Revision 8

#72031

Store at -20C

CST Logo
Orders:

877-616-CELL (2355)

[email protected]

Support:

877-678-TECH (8324)

3 Trask Lane | Danvers | Massachusetts | 01923 | USA

For Research Use Only. Not for Use in Diagnostic Procedures.

Applications:
IHC-Bond, IHC-P, IF-IC

Reactivity:
H

Sensitivity:
Endogenous

Source/Isotype:
Mouse IgM

Product Usage Information

Application Dilution
IHC Leica Bond 1:400 - 1:1600
Immunohistochemistry (Paraffin) 1:100 - 1:400
Immunofluorescence (Immunocytochemistry) 1:800 - 1:3200

Storage

Supplied in 10 mM PBS containing 0.05% BSA and 0.05% sodium azide. Stable for 36 months when stored at -20°C. This product will freeze at -20°C so it is recommended to aliquot into single-use vials to avoid multiple freeze/thaw cycles. A slight precipitate may be present, but will not interfere with antibody performance.

Specificity/Sensitivity

CD57 (HNK-1) Mouse Monoclonal Antibody recognizes the CD57 carbohydrate modification produced by the B3GAT1 protein enzyme.

Source / Purification

Monoclonal antibody is produced by immunizing animals with a membrane antigen from HSB-2 cells.

Background

CD57 antigen, also known as HNK-1 and Leu7, is a terminally sulfated glycan carbohydrate epitope (glyco-epitope) expressed on a variety of proteins, lipids, and chondroitin sulfate proteoglycans at the cell surface (1,2). CD57 is synthesized by the enzyme B3GAT1 and is present on a subset of peripheral blood lymphocytes, including NK cells and CD8+ T cells, as well as neural cells and striated muscle (3-5). Studies have shown that CD57 is not expressed on platelets, monocytes, granulocytes, or red blood cells (6). The CD57 epitope may play a role in neural cell adhesion (7), and characterizes unique maturation states in T and NK cells (8,9). CD57 is an important marker when studying functional immune deficiency in patients with autoimmune diseases, infectious diseases, and cancers (1).

Species Reactivity

Species reactivity is determined by testing in at least one approved application (e.g., western blot).

Applications Key

IHC-Bond: IHC Leica Bond IHC-P: Immunohistochemistry (Paraffin) IF-IC: Immunofluorescence (Immunocytochemistry)

Cross-Reactivity Key

H: Human

Trademarks and Patents

Cell Signaling Technology is a trademark of Cell Signaling Technology, Inc.

Alexa Fluor is a registered trademark of Life Technologies Corporation.

All other trademarks are the property of their respective owners. Visit cellsignal.com/trademarks for more information.

Limited Uses

Except as otherwise expressly agreed in a writing signed by a legally authorized representative of CST, the following terms apply to Products provided by CST, its affiliates or its distributors. Any Customer's terms and conditions that are in addition to, or different from, those contained herein, unless separately accepted in writing by a legally authorized representative of CST, are rejected and are of no force or effect.

Products are labeled with For Research Use Only or a similar labeling statement and have not been approved, cleared, or licensed by the FDA or other regulatory foreign or domestic entity, for any purpose. Customer shall not use any Product for any diagnostic or therapeutic purpose, or otherwise in any manner that conflicts with its labeling statement. Products sold or licensed by CST are provided for Customer as the end-user and solely for research and development uses. Any use of Product for diagnostic, prophylactic or therapeutic purposes, or any purchase of Product for resale (alone or as a component) or other commercial purpose, requires a separate license from CST. Customer shall (a) not sell, license, loan, donate or otherwise transfer or make available any Product to any third party, whether alone or in combination with other materials, or use the Products to manufacture any commercial products, (b) not copy, modify, reverse engineer, decompile, disassemble or otherwise attempt to discover the underlying structure or technology of the Products, or use the Products for the purpose of developing any products or services that would compete with CST products or services, (c) not alter or remove from the Products any trademarks, trade names, logos, patent or copyright notices or markings, (d) use the Products solely in accordance with CST Product Terms of Sale and any applicable documentation, and (e) comply with any license, terms of service or similar agreement with respect to any third party products or services used by Customer in connection with the Products.

Orders: 877-616-CELL (2355) [email protected] Support: 877-678-TECH (8324) [email protected] Web: cellsignal.com
For Research Use Only. Not for Use in Diagnostic Procedures.

Revision 8

Cell Signaling Technology Logo
Immunohistochemical analysis of paraffin-embedded human squamous cell carcinoma of the tonsil using CD57 (HNK-1) Mouse mAb performed on the Leica® BOND™ Rx.
Immunohistochemistry Image 1: CD57 (HNK-1) Mouse Monoclonal Antibody
Immunohistochemical analysis of paraffin-embedded human T-cell lymphoma using CD57 (HNK-1) Mouse mAb performed on the Leica® BOND™ Rx.
Immunohistochemistry Image 2: CD57 (HNK-1) Mouse Monoclonal Antibody
Immunohistochemical analysis of paraffin-embedded CD56+ human peripheral blood mononuclear cell pellet (left, positive), TT cell pellet (middle, positive), or Hep G2 cell pellet (right, negative) using CD57 (HNK-1) Mouse mAb.
Immunohistochemistry Image 1: CD57 (HNK-1) Mouse Monoclonal Antibody
Orders: 877-616-CELL (2355) [email protected] Support: 877-678-TECH (8324) [email protected] Web: cellsignal.com
For Research Use Only. Not for Use in Diagnostic Procedures.

Revision 8

Cell Signaling Technology Logo
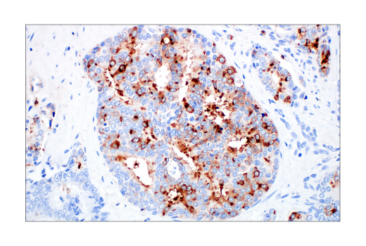
Immunohistochemical analysis of paraffin-embedded human renal cell carcinoma using CD57 (HNK-1) Mouse mAb.
Immunohistochemistry Image 2: CD57 (HNK-1) Mouse Monoclonal Antibody
Immunohistochemical analysis of paraffin-embedded human B-cell non-Hodgkin lymphoma using CD57 (HNK-1) Mouse mAb.
Immunohistochemistry Image 3: CD57 (HNK-1) Mouse Monoclonal Antibody
Immunohistochemical analysis of paraffin-embedded human prostate adenocarcinoma using CD57 (HNK-1) Mouse mAb.
Immunohistochemistry Image 4: CD57 (HNK-1) Mouse Monoclonal Antibody
Orders: 877-616-CELL (2355) [email protected] Support: 877-678-TECH (8324) [email protected] Web: cellsignal.com
For Research Use Only. Not for Use in Diagnostic Procedures.

Revision 8

Cell Signaling Technology Logo
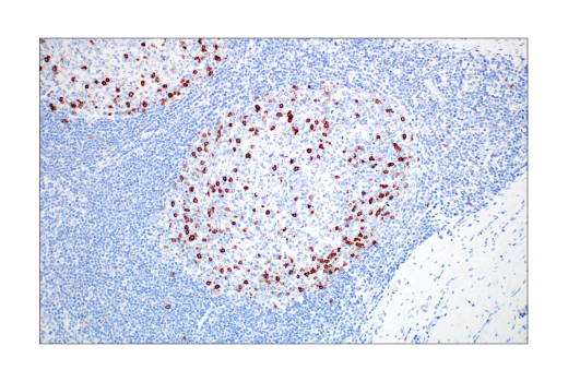
Immunohistochemical analysis of paraffin-embedded normal human spleen using CD57 (HNK-1) Mouse mAb.
Immunohistochemistry Image 5: CD57 (HNK-1) Mouse Monoclonal Antibody
Immunohistochemical analysis of paraffin-embedded normal human tonsil using CD57 (HNK-1) Mouse mAb.
Immunohistochemistry Image 6: CD57 (HNK-1) Mouse Monoclonal Antibody
Confocal immunofluorescent analysis of TT cells (left, positive) or Hep G2 cells (right, negative) using CD57 (HNK-1) Mouse mAb (green) detected with a goat anti-mouse IgM (Alexa Fluor® 488) secondary. Samples were then mounted in ProLong® Gold Antifade Reagent with DAPI #8961 (blue).
Immunofluorescence Image 1: CD57 (HNK-1) Mouse Monoclonal Antibody
Orders: 877-616-CELL (2355) [email protected] Support: 877-678-TECH (8324) [email protected] Web: cellsignal.com
For Research Use Only. Not for Use in Diagnostic Procedures.