Revision 4

#45469

Store at -20C

CST Logo
Orders:

877-616-CELL (2355)

[email protected]

Support:

877-678-TECH (8324)

3 Trask Lane | Danvers | Massachusetts | 01923 | USA

For Research Use Only. Not for Use in Diagnostic Procedures.

Applications:
W, IHC-P

Reactivity:
H

Sensitivity:
Endogenous

MW (kDa):
55-70

Source/Isotype:
Rabbit IgG

UniProt ID:
#P19256

Entrez-Gene Id:
965

Product Usage Information

Application Dilution
Western Blotting 1:1000
Immunohistochemistry (Paraffin) 1:50 - 1:200

Storage

Supplied in 10 mM sodium HEPES (pH 7.5), 150 mM NaCl, 100 µg/mL BSA, 50% glycerol, and less than 0.02% sodium azide. Store at –20°C. Do not aliquot the antibody.

For a carrier free (BSA and azide free) version of this product see product #90094.

Specificity/Sensitivity

CD58 (F1C9B) Rabbit Monoclonal Antibody recognizes endogenous levels of total CD58 protein.

Source / Purification

Monoclonal antibody is produced by immunizing animals with recombinant protein specific to the extracellular domain of human CD58 protein.

Background

CD58, also known as lymphocyte function-associated antigen 3 (LFA-3), is a ubiquitously expressed glycoprotein anchored to the plasma membrane through a transmembrane domain or a GPI linkage (1). Research studies have demonstrated that CD58 plays a critical role in immune synapse formation by functioning as a co-stimulatory adhesion molecule upon engagement of the CD2 antigen on the surface of T cells and NK cells. As such, the CD58-CD2 axis facilitates the execution of immune effector cell functions, including activation, proliferation, and cytotoxicity (2-4). In the context of cancer, recent studies have pointed to the CD58-CD2 axis as a stimulatory immune checkpoint, and lesions to this axis compromise anti-tumor immune responses (5,6).

Species Reactivity

Species reactivity is determined by testing in at least one approved application (e.g., western blot).

Western Blot Buffer

IMPORTANT: For western blots, incubate membrane with diluted primary antibody in 5% w/v BSA, 1X TBS, 0.1% Tween® 20 at 4°C with gentle shaking, overnight.

Applications Key

W: Western Blotting IHC-P: Immunohistochemistry (Paraffin)

Cross-Reactivity Key

H: Human

Trademarks and Patents

Cell Signaling Technology is a trademark of Cell Signaling Technology, Inc.

KARPAS cell line source: Dr. Abraham Karpas at the University of Cambridge.

All other trademarks are the property of their respective owners. Visit cellsignal.com/trademarks for more information.

Limited Uses

Except as otherwise expressly agreed in a writing signed by a legally authorized representative of CST, the following terms apply to Products provided by CST, its affiliates or its distributors. Any Customer's terms and conditions that are in addition to, or different from, those contained herein, unless separately accepted in writing by a legally authorized representative of CST, are rejected and are of no force or effect.

Products are labeled with For Research Use Only or a similar labeling statement and have not been approved, cleared, or licensed by the FDA or other regulatory foreign or domestic entity, for any purpose. Customer shall not use any Product for any diagnostic or therapeutic purpose, or otherwise in any manner that conflicts with its labeling statement. Products sold or licensed by CST are provided for Customer as the end-user and solely for research and development uses. Any use of Product for diagnostic, prophylactic or therapeutic purposes, or any purchase of Product for resale (alone or as a component) or other commercial purpose, requires a separate license from CST. Customer shall (a) not sell, license, loan, donate or otherwise transfer or make available any Product to any third party, whether alone or in combination with other materials, or use the Products to manufacture any commercial products, (b) not copy, modify, reverse engineer, decompile, disassemble or otherwise attempt to discover the underlying structure or technology of the Products, or use the Products for the purpose of developing any products or services that would compete with CST products or services, (c) not alter or remove from the Products any trademarks, trade names, logos, patent or copyright notices or markings, (d) use the Products solely in accordance with CST Product Terms of Sale and any applicable documentation, and (e) comply with any license, terms of service or similar agreement with respect to any third party products or services used by Customer in connection with the Products.

Orders: 877-616-CELL (2355) [email protected] Support: 877-678-TECH (8324) [email protected] Web: cellsignal.com
For Research Use Only. Not for Use in Diagnostic Procedures.

Revision 4

Cell Signaling Technology Logo
Western blot analysis of extracts from various human cell lines using CD58 (F1C9B) Rabbit mAb (upper) or β-Actin (D6A8) Rabbit mAb #8457 (lower). Negative expression of CD58 protein in SU-DHL-4 and A-204 cells is consistent with the predicted expression pattern. KARPAS 299 cell line source: Dr. Abraham Karpas at the University of Cambridge.
Western Blotting Image 1: CD58 (F1C9B) Rabbit Monoclonal Antibody
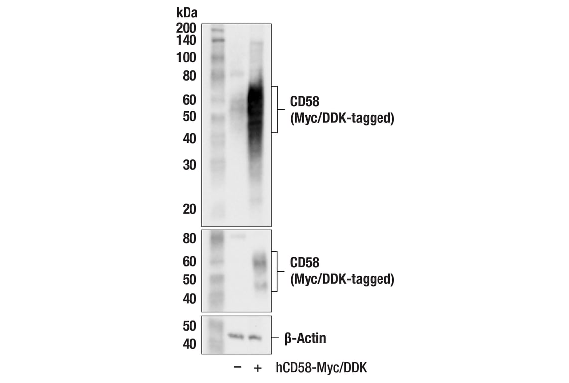
Western blot analysis of extracts from 293T cells, mock transfected (-) or transfected with a construct expressing Myc/DDK-tagged full-length human CD58 protein (hCD58-Myc/DDK; +), using CD58 (F1C9B) Rabbit mAb (upper), Myc-Tag (71D10) Rabbit mAb #2278 (middle), or β-Actin (D6A8) Rabbit mAb #8457 (lower).
Western Blotting Image 2: CD58 (F1C9B) Rabbit Monoclonal Antibody
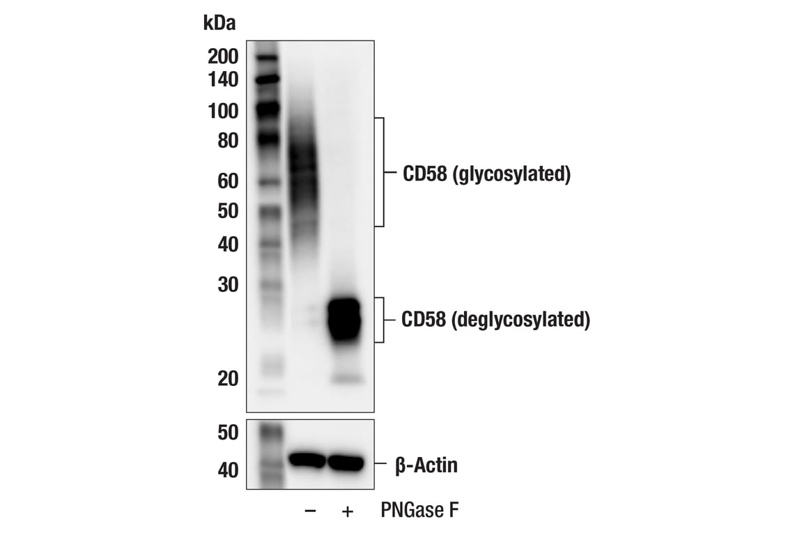
Western blot analysis of extracts from HuT 102 cells, untreated (-) or treated with PNGase F (+), using CD58 (F1C9B) Rabbit mAb (upper) or β-Actin (D6A8) Rabbit mAb #8457 (lower).
Western Blotting Image 3: CD58 (F1C9B) Rabbit Monoclonal Antibody
Orders: 877-616-CELL (2355) [email protected] Support: 877-678-TECH (8324) [email protected] Web: cellsignal.com
For Research Use Only. Not for Use in Diagnostic Procedures.

Revision 4

Cell Signaling Technology Logo
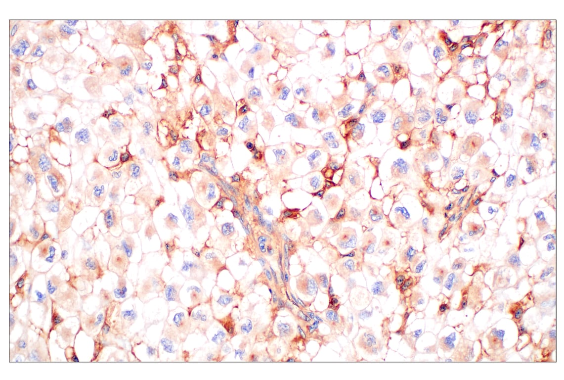
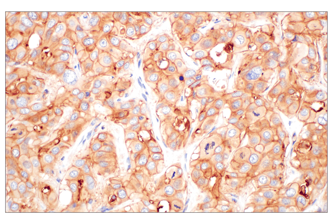
Immunohistochemical analysis of paraffin-embedded human hepatocellular carcinoma using CD58 (F1C9B) Rabbit mAb.
Immunohistochemistry Image 1: CD58 (F1C9B) Rabbit Monoclonal Antibody
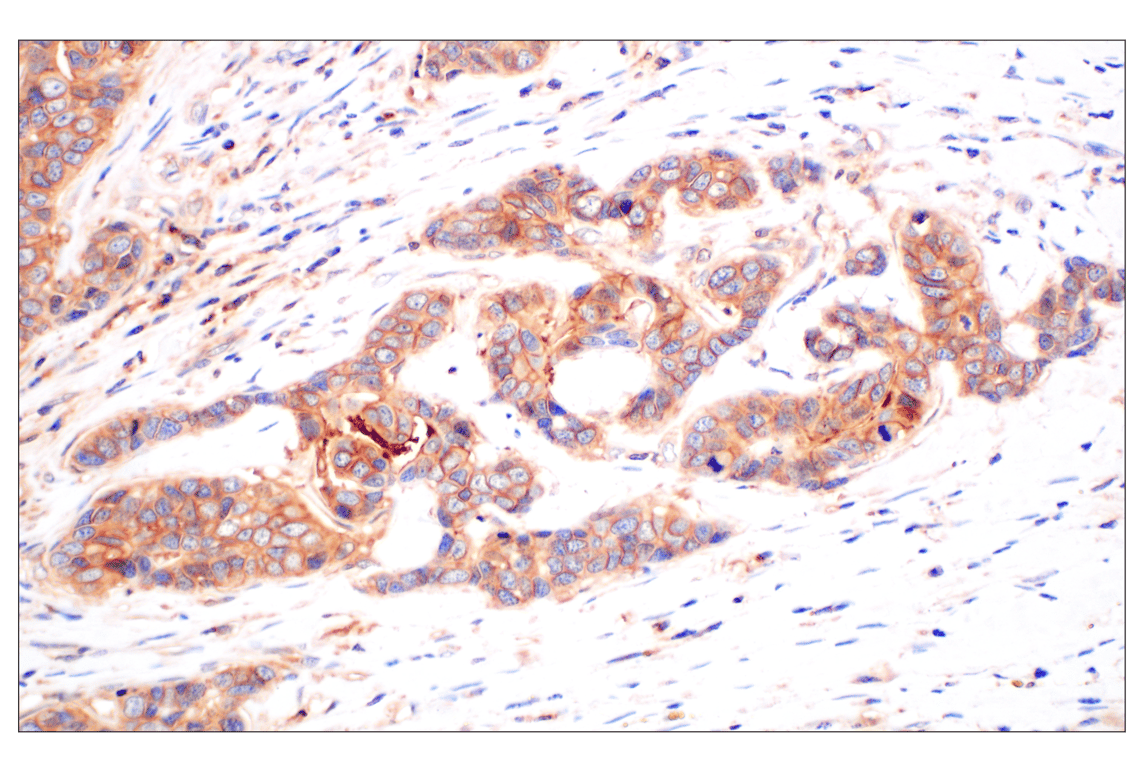
Immunohistochemical analysis of paraffin-embedded human ductal breast carcinoma using CD58 (F1C9B) Rabbit mAb.
Immunohistochemistry Image 2: CD58 (F1C9B) Rabbit Monoclonal Antibody
Immunohistochemical analysis of paraffin-embedded human endometrioid adenocarcinoma using CD58 (F1C9B) Rabbit mAb.
Immunohistochemistry Image 3: CD58 (F1C9B) Rabbit Monoclonal Antibody
Orders: 877-616-CELL (2355) [email protected] Support: 877-678-TECH (8324) [email protected] Web: cellsignal.com
For Research Use Only. Not for Use in Diagnostic Procedures.

Revision 4

Cell Signaling Technology Logo
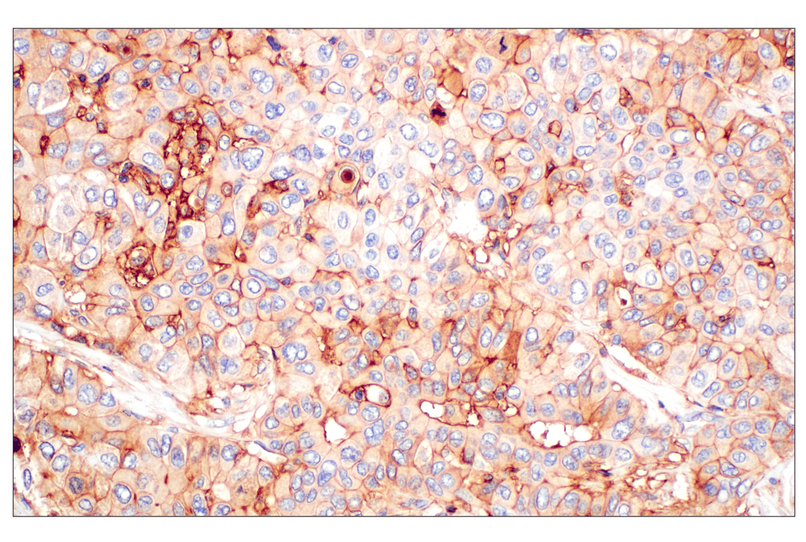
Immunohistochemical analysis of paraffin-embedded human hepatocellular carcinoma using CD58 (F1C9B) Rabbit mAb.
Immunohistochemistry Image 4: CD58 (F1C9B) Rabbit Monoclonal Antibody
Immunohistochemical analysis of paraffin-embedded human adenoid cystic carcinoma of the salivary gland using CD58 (F1C9B) Rabbit mAb.
Immunohistochemistry Image 5: CD58 (F1C9B) Rabbit Monoclonal Antibody
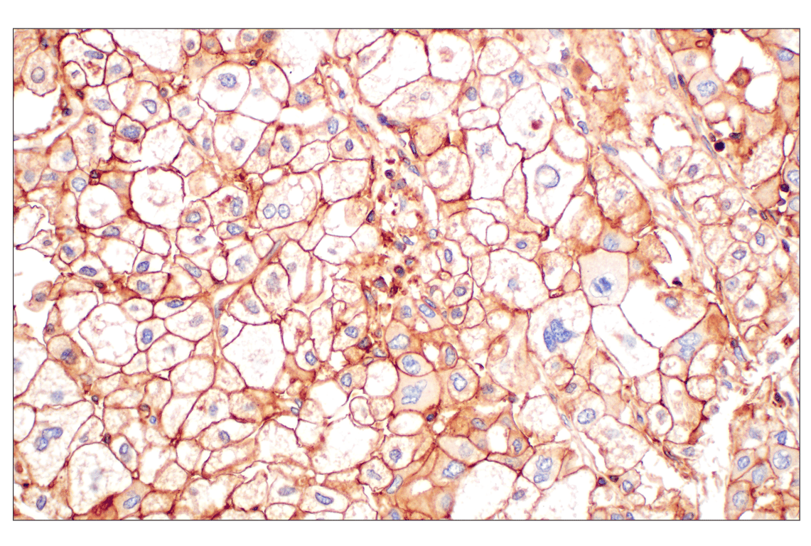
Immunohistochemical analysis of paraffin-embedded human renal cell carcinoma using CD58 (F1C9B) Rabbit mAb.
Immunohistochemistry Image 6: CD58 (F1C9B) Rabbit Monoclonal Antibody
Orders: 877-616-CELL (2355) [email protected] Support: 877-678-TECH (8324) [email protected] Web: cellsignal.com
For Research Use Only. Not for Use in Diagnostic Procedures.

Revision 4

Cell Signaling Technology Logo
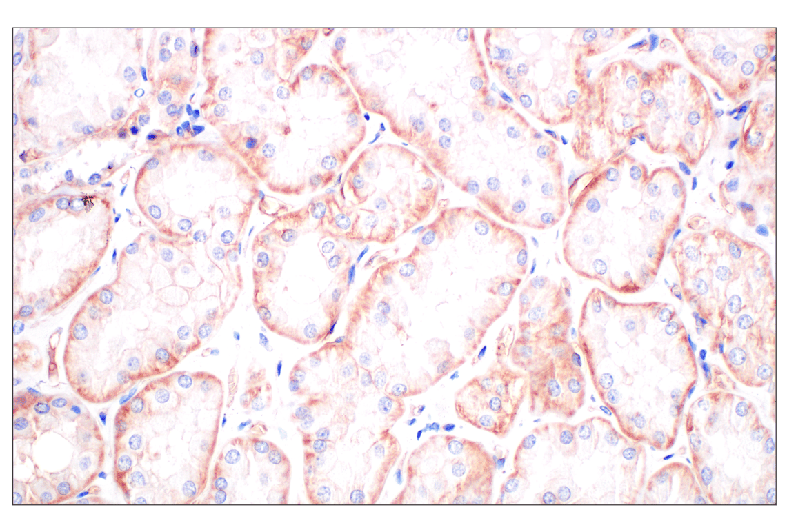
Immunohistochemical analysis of paraffin-embedded normal human kidney using CD58 (F1C9B) Rabbit mAb.
Immunohistochemistry Image 7: CD58 (F1C9B) Rabbit Monoclonal Antibody
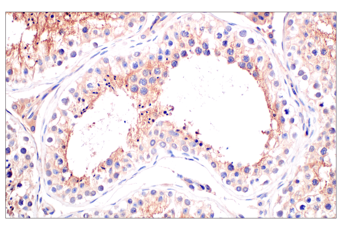
Immunohistochemical analysis of paraffin-embedded normal human testis using CD58 (F1C9B) Rabbit mAb.
Immunohistochemistry Image 8: CD58 (F1C9B) Rabbit Monoclonal Antibody
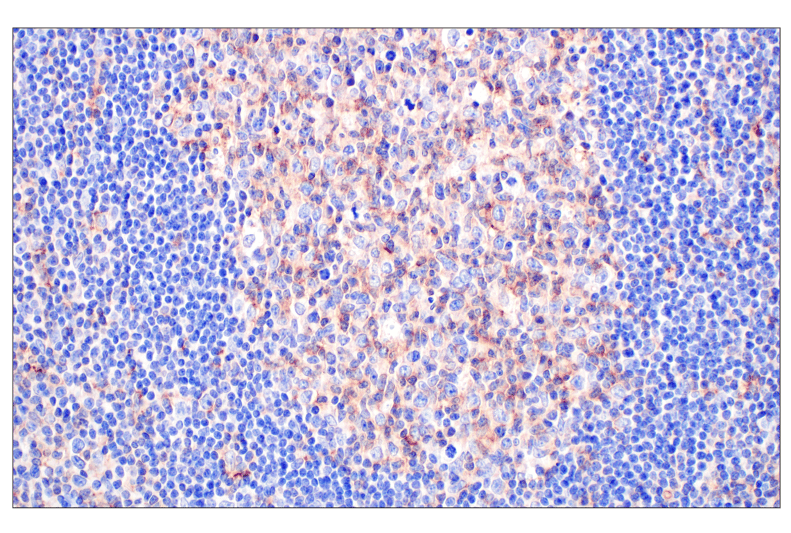
Immunohistochemical analysis of paraffin-embedded human tonsil using CD58 (F1C9B) Rabbit mAb.
Immunohistochemistry Image 9: CD58 (F1C9B) Rabbit Monoclonal Antibody
Orders: 877-616-CELL (2355) [email protected] Support: 877-678-TECH (8324) [email protected] Web: cellsignal.com
For Research Use Only. Not for Use in Diagnostic Procedures.

Revision 4

Cell Signaling Technology Logo
Immunohistochemical analysis of paraffin-embedded normal human esophagus using CD58 (F1C9B) Rabbit mAb (left) compared to concentration-matched Rabbit (DA1E) mAb IgG XP® Isotype Control #3900 (right).
Immunohistochemistry Image 10: CD58 (F1C9B) Rabbit Monoclonal Antibody
Immunohistochemical analysis of paraffin-embedded HuT 102 cell pellet (left, positive) or SU-DHL-4 cell pellet (right, negative) using CD58 (F1C9B) Rabbit mAb.
Immunohistochemistry Image 11: CD58 (F1C9B) Rabbit Monoclonal Antibody
Orders: 877-616-CELL (2355) [email protected] Support: 877-678-TECH (8324) [email protected] Web: cellsignal.com
For Research Use Only. Not for Use in Diagnostic Procedures.