Revision 1

#83528

Store at -20C

CST Logo
Orders:

877-616-CELL (2355)

[email protected]

Support:

877-678-TECH (8324)

3 Trask Lane | Danvers | Massachusetts | 01923 | USA

For Research Use Only. Not for Use in Diagnostic Procedures.

Applications:
W, IHC-P

Reactivity:
M

Sensitivity:
Endogenous

MW (kDa):
45-50

Source/Isotype:
Rabbit IgG

UniProt ID:
#Q61735

Entrez-Gene Id:
16423

Product Usage Information

This product is the carrier free version of product #36096. All data were generated using the same antibody clone in the standard formulation which contains BSA and glycerol.

This formulation is ideal for use with technologies requiring specialized or custom antibody labeling, including fluorophores, metals, lanthanides, and oligonucleotides. It is not recommended for ChIP, ChIP-seq, CUT&RUN or CUT&Tag assays. If you require a carrier free formulation for chromatin profiling, please contact us. Optimal dilutions/concentrations should be determined by the end user.

BSA and Azide Free antibodies are quality control tested by size exclusion chromatography (SEC) to determine antibody integrity.

Formulation

Supplied in 1X PBS (10 mM Na2HPO4, 3 mM KCl, 2 mM KH2PO4, and 140 mM NaCl (pH 7.8)). BSA and Azide Free.

For standard formulation of this product see product #36096

Storage

Store at -20°C. This product will freeze at -20°C so it is recommended to aliquot into single-use vials to avoid multiple freeze/thaw cycles. A slight precipitate may be present and can be dissolved by gently vortexing. This will not interfere with antibody performance.

Specificity/Sensitivity

CD47 (E2V9V) Rabbit Monoclonal Antibody (BSA and Azide Free) recognizes endogenous levels of total CD47 protein.

Source / Purification

Monoclonal antibody is produced by immunizing animals with mouse CD47 recombinant protein.

Background

CD47 is a five-pass transmembrane protein expressed on all normal cells. It binds to the SIRPα that is expressed on myeloid cells, including macrophages, and neuronal cells in the central nervous system. Binding of CD47 to SIRPα promotes phosphorylation of tyrosine residues in the immunoreceptor tyrosine-based inhibitory motifs (ITIMs) within the SIRPα cytoplasmic tail, inhibiting macrophage phagocytosis toward CD47-expressing cells. In this way, CD47 serves as a "don't eat me" signal or a marker of "self", functioning as an innate immune checkpoint. Additionally, CD47 was reported to modulate lymphocyte cell activation and proliferation (1-3). CD47 is overexpressed in many types of cancer. The expression level of CD47 on cancer cells is negatively associated with the response to therapies, and low expression on tumor cells is associated with a better prognosis and survival. Reagents that can block CD47-SIRPα interaction are being actively pursued for therapeutic applications (4,5). In addition to SIRPα, other proteins have been reported to bind to CD47. Thrombospondin-1 (TSP1) competes with SIRPα to bind to CD47 in the extracellular region and activates signaling pathways downstream of CD47 (6). CD47 can laterally associate with VEGFR2, FAS, and certain integrins in different contexts, and influences their downstream signaling (7-9). CD47 can be shed from the cell surface by proteolytic cleavage. In addition, CD47 is present on extracellular vesicles including exosomes, suggesting additional extracellular signaling potential (10).

Species Reactivity

Species reactivity is determined by testing in at least one approved application (e.g., western blot).

Applications Key

W: Western Blotting IHC-P: Immunohistochemistry (Paraffin)

Cross-Reactivity Key

M: Mouse

Trademarks and Patents

Cell Signaling Technology is a trademark of Cell Signaling Technology, Inc.

All other trademarks are the property of their respective owners. Visit cellsignal.com/trademarks for more information.

Limited Uses

Except as otherwise expressly agreed in a writing signed by a legally authorized representative of CST, the following terms apply to Products provided by CST, its affiliates or its distributors. Any Customer's terms and conditions that are in addition to, or different from, those contained herein, unless separately accepted in writing by a legally authorized representative of CST, are rejected and are of no force or effect.

Products are labeled with For Research Use Only or a similar labeling statement and have not been approved, cleared, or licensed by the FDA or other regulatory foreign or domestic entity, for any purpose. Customer shall not use any Product for any diagnostic or therapeutic purpose, or otherwise in any manner that conflicts with its labeling statement. Products sold or licensed by CST are provided for Customer as the end-user and solely for research and development uses. Any use of Product for diagnostic, prophylactic or therapeutic purposes, or any purchase of Product for resale (alone or as a component) or other commercial purpose, requires a separate license from CST. Customer shall (a) not sell, license, loan, donate or otherwise transfer or make available any Product to any third party, whether alone or in combination with other materials, or use the Products to manufacture any commercial products, (b) not copy, modify, reverse engineer, decompile, disassemble or otherwise attempt to discover the underlying structure or technology of the Products, or use the Products for the purpose of developing any products or services that would compete with CST products or services, (c) not alter or remove from the Products any trademarks, trade names, logos, patent or copyright notices or markings, (d) use the Products solely in accordance with CST Product Terms of Sale and any applicable documentation, and (e) comply with any license, terms of service or similar agreement with respect to any third party products or services used by Customer in connection with the Products.

Orders: 877-616-CELL (2355) [email protected] Support: 877-678-TECH (8324) [email protected] Web: cellsignal.com
For Research Use Only. Not for Use in Diagnostic Procedures.

Revision 1

Cell Signaling Technology Logo
Western blot analysis of extracts from various cell lines using CD47 (E2V9V) Rabbit mAb (upper) or GAPDH (D16H11) XP® Rabbit mAb #5174 (lower). Data were generated using the standard formulation of this product.
Western Blotting Image 1: CD47 (E2V9V) Rabbit Monoclonal Antibody (BSA and Azide Free)
Western blot analysis of extracts from NIH/3T3 cells, transfected with control siRNA (-) or mouse CD47 siRNA (+), using CD47 (E2V9V) Rabbit mAb (upper) or GAPDH (D16H11) XP® Rabbit mAb #5174 (lower). Data were generated using the standard formulation of this product.
Western Blotting Image 2: CD47 (E2V9V) Rabbit Monoclonal Antibody (BSA and Azide Free)
Western blot analysis of extracts from 293T cells, mock transfected (-) or transfected with a construct expressing Myc/DDK-tagged full-length mouse CD47 protein (mCD47-Myc/DDK; +), using CD47 (E2V9V) Rabbit mAb (upper), Myc-Tag (71D10) Rabbit mAb #2278 (middle), or GAPDH (D16H11) XP® Rabbit mAb #5174 (lower). Data were generated using the standard formulation of this product.
Western Blotting Image 3: CD47 (E2V9V) Rabbit Monoclonal Antibody (BSA and Azide Free)
Orders: 877-616-CELL (2355) [email protected] Support: 877-678-TECH (8324) [email protected] Web: cellsignal.com
For Research Use Only. Not for Use in Diagnostic Procedures.

Revision 1

Cell Signaling Technology Logo
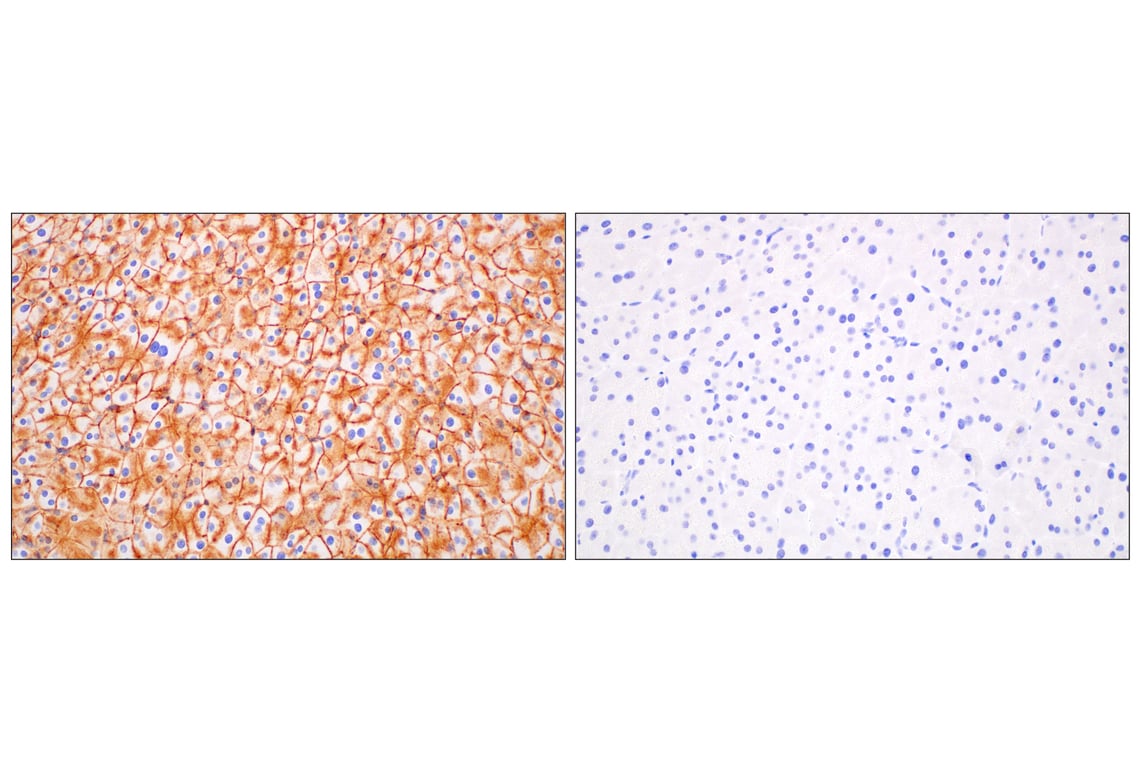
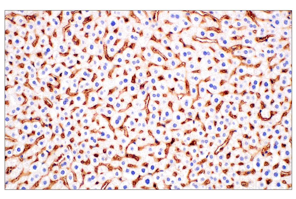
Immunohistochemical analysis of paraffin-embedded mouse liver using CD47 (E2V9V) Rabbit mAb. Data were generated using the standard formulation of this product.
Immunohistochemistry Image 1: CD47 (E2V9V) Rabbit Monoclonal Antibody (BSA and Azide Free)
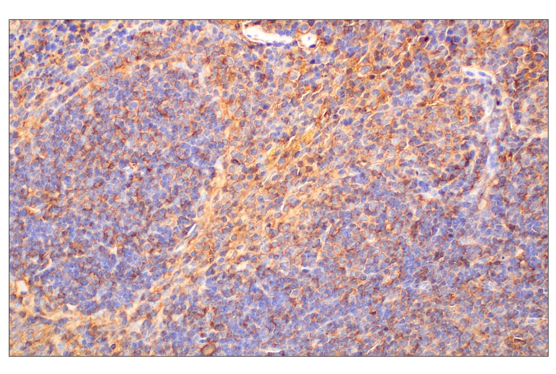
Immunohistochemical analysis of paraffin-embedded mouse spleen using CD47 (E2V9V) Rabbit mAb. Data were generated using the standard formulation of this product.
Immunohistochemistry Image 2: CD47 (E2V9V) Rabbit Monoclonal Antibody (BSA and Azide Free)
Immunohistochemical analysis of paraffin-embedded mouse ovary using CD47 (E2V9V) Rabbit mAb. Data were generated using the standard formulation of this product.
Immunohistochemistry Image 3: CD47 (E2V9V) Rabbit Monoclonal Antibody (BSA and Azide Free)
Orders: 877-616-CELL (2355) [email protected] Support: 877-678-TECH (8324) [email protected] Web: cellsignal.com
For Research Use Only. Not for Use in Diagnostic Procedures.

Revision 1

Cell Signaling Technology Logo
Immunohistochemical analysis of paraffin-embedded mouse stomach using CD47 (E2V9V) Rabbit mAb. Data were generated using the standard formulation of this product.
Immunohistochemistry Image 4: CD47 (E2V9V) Rabbit Monoclonal Antibody (BSA and Azide Free)
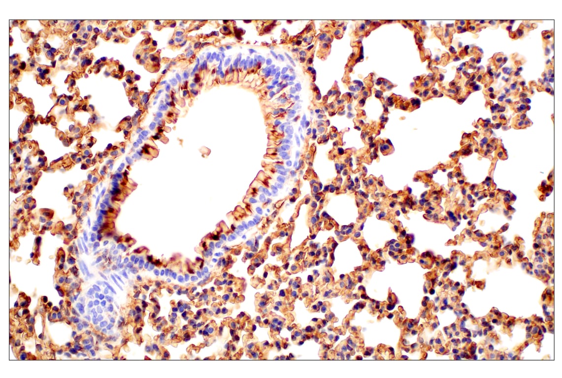
Immunohistochemical analysis of paraffin-embedded mouse lung using CD47 (E2V9V) Rabbit mAb. Data were generated using the standard formulation of this product.
Immunohistochemistry Image 5: CD47 (E2V9V) Rabbit Monoclonal Antibody (BSA and Azide Free)
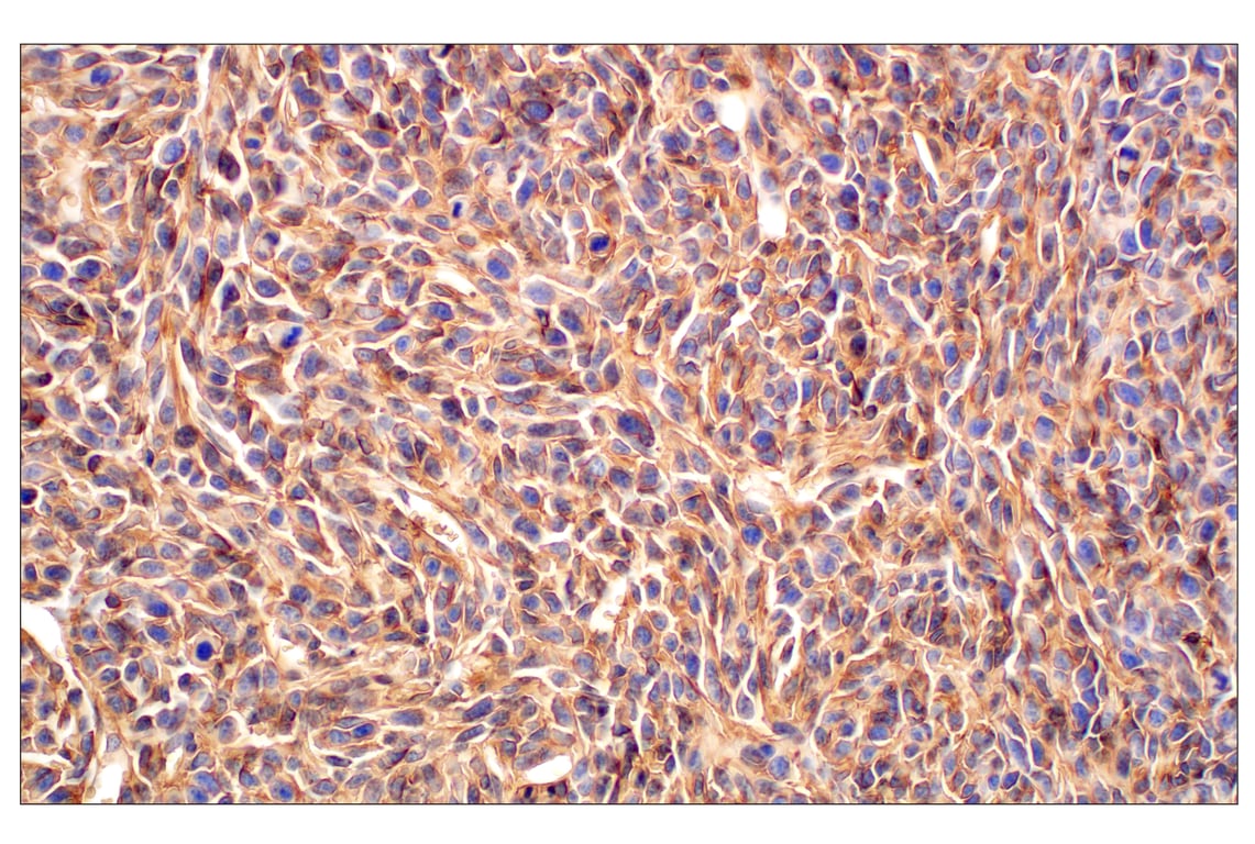
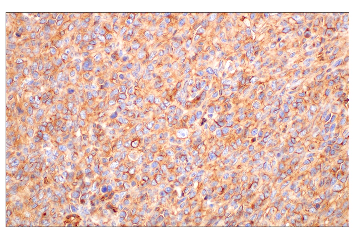
Immunohistochemical analysis of paraffin-embedded 4T1 syngeneic tumor using CD47 (E2V9V) Rabbit mAb. Data were generated using the standard formulation of this product.
Immunohistochemistry Image 6: CD47 (E2V9V) Rabbit Monoclonal Antibody (BSA and Azide Free)
Orders: 877-616-CELL (2355) [email protected] Support: 877-678-TECH (8324) [email protected] Web: cellsignal.com
For Research Use Only. Not for Use in Diagnostic Procedures.

Revision 1

Cell Signaling Technology Logo
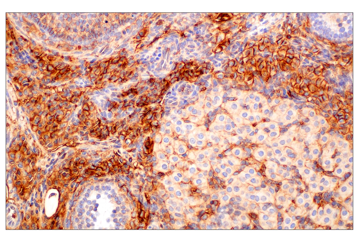
Immunohistochemical analysis of paraffin-embedded CT26 syngeneic tumor using CD47 (E2V9V) Rabbit mAb. Data were generated using the standard formulation of this product.
Immunohistochemistry Image 7: CD47 (E2V9V) Rabbit Monoclonal Antibody (BSA and Azide Free)
Immunohistochemical analysis of paraffin-embedded mouse pancreas using CD47 (E2V9V) Rabbit mAb (left) compared to concentration-matched Rabbit (DA1E) mAb IgG XP® Isotype Control #3900 (right).  Data were generated using the standard formulation of this product.
Immunohistochemistry Image 8: CD47 (E2V9V) Rabbit Monoclonal Antibody (BSA and Azide Free)
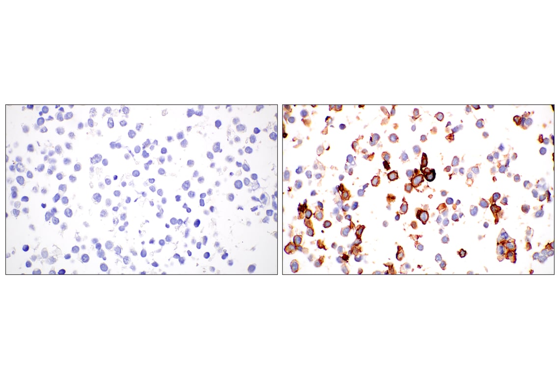
Immunohistochemical analysis of paraffin-embedded 293T cell pellet, untransfected (left) or mouse CD47 transfected (right), using CD47 (E2V9V) Rabbit mAb.  Data were generated using the standard formulation of this product.
Immunohistochemistry Image 9: CD47 (E2V9V) Rabbit Monoclonal Antibody (BSA and Azide Free)
Orders: 877-616-CELL (2355) [email protected] Support: 877-678-TECH (8324) [email protected] Web: cellsignal.com
For Research Use Only. Not for Use in Diagnostic Procedures.