Revision 6

#67836

Store at -20C

CST Logo
Orders:

877-616-CELL (2355)

[email protected]

Support:

877-678-TECH (8324)

3 Trask Lane | Danvers | Massachusetts | 01923 | USA

For Research Use Only. Not for Use in Diagnostic Procedures.

Applications:
W, IHC-Bond, IHC-P

Reactivity:
H Mk

Sensitivity:
Endogenous

MW (kDa):
89, 92

Source/Isotype:
Rabbit IgG

UniProt ID:
#P05362

Entrez-Gene Id:
3383

Product Usage Information

Application Dilution
Western Blotting 1:1000
IHC Leica Bond 1:100 - 1:400
Immunohistochemistry (Paraffin) 1:100 - 1:400

Storage

Supplied in 10 mM sodium HEPES (pH 7.5), 150 mM NaCl, 100 µg/ml BSA, 50% glycerol and less than 0.02% sodium azide. Store at –20°C. Do not aliquot the antibody.

For a carrier-free (BSA and azide free) version of this product see product #26104.

Specificity/Sensitivity

CD54/ICAM-1 (E3Q9N) Rabbit Monoclonal Antibody recognizes endogenous levels of total CD54/ICAM-1 protein.

Source / Purification

Monoclonal antibody is produced by immunizing animals with a synthetic peptide corresponding to residues surrounding Pro410 of human CD54/ICAM-1 protein.

Background

Intercellular cell adhesion molecule-1 (CD54 or ICAM-1) is a cell surface glycoprotein that belongs to the immunoglobulin superfamily (IgSF) of adhesion molecules. CD54 is expressed at low levels in diverse cell types, and is induced by cytokines (TNF-α, interleukin-1) and bacterial lipopolysaccharide (1). Apical localization of CD54 on endothelial cells (or basolateral localization on epithelial cells) is a prerequisite for leukocyte trafficking through the endothelial (or epithelial) barrier (1). Apical expression of CD54 on epithelial cells mediates pathogen invasion as well as host defense, a pattern also observed in tumors (1). CD54 also functions as a co-stimulator on antigen presenting cells, binding to its receptor LFA-1 (leukocyte function-associated antigen-1) on the surface of T cells during antigen presentation (2). Cross-linking of CD54 or binding to its ligand triggers activation of Src family kinases and the Rho/ROCK pathway (3-7). Phosphorylation on Tyr485 of CD54 is required for its association with SHP-2 (5). SHP-2 seems essential for CD54-induced Src activation (7).

Species Reactivity

Species reactivity is determined by testing in at least one approved application (e.g., western blot).

Western Blot Buffer

IMPORTANT: For western blots, incubate membrane with diluted primary antibody in 5% w/v BSA, 1X TBS, 0.1% Tween® 20 at 4°C with gentle shaking, overnight.

Applications Key

W: Western Blotting IHC-Bond: IHC Leica Bond IHC-P: Immunohistochemistry (Paraffin)

Cross-Reactivity Key

H: Human Mk: Monkey

Trademarks and Patents

Cell Signaling Technology is a trademark of Cell Signaling Technology, Inc.

SignalStain is a registered trademark of Cell Signaling Technology, Inc.

All other trademarks are the property of their respective owners. Visit cellsignal.com/trademarks for more information.

Limited Uses

Except as otherwise expressly agreed in a writing signed by a legally authorized representative of CST, the following terms apply to Products provided by CST, its affiliates or its distributors. Any Customer's terms and conditions that are in addition to, or different from, those contained herein, unless separately accepted in writing by a legally authorized representative of CST, are rejected and are of no force or effect.

Products are labeled with For Research Use Only or a similar labeling statement and have not been approved, cleared, or licensed by the FDA or other regulatory foreign or domestic entity, for any purpose. Customer shall not use any Product for any diagnostic or therapeutic purpose, or otherwise in any manner that conflicts with its labeling statement. Products sold or licensed by CST are provided for Customer as the end-user and solely for research and development uses. Any use of Product for diagnostic, prophylactic or therapeutic purposes, or any purchase of Product for resale (alone or as a component) or other commercial purpose, requires a separate license from CST. Customer shall (a) not sell, license, loan, donate or otherwise transfer or make available any Product to any third party, whether alone or in combination with other materials, or use the Products to manufacture any commercial products, (b) not copy, modify, reverse engineer, decompile, disassemble or otherwise attempt to discover the underlying structure or technology of the Products, or use the Products for the purpose of developing any products or services that would compete with CST products or services, (c) not alter or remove from the Products any trademarks, trade names, logos, patent or copyright notices or markings, (d) use the Products solely in accordance with CST Product Terms of Sale and any applicable documentation, and (e) comply with any license, terms of service or similar agreement with respect to any third party products or services used by Customer in connection with the Products.

Orders: 877-616-CELL (2355) [email protected] Support: 877-678-TECH (8324) [email protected] Web: cellsignal.com
For Research Use Only. Not for Use in Diagnostic Procedures.

Revision 6

Cell Signaling Technology Logo
Western blot analysis of extracts from A549 cells, untreated (-) or treated with hTNF-α (10 ng/mL, 6 hr; +), using CD54/ICAM-1 (E3Q9N) XP® Rabbit mAb (upper) or β-Actin (D6A8) Rabbit mAb #8457 (lower).
Western Blotting Image 1: CD54/ICAM-1 (E3Q9N) Rabbit Monoclonal Antibody
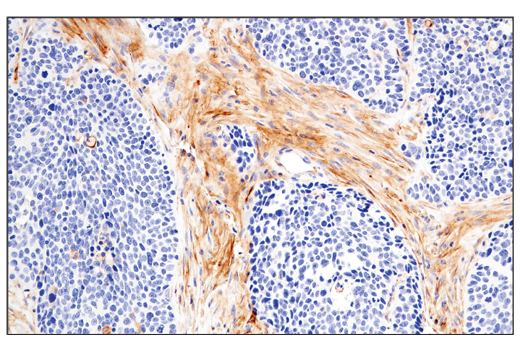
Immunohistochemical analysis of paraffin-embedded human urothelial carcinoma using CD54/ICAM-1 (E3Q9N) XP® Rabbit mAb performed on the Leica® BOND™ Rx.
Immunohistochemistry Image 1: CD54/ICAM-1 (E3Q9N) Rabbit Monoclonal Antibody
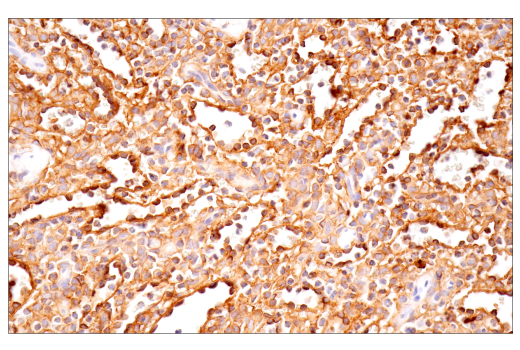
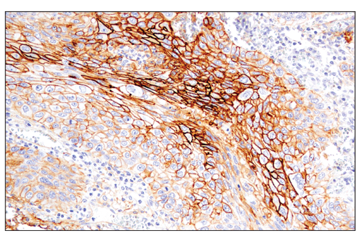
Immunohistochemical analysis of paraffin-embedded human squamous cell lung carcinoma using CD54/ICAM-1 (E3Q9N) XP® Rabbit mAb performed on the Leica® BOND™ Rx.
Immunohistochemistry Image 2: CD54/ICAM-1 (E3Q9N) Rabbit Monoclonal Antibody
Orders: 877-616-CELL (2355) [email protected] Support: 877-678-TECH (8324) [email protected] Web: cellsignal.com
For Research Use Only. Not for Use in Diagnostic Procedures.

Revision 6

Cell Signaling Technology Logo
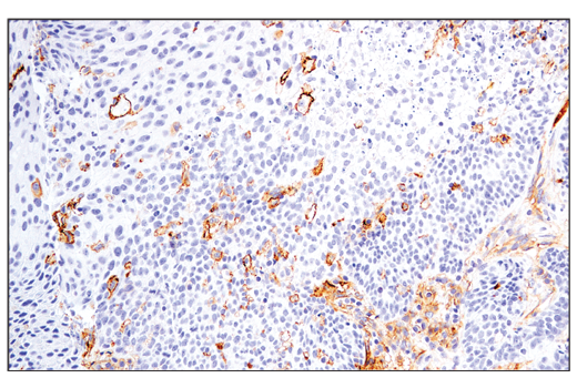
Immunohistochemical analysis of paraffin-embedded human prostate adenocarcinoma using CD54/ICAM-1 (E3Q9N) XP® Rabbit mAb performed on the Leica® BOND™ Rx.
Immunohistochemistry Image 3: CD54/ICAM-1 (E3Q9N) Rabbit Monoclonal Antibody
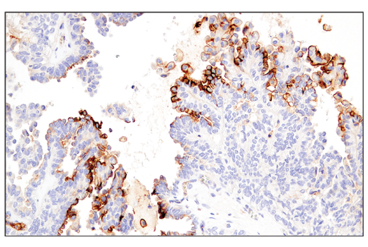
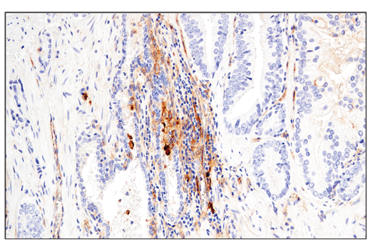
Immunohistochemical analysis of paraffin-embedded human colon carcinoma using CD54/ICAM-1 (E3Q9N) XP® Rabbit mAb.
Immunohistochemistry Image 1: CD54/ICAM-1 (E3Q9N) Rabbit Monoclonal Antibody
Immunohistochemical analysis of paraffin-embedded human renal cell carcinoma using CD54/ICAM-1 (E3Q9N) XP® Rabbit mAb.
Immunohistochemistry Image 2: CD54/ICAM-1 (E3Q9N) Rabbit Monoclonal Antibody
Orders: 877-616-CELL (2355) [email protected] Support: 877-678-TECH (8324) [email protected] Web: cellsignal.com
For Research Use Only. Not for Use in Diagnostic Procedures.

Revision 6

Cell Signaling Technology Logo
Immunohistochemical analysis of paraffin-embedded human endometrioid adenocarcinoma using CD54/ICAM-1 (E3Q9N) XP® Rabbit mAb.
Immunohistochemistry Image 3: CD54/ICAM-1 (E3Q9N) Rabbit Monoclonal Antibody
Immunohistochemical analysis of paraffin-embedded human prostate carcinoma using CD54/ICAM-1 (E3Q9N) XP® Rabbit mAb.
Immunohistochemistry Image 4: CD54/ICAM-1 (E3Q9N) Rabbit Monoclonal Antibody
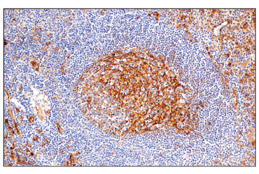
Immunohistochemical analysis of paraffin-embedded human tonsil using CD54/ICAM-1 (E3Q9N) XP® Rabbit mAb.
Immunohistochemistry Image 5: CD54/ICAM-1 (E3Q9N) Rabbit Monoclonal Antibody
Orders: 877-616-CELL (2355) [email protected] Support: 877-678-TECH (8324) [email protected] Web: cellsignal.com
For Research Use Only. Not for Use in Diagnostic Procedures.

Revision 6

Cell Signaling Technology Logo
Immunohistochemical analysis of paraffin-embedded normal rhesus monkey spleen using CD54/ICAM-1 (E3Q9N) XP® Rabbit mAb.
Immunohistochemistry Image 6: CD54/ICAM-1 (E3Q9N) Rabbit Monoclonal Antibody
Immunohistochemical analysis of paraffin-embedded human squamous cell lung carcinoma using CD54/ICAM-1 (E3Q9N) XP® Rabbit mAb (left) compared to concentration matched Rabbit (DA1E) mAb IgG XP® Isotype Control #3900 (right).
Immunohistochemistry Image 7: CD54/ICAM-1 (E3Q9N) Rabbit Monoclonal Antibody
Immunohistochemical analysis of paraffin-embedded Ramos cell pellet (left, positive) or A549 cell pellet (right, negative) using CD54/ICAM-1 (E3Q9N) XP® Rabbit mAb.
Immunohistochemistry Image 8: CD54/ICAM-1 (E3Q9N) Rabbit Monoclonal Antibody
Orders: 877-616-CELL (2355) [email protected] Support: 877-678-TECH (8324) [email protected] Web: cellsignal.com
For Research Use Only. Not for Use in Diagnostic Procedures.