Revision 1

#36774

Store at -20C

CST Logo
Orders:

877-616-CELL (2355)

[email protected]

Support:

877-678-TECH (8324)

3 Trask Lane | Danvers | Massachusetts | 01923 | USA

For Research Use Only. Not for Use in Diagnostic Procedures.

Applications:
W, IHC-P, FC-L

Reactivity:
H

Sensitivity:
Endogenous

MW (kDa):
200-220

Source/Isotype:
Mouse IgG1 kappa

UniProt ID:
#P16070

Entrez-Gene Id:
960

Product Usage Information

Application Dilution
Western Blotting 1:1000
Immunohistochemistry (Paraffin) 1:200
Flow Cytometry (Live) 1:50 - 1:200

Storage

Supplied in 10 mM sodium HEPES (pH 7.5), 150 mM NaCl, 100 µg/mL BSA, 50% glycerol, and less than 0.02% sodium azide. Store at –20°C. Do not aliquot the antibody.

Specificity/Sensitivity

CD44 v5 (C44Mab-3) Mouse Monoclonal Antibody recognizes endogenous levels of total CD44 protein containing the variant v5 exon.

Source / Purification

Monoclonal antibody is produced by immunizing animals with recombinant protein specific to the human CD44 variant v3-v10. This antigen has been further characterized as corresponding to residues surrounding His369 of human CD44 protein, within the CD44 variant v5 exon.

Background

CD44 is a type I transmembrane glycoprotein that mediates cell-cell and cell-matrix interaction through its affinity for hyaluronic acid (HA) and possibly through other parts of the extracellular matrix (ECM). CD44 is highly polymorphic, possesses a number of alternative splice variants and undergoes extensive post-translational modifications (1,2). Increased surface levels of CD44 are characteristic of T cell activation, and expression of the protein is upregulated during the inflammatory response. Research studies have shown that interactions between CD44 and HER2 are linked to an increase in ovarian carcinoma cell growth (1-3). CD44 interacts with ezrin, radixin, and moesin (ERM), linking the actin cytoskeleton to the plasma membrane and the ECM (4-6). CD44 is constitutively phosphorylated at Ser325 in resting cells. Activation of PKC results in phosphorylation of Ser291, dephosphorylation of Ser325, disassociation of ezrin from CD44, and directional motility (4).

Human CD44 consists of 19 exons, of which 10 are expressed in the standard isoform (CD44s) and all other isoforms. The nine variant exons (v2-v10) inserted between the constant regions via alternative splicing are the source of CD44 heterogeneity and can dramatically alter the cell-adhesion properties of CD44-expressing cells (7-10). Expression of CD44 isoforms containing exon v5 is associated with metastasis and poor clinical outcomes in breast cancer, pancreatic carcinoma, non-small cell lung carcinomas, and intestinal stem cell-driven colorectal cancer (11-14). Among pancreatic ductal adenocarcinoma (PDAC) cell lines, those that highly express CD44v, including CD44 v5, exhibit an epithelial or MET phenotype, express E-cadherin, and have an increased growth rate (9). Conversely, PDAC cells that highly express CD44s exhibit a mesenchymal phenotype, have high gemcitabine resistance, and co-express proteins associated with EMT transition, including vimentin and ZEB-1 (9). In vivo, PDAC cells have the ability to switch between expression of these CD44 isoforms in response to chemotherapy, demonstrating the importance of CD44-targeted therapies for treatment of some cancers (9).

Species Reactivity

Species reactivity is determined by testing in at least one approved application (e.g., western blot).

Western Blot Buffer

IMPORTANT: For western blots, incubate membrane with diluted primary antibody in 5% w/v nonfat dry milk, 1X TBS, 0.1% Tween® 20 at 4°C with gentle shaking, overnight.

Applications Key

W: Western Blotting IHC-P: Immunohistochemistry (Paraffin) FC-L: Flow Cytometry (Live)

Cross-Reactivity Key

H: Human

Trademarks and Patents

Cell Signaling Technology is a trademark of Cell Signaling Technology, Inc.

All other trademarks are the property of their respective owners. Visit cellsignal.com/trademarks for more information.

Limited Uses

Except as otherwise expressly agreed in a writing signed by a legally authorized representative of CST, the following terms apply to Products provided by CST, its affiliates or its distributors. Any Customer's terms and conditions that are in addition to, or different from, those contained herein, unless separately accepted in writing by a legally authorized representative of CST, are rejected and are of no force or effect.

Products are labeled with For Research Use Only or a similar labeling statement and have not been approved, cleared, or licensed by the FDA or other regulatory foreign or domestic entity, for any purpose. Customer shall not use any Product for any diagnostic or therapeutic purpose, or otherwise in any manner that conflicts with its labeling statement. Products sold or licensed by CST are provided for Customer as the end-user and solely for research and development uses. Any use of Product for diagnostic, prophylactic or therapeutic purposes, or any purchase of Product for resale (alone or as a component) or other commercial purpose, requires a separate license from CST. Customer shall (a) not sell, license, loan, donate or otherwise transfer or make available any Product to any third party, whether alone or in combination with other materials, or use the Products to manufacture any commercial products, (b) not copy, modify, reverse engineer, decompile, disassemble or otherwise attempt to discover the underlying structure or technology of the Products, or use the Products for the purpose of developing any products or services that would compete with CST products or services, (c) not alter or remove from the Products any trademarks, trade names, logos, patent or copyright notices or markings, (d) use the Products solely in accordance with CST Product Terms of Sale and any applicable documentation, and (e) comply with any license, terms of service or similar agreement with respect to any third party products or services used by Customer in connection with the Products.

Orders: 877-616-CELL (2355) [email protected] Support: 877-678-TECH (8324) [email protected] Web: cellsignal.com
For Research Use Only. Not for Use in Diagnostic Procedures.

Revision 1

Cell Signaling Technology Logo
Western blot analysis of extracts from 293T cells, mock transfected (-) or transfected with constructs expressing Myc/DDK-tagged human CD44 variant v5-v10 (hCD44 v5-v10; +), Myc/DDK-tagged human CD44 variant v6 (hCD44 v6-Myc/DDK; +), Myc/DDK-tagged full-length human CD44 (hCD44-Myc/DDK; +), or Myc/DDK-tagged human CD44 isoform s (hCD44s-Myc/DDK; +), using CD44 v5 (C44Mab-3) Mouse mAb (upper), CD44 (156-3C11) Mouse mAb #3570 (middle), or GAPDH (D16H11) XP® Rabbit mAb #5174 (lower). The full-length CD44 construct contains all the CD44 variant v2-v10 exons, while the CD44 isoform s construct lacks the CD44 variant v2-v10 exons. CD44 variant v5-v10 construct was generously provided by Dr. Yukinari Kato, Department of Antibody Drug Development, Tohoku University Graduate School of Medicine, Japan.
Western Blotting Image 1: CD44 v5 (C44Mab-3) Mouse Monoclonal Antibody
Western blot analysis of extracts from BxPC-3 and HT-29 cells using CD44 v5 (C44Mab-3) Mouse mAb (upper), CD44 (156-3C11) Mouse mAb #3570 (middle) or GAPDH (D16H11) XP® Rabbit mAb #5174 (lower).
Western Blotting Image 2: CD44 v5 (C44Mab-3) Mouse Monoclonal Antibody
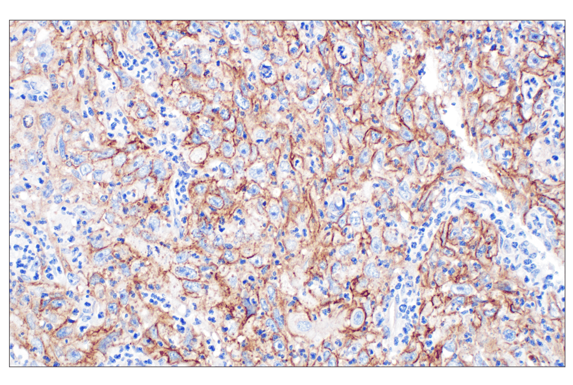
Immunohistochemical analysis of paraffin-embedded human prostate adenocarcinoma using CD44 v5 (C44Mab-3) Mouse mAb.
Immunohistochemistry Image 1: CD44 v5 (C44Mab-3) Mouse Monoclonal Antibody
Orders: 877-616-CELL (2355) [email protected] Support: 877-678-TECH (8324) [email protected] Web: cellsignal.com
For Research Use Only. Not for Use in Diagnostic Procedures.

Revision 1

Cell Signaling Technology Logo
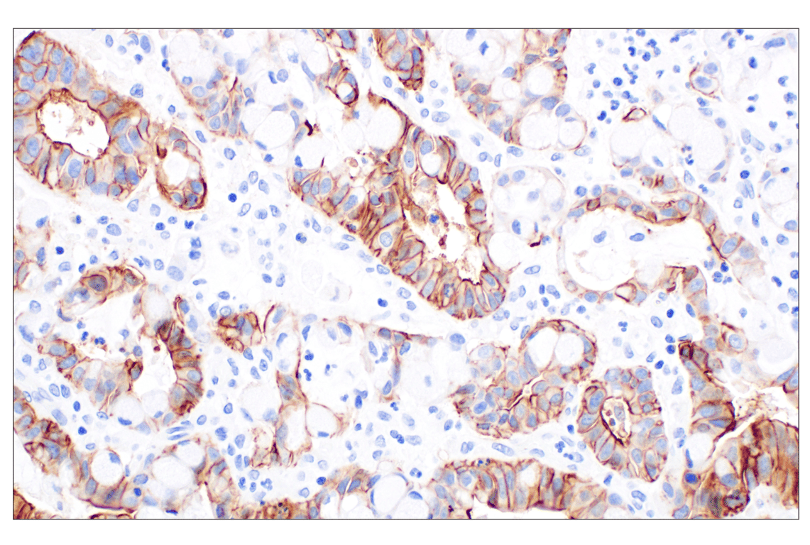
Immunohistochemical analysis of paraffin-embedded human urothelial carcinoma using CD44 v5 (C44Mab-3) Mouse mAb.
Immunohistochemistry Image 2: CD44 v5 (C44Mab-3) Mouse Monoclonal Antibody
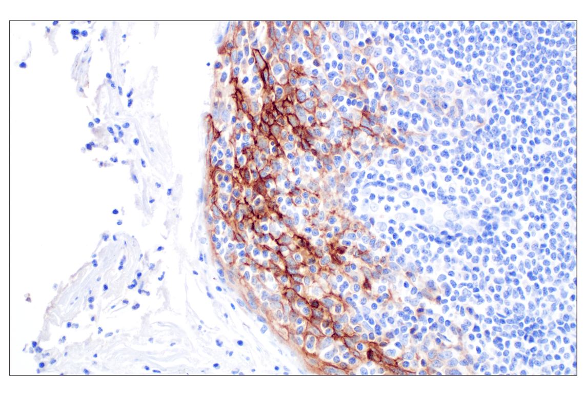
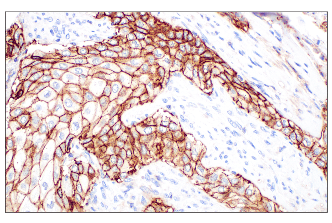
Immunohistochemical analysis of paraffin-embedded human squamous cell carcinoma of the cervix using CD44 v5 (C44Mab-3) Mouse mAb.
Immunohistochemistry Image 3: CD44 v5 (C44Mab-3) Mouse Monoclonal Antibody
Immunohistochemical analysis of paraffin-embedded human glassy cell carcinoma of the cervix using CD44 v5 (C44Mab-3) Mouse mAb.
Immunohistochemistry Image 4: CD44 v5 (C44Mab-3) Mouse Monoclonal Antibody
Orders: 877-616-CELL (2355) [email protected] Support: 877-678-TECH (8324) [email protected] Web: cellsignal.com
For Research Use Only. Not for Use in Diagnostic Procedures.

Revision 1

Cell Signaling Technology Logo
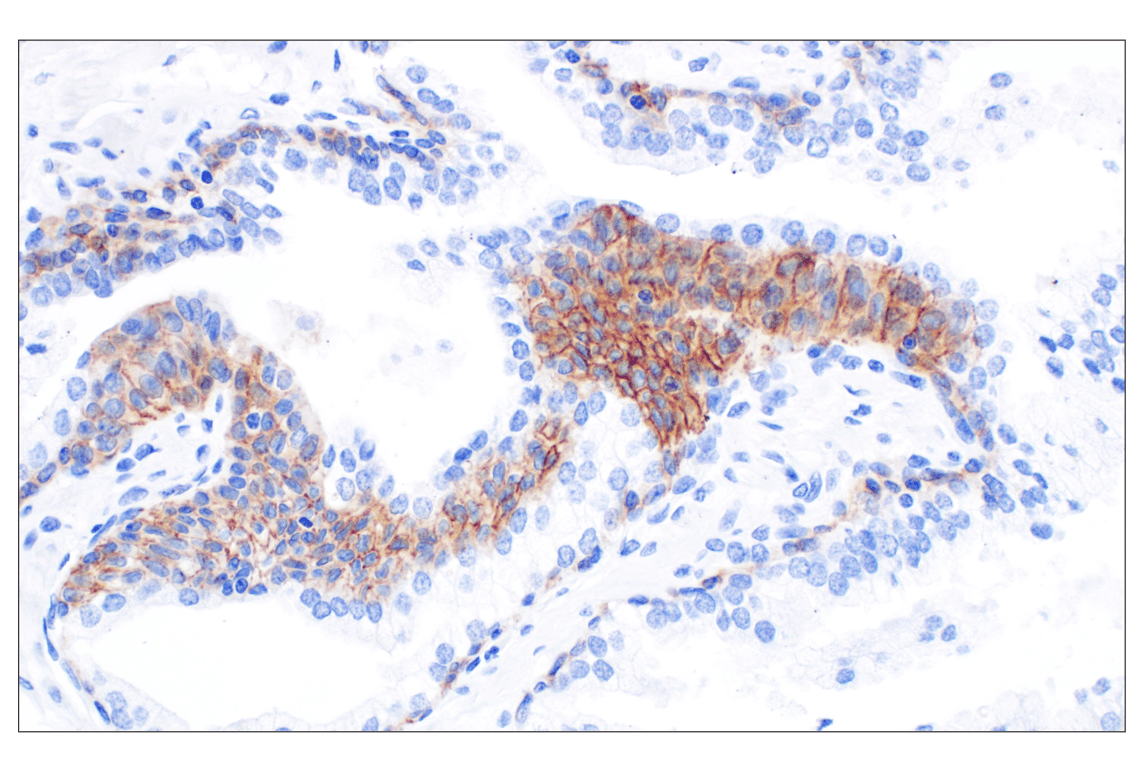
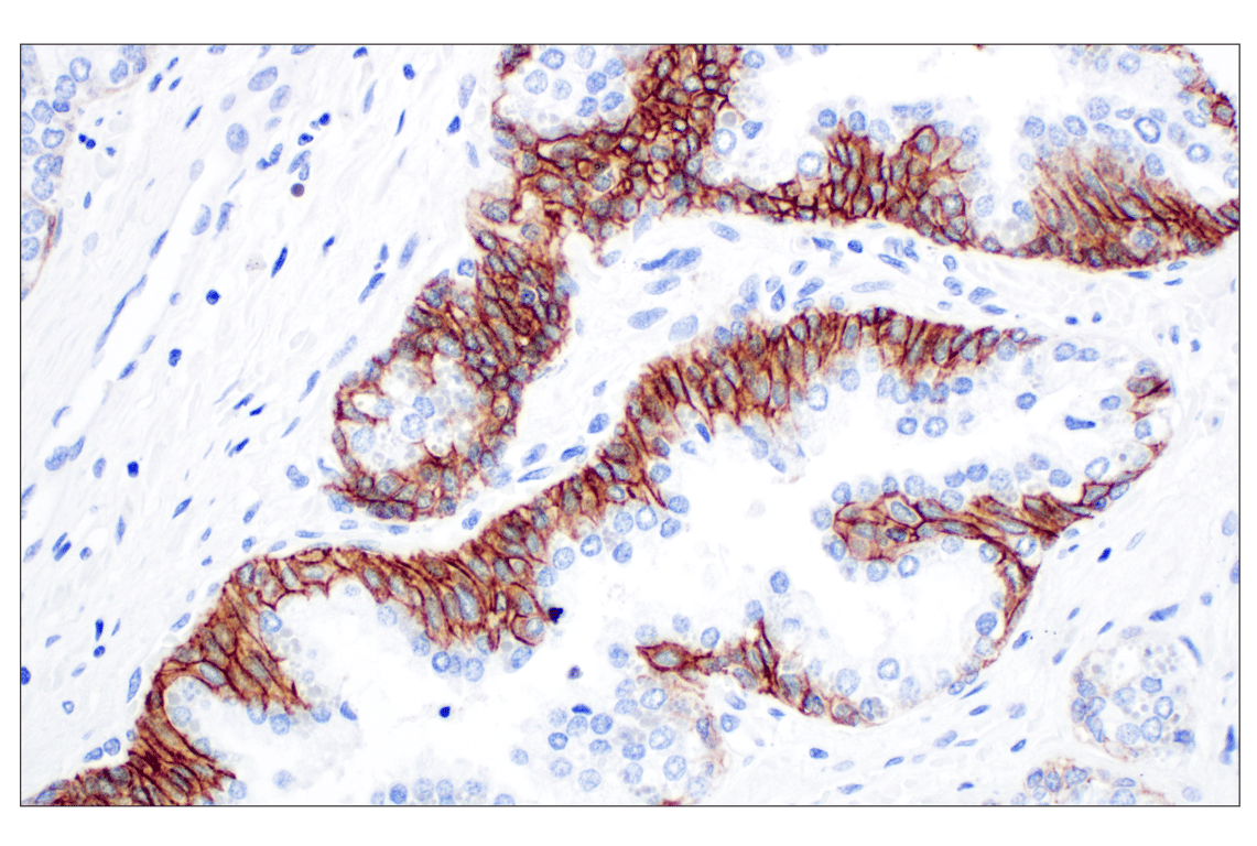
Immunohistochemical analysis of paraffin-embedded human esophageal adenocarcinoma using CD44 v5 (C44Mab-3) Mouse mAb.
Immunohistochemistry Image 5: CD44 v5 (C44Mab-3) Mouse Monoclonal Antibody
Immunohistochemical analysis of paraffin-embedded normal human prostate using CD44 v5 (C44Mab-3) Mouse mAb.
Immunohistochemistry Image 6: CD44 v5 (C44Mab-3) Mouse Monoclonal Antibody
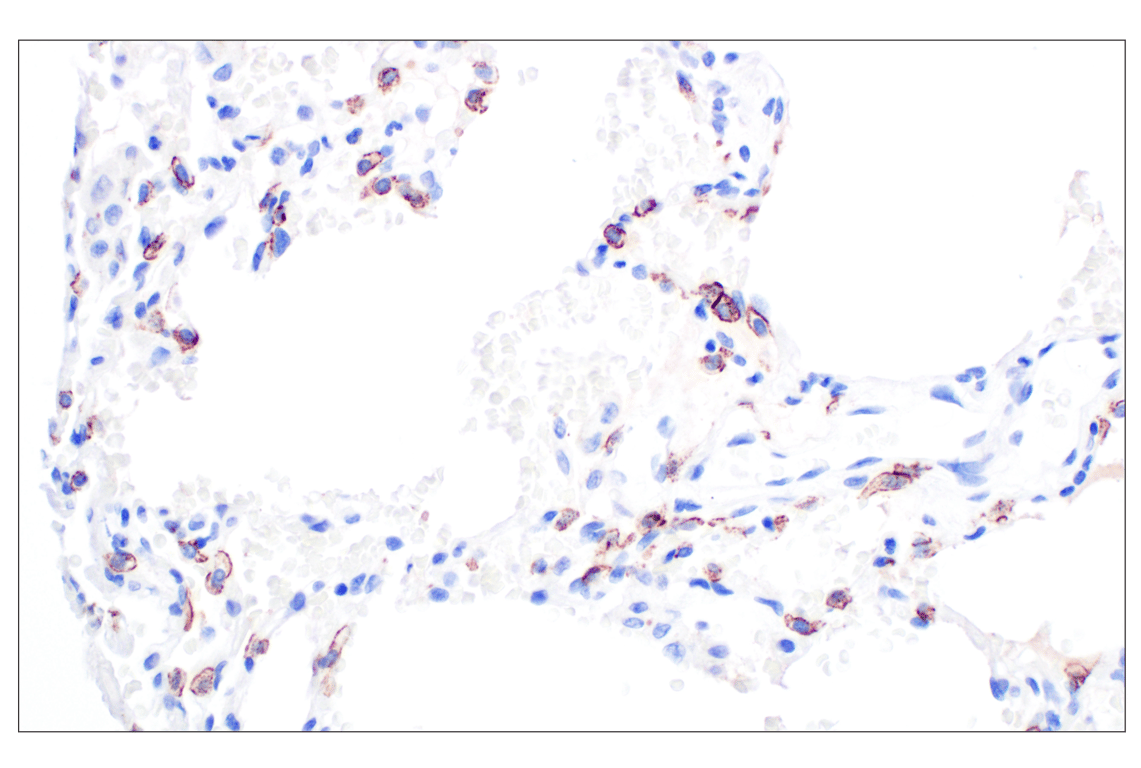
Immunohistochemical analysis of paraffin-embedded normal human lung using CD44 v5 (C44Mab-3) Mouse mAb.
Immunohistochemistry Image 7: CD44 v5 (C44Mab-3) Mouse Monoclonal Antibody
Orders: 877-616-CELL (2355) [email protected] Support: 877-678-TECH (8324) [email protected] Web: cellsignal.com
For Research Use Only. Not for Use in Diagnostic Procedures.

Revision 1

Cell Signaling Technology Logo
Immunohistochemical analysis of paraffin-embedded normal human skin using CD44 v5 (C44Mab-3) Mouse mAb.
Immunohistochemistry Image 8: CD44 v5 (C44Mab-3) Mouse Monoclonal Antibody
Immunohistochemical analysis of paraffin-embedded human tonsil using CD44 v5 (C44Mab-3) Mouse mAb.
Immunohistochemistry Image 9: CD44 v5 (C44Mab-3) Mouse Monoclonal Antibody
Immunohistochemical analysis of paraffin-embedded normal human esophgaus using CD44 v5 (C44Mab-3) Mouse mAb (left) compared to concentration-matched Mouse (G3A1) mAb IgG1 Isotype Control #5415 (right).
Immunohistochemistry Image 10: CD44 v5 (C44Mab-3) Mouse Monoclonal Antibody
Orders: 877-616-CELL (2355) [email protected] Support: 877-678-TECH (8324) [email protected] Web: cellsignal.com
For Research Use Only. Not for Use in Diagnostic Procedures.

Revision 1

Cell Signaling Technology Logo
Immunohistochemical analysis of paraffin-embedded 293T cell pellet, untransfected (left) or CD44 v3-v10 truncation mutant-transfected (right), using CD44 v5 (C44Mab-3) Mouse mAb.
Immunohistochemistry Image 11: CD44 v5 (C44Mab-3) Mouse Monoclonal Antibody
Flow cytometric analysis of HuH-1 cells (blue, negative) and HT-29 cells (green, positive) using CD44 v5 (C44Mab-3) Mouse mAb (solid lines) or concentration-matched Mouse (G3A1) mAb IgG Isotype Control #5415 (dashed lines). Anti-mouse IgG (H+L), F(ab')2 Fragment (Alexa Fluor® 488 Conjugate) #4408 was used as a secondary antibody.
Flow Cytometry Image 1: CD44 v5 (C44Mab-3) Mouse Monoclonal Antibody
Orders: 877-616-CELL (2355) [email protected] Support: 877-678-TECH (8324) [email protected] Web: cellsignal.com
For Research Use Only. Not for Use in Diagnostic Procedures.