Revision 4

#39300

Store at -20C

CST Logo
Orders:

877-616-CELL (2355)

[email protected]

Support:

877-678-TECH (8324)

3 Trask Lane | Danvers | Massachusetts | 01923 | USA

For Research Use Only. Not for Use in Diagnostic Procedures.

Applications:
W, IP, IHC-Bond, IHC-P

Reactivity:
H Mk

Sensitivity:
Endogenous

MW (kDa):
65

Source/Isotype:
Rabbit IgG

UniProt ID:
#P06127

Entrez-Gene Id:
921

Product Usage Information

Application Dilution
Western Blotting 1:1000
Immunoprecipitation 1:200
IHC Leica Bond 1:400
Immunohistochemistry (Paraffin) 1:800

Storage

Supplied in 10 mM sodium HEPES (pH 7.5), 150 mM NaCl, 100 µg/ml BSA, 50% glycerol and less than 0.02% sodium azide. Store at –20°C. Do not aliquot the antibody.

For a carrier-free (BSA and azide free) version of this product see product #86389.

Specificity/Sensitivity

CD5 (E8X3S) Rabbit Monoclonal Antibody recognizes endogenous levels of total CD5 protein.

Source / Purification

Monoclonal antibody is produced by immunizing animals with a synthetic peptide corresponding to residues surrounding Gly219 of human CD5 protein.

Background

CD5 is a type-I transmembrane protein belonging to the scavenger receptor cysteine-rich (SRCR) family, characterized by the presence of at least one SRCR domain of 90-110 amino acids. CD5 is expressed by all mature T cells, the B-1a subset of mature B cells, and some leukemic B cells. Its expression is increased in regulatory T and B cells (Tregs/Bregs). Anergic T and B cells also have elevated CD5 expression. Elevated levels of CD5 are also found in many autoimmune disorders (1-3). CD5 is associated with the T cell receptor (TCR) and negatively modulates T cell activation and differentiation. CD5 expression on the tumor infiltrating T lymphocytes is inversely correlated with their antitumor activity (4-6). Recently, it was reported that CD5 directly binds to IL6 and can mediate downstream signaling. CD5+ B cells promote tumor growth in animal models (7). Reagents targeting CD5 have been actively pursued as therapeutic interventions for cancer and other conditions (8,9).

Species Reactivity

Species reactivity is determined by testing in at least one approved application (e.g., western blot).

Western Blot Buffer

IMPORTANT: For western blots, incubate membrane with diluted primary antibody in 5% w/v BSA, 1X TBS, 0.1% Tween® 20 at 4°C with gentle shaking, overnight.

Applications Key

W: Western Blotting IP: Immunoprecipitation IHC-Bond: IHC Leica Bond IHC-P: Immunohistochemistry (Paraffin)

Cross-Reactivity Key

H: Human Mk: Monkey

Trademarks and Patents

Cell Signaling Technology is a trademark of Cell Signaling Technology, Inc.

SignalStain is a registered trademark of Cell Signaling Technology, Inc.

All other trademarks are the property of their respective owners. Visit cellsignal.com/trademarks for more information.

Limited Uses

Except as otherwise expressly agreed in a writing signed by a legally authorized representative of CST, the following terms apply to Products provided by CST, its affiliates or its distributors. Any Customer's terms and conditions that are in addition to, or different from, those contained herein, unless separately accepted in writing by a legally authorized representative of CST, are rejected and are of no force or effect.

Products are labeled with For Research Use Only or a similar labeling statement and have not been approved, cleared, or licensed by the FDA or other regulatory foreign or domestic entity, for any purpose. Customer shall not use any Product for any diagnostic or therapeutic purpose, or otherwise in any manner that conflicts with its labeling statement. Products sold or licensed by CST are provided for Customer as the end-user and solely for research and development uses. Any use of Product for diagnostic, prophylactic or therapeutic purposes, or any purchase of Product for resale (alone or as a component) or other commercial purpose, requires a separate license from CST. Customer shall (a) not sell, license, loan, donate or otherwise transfer or make available any Product to any third party, whether alone or in combination with other materials, or use the Products to manufacture any commercial products, (b) not copy, modify, reverse engineer, decompile, disassemble or otherwise attempt to discover the underlying structure or technology of the Products, or use the Products for the purpose of developing any products or services that would compete with CST products or services, (c) not alter or remove from the Products any trademarks, trade names, logos, patent or copyright notices or markings, (d) use the Products solely in accordance with CST Product Terms of Sale and any applicable documentation, and (e) comply with any license, terms of service or similar agreement with respect to any third party products or services used by Customer in connection with the Products.

Orders: 877-616-CELL (2355) [email protected] Support: 877-678-TECH (8324) [email protected] Web: cellsignal.com
For Research Use Only. Not for Use in Diagnostic Procedures.

Revision 4

Cell Signaling Technology Logo
Western blot analysis of extracts from various cell lines using CD5 (E8X3S) XP® Rabbit mAb (upper) or β-Actin (D6A8) Rabbit mAb #8457 (lower).
Western Blotting Image 1: CD5 (E8X3S) Rabbit Monoclonal Antibody
Immunoprecipitation of CD5 from Jurkat cell extracts. Lane 1 is 10% input, lane 2 is Rabbit (DA1E) mAb IgG XP® Isotype Control #3900, and lane 3 is CD5 (E8X3S) XP® Rabbit mAb. Mouse Anti-rabbit IgG (Conformation Specific) (L27A9) mAb (HRP Conjugate) #5127 was used for detection.
Immunoprecipitation Image 1: CD5 (E8X3S) Rabbit Monoclonal Antibody
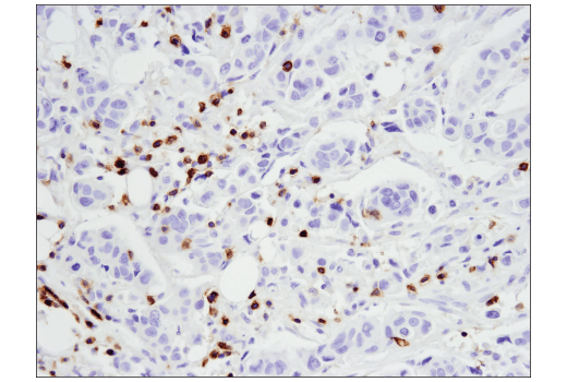
Immunohistochemical analysis of paraffin-embedded human non-small cell lung carcinoma using CD5 (E8X3S) XP® Rabbit mAb performed on the Leica® Bond™ Rx.
Immunohistochemistry Image 1: CD5 (E8X3S) Rabbit Monoclonal Antibody
Orders: 877-616-CELL (2355) [email protected] Support: 877-678-TECH (8324) [email protected] Web: cellsignal.com
For Research Use Only. Not for Use in Diagnostic Procedures.

Revision 4

Cell Signaling Technology Logo
Immunohistochemical analysis of paraffin-embedded ductal carcinoma of the breast using CD5 (E8X3S) XP® Rabbit mAb.
Immunohistochemistry Image 1: CD5 (E8X3S) Rabbit Monoclonal Antibody
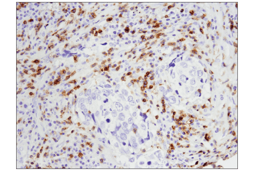
Immunohistochemical analysis of paraffin-embedded squamous cell carcinoma of the lung using CD5 (E8X3S) XP® Rabbit mAb.
Immunohistochemistry Image 2: CD5 (E8X3S) Rabbit Monoclonal Antibody
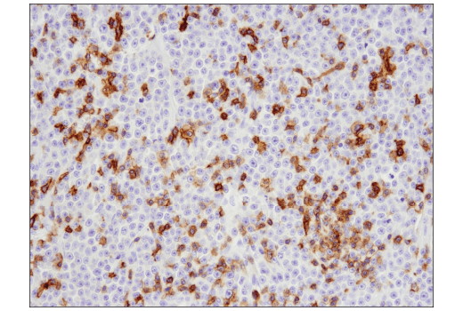
Immunohistochemical analysis of paraffin-embedded Non-Hodgkin's lymphoma using CD5 (E8X3S) XP® Rabbit mAb.
Immunohistochemistry Image 3: CD5 (E8X3S) Rabbit Monoclonal Antibody
Orders: 877-616-CELL (2355) [email protected] Support: 877-678-TECH (8324) [email protected] Web: cellsignal.com
For Research Use Only. Not for Use in Diagnostic Procedures.

Revision 4

Cell Signaling Technology Logo
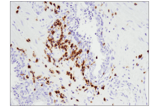
Immunohistochemical analysis of paraffin-embedded prostate carcinoma using CD5 (E8X3S) XP® Rabbit mAb.
Immunohistochemistry Image 4: CD5 (E8X3S) Rabbit Monoclonal Antibody
Immunohistochemical analysis of paraffin-embedded MOLT-4 cell pellet (left, positive) and Raji cell pellet (right, negative) using CD5 (E8X3S) XP® Rabbit mAb.
Immunohistochemistry Image 5: CD5 (E8X3S) Rabbit Monoclonal Antibody
Immunohistochemical analysis of paraffin-embedded normal cynomolgus monkey spleen using CD5 (E8X3S) XP® Rabbit mAb.
Immunohistochemistry Image 6: CD5 (E8X3S) Rabbit Monoclonal Antibody
Orders: 877-616-CELL (2355) [email protected] Support: 877-678-TECH (8324) [email protected] Web: cellsignal.com
For Research Use Only. Not for Use in Diagnostic Procedures.