Revision 6

#15094

Store at -20C

CST Logo
Orders:

877-616-CELL (2355)

[email protected]

Support:

877-678-TECH (8324)

3 Trask Lane | Danvers | Massachusetts | 01923 | USA

For Research Use Only. Not for Use in Diagnostic Procedures.

Applications:
W, IP, IHC-P

Reactivity:
H

Sensitivity:
Endogenous

MW (kDa):
25-30 (membrane bound); 17 (soluble)

Source/Isotype:
Rabbit IgG

UniProt ID:
#P29965

Entrez-Gene Id:
959

Product Usage Information

Application Dilution
Western Blotting 1:1000
Immunoprecipitation 1:50
Immunohistochemistry (Paraffin) 1:100

Storage

Supplied in 10 mM sodium HEPES (pH 7.5), 150 mM NaCl, 100 µg/ml BSA, 50% glycerol and less than 0.02% sodium azide. Store at –20°C. Do not aliquot the antibody.

For a carrier free (BSA and azide free) version of this product see product #73222.

Specificity/Sensitivity

CD40 Ligand (D5J9Y) Rabbit Monoclonal Antibody recognizes endogenous levels of total membrane bound and soluble CD40 ligand protein.

Source / Purification

Monoclonal antibody is produced by immunizing animals with recombinant protein specific to the extracellular domain of human CD40 ligand protein.

Background

CD40 ligand (CD40L), also known as CD154, TRAP, and gp39, is the ligand for the TNF receptor family member CD40 (1-6). CD40L is expressed either as a soluble cytokine or as a homotrimeric transmembrane protein. CD40L primarily expressed on the surface of T-cells, but has also been reported in blood platelets, mast cells, basophils, NK cells, and B-cells. It plays an important role in stimulating B-cell cell proliferation and survival and promotes immunoglobulin class switching and secretion of IgE (7). Signals generated by CD40 vary depending on cell type and include activation of MAPK pathways as well as NF-κB (8-11). Mutations within the CD40L gene are associated with X-linked hyper-IgM syndrome characterized by high serum levels of IgM and decreased levels of other isotypes (12). The CD40L/CD40 pathway is an important area of interest in the study of cancer, vascular diseases, and inflammatory disorders (13-15).

Species Reactivity

Species reactivity is determined by testing in at least one approved application (e.g., western blot).

Western Blot Buffer

IMPORTANT: For western blots, incubate membrane with diluted primary antibody in 5% w/v BSA, 1X TBS, 0.1% Tween® 20 at 4°C with gentle shaking, overnight.

Applications Key

W: Western Blotting IP: Immunoprecipitation IHC-P: Immunohistochemistry (Paraffin)

Cross-Reactivity Key

H: Human

Trademarks and Patents

Cell Signaling Technology is a trademark of Cell Signaling Technology, Inc.

SignalStain is a registered trademark of Cell Signaling Technology, Inc.

All other trademarks are the property of their respective owners. Visit cellsignal.com/trademarks for more information.

Limited Uses

Except as otherwise expressly agreed in a writing signed by a legally authorized representative of CST, the following terms apply to Products provided by CST, its affiliates or its distributors. Any Customer's terms and conditions that are in addition to, or different from, those contained herein, unless separately accepted in writing by a legally authorized representative of CST, are rejected and are of no force or effect.

Products are labeled with For Research Use Only or a similar labeling statement and have not been approved, cleared, or licensed by the FDA or other regulatory foreign or domestic entity, for any purpose. Customer shall not use any Product for any diagnostic or therapeutic purpose, or otherwise in any manner that conflicts with its labeling statement. Products sold or licensed by CST are provided for Customer as the end-user and solely for research and development uses. Any use of Product for diagnostic, prophylactic or therapeutic purposes, or any purchase of Product for resale (alone or as a component) or other commercial purpose, requires a separate license from CST. Customer shall (a) not sell, license, loan, donate or otherwise transfer or make available any Product to any third party, whether alone or in combination with other materials, or use the Products to manufacture any commercial products, (b) not copy, modify, reverse engineer, decompile, disassemble or otherwise attempt to discover the underlying structure or technology of the Products, or use the Products for the purpose of developing any products or services that would compete with CST products or services, (c) not alter or remove from the Products any trademarks, trade names, logos, patent or copyright notices or markings, (d) use the Products solely in accordance with CST Product Terms of Sale and any applicable documentation, and (e) comply with any license, terms of service or similar agreement with respect to any third party products or services used by Customer in connection with the Products.

Orders: 877-616-CELL (2355) [email protected] Support: 877-678-TECH (8324) [email protected] Web: cellsignal.com
For Research Use Only. Not for Use in Diagnostic Procedures.

Revision 6

Cell Signaling Technology Logo
Western blot analysis of extracts from various cell lines and tissues using CD40 Ligand (D5J9Y) Rabbit mAb (upper) and β-Actin (D6A8) Rabbit mAb #8457 (lower).
Western Blotting Image 1: CD40 Ligand (D5J9Y) Rabbit Monoclonal Antibody
Western blot analysis of indicated amounts of recombinant Human CD40 Ligand (hCD40L) #3583 using CD40 Ligand (D5J9Y) Rabbit mAb.
Western Blotting Image 2: CD40 Ligand (D5J9Y) Rabbit Monoclonal Antibody
Immunoprecipitation of CD40 ligand from a HeLa cell lysate spiked with recombinant Human CD40 Ligand (hCD40L) #3583 (10 ng/ml) using Rabbit (DA1E) mAb IgG XP® Isotype Control #3900 (lane 2) or CD40 Ligand (D5J9Y) Rabbit mAb (lane 3). Lane 1 is 10% input. Western blot was performed using CD40 Ligand (D5J9Y) Rabbit mAb.
Immunoprecipitation Image 1: CD40 Ligand (D5J9Y) Rabbit Monoclonal Antibody
Orders: 877-616-CELL (2355) [email protected] Support: 877-678-TECH (8324) [email protected] Web: cellsignal.com
For Research Use Only. Not for Use in Diagnostic Procedures.

Revision 6

Cell Signaling Technology Logo
Immunoprecipitation of CD40 ligand from Jurkat cells using Rabbit (DA1E) mAb IgG XP® Isotype Control #3900 (lane 2) or CD40 Ligand (D5J9Y) Rabbit mAb (lane 3). Lane 1 is 10% input. Western blot was performed using CD40 Ligand (D5J9Y) Rabbit mAb. A conformation specific secondary antibody was used to avoid reactivity with IgG heavy and light chains.
Immunoprecipitation Image 2: CD40 Ligand (D5J9Y) Rabbit Monoclonal Antibody
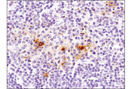
Immunohistochemical analysis of paraffin-embedded human T-cell non-Hodgkin lymphoma using CD40 Ligand (D5J9Y) Rabbit mAb.
Immunohistochemistry Image 1: CD40 Ligand (D5J9Y) Rabbit Monoclonal Antibody
Immunohistochemical analysis of paraffin-embedded Jurkat (left) and Raji (right) cell pellets using CD40 Ligand (D5J9Y) Rabbit mAb.
Immunohistochemistry Image 2: CD40 Ligand (D5J9Y) Rabbit Monoclonal Antibody
Orders: 877-616-CELL (2355) [email protected] Support: 877-678-TECH (8324) [email protected] Web: cellsignal.com
For Research Use Only. Not for Use in Diagnostic Procedures.