Z7J) Rabbit mAb.
Immunoprecipitation Image 1: CD40 (E2Z7J) Rabbit Monoclonal Antibody
Immunohistochemical analysis of paraffin-embedded mouse spleen using CD40 (E2Z7J) Rabbit mAb performed on the Leica® BOND™ Rx.
Immunohistochemistry Image 1: CD40 (E2Z7J) Rabbit Monoclonal Antibody
Orders: 877-616-CELL (2355) [email protected] Support: 877-678-TECH (8324) [email protected] Web: cellsignal.com
For Research Use Only. Not for Use in Diagnostic Procedures.

Revision 3

Cell Signaling Technology Logo
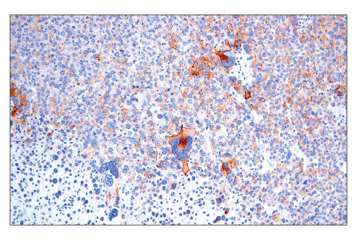
Immunohistochemical analysis of paraffin-embedded Renca syngeneic tumor using CD40 (E2Z7J) Rabbit mAb performed on the Leica® BOND™ Rx.
Immunohistochemistry Image 2: CD40 (E2Z7J) Rabbit Monoclonal Antibody
Immunohistochemical analysis of paraffin-embedded RAW 264.7 cell pellet, untreated (left, negative) or treated with Lipopolysaccharide (LPS) #14011 (middle, positive), and BaF3 cell pellet (right, negative) using CD40 (E2Z7J) Rabbit mAb.
Immunohistochemistry Image 1: CD40 (E2Z7J) Rabbit Monoclonal Antibody
Immunohistochemical analysis of paraffin-embedded mouse adipose tissue using CD40 (E2Z7J) Rabbit mAb. Note staining of lymphoid cells and lack of staining in surrounding white and brown adipose tissues.
Immunohistochemistry Image 2: CD40 (E2Z7J) Rabbit Monoclonal Antibody
Orders: 877-616-CELL (2355) [email protected] Support: 877-678-TECH (8324) [email protected] Web: cellsignal.com
For Research Use Only. Not for Use in Diagnostic Procedures.

Revision 3

Cell Signaling Technology Logo
Immunohistochemical analysis of paraffin-embedded mouse spleen using CD40 (E2Z7J) Rabbit mAb (left) compared to concentration matched Rabbit (DA1E) mAb IgG XP® Isotype Control #3900 (right).
Immunohistochemistry Image 3: CD40 (E2Z7J) Rabbit Monoclonal Antibody
Orders: 877-616-CELL (2355) [email protected] Support: 877-678-TECH (8324) [email protected] Web: cellsignal.com
For Research Use Only. Not for Use in Diagnostic Procedures.