Revision 8

#98819

Store at -20C

CST Logo
Orders:

877-616-CELL (2355)

[email protected]

Support:

877-678-TECH (8324)

3 Trask Lane | Danvers | Massachusetts | 01923 | USA

For Research Use Only. Not for Use in Diagnostic Procedures.

Applications:
IHC-Bond, IHC-P, IF-F, IF-IC

Reactivity:
M

Sensitivity:
Endogenous

MW (kDa):
200-250

Source/Isotype:
Rabbit IgG

UniProt ID:
#P06800

Entrez-Gene Id:
19264

Product Usage Information

This product is the carrier free version of product #70257. All data were generated using the same antibody clone in the standard formulation which contains BSA and glycerol.

This formulation is ideal for use with technologies requiring specialized or custom antibody labeling, including fluorophores, metals, lanthanides, and oligonucleotides. It is not recommended for ChIP, ChIP-seq, CUT&RUN, or CUT&Tag assays. If you require a carrier-free formulation for chromatin profiling, please contact us. Optimal dilutions/concentrations should be determined by the end user.

BSA and Azide Free antibodies are quality control tested by size exclusion chromatography (SEC) to determine antibody integrity.

Formulation

Supplied in 1X PBS (10 mM Na2HPO4, 3 mM KCl, 2 mM KH2PO4, and 140 mM NaCl (pH 7.8)). BSA and Azide Free.

For standard formulation of this product see product #70257.

Storage

Store at -20°C. This product will freeze at -20°C so it is recommended to aliquot into single-use vials to avoid multiple freeze/thaw cycles. A slight precipitate may be present and can be dissolved by gently vortexing. This will not interfere with antibody performance.

Specificity/Sensitivity

CD45 (D3F8Q) Rabbit Monoclonal Antibody (BSA and Azide Free) recognizes endogenous levels of total CD45 protein. Non-specific staining was observed in mouse kidney by immunohistochemistry. This antibody is predicted to react with both the CD45.1 and CD45.2 alleles.

Source / Purification

Monoclonal antibody is produced by immunizing animals with a synthetic peptide corresponding to residues surrounding Ala1258 of mouse CD45 protein.

Background

The protein phosphatase (PTP) receptor CD45 is a type I transmembrane protein comprised of a pair of intracellular tyrosine phosphatase domains and a variable extracellular domain generated by alternative splicing (1). The catalytic activity of CD45 is a function of the first phosphatase domain (D1) while the second phosphatase domain (D2) may interact with and stabilize the first domain, or recruit/bind substrates (2,3). CD45 interacts directly with antigen receptor complex proteins or activates Src family kinases involved in the regulation of T- and B-cell antigen receptor signaling (1). Specifically, CD45 dephosphorylates Src-family kinases Lck and Fyn at their conserved negative regulatory carboxy-terminal tyrosine residues and upregulates kinase activity. Conversely, studies indicate that CD45 can also inhibit Lck and Fyn by dephosphorylating their positive regulatory autophosphorylation site. CD45 appears to be both a positive and a negative regulator that conducts signals depending on specific stimuli and cell type (1). Human leukocytes including lymphocytes, eosinophils, monocytes, basophils, and neutrophils express CD45, while erythrocytes and platelets are negative for CD45 expression (4).

Species Reactivity

Species reactivity is determined by testing in at least one approved application (e.g., western blot).

Applications Key

IHC-Bond: IHC Leica Bond IHC-P: Immunohistochemistry (Paraffin) IF-F: Immunofluorescence (Frozen) IF-IC: Immunofluorescence (Immunocytochemistry)

Cross-Reactivity Key

M: Mouse

Trademarks and Patents

Cell Signaling Technology is a trademark of Cell Signaling Technology, Inc.

SignalScan is a registered trademark of Cell Signaling Technology, Inc.

All other trademarks are the property of their respective owners. Visit cellsignal.com/trademarks for more information.

Limited Uses

Except as otherwise expressly agreed in a writing signed by a legally authorized representative of CST, the following terms apply to Products provided by CST, its affiliates or its distributors. Any Customer's terms and conditions that are in addition to, or different from, those contained herein, unless separately accepted in writing by a legally authorized representative of CST, are rejected and are of no force or effect.

Products are labeled with For Research Use Only or a similar labeling statement and have not been approved, cleared, or licensed by the FDA or other regulatory foreign or domestic entity, for any purpose. Customer shall not use any Product for any diagnostic or therapeutic purpose, or otherwise in any manner that conflicts with its labeling statement. Products sold or licensed by CST are provided for Customer as the end-user and solely for research and development uses. Any use of Product for diagnostic, prophylactic or therapeutic purposes, or any purchase of Product for resale (alone or as a component) or other commercial purpose, requires a separate license from CST. Customer shall (a) not sell, license, loan, donate or otherwise transfer or make available any Product to any third party, whether alone or in combination with other materials, or use the Products to manufacture any commercial products, (b) not copy, modify, reverse engineer, decompile, disassemble or otherwise attempt to discover the underlying structure or technology of the Products, or use the Products for the purpose of developing any products or services that would compete with CST products or services, (c) not alter or remove from the Products any trademarks, trade names, logos, patent or copyright notices or markings, (d) use the Products solely in accordance with CST Product Terms of Sale and any applicable documentation, and (e) comply with any license, terms of service or similar agreement with respect to any third party products or services used by Customer in connection with the Products.

Orders: 877-616-CELL (2355) [email protected] Support: 877-678-TECH (8324) [email protected] Web: cellsignal.com
For Research Use Only. Not for Use in Diagnostic Procedures.

Revision 8

Cell Signaling Technology Logo
Immunohistochemical analysis of paraffin-embedded 4T1 mammary tumor using CD45 (D3F8Q) Rabbit mAb performed on the Leica® BOND™ Rx. Data were generated using the standard formulation of this product.
Immunohistochemistry Image 1: CD45 (D3F8Q) Rabbit Monoclonal Antibody (BSA and Azide Free)
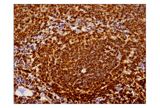
Immunohistochemical analysis of paraffin-embedded mouse spleen using CD45 (D3F8Q) Rabbit mAb. Data were generated using the standard formulation of this product.
Immunohistochemistry Image 1: CD45 (D3F8Q) Rabbit Monoclonal Antibody (BSA and Azide Free)
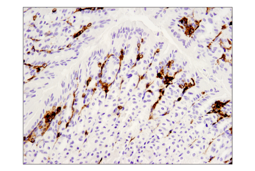
Immunohistochemical analysis of paraffin-embedded mouse stomach using CD45 (D3F8Q) Rabbit mAb. Data were generated using the standard formulation of this product.
Immunohistochemistry Image 2: CD45 (D3F8Q) Rabbit Monoclonal Antibody (BSA and Azide Free)
Orders: 877-616-CELL (2355) [email protected] Support: 877-678-TECH (8324) [email protected] Web: cellsignal.com
For Research Use Only. Not for Use in Diagnostic Procedures.

Revision 8

Cell Signaling Technology Logo
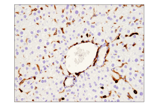
Immunohistochemical analysis of paraffin-embedded mouse liver using CD45 (D3F8Q) Rabbit mAb. Data were generated using the standard formulation of this product.
Immunohistochemistry Image 3: CD45 (D3F8Q) Rabbit Monoclonal Antibody (BSA and Azide Free)
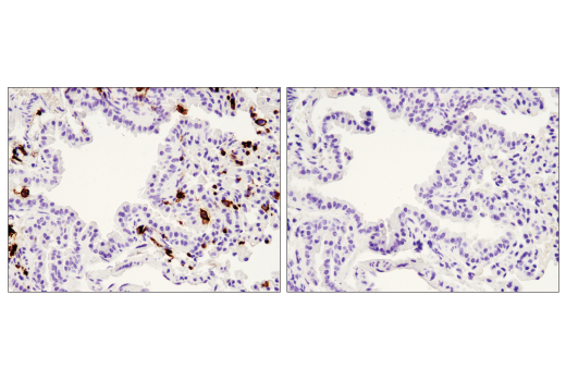
Immunohistochemical analysis of paraffin-embedded mouse lung using CD45 (D3F8Q) Rabbit mAb in the presence of control peptide (left) or antigen-specific peptide (right). Data were generated using the standard formulation of this product.
Immunohistochemistry Image 4: CD45 (D3F8Q) Rabbit Monoclonal Antibody (BSA and Azide Free)
Confocal immunofluorescent analysis of fixed frozen wild-type mouse striatum labeled with CD45 (D3F8Q) Rabbit mAb #70257 (green) and Neurofilament-L (DA2) Mouse mAb #2835 (red). Sections were mounted with ProLong® Gold Antifade Reagent with DAPI #8961 (blue). Data were generated using the standard formulation of this product.
Immunofluorescence Image 1: CD45 (D3F8Q) Rabbit Monoclonal Antibody (BSA and Azide Free)
Orders: 877-616-CELL (2355) [email protected] Support: 877-678-TECH (8324) [email protected] Web: cellsignal.com
For Research Use Only. Not for Use in Diagnostic Procedures.

Revision 8

Cell Signaling Technology Logo
Confocal immunofluorescent analysis of fixed frozen wild-type mouse retina and optic nerve labeled with CD45 (D3F8Q) Rabbit mAb #70257 (green) and Neurofilament-L (DA2) Mouse mAb #2835 (red). Sections were mounted with ProLong® Gold Antifade Reagent with DAPI #8961 (blue). Data were generated using the standard formulation of this product.
Immunofluorescence Image 2: CD45 (D3F8Q) Rabbit Monoclonal Antibody (BSA and Azide Free)
Confocal immunofluorescent analysis of fixed frozen mouse colon (left) and mouse kidney (right) using CD45 (D3F8Q) Rabbit mAb (green), DyLight™ 554 Phalloidin #13054, and DRAQ5® #4084 (fluorescent DNA dye). Data were generated using the standard formulation of this product.
Immunofluorescence Image 3: CD45 (D3F8Q) Rabbit Monoclonal Antibody (BSA and Azide Free)
Confocal immunofluorescent analysis of Raw 264.7 (left, positive) and C2C12 (right, negative) cells using CD45 (D3F8Q) Rabbit mAb (green) and Propidium Iodide (PI)/RNase Staining Solution #4087. Data were generated using the standard formulation of this product.
Immunofluorescence Image 1: CD45 (D3F8Q) Rabbit Monoclonal Antibody (BSA and Azide Free)
Orders: 877-616-CELL (2355) [email protected] Support: 877-678-TECH (8324) [email protected] Web: cellsignal.com
For Research Use Only. Not for Use in Diagnostic Procedures.